Search Dental Tribune

News Thu. 7. April 2022
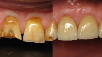
Advancements in adhesive dentistry: A case report

The number of universal adhesives being offered by the dental industry nowadays can make it difficult to decide whether it may be worth switching to another...

save
News Mon. 15. July 2019
The history of plastic toothbrushes and how they pollute our planet

LEIPZIG, Germany: A couple of weeks ago, the US company 4Ocean, which specialises in removing plastic waste from the ocean, shared a post on Facebook that ...

save
News Fri. 12. July 2019
Mouthrinse for human papillomavirus DNA may be biomarker in head and neck cancer

BALTIMORE, U.S.: In a recent study, scientists from the Johns Hopkins University School of Medicine investigated whether a mouthrinse to detect human ...

save
News Wed. 16. August 2017
Mobile breath analysis device is promising for early disease diagnosis

SEOUL, South Korea: Breath pattern recognition was once thought of as a futuristic diagnostic platform. Research in this area has been gaining much ...

save
News Thu. 19. March 2009
Loupes: making a wise long-term investment

The television shows Grey’s Anatomy, ER, House M.D. and, in the late ’80s, Chicago Hope have used the image of a surgeon wearing loupes. What ...

save
advertisement
News Tue. 3. August 2021
Celebrities’ Smile Makeup—the MiCD way

In today’s beauty-adoring society, most people have the desire to look and feel their best, since facial and physical appearance have a crucial role to ...

save
News Thu. 31. July 2025
From chairside to cyberspace: Surviving disasters—why dentists need more than traditional backup—Part 3

In Part 2 of this series, we talked about common cyber threats affecting dental practices. Imagine coming into the office on Monday morning, only to find ...

save
News Thu. 19. December 2024
Infallible precision? The multifaceted role of AI in dentistry

The intrusion of artificial intelligence (AI) into human life, especially within advanced capitalist economies, has been nothing less than epochal. Its ...

save
News Tue. 16. September 2025
Osstem to showcase dental implant solutions at EAO 2025

MONACO: Osstem Implant has announced its participation in the 32nd Annual Scientific Meeting of the European Association for Osseointegration (EAO 2025), ...

save
News Wed. 29. August 2018
Researchers develop environment for manufacture of inexpensive 3-D dental models

TOKYO, Japan: In oral and maxillofacial surgery and other fields of dentistry, the use of 3-D patient-specific organ models is increasing, and this has ...

save
News Thu. 4. May 2023
Allisone Technologies now offers dental implant recognition with acquisition of Spotimplant

PARIS, France: Allisone Technologies, a dental artificial intelligence (AI) company, has announced the acquisition of Spotimplant, AI-based software for ...

save
advertisement
News Tue. 22. February 2022
Tenet: Time inversion applied to dentistry

Time travel—two words that sound odd in an article on dentistry, but are a daily reality for all health professionals. Ageing concerns all patients who ...

save
Prod Tue. 12. January 2016
Medit Identica Hybrid

Superior engineering, increased speed, better results Identica Hybrid is our fastest and most accurate scanner. When designing Identica Hybrid we focused on the requirements of your lab to have a ...

save
News Thu. 25. July 2019
Dentsply Sirona offers treatment to Xingu peoples in Brazil

SALZBURG, Austria: Dentsply Sirona has provided extensive equipment for dental therapy for the indigenous Xingu peoples in the Amazon region of Brazil. A ...

save
News Tue. 3. June 2014
The name of the game in dentistry today

is to save the tooth for use in the future. In this age of adhesive dentistry, respecting and preserving the remaining healthy tooth structure as well as ...

save
Prod Fri. 13. March 2015
Philips Zoom QuickPro

With the new Phillips Zoom QuickPro whitening varnish, your patients can get noticeably whiter results in minimal time. Philips Zoom QuickPro whitening varnish uses a breakthrough two-layer technology...

save
News Wed. 15. April 2020
Four forthcoming webinars: Topics include immediate implant placement and ClearCorrect

Straumann Campus provides dental professionals with a myriad of webinars with a focus on implant dentistry and orthodontics. In the coming weeks, the online...

save
advertisement
Prod Thu. 1. August 2019
3DISC – Heron IOS – Case Management Software

The Heron IOS Case Management Software is a highly intuitive scan & order management software package that is included in the Heron IOS solution.

save
News Wed. 9. October 2019
Study identifies cells in gingivae that protect against periodontitis

PHILADELPHIA, U.S./CHENGDU, China: Despite significant advancements in oral health care, periodontitis remains the most common cause of tooth loss, as well ...

save
News Mon. 25. April 2022
Survey shows 40% of UK dental students consider dropping out

LONDON, UK: Various organisations have undertaken to evaluate the quality of life of UK dental students during recent years, and particularly as students ...

save
advertisement