In addition to the primary wishes of the patient regarding prosthetic treatment, namely safety, comfort and aesthetics, are the need for an efficient treatment process, high cost-effectiveness and a minimal number of therapy sessions. Owing to the possibilities offered by CAD/CAM, these desires can in many cases be fulfilled.
While a dental technician is indispensable for complex and aesthetically demanding restorations (e.g. in the anterior region), single-tooth restorations (e.g. inlays, partial crowns and complete crowns) can in many situations be realised within the dental practice. For the patient, this has the great advantage, among others, that only one therapy session is needed. Various materials are suitable for such an indication. Mainly, these are materials from the large family of glass-ceramics, which in combination with the adhesive technique optimally fulfil the requirements for conservation of dental hard tissue, biocompatibility, stability and aesthetics.
Overview of dental ceramics in everyday clinical practice
The diversity of materials in everyday prosthetic practice is constantly increasing, especially regarding dental ceramics. For the practitioner, it is important to maintain an overview in order to select the optimal material for the indication. Dental ceramics can be broadly divided into ceramics with a glass phase (e.g. silicate ceramics and glass-infiltrated ceramics) and ceramics without a glass phase, the oxide ceramics (e.g. zirconium dioxide). Differences exist in, among other things, the materials’ photo-optical properties and characteristics (e.g. flexural strength and fracture toughness). To perform single-tooth restorations chairside, a high-strength glass-ceramic is often used, such as lithium disilicate ceramic. To obtain the final strength level of 360–400 MPa, these ceramics are crystallised after milling. There are also pre-crystallised blanks available that only need to be polished. However, in this case, the strength is greatly reduced. For several months, the family of CAD/CAM glass-ceramics has been augmented with a further class of materials: lithium aluminosilicate ceramics (n!ce, Straumann).
Fig. 1: Different n!ce milling blanks.
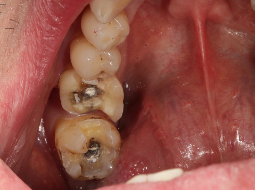
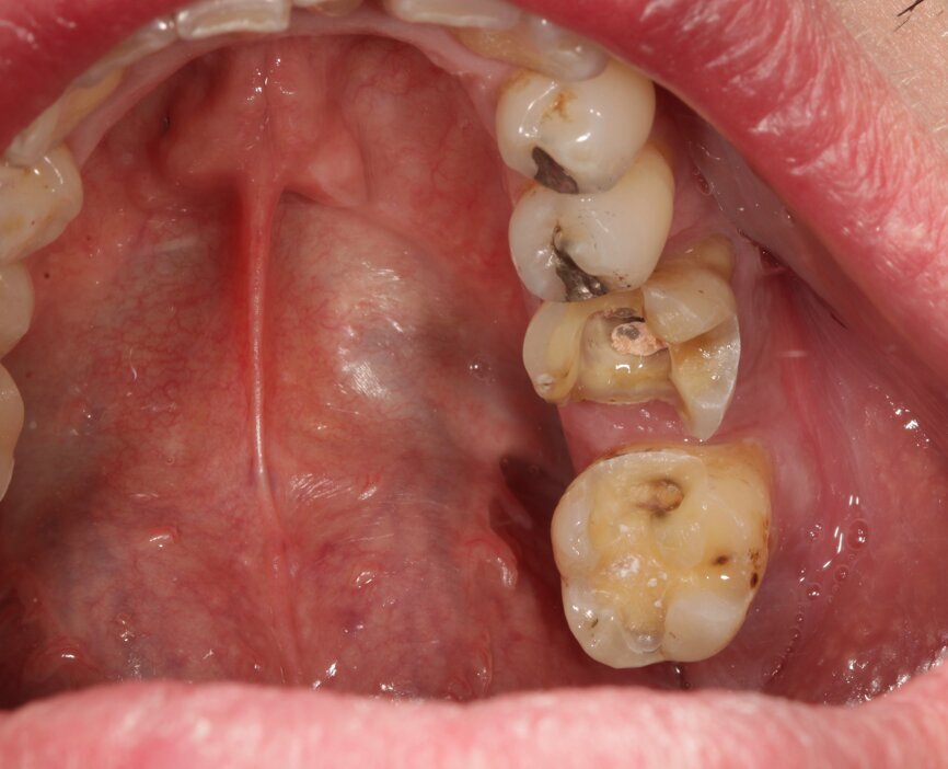
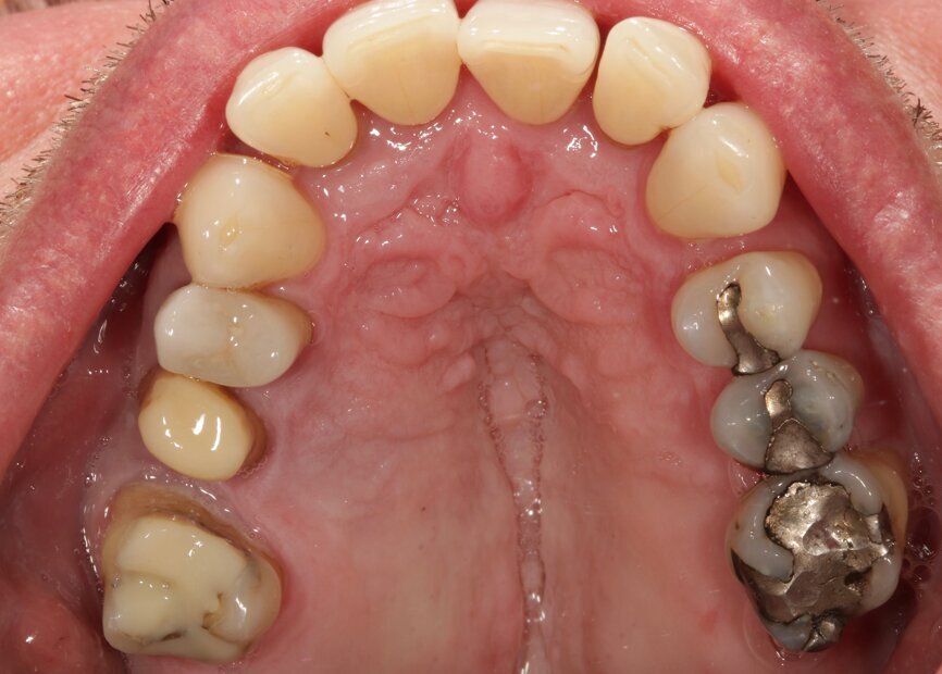
Fig. 2a: The patient desired replacement of the large-surface amalgam fillings in the upper (a) and lower jaw (b) with full-ceramic restorations.
Fig. 2b: The patient desired replacement of the large-surface amalgam fillings in the upper (a) and lower jaw (b) with full-ceramic restorations.
Fig. 3a: The
prepared teeth are readied for intraoral digitalisation (intraoral scanning).
Fig. 3b: The
prepared teeth are readied for intraoral digitalisation (intraoral scanning).
Fig. 3c: The
prepared teeth are readied for intraoral digitalisation (intraoral scanning).
Fig. 4a: Illustrative image of the CAD construction in the posterior segment of the maxilla.
Fig. 4b: Illustrative image of the CAD construction in the posterior segment of the maxilla.
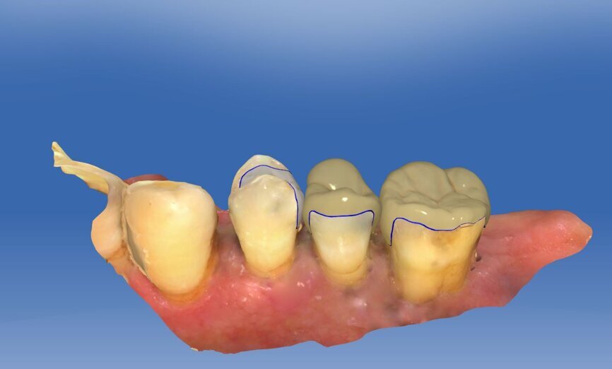
Fig. 5a: CAD construction in the mandible.
Fig. 5b: CAD construction in the mandible.
Fig. 6: Milling of a n!ce restoration.
Fig. 7: Polishing of a n!ce restoration.
Fig. 8: The teeth are conditioned for adhesive bonding of the glass-ceramic restorations.
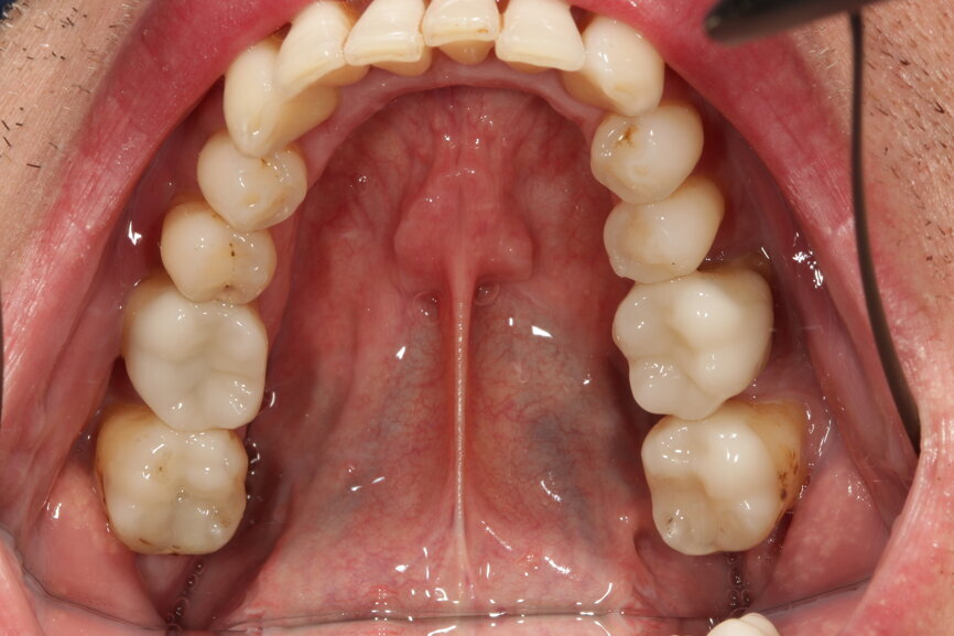
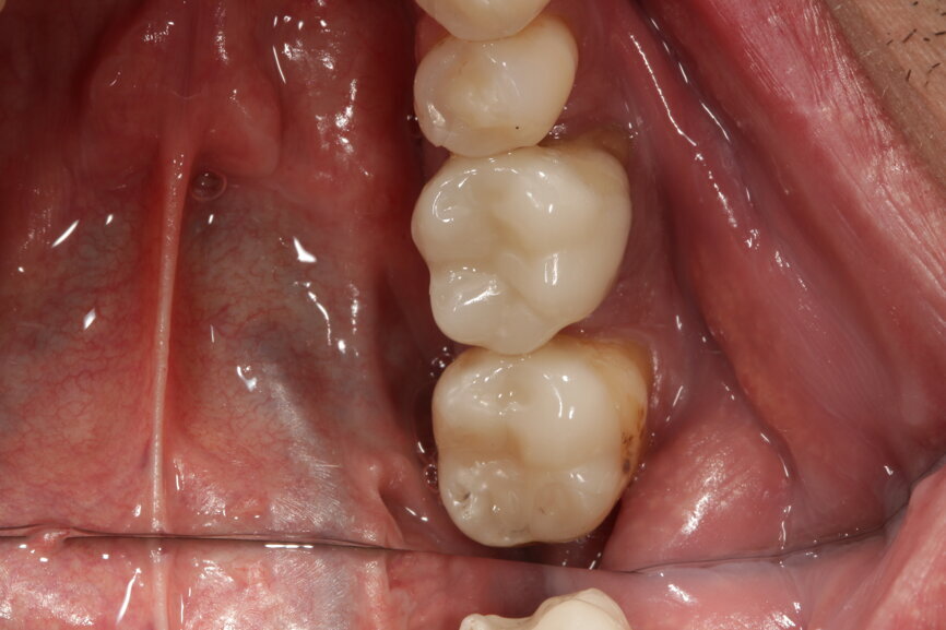
Fig. 9: Restorations inserted in the mandible.
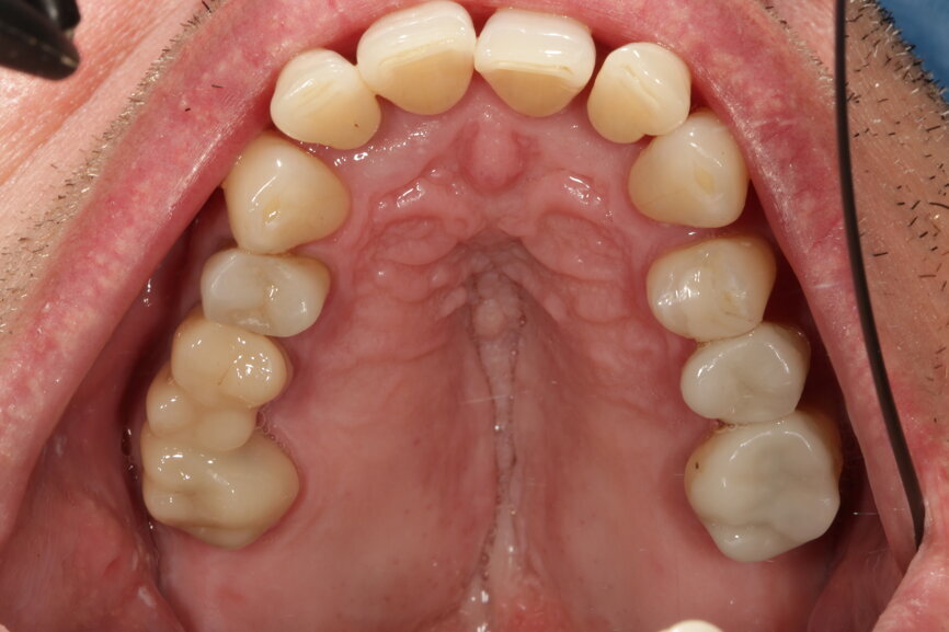
Fig. 10a: Occlusal view after the treatment: glass-ceramic crowns (a), composite fillings and a bridge of lithium disilicate (b).
Fig. 10b: Occlusal view after the treatment: glass-ceramic crowns (a), composite fillings and a bridge of lithium disilicate (b).
Pre-crystallised and high strength
In terms of materials science, the n!ce fully crystallised glass ceramic is a lithium disilicate reinforced with lithium aluminosilicate. Its flexural strength is 350 MPa
(± 50). Its great advantage is its easy and efficient processing. The range contains blanks in two translucency levels: HT (high translucency) and LT (low translucency). Both translucency levels are available in different shades (Bleach, A1, A2, A3, B2 and B4 of the VITA classical shade guides) and cover a large number of restorative indications in everyday clinical practice. The fully crystallised milling blocks were developed specially to fabricate complete crowns, partial crowns, inlays, onlays and veneers. The blanks are compatible with different block holders for different milling machines (Fig. 1). The glass-ceramic blocks can therefore be processed with conventional milling machines and require no investments in additional hardware or software. The material can be milled, polished and seated without crystallisation firing. This saves time and effort in daily practice. Individual characterisation is possible if required.
Case report
Initial situation
The patient wished to have the large-surface amalgam fillings in the upper and lower jaw (Figs. 2a & b) removed and replaced with full-ceramic restorations created with the least possible effort. These were single-tooth restorations (partial crowns). In the maxillary posterior region, a bridge restoration was indicated, which was produced from lithium disilicate ceramic. All other indirect single-tooth restorations were to be fabricated from n!ce. The material is biocompatible and relatively strong without additional crystallisation firing, while featuring natural photo-optical properties.
Preparation
The aim was a new minimally invasive treatment performed within the dental practice. No functional disorders were present and no periodontal abnormalities were identified either. A vitality test was performed on all of the teeth and a positive result was found up to tooth #46. This tooth had undergone root canal therapy.
After anaesthesia and fitting of the rubber dam, the amalgam fillings were removed and the teeth were prepared in a minimally invasive way for full-ceramic restorations (Figs. 3a–c). The restoration guidelines for n!ce are a rounded design, with no angles or sharp edges, and a shoulder preparation with rounded inner edges and/or chamfer. The manufacturer specifies 1 mm as the minimum layer thickness for complete crowns and partial crowns, which was complied with in the preparation.
Construction and milling
Digital impressions of the situation were captured with an intraoral scanner. To prevent mirror images or undesired reflections, the teeth were first dried to the maximum extent. This was followed by bite registration (scan) and importation of the data into the CAD software.
The scans were checked and artefacts were removed. After the virtual model calculation and assignment of the jaws with the bite register, the preparation boundary could easily be marked and the insertion axis defined with a few clicks. The automated, biogeneric initial suggestion of the software was a valuable aid in constructing the restorations. Only minor changes were made to the initial suggestion. The restorations were constructed within a short time (Figs. 4 & 5) and the data was transferred to the CAM machine. In the milling preview, the design was finally checked, for example for values below the minimum wall thickness. The n!ce blocks were then secured and the restorations were milled (Fig. 6). Milling was performed in the fine mode and took about 25 minutes.
Completion
After removing the milled restorations from the machine, the milling pins of the blank were removed with a fine-grain arkansas stone. The restorations milled from n!ce showed finely tapered margins and a 1:1 reproduction of the construction. On trial placement in the mouth, the fit was judged as very good. At some sites, the approximal contact points were adjusted as required. Final polishing of the restorations outside the mouth produced a high-gloss finish. For a natural appearance, the n!ce restorations can be polished with a standard polishing set for lithium disilicate glass-ceramic. A classical polishing protocol was used in this case—coarse burs, ceramic polisher, zirconium oxide polishing paste (Zirkopol, Feguramed) and brushes (Fig. 7)—and the restorations were then cleaned in an ultrasonic bath. The complete crowns and partial crowns were then ready to be fitted. An additional crystallisation firing as for comparable materials is not necessary for n!ce.
Insertion
The insertion of restorations in the mouth was performed with an adhesive under rubber dam isolation. The same adhesive cements used for lithium disilicate can be used for n!ce. Before insertion, the ceramic restorations were cleaned with phosphoric acid (30 seconds). Conditioning of the bonding surface was performed according to the protocol, with 20 second etching with a 5 % hydrofluoric acid gel. After cleaning and conditioning the teeth, final insertion of the restorations wasperformed
(Figs. 8 & 9), And the functional criteria underwent a final check. The two small amalgam fillings in teeth #34 and 35 were replaced with direct composite fillings.
Conclusion
In combination with the intraoral scanner and the chairside CAM machine, n!ce glass-ceramic offers the possibility of fabricating indirect single-tooth restorations easily, safely and comfortably within the dental practice. The lithium aluminosilicate ceramic is supplied in the fully crystallised state; thus, no crystallisation firing is necessary. Mill, polish, seat—the procedure described offers high comfort for the patient and high productivity in everyday practice.
Editorial note: A list of references is available from the publisher. This article was published in CAD/CAM―international magazine of digital dentistry Vol. 11, Issue 1/2020.
Tags:
To post a reply please login or register