Thanks to the very high accuracy of modern intra-oral scanners, excellent design software and reliable production systems, restoring an implant with a chairside model is now a reliable treatment with numerous advantages for the patient. The same-day solution with final materials produces excellent implant crowns in a chairside environment.
Modern implantology is headed in the direction of the emerging concept of immediacy. This comprises different treatment tools and protocols aimed at providing the patient with minimally invasive surgery and, where possible, a same-day temporary or final restoration.
A reliable implant system, from the nano-molecular level to a complete restorative portfolio, is mandatory to provide this treatment. The core of the treatment is a fully digital workflow, starting with optical impressions recorded with an intra-oral scanner. To provide same-day treatments, the chairside model is essential. A digital intra-oral impression and the corresponding design and production software and hardware enable the treatment team to obtain high-quality temporary or final restorations on the same day, without the use of a model.
The key elements of this immediate treatment are correct implant placement based on a correct implant selection, macro-design, to achieve a safe immediate stability and a proven implant surface for biological stability, digital intra-oral impressions, and immediate design of the crown, which is then sent to a milling machine to produce the implant crown in a final material. Pushing the boundaries of the one abutment, one time concept, the provision of the final implant crown on the immediately loaded implant offers many advantages for the treatment team and the patient.
In demonstration thereof, we present a clinical case in which two different chairside approaches were applied. For the maxilla, a conventional delayed protocol was employed. This involved the placement of a Straumann Bone Level Tapered (BLT) implant, followed by a two-month healing period and, finally, the recording of optical impressions with a 3Shape TRIOS 3 intra-oral scanner for the subsequent design and production of the final crown.
During the same treatment period, for the mandible, an immediate loading protocol was employed for a just placed Straumann BLT implant. Optical impressions with the TRIOS 3 were also immediately recorded and sent to the computer with the chairside 3Shape TRIOS Design Studio software to produce an immediate crown in a final material.
To provide this chairside model, the new screw-retained crown module for Straumann in the TRIOS Design Studio software was used to design the implant crown on Straumann Variobase. This software provides the proven connection with the Straumann CARES C series chairside milling unit, allowing the design software to be connected directly to the CAM module of the C series.
The CARES C series is a robust and compact four-axis wet milling and grinding unit for in-house processing, especially designed to provide reliable and predictable precision when milling glass-ceramics and hybrid materials. It employs intelligent four-axis technology and improves the daily practice routine in terms of efficiency and productivity.
In this particular case, Straumann n!ce blocks were milled on the C series to obtain the final crowns. The new n!ce material is a high-tech glass-ceramic solution that delivers fast, aesthetic single-tooth restorations. Requiring no crystallisation firing, it can be milled, polished and seated.
We selected a final material based on the case characteristics, used a minimally invasive approach and provided the patient with a screw-retained crown on the same day to obtain excellent healing and to shorten treatment time.
Treatment planning
A BLT implant (Regular Neck, Roxolid, ⌀ 4.1 × 12.0 mm) was placed in position #15. As the insertion torque value and Implant Stability Quotient (ISQ) level were not optimal for immediate loading, a delayed protocol with a healing cap was selected.
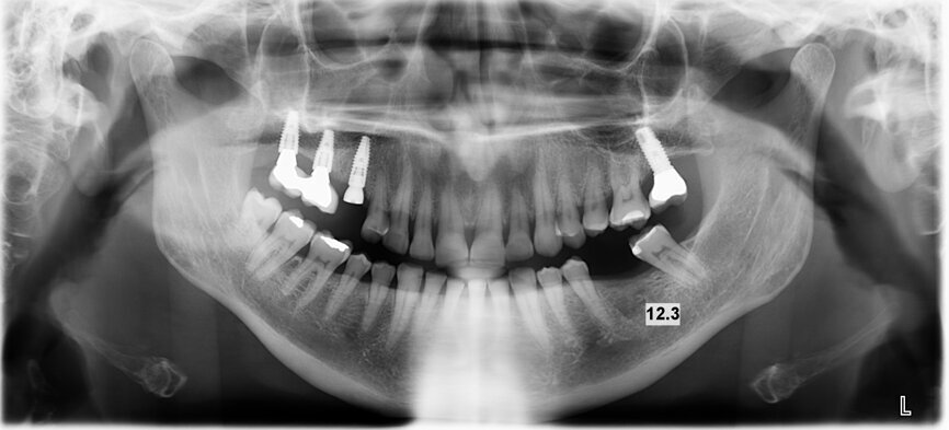
Two months later, a panoramic radiograph showed an excellent situation for the BLT implant and correct healing of position #36 (Fig. 1). Following a chairside protocol, it was decided to load implant #15 and provide an implant treatment with immediate loading in position #36 on the same day. This involved the design of two screw-retained crowns with the TRIOS Design Studio software, and their production in n!ce material on the C series milling unit.
Surgical procedure
Under local anaesthesia, a flapless implant surgery technique was performed in position #36. Owing to the quality of the bone, staged drilling with continuous saline irrigation was performed in order to obtain a proper, safe insertion torque (Figs. 2–7). One implant (BLT, Regular Neck, Roxolid, ⌀ 4.8 × 10.0 mm) was placed, and a torque of 42 N cm was applied (Figs. 8–11).
The ISQ level was determined with the Osstell unit. After connecting a Type 54 SmartPeg, a score of 82 was obtained (Fig. 12). The decision to employ an immediate loading protocol has to take account of the surgeon’s personal experience and skills, the insertion torque value, the ISQ levels and the medical and dental characteristics of the patient. In this case, all these parameters were evaluated as excellent, and the immediate loading protocol was selected.
A BLT scan body was connected at implant level on both implant #15 and implant #36. An optical impression was obtained with the TRIOS 3 intra-oral scanner after selecting the screw-retained crown indication for BLT implants on the TRIOS Design Studio order form (Figs. 13–15). Five scans were needed: mandible without the scan body (emergence profile scan), mandible with the scan body, maxilla without the scan body, maxilla with the scan body and, finally, the occlusion (Figs. 16–20). During the prosthetic procedure, healing caps were placed to keep the gingiva in position.
Prosthetic procedure
The screw-retained crown module of the TRIOS Design Studio software is designed to be easy to use. Once the scanning steps had been completed, the best fit between the virtual scan body and the intra-oral scan body was determined using the three-point matching function, thus creating a digital model with the implant in its correct position (Figs. 21 & 22).
Once the alignment had been approved, the next step was to use the auto-crown tool, through which the software proposed an ideal crown design. The software has excellent tools to shape and improve this initial auto-design (Figs. 23 & 24). After the crown had been designed, the appropriate Variobase was selected and the emergence profile designed. We chose the Straumann RC, H3.5, GH 1 mm Ti-base (Figs. 25–27).
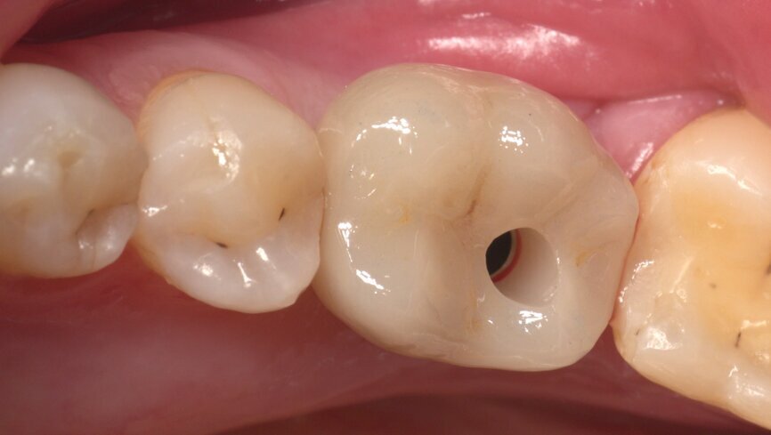
After the emergence profile design, a final sculpting step was done with automatic tools, adjusting the contact points and the occlusion in order to make the final adjustments to the full restoration (Figs. 28 & 29). The screw hole was established, and the crown was correctly placed and oriented in the virtual block (Figs. 30 & 31).
The computer was connected directly to the C series milling unit so that, after placing the n!ce block in the holder, the milling of the crown could be started. Within approximately 20 minutes, the crown had been milled, including the screw hole and the connection to the Variobase (Figs. 32–35).
Once the crown was ready, the selected Variobase was cemented in the correct orientation in relation to the crowns. The crowns were stained and polished manually, and the whole process was finished about 1 hour after scanning (Figs. 36–39).
Returning to the patient, the healing caps were removed, and the crowns were placed. The occlusion was checked and contacts were inspected (Figs. 40–43). Screw holes were sealed with PTFE and a temporary filling material.
Treatment outcome
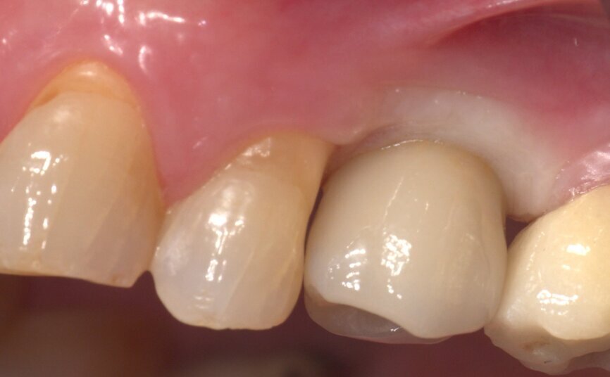
The patient and dentist were completely satisfied with the final result regarding aesthetics, health and function. The patient returned for a check-up one week later and was very satisfied with the aesthetic and functional outcomes of the treatment (Fig. 44).
The overall treatment time per crown was about 1 hour from surgery to final crown delivery. In this case, the same-day crown and one abutment, one time concepts could be pushed to the limits in a simple and predictable manner thanks to a proven chairside workflow.
Tags:
The following case report describes a successful immediate implant placement in a mandibular first molar position with Straumann TLX and an immediately ...
Many factors can be related to apical root resorption and rounding, among them orthodontic movement and occlusal trauma. In severe cases, the tooth can even...
In a free upcoming Straumann Group webinar on Monday, 2 December, host Dr Abid Faqir is tackling the subject of immediate implant placement. He has a broad ...
LONDON, UK: When it comes to implants, good outcomes and high predictability are crucial. In a free upcoming Straumann Group webinar on Thursday, 21 ...
Straumann Campus provides dental professionals with a myriad of webinars with a focus on implant dentistry and orthodontics. In the coming weeks, the online...
Placing an implant immediately after tooth extraction offers several advantages, including a reduced treatment time, fewer surgical sessions, possibility of...
Immediate implant placement and loading have become increasingly prevalent in modern dentistry, especially in the aesthetic zone, where patients typically ...
Successful immediate implant placement associated with immediate loading remains one of the greatest clinical challenges. In addition to the placement of an...
BASEL, Switzerland: More than 1,000 monthly Instagram posts containing the hashtag #EstheticDentistry provide evidence that dental professionals take great ...
Dr. David Norré, Dr. Tommie Van de Velde DDS, MSc, PhD
Dr. Laurence Adriaens, Dr. Ghida Lawand BDS, MSc
Dr. Piet Haers Oral and Maxillofacial Surgeon
To post a reply please login or register