Fig. 1: A vertical fracture of tooth #46. On probing, a distal narrow isolated pocket measuring more than 15 mm in depth was detected.
Fig. 2: On the radiograph,
a radiolucency along the distal wall of the distal root with the typical J shape seen in vertical root fractures could be observed.
Fig. 3: Tooth extraction
was performed without damaging the alveolar walls. The socket was scraped and sutured without using grafting material.
Fig. 4: After eight weeks of healing, the soft tissue over the extraction area was completely healed.
Fig. 5: After eight weeks, the amount of bone formation into the
socket allowed for implant placement.
Fig. 6: Using a surgical stent, the osteotomy could be performed in an adequate position in 3D, using the zenith of the cervical contour of the planned restoration as a reference point.
Fig. 7: The implant was placed 3 mm apical to the cervical contour of the planned restoration, symmetrically from
the mesial to distal aspect, and 2 mm to the lingual aspect in order to preserve the buccal bone that would support the soft tissue.
Fig. 8: A 7 mm healing abutment was placed to guide the soft tissue to an optimal healing situation.
Fig. 9: The healing abutment was removed after six weeks, and a final impression of the implant position
and the shape of the soft tissue was sent, together with the opposing model, to the dental laboratory.
Fig. 10: The Atlantis abutment was virtually designed with the
emergence width of the replaced molar and manufactured in titanium with a titanium nitride coating.
Fig. 11: The Atlantis abutment in gold-shaded titanium, together
with the Atlantis abutment screw, was sent to the dental laboratory.
Fig. 12: The subgingival portion of the abutment would give the anatomical shape, support and
colour to the surrounding soft tissue. The definitive crown restoration in zirconia
was fabricated.
Fig. 13: Definitive implant restoration with the finishing line close
to the gingival margin, allowing for easy removal of excess cement in the subgingival area. The restoration was ready to be delivered to the patient.
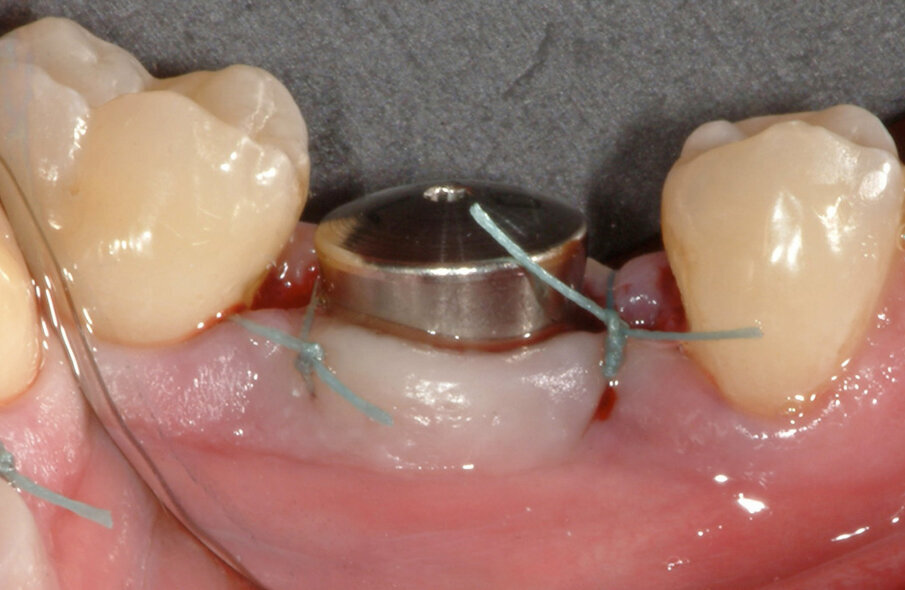
Fig. 14: The
Atlantis abutment was placed with some pressure on the soft tissue. After a few
minutes, the ischaemia disappeared, and the abutment was seated in the correct position.
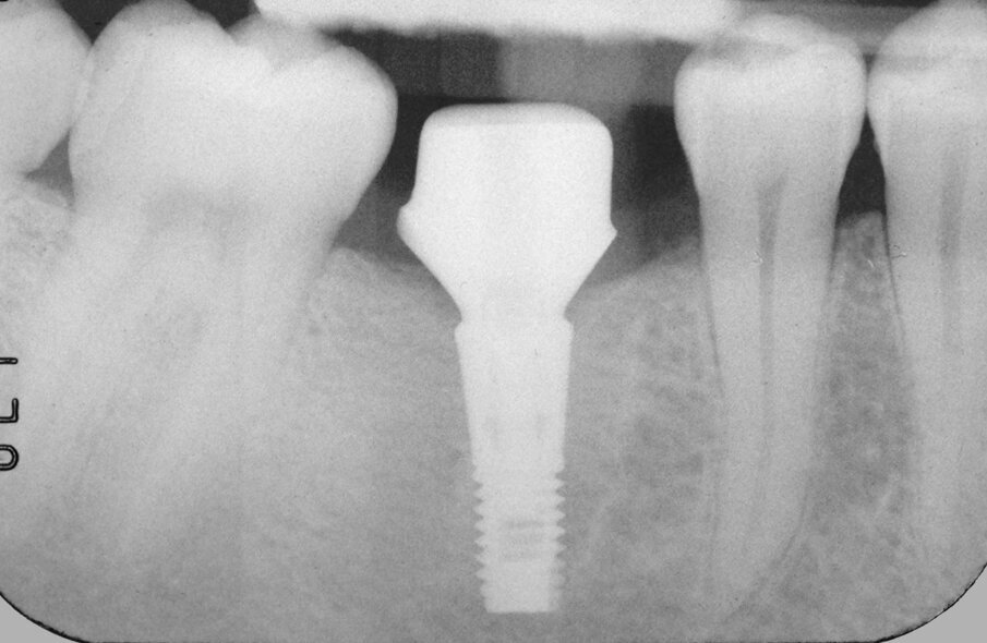
Fig. 15: Verification of correct seating of the abutment using a radiographic image. Note that the transitional portion of the abutment followed the contour of the bone.
Fig. 16: The Atlantis abutment in gold-shaded titanium was
torqued to the implant manufacturer’s recommendation of 25 Ncm. The screw head was covered, and the crown was later cemented to the abutment.
Fig. 17: After ten years, the radiograph showed a perfect fit of the restoration, the spaces created for the interproximal papillae and the position of the bone at the level of the implant.
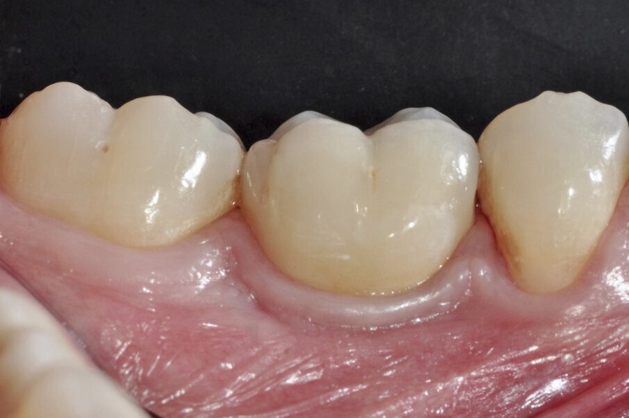
Fig. 18: After ten years, a perfect adjustment of soft tissue around
the restoration (buccal view) was observed, filling the space for the interproximal papillae and yielding a natural looking soft-tissue contour.
To post a reply please login or register