HELSINKI, Finland/LOS ANGELES, US: Pearl and Planmeca recently announced plans to integrate Pearl’s Second Opinion, an artificial intelligence (AI) diagnostic tool that assists in dental radiography, within the Planmeca Romexis imaging software platform. Pearl is a global leader in dental AI solutions, and Planmeca is the world’s largest privately owned dental equipment manufacturer.
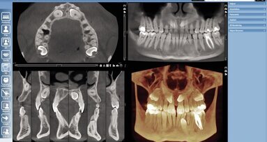
Second Opinion is the only chairside AI software with global regulatory clearance to assist dentists in the detection of numerous common conditions on bitewing, periapical and panoramic radiographs of permanent dentition in patients as young as 12 years old. For Romexis users, the Second Opinion software will provide AI evaluation of 2D intra-oral radiographic images directly within the Romexis platform, facilitating streamlined patient communication, enhanced diagnostic capabilities and a higher standard of dental care delivery.
“AI is primed to revolutionise the global dentistry market, and together with Planmeca Romexis, we’re expanding access to the powerful capabilities of this technology,” said Ophir Tanz, founder and CEO of Pearl. “Our partnership with Planmeca will seamlessly integrate Second Opinion into one of the most popular, powerful and technologically advanced imaging platforms in dentistry, streamlining clinical efficiencies and steering the industry towards a fully AI-powered future.”
“We are deeply committed to delivering the most advanced capabilities in digital imaging to dental clinics of all sizes and specialties,” commented Helianna Puhlin-Nurminen, vice president of digital imaging and software applications at Planmeca. “This collaboration with Pearl will further augment diagnostic consistency, accuracy and transparency in dental care, equipping Romexis users with the most advanced pathology detection and patient communication technology.”
The integration will soon be available for Romexis users around the world.
HELSINKI, Finland: The Planmeca Romexis 6.0 software platform supports the most versatile range of imaging modalities, including 2D and 3D, and supports ...
HELSINKI, Finland: Finnish dental manufacturer Planmeca has announced the release of Romexis 7, the latest version of its all-in-one dental software. First ...
HELSINKI, Finland: Planmeca is proud to introduce a completely new software module for Planmeca Romexis, which makes working with digital impressions easier...
HELSINKI, Finland: A safe and modern clinic is a priority for Dr Zoran Vlahović, who runs a dental practice in Montenegro. In order to achieve this goal, ...
STOCKHOLM, Sweden: Dental care generates enormous amounts of patient data over time. A case in point is the public healthcare district of the Stockholm ...
HELSINKI, Finland: Televisions, mobile phones, even cars—software has disrupted several industries, as its role has become significantly more important. ...
HELSINKI, Finland: Visitors to Planmeca’s booth at the International Dental Show (IDS) from 14 to 18 March will be treated to exclusive demonstrations of ...
COLOGNE, Germany: From 25 to 29 March, dental professionals from around the world will gather in Cologne for the International Dental Show (IDS). The ...
HELSINKI, Finland: In order to manage a large dental clinic or a clinic chain effectively, one needs to gather extensive data and to have appropriate tools ...
SHANGHAI, China: As a result of the COVID-19 pandemic, the dental industry has been forced to adapt to the “new normal” and invent new platforms for ...
Dr. Alex Touchstone DDS, FICOI
Prof. Dr. med. dent. Michael M. Bornstein
Dr. Alex Touchstone DDS, FICOI
Dr. Leila Perea-Lowery DDS, Specialist in Prosthodontics, PhD
To post a reply please login or register