Search Dental Tribune

Dental News

“An implant solution for virtually every indication”

Dentsply Sirona made a strong impression at the International Dental Show (IDS) 2023 in Cologne, showcasing its broad portfolio of solutions that ...

save

Rheumatoid arthritis patients rate how oral health affects quality of life

MADRID, Spain/MEDELLÍN, Colombia: Researchers have evaluated the relationship between oral health-related quality of life (OHRQoL) and rheumatoid arthritis...

save

Creator of Anterior Growth Guidance Appliance is now under federal investigation

SILVER SPRING, US: The Anterior Growth Guidance Appliance (AGGA) was already undergoing a US Food and Drug Administration (FDA) investigation into its ...

save

Study uses LED imaging to visualise aerosols generated during dental treatment

SENDAI, Japan: Since various infectious diseases travel through airborne aerosol particles and droplets, researchers have recently sought to understand how...

save

HASSBIO partners with imes-icore and pritidenta on new milling solution

GANGNEUNG, South Korea, South Korea: A leading bioceramics manufacturer for dental CAD/CAM in South Korea, HASSBIO has announced new strategic partnerships ...

save

GC International – G-CEM ONE Universal

Mon. 17. April 2023

G-CEM ONE Universal defines a new reference in both full-adhesive and self-adhesive cementation

save
advertisement

Thirteenth International Dental Exhibition and Meeting returns to Singapore in 2024

SINGAPORE: The International Dental Exhibition and Meeting (IDEM)—the leading conference in the Asia Pacific region—will return to the legendary Marina ...

save

Study shows both endoprosthesis surgeons and patients need more oral health training

LEIPZIG, Germany: As any postoperative infection can potentially be linked to the oral cavity, researchers have evaluated the oral health, oral health ...

save

Septodont and Immersify Education partner to enhance dental studies

SAINT-MAUR DES FOSSÉS, France: Septodont, a leader in dental pain management, has entered into a new partnership with Immersify Education. Aiming to ...

save

Less-Prep Endo—is a paradigm shift in root canal preparation ahead of us?

Lasers were introduced to dentistry in 1965 by Leon Goldman. The first application was a failure because of excessive thermal damage. We can only wonder ...

save

CleanImplant hosts fifth group and experts meeting at IDS 2023

BERLIN, Germany: The non-profit CleanImplant Foundation recently participated in the 2023 International Dental Show (IDS). For its fifth iteration, this ...

save
Event 17 - 19 April 2026

IDEM Singapore 2026

Location: Singapore
advertisement
Event 25 - 28 May 2023

AAPD 2023

ClearCorrect expands into international markets and new manufacturing lines

BASEL, Switzerland: ClearCorrect, a pioneering provider of orthodontic solutions, has pressed ahead with its global growth strategy, driven by several new ...

save

Academic review of CAD/CAM applications within dentistry

SAWANGI, India: One thing is certain: technology is always changing. Whether a dental clinician is experienced in CAD/CAM or is a novice in digital ...

save

FKG Dentaire expands its obturation portfolio with new bioceramic products

LA CHAUX-DE-FONDS, Switzerland: FKG Dentaire has introduced BC Universal Sealer and BC Universal RRM to complement its endodontic obturation portfolio in ...

save
advertisement

Artificial intelligence: A gift to dentists

The May 2019 edition of The Atlantic magazine contained an article titled “The truth about dentistry”. In it, the author visualised dentists—not a ...

save

AOFan to host first international meeting in Rome on 7 and 8 July

ROME, Italy: AOFan continuing education was born in Italy in 2019, thanks to the experience of Drs Paolo Gallo, Alessandro Greco and Federico Migliori in ...

save

Study finds intra-oral scanner viable alternative to visual clinical evaluation in detecting caries

ATHENS, Greece/COPENHAGEN, Denmark: There has been very little research done to compare the efficacy of intra-oral scanners with that of visual examinations...

save

Hyaluronic acid fillers: Can fuller lips be too full?

MARINGÁ, Brazil: Lips come in many shapes and sizes, but fuller lips are often seen as a physical representation of youth and beauty. To that end, ...

save
advertisement

EFP publishes report on needed collaboration between dental professionals and general practitioners

BRUSSELS, Belgium: Close collaboration between general practitioners, periodontists and other oral health professionals is necessary for effective ...

save

New products from 3D Systems: Empowering dental professionals and improving the patient experience

ROCK HILL, S.C., US: Expanding its robust portfolio of materials and 3D-printing solutions for clinicians and dental laboratories, 3D Systems has announced ...

save
advertisement

Osstem Implant’s K5 dental chair unit captivates customers around the world

SEOUL, Korea: After the global success of Osstem Implant’s K3 dental chair unit, more than 40,000 units having been sold in 72 countries, Osstem has ...

save

Haptic technology: Supporting dental students with realistic clinical experience

HIGH POINT, N.C., US: Haptic technology was first developed and introduced in the 1970s. Today, the cutting-edge technology is growing rapidly and is ...

save

The fight for improved safety of anaesthesia in dentistry —Part 1

Anaesthesia policy in dentistry is an increasingly controversial topic. Sedation and anaesthesia failures can lead to patient injury, and deaths have made ...

save

Long-term restorative glass hybrids—eco-friendly and cost-effective evolution from GC

LUCERNE, Switzerland: EQUIA Forte and EQUIA Forte HT, the glass hybrids from GC, are the ideal partners for dentists who want to practise environmentally ...

save
advertisement

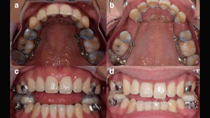
Clear aligners: Study examines anchorage loss during maxillary molar distalisation

ROME, Italy: Seeking to address a gap in the literature, researchers have analysed premolar and canine anchorage loss occurring during maxillary molar ...

save

Artificial intelligence in dentistry: Streamlining orthodontic care

FARMINGTON, Conn., US: Many factors may influence therapeutic decisions in orthodontics. For example, orthodontists may sometimes inaccurately interpret ...

save
Event 25 - 29 March 2025

International Dental Show—IDS 2025

Location: Cologne, Germany
advertisement
advertisement