Placing an implant immediately after tooth extraction offers several advantages, including a reduced treatment time, fewer surgical sessions, possibility of fixed implant temporisation, and preservation of the soft-tissue contour and of the interdental papillae. Immediate implant placement into fresh extraction sites has been described as a predictable and successful procedure when proper protocols and case selection are followed. The success of immediate implant placement and the temporisation procedure relies greatly on sufficient primary stability of the implant. The latter depends on the volume of available bone beyond the root apex as classified by Kan et al. [1] and on the choice of the implant, its macro design and the drilling protocol. BLX implants (Straumann) were designed to achieve high primary stability when placed immediately after extraction.
Initial situation
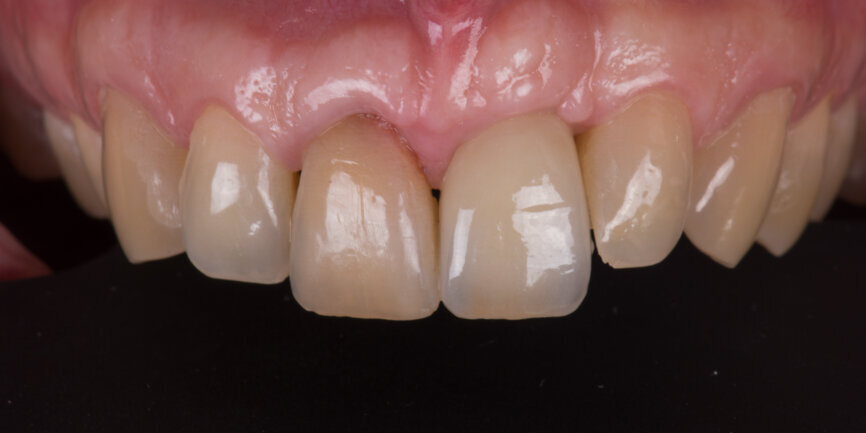
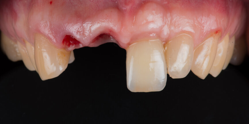
A 52-year-old man, a non-smoker in good general health, was referred after diagnosis of post-traumatic resorption affecting the roots of teeth #11 and #12 (Figs. 1a & 1b). The patient had previously consulted with an endodontist, who stated that both teeth were hopeless and therefore extractions were required. Clinical examination revealed a complete, healthy periodontium around tooth #12 with no sign of infection. At tooth #11, a slight tissue oedema associated with chronic irritation in front of the extensive resorption was observed. The intermaxillary relationship was normal, and the analysis of the smile showed a low smile line (Fig.2). Tooth #21 had been replaced by an implant-supported crown. The previously requested CBCT scan showed that the resorption process was more advanced at tooth #11 (Fig. 3).
Treatment plan
Teeth #11 and #12 were diagnosed as hopeless. From a periodontal point of view, the clinical situation was considered favourable for an immediate implant procedure: the gingival margin and papillae were at the same level at these teeth as at the contralateral ones.
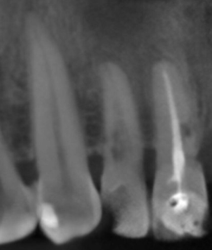
We used the previous CBCT scan to evaluate the bone volume in the apical area of teeth #11 and #12, as well as the integrity of the buccal plate at both sites (Fig.4). The examination of the CBCT scan showed that the buccal plate was intact 3 mm below the gingival level and this correlated to the findings of the clinical examination. The future extraction sockets were determined as Class I according to Elian et al.[2]
The bone volume in relation to the axis of the tooth was considered favourable for immediate implant placement, Class I according to Kan et al.[1] However, we knew from the literature that adjacent implants in such a clinical scenario behave poorly because of the small distance between the platform and that in this kind of situation the probability of the inter-implant papillae loss is quite high. We also knew that a staged approach for the extraction of these two incisors would yield better results from a soft-tissue point of view.[3-6]
Fig 1a
Fig 1b
Fig 2
Fig 3
Fig 4
Fig 5
Fig 6
Fig 7
Fig 8
Fig 9
Fig 10
Fig 11
Fig 12
Fig 13
Fig 14
Fig 15
Fig 16
Fig 17
Fig 18
Fig 19
Fig 20
Fig 21
Fig 22
Fig 23
Fig 24a
Fig 24b
According to all these parameters, we decided to perform an immediate implant placement procedure after extraction of tooth #11. Immediate temporisation was intended subject to sufficient primary stability of the implant. The implant chosen for this procedure was a Straumann BLX implant (4.5 ×12.0 mm). After a proper healing period, tooth #12 was to be extracted, and after a socket preservation procedure and proper soft-tissue healing around a temporary prosthesis, a zirconia cantilevered fixed implant-supported bridge would replace these two teeth.
Surgical procedure
Immediate implant procedure for tooth #11
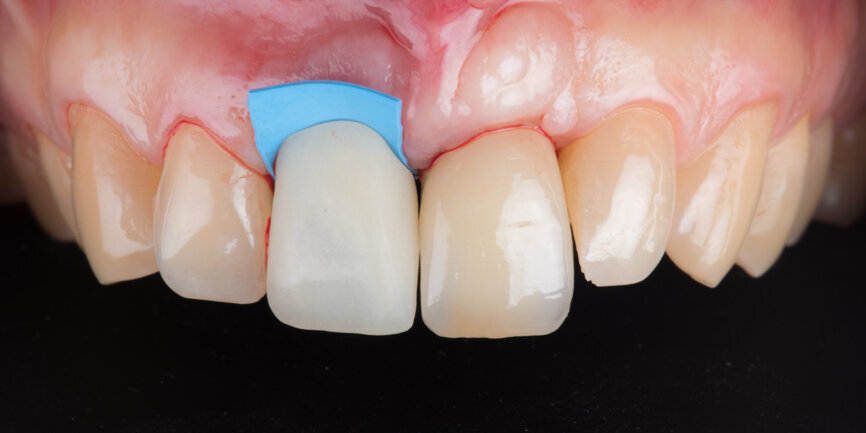
Tooth #11 was extracted atraumatically without raising a flap or performing an osteotomy (Fig. 4). The extraction socket was meticulously cleaned and rinsed with Betadine. The drilling sequence included 2.2, 2.8, 3.2 and 3.7 mm drills (Fig.5). The implant was placed with a final torque of 80 N cm (Figs. 6 & 7). In its final position, the implant platform lay 4 mm below the ideal gingival margin (at the same level of the adjacent implant platform; Fig.8).
A Regular Base (RB) titanium temporary abutment for a crown was placed and a laboratory-made shell was positioned without interference with the temporary abutment (Fig. 9). The surgical site was protected with a small piece of rubber dam (Fig. 10), and the abutment was connected to the shell with a dual-curing luting composite (Fig. 11). The development of a proper emergence profile will be done extra-orally (Fig. 12) to produce the screw-retained temporary crown.
Before placing the provisional crown, the gap between the implant and the buccal plate was filled with a particulate xenograft material (cerabone, botiss biomaterials). The graft was packed up to the gingival margin according to the dual-zone principle described by Chu et al. (Fig. 13).[7] The screw-retained temporary crown was then torqued to 35 N cm (Fig. 14).
Extraction and socket preservation of tooth #12
Three months after placement, tooth #12 was extracted (Fig. 15), and a socket preservation procedure was performed. The socket was filled with cerabone (Fig. 16) and closed with a free gingival graft taken from the maxillary tuberosity (Fig. 17). A cantilevered temporary bridge was then torqued to 35 N cm.
Prosthetic procedure
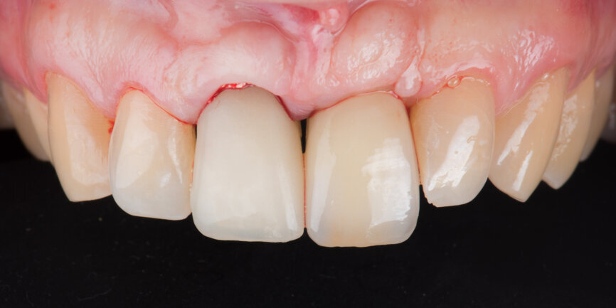
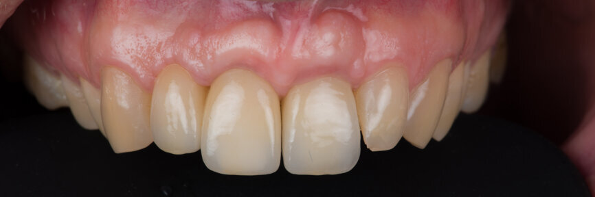
Two months after the extraction of tooth #12, an implant level impression was taken for final restoration using a digital scan body (Fig. 18) and a digital intra-oral scanner (TRIOS, 3Shape). A zirconia cantilevered fixed implant-supported bridge was fabricated according to a fully digital workflow (Figs. 19 & 20). The screw-retained bridge was then torqued to 35 N cm (Figs. 21 & 22). The follow-up, ten months after implant placement, showed a well-preserved gingival contour (Figs. 23 & 24).
Discussion and conclusion
Immediate implant placement and temporisation when properly indicated have three main advantages: timing, biology and prosthetics. The treatment time and number of surgical procedures are reduced compared with a delayed approach. From a biological standpoint, using a slow-resorbing material to fill the gap between the implant and the buccal plate allows predictable preservation of the bone volume. The provisional crown supports the gingival architecture and helps maintain the pre-existing positions of the gingival margin and of the mesial and distal papillae.
When replacing multiple adjacent teeth, a staged approach when possible for the extractions will give better results and the use of a cantilever can allow better soft-tissue preservation. Placing an implant-supported provisional crown on the day of surgery simplifies temporisation in the anterior area, allowing the patient to leave the office on the same day with a fixed provisional.
The success of this procedure relies on three basic principles: proper indication, atraumatic extraction and sufficient primary stability of the implant. The last depends largely on the choice of implant design and drilling protocol, which should be aimed at greater primary stability.
References
Kan JY, Roe P, Rungcharassaeng K, Patel RD, Waki T, Lozada JL, Zimmerman G. Classification of sagittal root position in relation to the anterior maxillary osseous housing for immediate implant placement: a cone beam computed tomography study. Int J Oral Maxillofac Implants. 2011 Jul–Aug;26(4):873–6.
Elian N, Cho SC, Froum S, Smith RB, Tarnow DP. A simplified socket classification and repair technique. Pract Proced Aesthet Dent. 2007 Mar;19(2):99–104; quiz 106.
Tarnow DP, Cho SC, Wallace SS. The effect of inter-implant distance on the height of inter-implant bone crest. J Periodontol. 2000 Apr;71(4):546–9.
Gastaldo JF, Cury PR, Sendyk WR. Effect of the vertical and horizontal distances between adjacent implants and between a tooth and an implant on the incidence of interproximal papilla. J Periodontol. 2004 Sep;75(9):1242–6.
Rodríguez-Ciurana X, Vela-Nebot X, Segalà-Torres M, Calvo-Guirado JL, Cambra J, Méndez-Blanco V, Tarnow DP. The effect of interimplant distance on the height of the interimplant bone crest when using platform-switched implants. Int J Periodontics Restorative Dent. 2009 Apr;29(2):141–51.
Vela X, Méndez V, Rodríguez X, Segalà M, Tarnow DP. Crestal bone changes on platform-switched implants and adjacent teeth when the tooth-implant distance is less than 1.5 mm. Int J Periodontics Restorative Dent. 2012 Apr;32(2):149–55.
Chu SJ, Salama MA, Salama H, Garber DA, Saito H, Sarnachiaro GO, Tarnow DP. The dual-zone therapeutic concept of managing immediate implant placement and provisional restoration in anterior extraction sockets. Compend Contin Educ Dent. 2012 Jul–Aug;33(7):524–32, 534.
Many factors can be related to apical root resorption and rounding, among them orthodontic movement and occlusal trauma. In severe cases, the tooth can even...
The following case report describes a successful immediate implant placement in a mandibular first molar position with Straumann TLX and an immediately ...
The Straumann Campus is continuing to provide dental professionals with free and flexible online education options. This is especially important since ...
Straumann Campus provides dental professionals with a myriad of webinars with a focus on implant dentistry and orthodontics. In the coming weeks, the online...
BASLE, Switzerland: Straumann is pleased to offer its new Straumann BLX implant system across the whole of Europe. The next-generation solution for ...
Immediate implant placement and loading have become increasingly prevalent in modern dentistry, especially in the aesthetic zone, where patients typically ...
Successful immediate implant placement associated with immediate loading remains one of the greatest clinical challenges. In addition to the placement of an...
BASEL, Switzerland: Straumann is pleased to report the very positive results of the first human case study to track the condition and progress of a patient ...
BASEL, Switzerland: Straumann fully launched its TLX implant system at the International Team for Implantology (ITI) World Symposium 202ONE, which is the ...
DUBAI, UAE: Immediacy has become a major part of implant dentistry today. It affords several benefits for both patient and practitioner. In addition, it ...
Education
Live webinar Thu. 23 April 2026 1:00 pm EST (New York)
Dentistry is evolving faster than ever. From digitalisation to changing economic realities, global market changes are redefining how clinicians work and how...
The following clinical case report presents the successful treatment of bilateral sites using both immediate and conventional implant placement with the ...
BASEL, Switzerland: Straumann Group has recently announced new partnerships to reshape its orthodontics business around ClearCorrect, combining technology ...
To post a reply please login or register