Many factors can be related to apical root resorption and rounding, among them orthodontic movement and occlusal trauma. In severe cases, the tooth can even become mobile. In normal situations, a fractured tooth above the gingival margin can be restored with conventional dentistry using an intra-radicular post and prosthetic crown. However, in cases where the root length is no longer optimal for use as a retentive element for an intra-radicular post, alternative options must be considered, which can include a removable partial prosthesis, a fixed three-unit bridge or a dental implant.
One of the main benefits of an implant that is placed and provisionalised immediately is the potential for an aesthetic outcome and preservation of the existing bone morphology and gingival architecture. To enable this type of treatment, adequate primary stability is a prerequisite, and the choice of implant design is directly linked to the expected outcome. Straumann BLX implants combine all properties to match all clinical situations from the surgical to the restorative perspective.
Initial situation
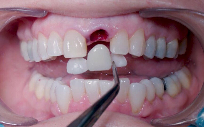
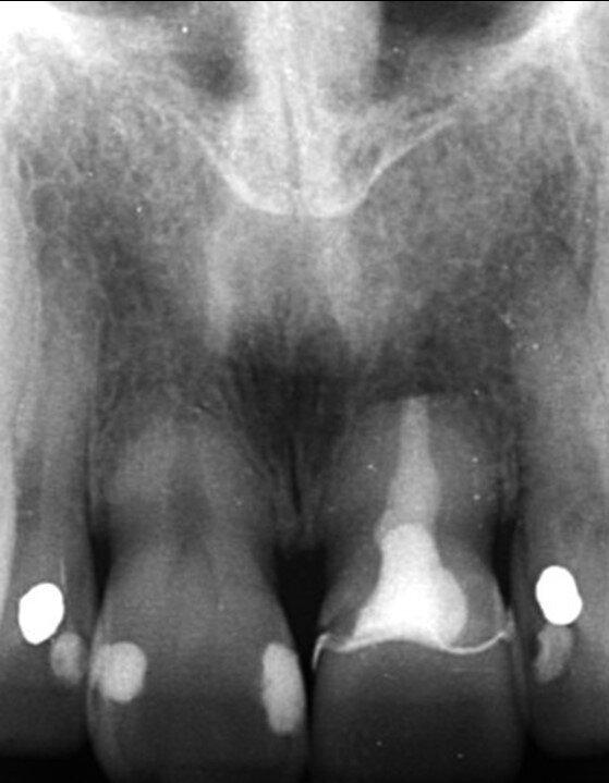
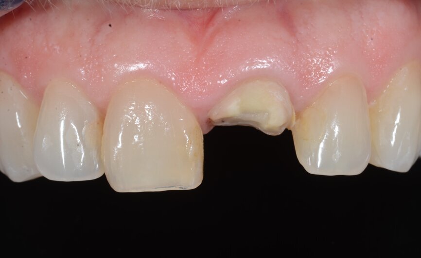
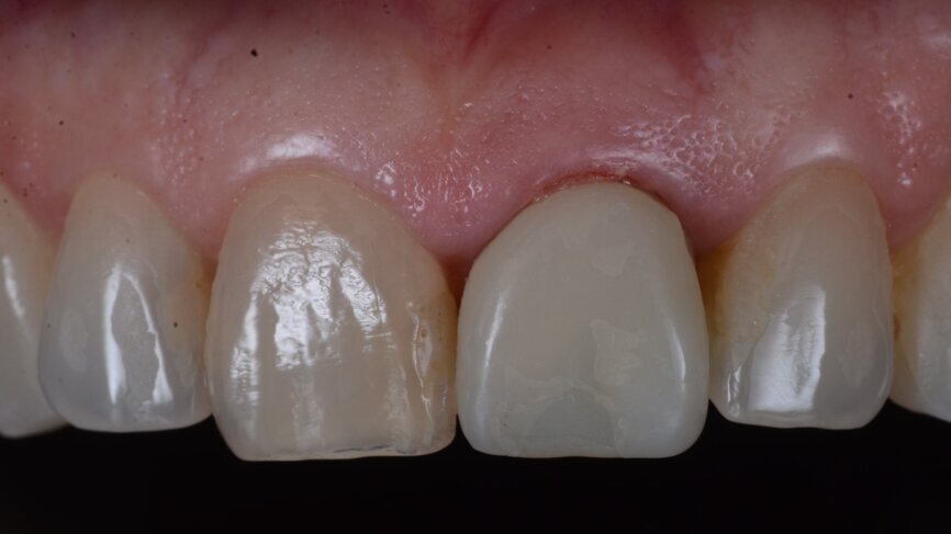
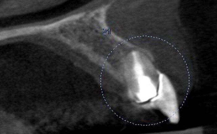
A 53-year-old female patient presented to the office with a fractured left central incisor which had been repeatedly bonded to a ceramic crown (Figs. 1 & 2). Anamneses and examination established good systemic and oral health, a well-balanced occlusion and no smoking habits. Cone beam computed tomography (CBCT) and a periapical radiograph showed external root resorption with very limited insertion into the alveolar bone, insufficient for adequate conventional intra-radicular post placement (Figs. 3 & 4). Considering that the fractured tooth was in the aesthetic zone, the patient requested restoration in the safest and fastest way possible.
Fig. 1: Initial situation, extra-oral view.
Fig. 2: Initial situation, intra-oral view.
Fig. 3: Pre-op periapical radiograph.
Fig. 4: Pre-op CBCT scan.
Fig. 5: Initial osteotomy with needle drill.
Fig. 12: Final implant position assessment in relation to gingival margins.
Fig. 11: Final implant position assessment.
Fig. 10: Implant placement with surgical handle.
Fig. 8: Osteotomy with Ø 3.2 mm drill.
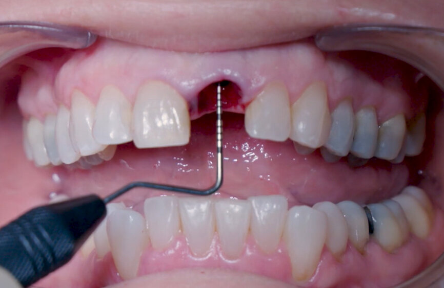
Fig. 7: 3D confirmation with Ø 2.2 mm alignment pin.
Fig. 6: Osteotomy with Ø 2.2 mm
drill.
Fig. 13: Healing abutment to protect connection.
Fig. 14: Straumann XenoFlex being applied in labial gap.
Fig. 15: Straumann XenoFlex being applied in labial gap.
Fig. 16: Granule condensation with surgical probe.
Fig. 17: Application of collacone (botiss
biomaterials).
Fig. 18: Biomaterial application finalised.
Fig. 19: Periapical radiograph to confirm temporary abutment gingival height.
Fig. 20: Temporary crown designed in coDiagnostiX (Dental Wings).
Fig. 21: Temporary crown milled in PMMA.
Fig. 22: Fitting assessment of provisional tooth shell.
Fig. 23: Fitting assessment of provisional tooth shell.
Fig. 24: Screw access open.
Fig. 25: Temporary provisional tooth shell in position for pick-up of the temporary abutment.
Fig. 26: Temporary provisional tooth shell after pick-up impression taking and emergence profile creation.
Fig. 27: Temporary crown seated and polished.
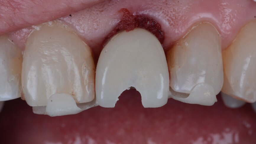
Fig. 28: Temporary crown one week post-op.
Fig. 29: Periapical radiograph one week post-op.
Fig. 30: Monolithic ceramic crown cemented to a regular base/wide base Variobase abutment.
Fig. 31: Final result while smiling.
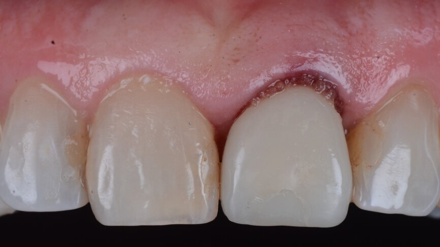
Fig. 32: Final result close up.
Fig. 33: Final result radiograph.
Treatment planning
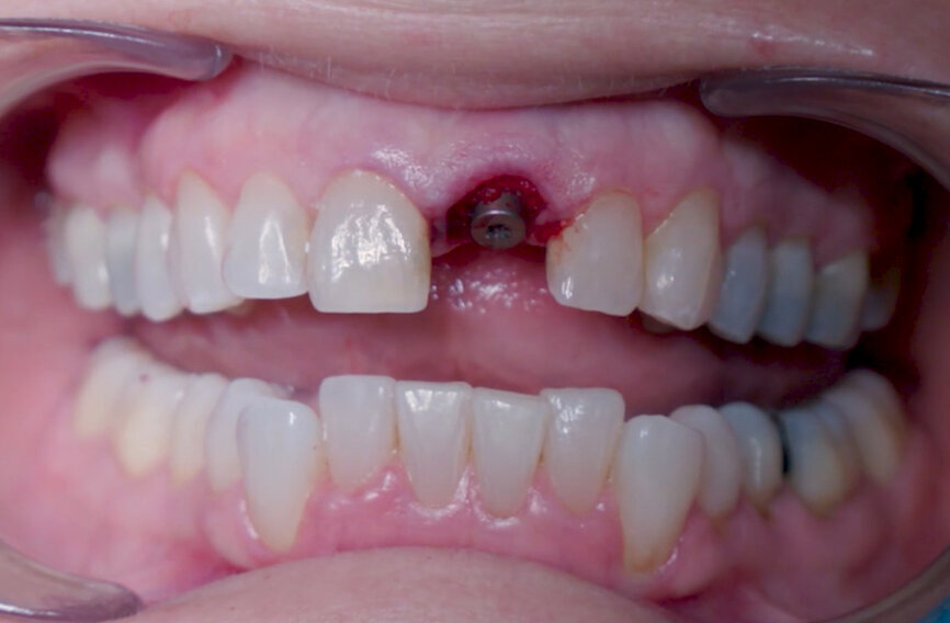
Given the clinical and radiographic situation with the position of the root towards the labial wall and sufficient apical bone, extraction followed by immediate implant placement (Straumann BLX) and immediate restoration was chosen as the treatment option. An immediate temporary abutment would be placed and chairside tooth shell pick-up technique for the provisional restoration.
Surgical procedure
Intra-sulcular incisions were performed to release the marginal gingival fibres to allow a minimally invasive extraction. The socket was carefully cleaned to remove any ligament and debris left. Special attention was given to assessing the alveolar wall integrity. A distance of 3 mm was observed between the gingival margin and the labial wall margin. Implant bed preparation considered a medium-density bone workflow, starting with the needle drill aimed at the palatal wall to create an entry point for the next drills, creating an osteotomy that allows for a greater area of implant engagement (Fig. 5). The Ø 2.2 mm pilot drill was used to the respective implant length planned, followed by the use of an alignment pin to check the 3D orientation (Figs. 6 & 7). The Ø 2.8 mm and Ø 3.2 mm drills were used to finalise the osteotomy (Fig. 8). The site was then properly probed to assess for possible wall perforation. A 4 × 14 mm implant was placed, starting with the surgical handle engaging the apical part of the implant, following the same orientation as that of the needle drill and correcting the implant direction as it moved within the osteotomy (Figs. 9 & 10). Primary stability (45 Ncm) was achieved at the final position. After placement, the implant position was verified horizontally with an occlusal mirror and vertically with a surgical probe, and at this point, the abutment gingival height was selected (Figs. 11 & 12). A healing abutment was placed on to the implant (Fig. 13) to protect the connection so that granular bone substitute (Straumann XenoFlex) could be applied in the gap between the implant and labial wall. This was gently compacted in with the 2.8 mm side of the surgical probe (Figs. 14–16). Collacone (botiss biomaterials) was used to keep the bone granules away from the gingival margins in order to avoid softtissue fenestration and fibroblastic infiltration (Figs. 17 & 18).
Prosthetic procedure
A Ø 4 mm temporary abutment with a gingival height of 2.5 mm was placed on to the implant, and it showed no crestal bone interference, allowing for appropriate creation of the emergence profile (Fig. 19). The tooth shell, which was designed and milled in PMMA prior to the procedure (Figs. 20 & 21), was tested to ensure that the contours and retention wings were appropriate and caused no interference (Figs. 22 & 23). The palatal side, including a small portion of the incisal edge, was opened in order to allow screw channel access (Figs. 24 & 25). The lateral wings of the tooth shell allow the provisional temporary crown to stay immobile during the pick-up procedure, which is a common problem clinicians face when performing the immediate pick-up technique. The tooth shell was bonded to the temporary abutment using flowable light-polymerising composite, and a slim emergence profile was created to the subgingival portion using the same material (Fig. 26). At this point, the retention wings were removed. With no compression to the soft tissue, the provisional crown was seated and the incisal edge adjusted to ensure that the antagonist tooth was not touching it in excursive movements. The provisional crown was torqued to 25 Ncm, and the screw access hole properly closed and polished (Fig. 27). The patient was seen seven days later for postoperative and periapical radiographic control (Figs. 28 & 29).
The final prosthesis was designed using Straumann CARES Visual following a digital workflow. During the design step, it was possible to see that the screw access hole would stay completely to the palatal side with no interference in the aesthetics of the restoration. A monolithic ceramic crown (Prettau Zirconia, Zirkonzahn) was milled and cemented extra-orally to a regular base/wide base Variobase (Straumann) with a gingival height of 1.5 mm, corresponding to the healing remodelling of the bone architecture (Fig. 30). The restoration was seated and screwed to a torque of 25 Ncm after occlusion, contact points and excursive movements had been checked (Figs. 31–33).
Treatment outcome
The patient was a dental nurse in a dental practice and thus had direct interaction with many patients during her working shifts. For her, it was extremely gratifying to be able to leave the dental chair knowing that the compromised tooth had been extracted and the implant placed and restored immediately. The final crown matched the texture and shade of the adjacent teeth, bringing harmony to the smile. The patient referred to the final crown as “the cherry on the cake”.
Editorial note: A list of references is available from the Publisher. This article was published in digital―international magazine of digital dentistry Vol. 1, Issue 2/2020.
Tags:
To post a reply please login or register