Search Dental Tribune

Dental News

Study reveals possible link between tooth loss in mothers and family size

NIJMEGEN, Netherlands: Being a mum is no easy job. The bigger the family, the less time there may be for self-care and things like oral health may become ...

save

Academy of Osseointegration elects new president

ARLINGTON HEIGHTS, Ill., U.S.: With 6,000 members in 70 countries around the world, the Academy of Osseointegration (AO) is recognized as one of the premier...

save

ADIA and BDIA to sign agreement and strengthen ties

SYDNEY, Australia: Seeking to strengthen existing ties, the Australian Dental Industry Association (ADIA) and the British Dental Industry Association (BDIA)...

save

Oral health gap closing between Aboriginal and non-Aboriginal Australian children

MELBOURNE, Australia: The disparity in oral health between Aboriginal and non-Aboriginal Australians is an ongoing issue. Caused in part by limited access ...

save

Orthodontic management of maxillary lateral incisors agenesis

The purpose of this article is to show the diferent modalities of treatment for upper lateral incisors agenesis. In daily practice, orthodontists often meet...

save

Children are not getting dental check-ups early enough, FDI survey shows

GENEVA, Switzerland: Maintaining a healthy mouth is crucial to keeping it functioning correctly and to maintaining general health and well-being. Ahead of ...

save
advertisement

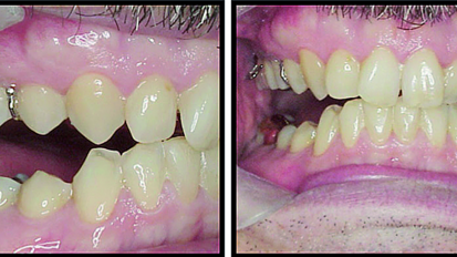
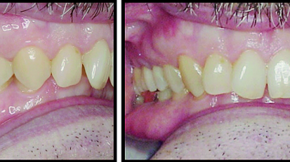
New implant study helps improve guided bone regeneration

RIYADH, Saudi Arabia: With more people opting for implants, dental practitioners are seeing an increase in difficult cases of implantation, such as ...

save

"Good oral health is for life, not just for World Oral Health Day"

Since 2016, the FDI World Dental Federation and oral health product manufacturer Philips have been partnering to promote World Oral Health Day on 20 March. ...

save

Free webinar to cover the use of titanium bases as abutments for CAD/CAM

NEW YORK, U.S.: Titanium bases as abutments for CAD/CAM-fabricated crowns and bridges are becoming hugely popular. However, concern has been raised ...

save

Race® ISO 10

Sat. 17. March 2018

Younger patients benefit from bioactive dental fillings, dentists find

BOSTON, U.S.: The results of the use of ACTIVA BioACTIVE-RESTORATIVE, the bioactive dental filling material developed by Pulpdent, have been published in a ...

save
advertisement

EXPODENTAL 2018 focuses on innovative training and education offering

MADRID, Spain: As in previous years, the 2018 EXPODENTAL international dental equipment, supplies and services show is dedicating a special section of the ...

save

Dentsply Sirona hosts event in Berlin

BERLIN, Germany: In the beautiful city of Berlin, Dental Tribune International was invited on Wednesday 14 March to an event at the Digital Dentistry ...

save

Atlantis Editorial to release new books for dental professionals

MADRID, Spain: Atlantis Editorial, a Spain-based publisher of scientific dental books, has announced the upcoming release of two new books, one on ...

save
advertisement

Study shows some toothpastes do not protect against erosion and hypersensitivity

BERNE, Switzerland: Over the years, more and more toothpastes have been released on to the market claiming to aid with one thing or another—with a ...

save

Endodontic expert to discuss ideal isolation in free webinar

LOS ANGELES, U.S.: As the ability to replace teeth with implants becomes more and more efficient and accurate, the importance of endodontics can sometimes ...

save

Google unveils new cloud-based health care application

LAS VEGAS, U.S.: As more technical areas of dentistry become digitalized, so too is the way in which patient data is used. Looking to address some of the ...

save

MTA placement with the Produits Dentaires MAP System

More than 20 years ago, Torabinejad et al. first described a new root-end filling material called mineral trioxide aggregate (MTA).[1] MTA showed in vitro ...

save
advertisement

W&H Ibérica celebrates 20-year anniversary at EXPODENTAL

MADRID, Spain: With the largest stand ever, plenty of innovations, giveaways and surprises, W&H is launching a number of festivities for the 20th ...

save
Event 12 - 16 March 2019

IDS 2019

advertisement

ISSA play

Tue. 13. March 2018

THE PERFECT TOOTHBRUSH TO DISCOVER SONIC ORAL CARE!

save

Microneedles may increase the effectiveness of topical anesthesia

LUBBOCK, Texas, U.S.: Fear of injections is not an uncommon condition, and when coupled with a fear of dentists, some people may avoid dental treatment ...

save
advertisement

Research predicts growth of oral cancer treatment market

PUNE, India: According to the World Cancer Research Fund International, cancer of the oral cavity is one of the most common types of cancer worldwide, with ...

save

ISSA 2

Mon. 12. March 2018

THE IMPROVED ELECTRIC TOOTHBRUSH WITH DYNAMIC DUAL-DESIGN

save

Dentists lead research into faster detection of Zika virus

NEW YORK, U.S.: Early detection of any disease or virus is critical. The 2015 Zika outbreak in Brazil, which led the World Health Organization to declare ...

save

Planmeca team up with manufacturer of mandibular advancement devices

HELSINKI, Finland: Known for its ease of use and accuracy, the Planmeca Emerald intra-oral scanner can now be used in the production of the mandibular ...

save
advertisement