Search Dental Tribune

Immediate implant placement and provisionalisation of a mandibular first molar

Implant placement. (All images: Mischa Krebs & Alexander Müller)

Tue. 24. January 2023

save

The aim of this article is to present a case of immediate implant placement and provisionalisation of a mandibular molar with the PrimeTaper EV implant (Dentsply Sirona). This case report is published as an inspiration for dental professionals and not necessarily as a recommendation.

A 39-year-old male patient presented with a deeply fractured mandibular first molar two years after hemisection (Fig. 1). After the patient had opted for an implant-borne solution, an immediate implant placement and restoration with a PMMA provisional crown on a final Atlantis abutment (Dentsply Sirona) was planned.

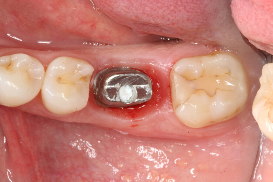
The implant site was prepared following the recommended drilling protocol for the planned PrimeTaper EV 4.2 mm diameter implant (drills #1, 3 and 4; Fig. 2). After cortical preparation with drill #5, the implant was placed. The preparation was finalised with a tap, owing to dense trabecular bone (Fig. 3). The implant was inserted to a torque of 42 Ncm (Fig. 4).

Immediately after implant placement (Fig. 5), the abutment position was registered with an intra-oral scan using Primescan (Dentsply Sirona; Fig. 6). At the end of the surgical procedure, the socket was grafted with Symbios (Dentsply Sirona) and a healing abutment was seated (Fig. 7). Radiographic evaluation was performed on the same day (Fig. 8). On basis of an intra-oral scan, an Atlantis abutment and Atlantis provisional crown were designed and fabricated with an Atlantis IO FLO (Fig. 9).

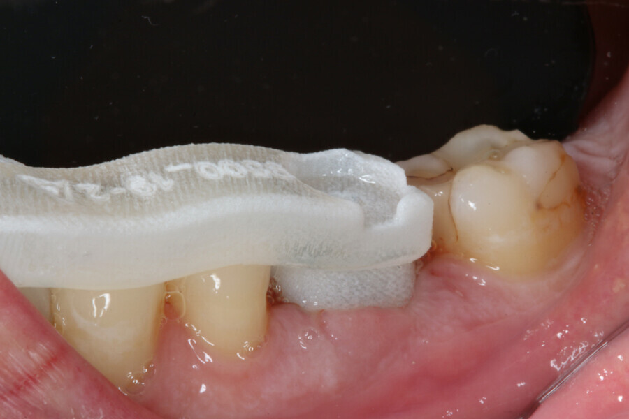
One week after implant surgery, healing was satisfactory and the abutment and provisional crown were inserted (Figs. 10–14).

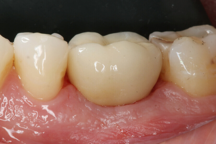
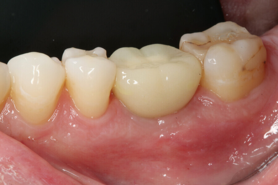
During the healing period, the final crown was manufactured based on the Atlantis Core File. Eight weeks after implant placement, the soft tissue had healed well (Figs. 15 & 16) and was ready for the final zirconia crown (Fig. 17). Radiographic evaluation with the final restoration confirmed the successful outcome of the treatment (Fig. 18).

Editorial note:

This article was published in digital—international magazine of digital dentistry vol. 3, issue 4/2022.

Tags:
To post a reply please login or register
advertisement
advertisement