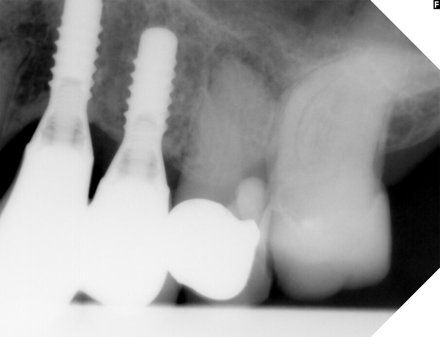
A 76-year-old female patient visited our clinic owing to pain in the left maxilla. She had a fistula in the buccal gingiva between tooth #25 and position #24. There were implants in positions #24 and 23. Tooth #25 already had a crown. The tooth had been affected by secondary caries earlier and had been repaired. A periapical radiograph showed an active inflammatory process in progress from the endodontically treated tooth that greatly worsened the prognosis and could have adversely affected the implants. The prognosis was therefore considered poor and we decided to extract the tooth.
Fig. 1: The radiograph showed an ongoing pathological process in the bone in the apical area of the root.
Fig. 2: Fluoroscopy by insertion of a gutta-percha point showed apical destruction as the source of infection.
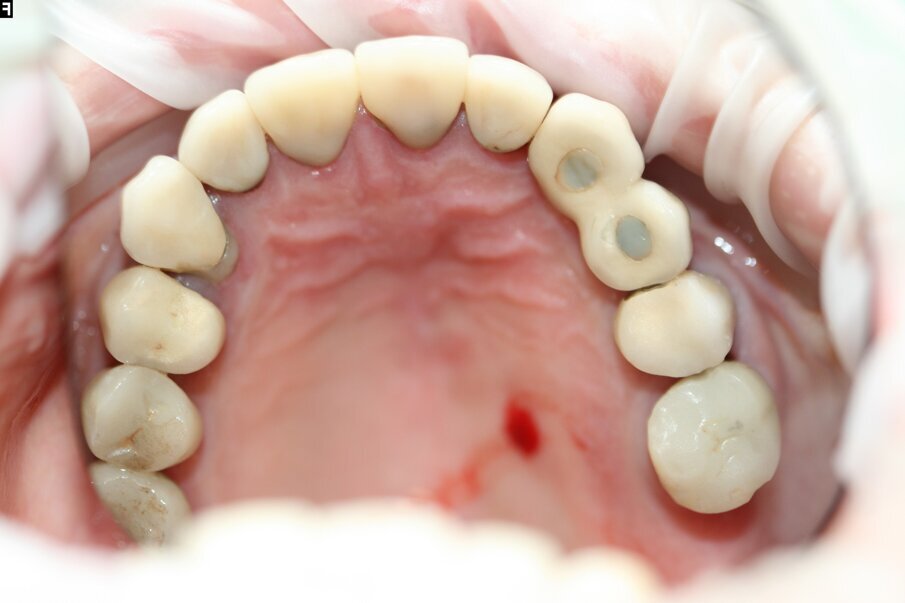
Fig. 3: Maxillary arch before treatment.
Fig. 4: The tooth was luxated with Luxator P4 (dual edge, lilac).
Fig. 5: The tooth was luxated with Luxator P4 (dual edge, lilac).
Fig. 6: The crown was fractured during luxation.
Fig. 7: We continued to luxate with Luxator P1 (straight blade, dark green) until the root felt sufficiently loose.
Fig. 8: The root could be lifted out with diamond-coated tweezers.
Luxator P4, with its extremely sharp dual-edge blade, was used at the beginning, followed by Luxator P1 once more space had been created. Although the blades of these sophisticated instruments are reinforced with a titanium coating, they should only be used to cut the periodontal ligament and never to elevate the tooth.
When the extraction had been completed, the alveolus was scraped and thoroughly flushed clean with physiological saline solution to prevent infection.
Luxator is a registered trademark owned by Directa AB in Sweden. All Luxator instruments are manufactured in Sweden by Directa. For further information, visit www.directadental.com.
Tags:
A 70-year-old female patient visited our clinic owing to a fractured maxillary first molar. Tooth #24 had previously had a large composite restoration that ...
A 75-year-old female patient visited our dental clinic reporting a loose crown on tooth #26. The tooth had been endodontically treated in the past and had a...
HELSINGBORG, Sweden: Swedish manufacturer of dental consumables Orsing is actively looking into ways to reduce its share of greenhouse gas emissions and has...
From 1 October 2020, Swedish company Orsing has discontinued its white Hygoformic, which was manufactured in polyethylene (PE) and polypropylene (PP), and ...
Dr. Jure Poglajen, Dr. Manouchehr Kiaei DDS
Dr. Joseph M. Gakonyo BDS, PGDipDent, MSc
Prof. Mikael Zimmerman DDS, PhD
Prof. Mikael Zimmerman DDS, PhD
To post a reply please login or register