Search Dental Tribune

One of the key challenges in implant cases is achieving predictable outcomes that preserve soft-tissue architecture. (Image: Garo/Adobe Stock; clinical images: Dr Bozhidar Nastanliev et al.)

Implant dentistry has undergone a revolutionary transformation with the advent of digital workflows. These advancements have significantly improved the treatment of patients with periodontal disease and terminal dentition. One of the greatest challenges in full-arch rehabilitation has always been achieving predictability—ensuring consistent and reliable clinical outcomes. This involves careful planning and execution to optimise efficiency, reduce treatment time and create a more comfortable experience for the patient.

The tides have shifted in full-arch restorations, moving away from the traditional Misch classification FP-3 approach, which required extensive bone resection to accommodate a fixed hybrid prosthesis with a titanium bar. Instead, the focus is now on preserving the patient’s existing bone and soft tissue. Today, patients with terminal dentition can receive restorations that not only provide them with functional teeth but also maintain their natural soft-tissue architecture. The modern approach leans towards FP-1 restorations, enabling patients to achieve a natural smile that blends with their own gingival tissue.

Digital workflows have also brought greater precision and reduced stress for both dentists and dental technicians. The process eliminates many of the complexities associated with analogue impressions, such as splinting impression copings and repeating steps if passive fit checks fail. This was the final analogue step that dentists had to perform, even in the digital workflows we rely on today. Now with SmartFlag scan bodies (Apollo Implant Components), this step has been eliminated, allowing us to transition fully into the digital realm for complex full-arch restorations. By embracing digital methods, we achieve higher accuracy and efficiency, ultimately enhancing the patient experience.

Figs. 1a–c: Initial situation.

Figs. 1a–c: Initial situation.

Fig. 2: Panoramic radiograph before treatment.

Fig. 2: Panoramic radiograph before treatment.

Fig. 3: Overjet and overbite.

Fig. 3: Overjet and overbite.

Fig. 4: Soft-tissue profile. We observed an excess of tissue overall except in the area of tooth #12, where a connective tissue graft (CTG) would be needed.

Fig. 4: Soft-tissue profile. We observed an excess of tissue overall except in the area of tooth #12, where a connective tissue graft (CTG) would be needed.

Case presentation

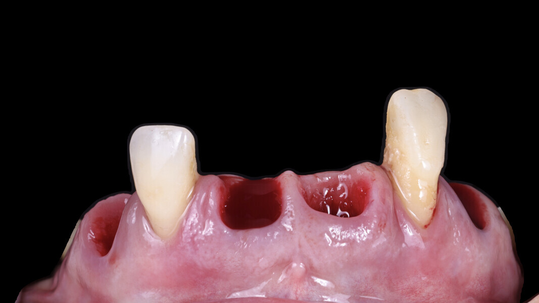
A 52-year-old female patient presented to our office seeking treatment for her periodontal disease. Her primary concerns were functional, in that she had difficulty chewing properly, but she also desired a more confident smile (Fig. 1).

After a thorough anamnesis, clinical evaluation and radiographic examination (Fig. 2), the patient was diagnosed with Stage IV, Grade C periodontitis. After a complete periodontal cleaning and full-mouth disinfection, it became evident that none of the teeth in her upper jaw were salvageable.

We presented the patient with three treatment options:

  1. Maintain her existing maxillary teeth: While this approach could prolong the life of her teeth, it would not address her primary concerns regarding functionality and aesthetics.
  2. Extract all her maxillary teeth and transition to a removable prosthesis: This would eliminate the bacterial load and compromised teeth. However, this option might not have provided the confidence or social integration the patient desired.
  3. Extract all her maxillary teeth and replace them with implants: This option would aim to preserve her existing gingival architecture, restore proper function and deliver an aesthetically pleasing result. In our professional opinion, this was the most reasonable and effective solution for the patient.

Diagnostic findings

From analysis of the patient’s documentation, it was clear that loss of bony support had caused her teeth to migrate and tilt forwards such that they extended over the lower lip, resulting in excessive overjet. Additionally, there was a noticeable deviation of the midline, which had shifted towards the right. The incisal edges no longer followed the natural contour of her lower lip during a smile.

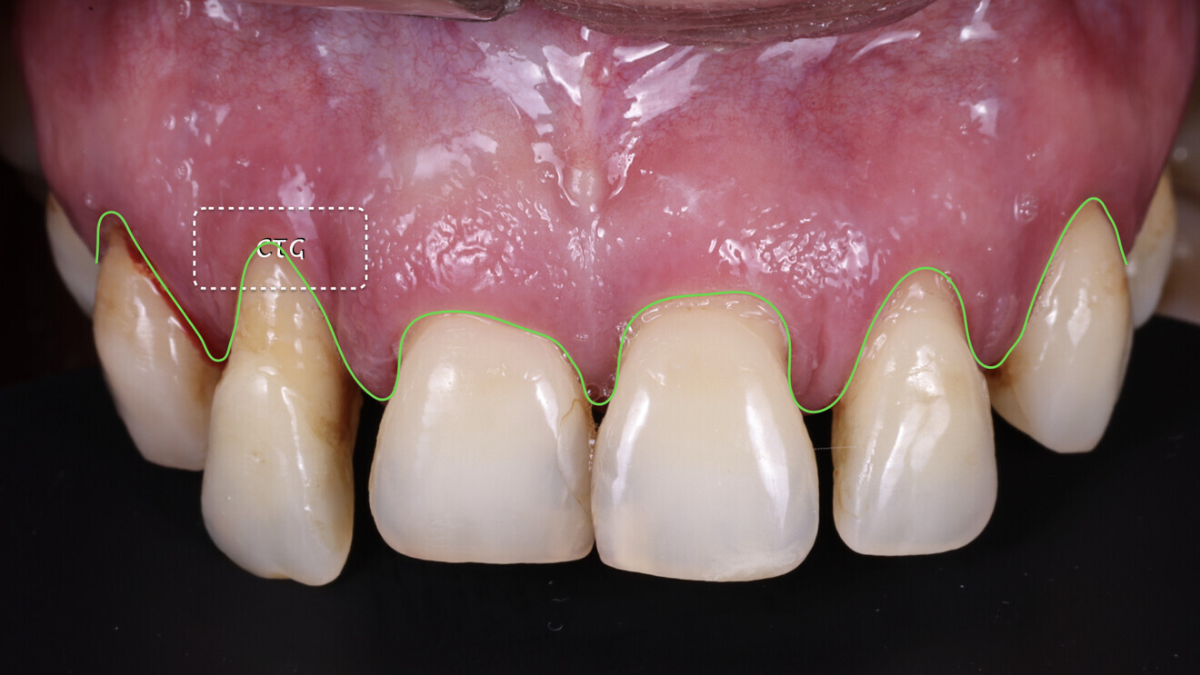
From an occlusal perspective, the patient exhibited both an excessive overjet and overbite (Fig. 3). However, her gingival architecture remained largely intact. Despite the presence of deep, untreatable periodontal pockets, there was minimal recession, thanks to her thick periodontal biotype (Fig. 4). This offered us an advantage. With careful planning and proper design, we were confident that we could preserve and slightly modify her gingival tissue to meet her aesthetic goals.

Treatment planning

Restoration design
We begin with facial analysis and use planning software to select the appropriate tooth forms that complement the patient’s facial structure and determine the optimal apico-coronal tooth positioning. This step is particularly beneficial when the software allows us to modify tooth forms in relation to the patient’s soft-tissue contours, including papillary height, ideal gingival zeniths and other critical aesthetic parameters (Fig. 5). For this patient, as we aimed to achieve high papillae and have an excess of soft tissue to manipulate, we opted for trapezoidal tooth forms or potentially triangular forms rather than square ones. Once the desired tooth forms are selected, they are exported to a 3D CAD software program for precise positioning in the buccolingual dimension.

For effective 3D planning, having a combined extraction model is essential. This provides the dental technician with clear reference points for creating custom support that follows the emergence profile of each individual tooth (Figs. 6 & 7).

In this specific case, we strategically positioned the design palatally and more coronally. This compensated for the existing occlusal disharmonies while also shaping the soft tissue for prosthetically guided healing of the extraction sites. By integrating these adjustments, we could harmonise the patient’s bite and smile, achieving both function and aesthetics (Figs. 8–10).

Fig. 5: Facial analysis and smile design.

Fig. 5: Facial analysis and smile design.

Fig. 6: Combination of the CBCT and the intra-oral scans for segmentation.

Fig. 6: Combination of the CBCT and the intra-oral scans for segmentation.

Fig. 7: Combined extraction model.

Fig. 7: Combined extraction model.

Implant 3D position and guide design
After completing the tooth design and preparing the combined extraction model, we export the entire plan to implant planning software. The following are key parameters for planning:

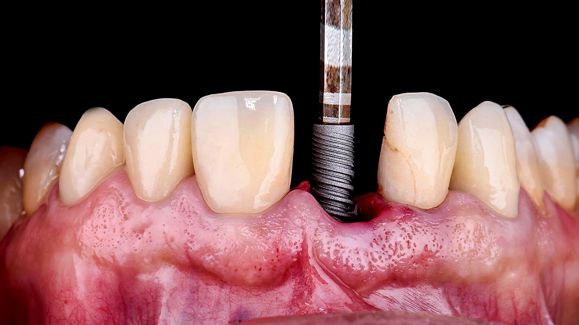
  1. Implant and component selection: We choose not only the implant dimensions (length and diameter) but also the appropriate components (type and length). For this specific case, we selected bone-level implants paired with 2 mm multi-unit abutments. This selection is critical for ensuring proper space distribution between neighbouring implants. Using narrow implants with overly wide components would compromise soft tissue by compressing or damaging the papillae.
  2. Depth correlation with gingival zenith: The ideal implant depth is planned to be 4 mm below the future zenith. This ensures proper emergence profiles and tissue stability (Fig. 11).
  3. Positioning with the combined extraction model: The combined extraction model enables precise implant positioning in the mesiodistal and buccolingual dimensions, taking into account the existing soft-tissue architecture. This allows us to avoid damage to the papillae and soft tissue during drilling and implant placement.
  4. Angulation for optimal restoration: By leveraging the 36° angulation offered by the multiSHIFT36° titanium base (Apollo Implant Components), we can place implants in a biologically optimal position without compromising prosthetic outcomes. This approach prevents excessive bulk in the cingulum area and maintains aesthetic harmony (Fig. 12).
  5. Implant positioning within the bone for biological integration: With this combined periodontal and prosthetic approach, the final step is to locate the best position within the bone to accommodate the implant while preserving surrounding structures.

Once the implants are planned, we design and 3D-print the surgical guide (Fig. 13). With everything in place, we proceed to surgery, ensuring precision and efficiency.

Surgical procedure

The greatest advantage of digital dentistry is the ability to pre-plan every aspect of a surgical procedure and visualise it before the surgery even begins. This unique capability reduces stress for the surgeon significantly while providing control during the procedure itself.

In this specific case, the most significant benefit of digital technology was the ability to execute the surgery, keeping it under the critical 2-hour mark—essential for promoting optimal healing and minimising postoperative complications. This level of efficiency is made possible by the latest SmartFlag scan bodies.

Previously, even with digital workflows, the impression stage remained an analogue process. The use of impression copings and pattern resin was not only difficult but also uncomfortable for patients. More importantly, performing this step intra-orally in fresh extraction sites risked interfering with wound healing, all for the sake of achieving the desired passive fit. Additionally, splinting the copings together was time-consuming and tedious. Today, with digital impressions facilitated by SmartFlag scan bodies, these challenges are eliminated.

This is how the surgical workflow for this case proceeded:

  1. Anaesthesia: Local anaesthesia was administered to ensure patient comfort throughout the procedure.
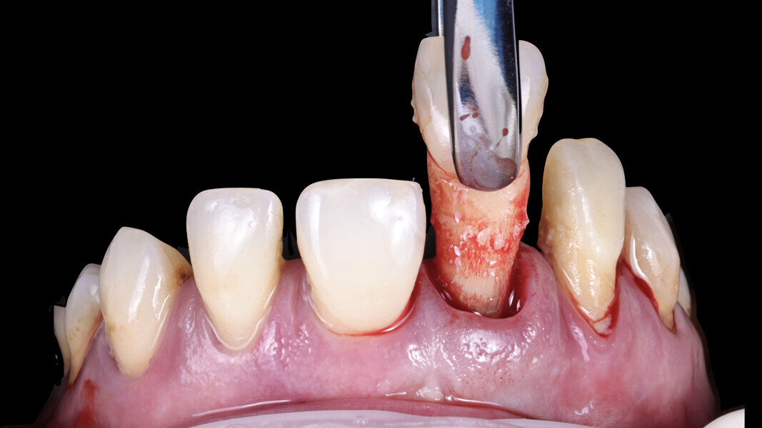
  2. Gentle tooth extraction: Selected teeth were carefully extracted with minimal trauma to preserve the buccal and palatal soft tissue as well as the papillae (Figs. 14–16), leaving selected teeth in place to stabilise the surgical guide.
  3. Guide verification and fit check: For this case, we opted for a tooth-supported guide, which is highly accurate and straightforward to execute. The guide was verified for proper fit before proceeding.
  4. Guided implant placement: Eight implants were placed using a guided approach, achieving optimal progressive torque of 35 N cm and excellent bone–implant contact (Fig. 17).
  5. Multi-unit abutment seating: The multi-unit abutments were torqued to 25 N cm.
  6. Placement of SmartFlag scan bodies: The scan bodies were attached. The remaining teeth served as reference points for the dental technician to align the digital impression with the preplanned design and fabricate the temporary restoration.
  7. Final tooth extractions: The remaining teeth were extracted to ensure a clean surgical site, and healing abutments were placed on the implants (Fig. 18).
  8. Temporary restoration delivery: The patient was scheduled for the delivery of the temporary restoration the following day.

This streamlined workflow showcases the transformative power of digital dentistry, offering both precision and efficiency while enhancing clinical outcomes.

Delivery of the temporary restoration and healing phase
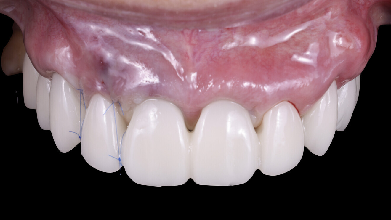
The following day, a connective tissue graft was placed in the area of tooth #12 to enhance the soft-tissue profile, and the temporary restoration was delivered. After the delivery, the patient was allowed to heal for a period of four months, allowing for proper implant integration and soft-tissue healing (Figs. 19–22).

Fig. 19: Soft-tissue deficit in the area of tooth #12 that was to receive a connective tissue graft.

Fig. 19: Soft-tissue deficit in the area of tooth #12 that was to receive a connective tissue graft.

Fig. 20: Connective tissue graft in the area of tooth #12 the day after implant placement.

Fig. 20: Connective tissue graft in the area of tooth #12 the day after implant placement.

Fig. 21: Sutured area after grafting.

Fig. 21: Sutured area after grafting.

Fig. 22: After delivery of the temporary restoration the day after implant placement.

Fig. 22: After delivery of the temporary restoration the day after implant placement.

Follow-up, re-evaluation and impression taking

After the healing period was complete, the patient returned for an impression and re-evaluation of aesthetics and function. We captured both extra-oral and intra-oral photographs and then proceeded with the impression-taking process (Figs. 23–25). The following were the key steps in this phase:

  1. Initial impressions: We took digital impressions of both the upper and lower jaws as well as the occlusion.
  2. Removal of the temporary restoration: After removing the temporary restoration, we took an impression of the soft tissue underneath (Fig. 26).
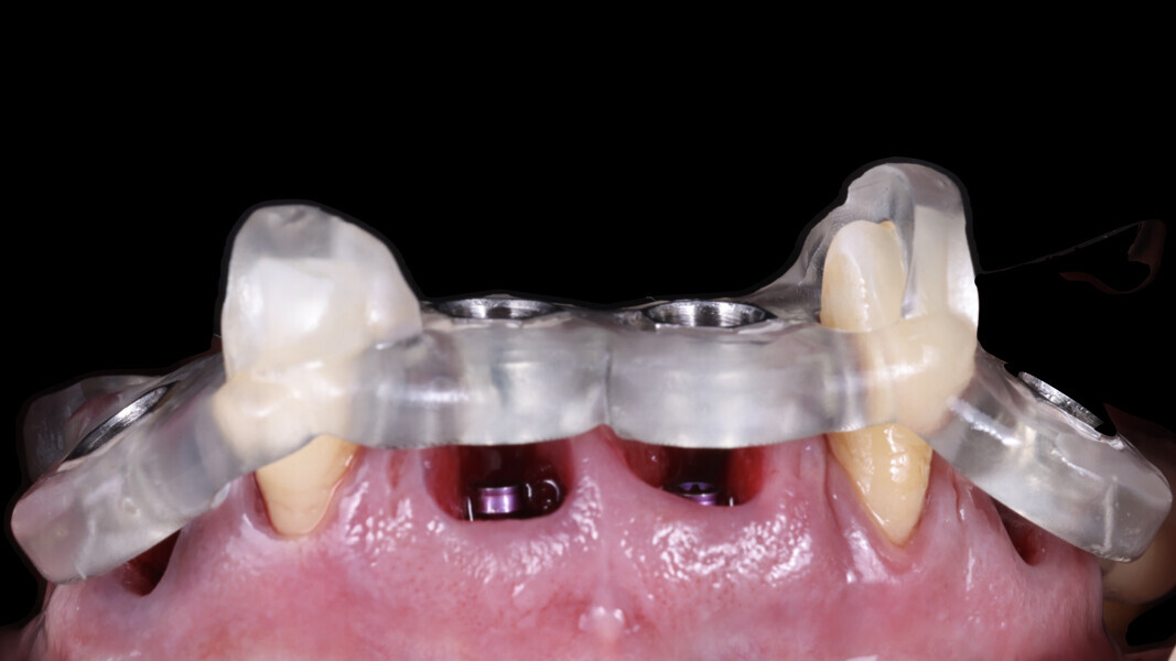
  3. Placement of SmartFlag scan bodies: We then placed the scan bodies and captured a digital impression with them. The positioning of these scan bodies is critical for accuracy. Designed to reduce the distance between implants, they minimise inaccuracies in digital full-arch impressions. Additionally, each scan body is marked with a specific marking that helps the dentist in scanning and helps the dental technician to identify and correct any mismatches, ensuring perfect alignment (Fig. 27). The SmartFlag scan bodies are not only incredibly efficient but also user-friendly, reducing the scanning time to just 1–2 minutes. Previously, after placing the transfer, we had to splint each implant coping with pattern resin, separate them between implants and re-splint them to avoid tension in the definitive restoration. We also needed to create holes in the impression tray to allow unscrewing of the copings and removal of the impression. In some cases, a second impression with an individualised tray from the dental technician was necessary, resulting in more chair time and additional appointments (Figs. 28 & 29). With SmartFlag scan bodies, all these complications are now eliminated. Furthermore, patients with excessive gag reflexes greatly benefit from this streamlined process because it reduces discomfort.
  4. Digital impression of the temporary restoration: We also took a digital impression of the temporary restoration outside the mouth. This would be used by the dental technician to create a working model by copying the custom emergence profiles from the design and making necessary modifications for the definitive restoration (Figs. 30 & 31).

With all the necessary information collected, the dental technician could then proceed to create the definitive restoration. Imagine the efficiency of completing a full-mouth implant rehabilitation impression in under an hour—while ensuring both accuracy and patient comfort.

Final appointment: Delivery of the definitive restoration

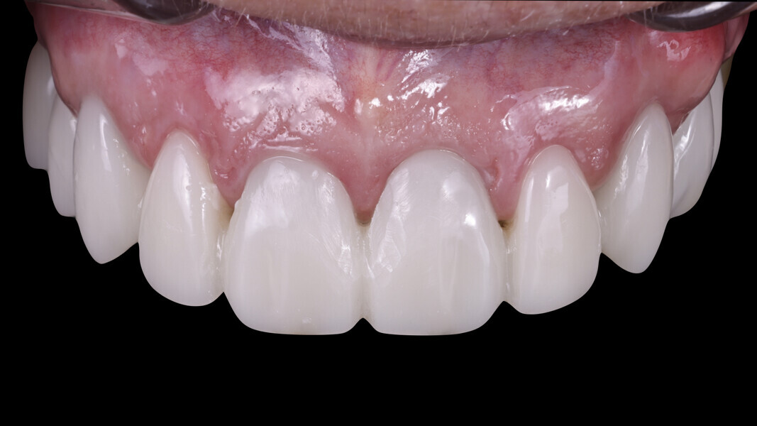
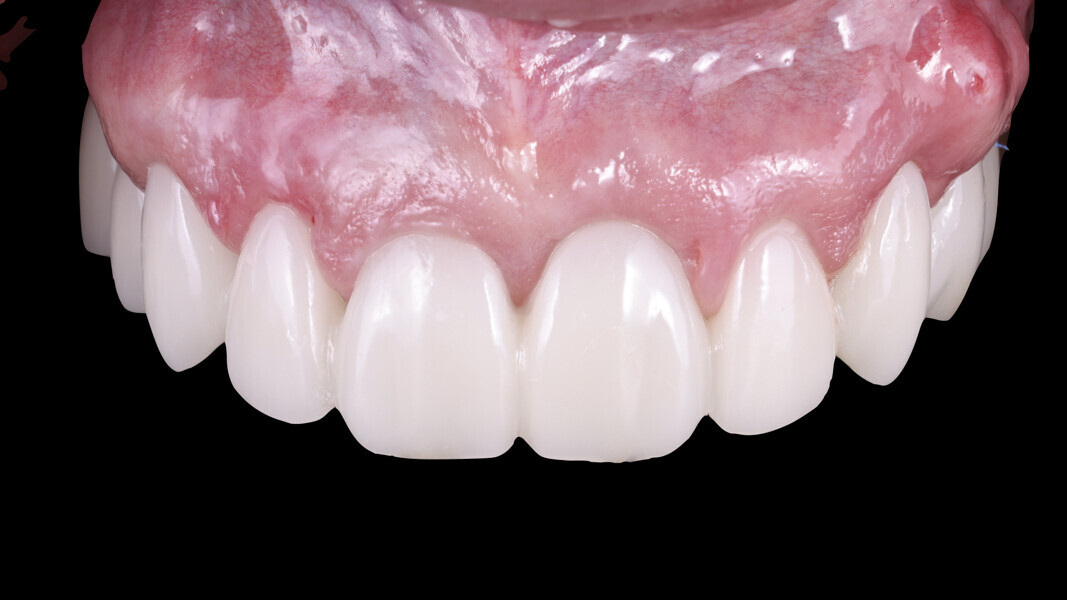
The final step for the patient is the delivery of the definitive restoration. In this FP-1 case with eight implants fully integrated and high papillae, we opted for a design that would separate the restoration into four three-unit bridges (Fig. 32). This approach provides several advantages:

  1. Reduced restoration span: By dividing the restoration into smaller bridges, we reduce the span of each restoration, which helps lower the overall tension on the restoration. This eliminates the need for a titanium bar, which would typically be required for an FP-3 design.
  2. Improved implant angulation: The separation of the restoration allows for better angulation between the implants placed on the left and right sides of the arch. This not only improves the overall function but also reduces the risk of fracture of the zirconia restoration, ensuring greater longevity.
  3. Soft-tissue aesthetics and passive fit: The most important aspect in this case was the appearance of the soft tissue. Upon insertion of the definitive restoration, we achieved a perfect result and no blanching of the gingivae, indicating proper tissue support. Furthermore, there was no tension upon insertion, ensuring a comfortable fit and long-term stability of the zirconia restorations (Figs. 33–35).
Figs. 33 & 34: Appearance of the papillae on the day of cementation.

Figs. 33 & 34: Appearance of the papillae on the day of cementation.

Fig. 34

Fig. 34

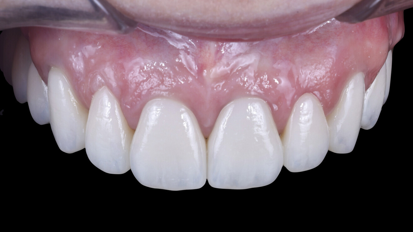
Fig. 35: Definitive restoration in place.

Fig. 35: Definitive restoration in place.

This design strategy, combining precision in planning and soft-tissue management, resulted in a highly aesthetic and functional definitive restoration (Figs. 36a–37b).

Figs. 36a & b: Patient’s smile before (a) and after the treatment (b).

Figs. 36a & b: Patient’s smile before (a) and after the treatment (b).

Figs. 37a & b: Intra-oral situation before (a) and after the treatment (b)

Figs. 37a & b: Intra-oral situation before (a) and after the treatment (b)

Conclusion

The case report underscores the transformative impact of SmartFlag scan bodies in enhancing the efficiency, precision and overall patient and dentist experience in full-arch implant cases. Traditionally, the impression phase in implant surgery relied on cumbersome and time-consuming analogue processes, often involving multiple steps, such as pattern resin splinting and repeated impressions. These methods not only extended chair time but also carried the risk of compromised wound healing, particularly in fresh extraction sites. The introduction of SmartFlag scan bodies has effectively eliminated these issues, transitioning the workflow into a fully digital realm.

The SmartFlag scan bodies are designed to minimise inaccuracies in full-arch digital impressions by reducing the distance between implants, ensuring a more accurate alignment of the implant components. The inclusion of a specific marking on each scan body further aids in easy identification and correction of any misalignments, thus guaranteeing the precise fit of the definitive restoration. This level of precision is crucial for complex cases, where even minor discrepancies can affect the outcome. Additionally, these scan bodies streamline the scanning process, reducing the time spent in the chair for the impression to just 1–2 minutes.

The use of SmartFlag scan bodies also offers significant benefits in terms of patient comfort and clinical efficiency. By eliminating the need for traditional impression materials and techniques, the entire workflow becomes more patient-friendly, reducing discomfort and minimising stress, particularly for patients with excessive gag reflexes. This innovation not only accelerates the process but also contributes to a higher level of predictability and consistency in implant restorations, ultimately enhancing both aesthetic and functional results. SmartFlag scan bodies represent a groundbreaking advancement in digital implantology, offering clinicians an efficient, precise and patient-centred approach to full-arch rehabilitation

Topics:
Tags:
To post a reply please login or register
advertisement
advertisement