BASEL, Switzerland: Straumann is pleased to report the very positive results of the first human case study to track the condition and progress of a patient treated for a missing molar with the new Straumann BLX implant. Straumann BLX is a next-generation implant system that combines an innovative design for optimised stability with the company’s high-performance Roxolid metal alloy and SLActive surface and that offers new levels of confidence—for immediacy and beyond. Additionally, the improved usability in immediate protocols and simplified surgical and prosthetic workflows translate into higher treatment efficiency and shorter chair time for the patient.
Dr Eirik Aasland Salvesen, a periodontist at Oris Dental in Stavanger in Norway and executive director of the Oris Dental Academy, was the treating surgeon. One year ago, he placed a Straumann BLX implant into a healed mandibular first molar site and restored the implant prosthetically through an analogue workflow in the temporary phase and digital workflow for the final restoration.
The patient, a 67-year-old non-smoking man without any relevant medical history, was referred to the office with a missing tooth (#36) due to persistent apical periodontitis. The tooth had been extracted more than one year prior to the procedure and the molar site was well maintained and fully healed (Fig. 1). A CBCT scan showed that the patient had favourable bone availability (Fig. 2), on which basis a one-stage placement of a 5.5 × 10.0 mm Straumann BLX implant was planned. After surgically installing the implant (Figs. 3–7), Salvesen allowed the surrounding soft tissue to mature and heal for six weeks (Fig. 8). He then removed the healing abutment to begin the prosthetic procedures for a temporary crown (Figs. 9 & 10). A stone master cast was made in the laboratory, and a temporary screw-retained PMMA crown was manufactured over a Straumann wide base temporary abutment for the crown (Fig. 11) and placed on to the implant (Figs. 12–14).
After 12 weeks, Salvesen removed the temporary crown, revealing that the soft tissue had healed very well (Fig. 15). He then began the digital workflow. For the final crown, a digital impression was taken with a 3Shape intra-oral scanner, using a Straumann CARES scan body. A monolithic zirconia crown was then seated passively on to the implant in a healed and preconditioned soft-tissue environment (Figs. 16–19).
One year after the treatment, the patient reports complete satisfaction with both his chewing function and the overall aesthetics (Figs. 20 & 21). Radiographs confirm that the molar site is stable and healthy (Fig. 22). In this first human case, use of the Straumann BLX wide base implant delivered efficient and reliable performance, even in soft bone with early loading conditions.
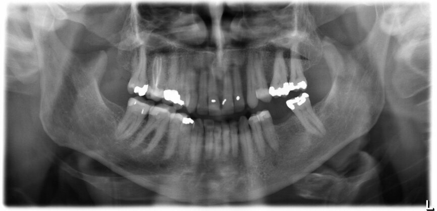
Fig. 1: Panoramic radiograph confirming the well-maintained anatomical conditions one year after tooth extraction.
Fig. 2: CBCT scan measurements demonstrate availability of bone of adequate height and width.
Fig. 3: Implant being removed from the vial cap for insertion into the osteotomy.
Fig. 4: Implant insertion with the handpiece at 15 rpm.
Fig. 5: Surgical torque control instrument showing the implant in the final position and a torque value of 35 N cm.
Fig. 6: Radiograph confirming the seating of a healing abutment of 6.5 mm in diameter and 1.5 mm in gingival height.
Fig. 7: Healing abutment in position, occlusal view.
Fig. 8: Favourable soft-tissue healing after six weeks.
Fig. 9: Impression post engaged on to the implant correctly—no gap visible.
Fig. 10: Impression tray with impression post retained.
Fig. 11: Temporary PMMA crown on a wide base temporary titanium abutment.
Fig. 12: Radiograph confirming the correct seating of the temporary crown—no gap visible.
Fig. 13: Temporary crown in position with the screw access channel closed, occlusal view.
Fig. 14: Temporary crown in position with the screw access channel closed, lateral view.
Fig. 15: Extraordinary keratinisation pattern visible when the temporary crown was removed.
Fig. 16: Monolithic zirconia crown on wide base Variobase abutment ready for placement.
Fig. 17: Final crown in position, occlusal view.
Fig. 18: Final crown in position, lateral view.
Fig. 19: Radiograph confirming the correct seating of the final crown—no gap visible.
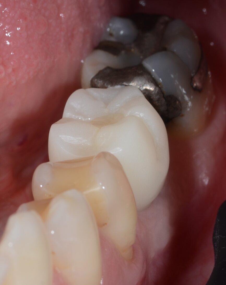
Fig. 20: One-year follow-up occlusal view.
Fig. 21: One-year follow-up lateral view.
Fig. 22: One-year follow-up radiograph.
The risks of previous routine treatments
For many years, conventional fixed bridges were considered routine treatment for replacing a missing single tooth, according to periodontist and oral surgeon Dr Christian Rado Jarry of Straumann’s Global Medical Affairs Department in Basel. “However,” Jarry noted, “this treatment increased the risk of iatrogenic endodontic damage during the invasive preparation of otherwise healthy, undisturbed teeth, which decreased the survival of these teeth over time.”
The use and success of dental implants for rehabilitating the partially edentulous posterior jaw is well established. In addition to its high success rate, it leaves the adjacent teeth undisturbed. That said, Jarry added, successful use of dental implants depends on optimal conditions of the peri-implant tissue. To determine implant dimensions, one must first do a 3-D evaluation of the patient’s bone condition and availability, a key step for the long-term stability of hard and soft tissue.
About single molar restorations
The success of single molar restorations is influenced by factors such as the clinician’s skills, arch morphology, proximity of adjacent teeth, vertical access, anatomy and patient-related limitations. Salvesen noted that the use of wide implants has been proposed as a successful option, with survival rates similar to those of standard-diameter implants.
While osseointegration remains the basis for success, patients’ increasing expectations add new requirements to the definition of success and failure. From a patient’s perspective, success may be defined by not only how functional and natural the outcome is, but also if the treatment required fewer visits to the clinic.
“Clinicians increasingly are using CAD/CAM materials and chairside systems, as well as digital workflows, especially for single-unit restorations. This has been shown to allow for cost-effective and efficient treatment protocols that improve patient satisfaction,” added Jarry.
An enthusiastic response from clinicians
In total, more than 100 clinicians have been working with BLX and have documented their results. A non-interventional multicentre clinical study, currently running, specifically details the new implant’s performance in the everyday practice setting.
“The related feedback is extremely positive,” said Dr George Raeber, Head of Global Product Management for the Straumann Dental Implant System. “An impressive amount of clinical data is already available as we begin to commercialise Straumann’s BLX. We sometimes prefer to go to market a little bit later, but with a rock-solid proposal.”
“When I work with immediacy,” said Salvesen, “I want products that provide me with peace of mind in demanding clinical situations. Straumann BLX implants with Roxolid and SLActive give me that confidence. BLX is exciting because it extends the treatment options we can offer with Straumann products. It’s a new era of implant treatment.”
Editorial note: The case study, titled “Pristine function and aesthetics: One-year follow-up of molar replacement with a new fully tapered implant system”, was published in Issue 1/19 of EDI Journal.
BASEL, Switzerland: Continuing on from a strong 2017, the Straumann Group has reported a positive start to the first quarter of 2018. With double-digit ...
The following case report describes a successful immediate implant placement in a mandibular first molar position with Straumann TLX and an immediately ...
BASLE, Switzerland: Straumann is pleased to offer its new Straumann BLX implant system across the whole of Europe. The next-generation solution for ...
BASEL, Switzerland: The Straumann Group has lifted its outlook for organic revenue growth for 2019 after a strong performance in the third quarter. In the ...
DUBAI, UAE: Immediacy has become a major part of implant dentistry today. It affords several benefits for both patient and practitioner. In addition, it ...
BASEL, Switzerland: The Straumann Group has posted strong financial results for the first half of 2019, with organic revenue up around 16%. Founding new ...
Placing an implant immediately after tooth extraction offers several advantages, including a reduced treatment time, fewer surgical sessions, possibility of...
The Straumann Campus is continuing to provide dental professionals with free and flexible online education options. This is especially important since ...
BASEL, Switzerland: Straumann has recently launched StraumannPLAY, a new-format digital platform, created by peers for peers and designed for sharing ...
LEIPZIG, Germany: The global dental market has been described as “impressively resilient” and “a necessity” in the latest round of conference calls ...
Live webinar
Mon. 15 June 2026
11:00 am EST (New York)
Dr. Cristian Scognamiglio, Dr. Alessandro Perucchi
Live webinar
Fri. 16 October 2026
5:00 am EST (New York)
Prof. Dr. Dr. Florian Stelzle
Dr. David Norré, Dr. Tommie Van de Velde DDS, MSc, PhD
Dr. Laurence Adriaens, Dr. Ghida Lawand BDS, MSc
To post a reply please login or register