Search Dental Tribune

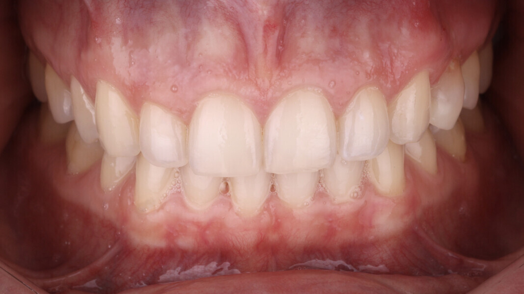
Fig. 1: With the help of SprintRay’s 3D printers and the unique SprintRay Crown Kit, dental professionals can now create inlays, onlays and overlays using the latest hybrid resin materials in a single visit. (All images: Miloš Ljubičič)

Mon. 3. June 2024

save

Dentistry has undergone a remarkable transformation with the advent of 3D-printing technology. Gone are the days when patients had to endure multiple visits for restorative procedures. With cutting-edge 3D-printing solutions, dental professionals can now offer patients a more efficient and convenient experience. This article explores the use of 3D-printing technology to create inlays, onlays and overlays in a single visit, revolutionising the way we approach dental restorations.

The patient’s dilemma

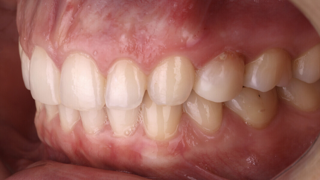
Imagine a patient walking into a dental office looking to have old fillings replaced and carious tissue restored (Figs. 1-4). Traditionally, such restorations would require several appointments, numerous impressions and temporary restorations before the final ones were ready. This process is not only time-consuming but also frustrating for the patient. However, with innovative 3D-printing capabilities, the patient’s experience can be drastically improved.

Fig. 2

Fig. 2

Fig. 3

Fig. 3

Fig. 4

Fig. 4

The solution

A good range of 3D printers specifically designed for dental applications are available. Those from SprintRay utilise advanced materials and high-resolution printing technology, enabling dental professionals to craft precise and durable dental restorations in a fraction of the time compared with traditional methods.

Creating hybrid restorations in one visit

With the help of SprintRay’s 3D printers and the unique SprintRay Crown Kit, dental professionals can now create inlays, onlays and overlays using the latest hybrid resin materials (SprintRay Crown) in a single visit. The process is relatively straightforward and time-efficient, sparing patients the inconvenience of multiple appointments.

Fig. 5

Fig. 5

Fig. 6

Fig. 6

Fig. 7

Fig. 7

Here is how it works:

  1. Digital scanning: The patient’s teeth are digitally scanned using an intra-oral scanner (Medit i700 wireless). This 3D scan creates a highly accurate virtual model of the patient’s dentition, eliminating the need for messy traditional impressions (Fig. 5).
  2. CAD: The virtual model is imported into CAD software (Medit ClinicCAD), where the dental professional custom-designs the inlay, onlay or overlay to precisely fit the patient’s tooth (Fig. 6).
  3. 3D printing: Once the design has been completed, the digital file is sent to the SprintRay Pro 95S 3D printer. Using the chosen hybrid resin material (SprintRay Crown), the printer begins the additive manufacturing process, layer by layer, until the restoration has been completed (Fig. 7).
  4. Washing and drying: After approximately 20 minutes of printing, thanks to the SprintRay Crown Kit, which speeds up the process, the dental professional carefully removes the restoration from the printer. The printed restoration is then placed in the SprintRay Pro Wash/Dry unit, where it undergoes thorough washing with isopropyl alcohol to remove any excess resin and ensure optimal cleanliness.
  5. Finishing: The dental professional makes any necessary final adjustments and polishing to guarantee a perfect fit and natural appearance of the restoration (Figs. 8-10).
  6. Post-polymerising: Once the adjustments have been made, the restoration is transferred to the SprintRay ProCure 2 unit for the final polymerisation process. ProCure 2 utilises advanced technology to polymerise the resin fully, enhancing the strength and durability of the restoration. This step is crucial in ensuring that the restoration is ready for immediate use once it has been taken out of the polymerising unit.
  7. Cementation: The restoration is securely bonded in place using G-CEM ONE universal self-adhesive resin cement with dual-polymerising ability, designed to provide strong and durable bonding of indirect restorations. This ensures a long-lasting and reliable outcome for the patient’s dental health and satisfaction (Fig. 11-15).
Fig. 8

Fig. 8

Fig. 9

Fig. 9

Fig. 10

Fig. 10

The advantages for patients and dentists

The integration of SprintRay’s 3D-printing technology in dental practices offers numerous benefits:

  • Time efficient: Patients can have their restorations completed in a single visit, saving them valuable time by reducing the number of appointments required.
  • Enhanced precision: 3D printing ensures a high level of accuracy and a perfect fit for each patient’s unique dental anatomy, leading to improved longevity and functionality of the restoration.
  • Improved aesthetics: The hybrid materials used in 3D printing closely mimic the appearance of natural teeth, providing patients with aesthetically pleasing and discreet restorations.
  • Streamlined workflow: Dental professionals can optimise their workflow, reducing chair time and increasing patient throughput, ultimately benefiting both the practice and the patients.

 

Conclusion

3D-printing technology has revolutionised the field of dentistry, offering patients a streamlined and efficient experience when it comes to restorative dental procedures. By using innovative solutions, such as SprintRay Crown workflow, dental professionals can now provide high-quality, precise and aesthetically pleasing inlays, onlays and overlays in a single visit, bringing a new era of convenience and excellence to dental restorations.

Editorial note:

This article was published in digital—international magazine of digital dentistry vol. 5, issue 1/2024.

Topics:
Tags:
To post a reply please login or register
advertisement
advertisement