Aesthetic dentistry has evolved from a focus on individual teeth to a comprehensive approach involving the entire perioral region. Patients increasingly expect outcomes that integrate naturally with their facial features, requiring treatment strategies that address not only the dentition but also the gingival architecture and surrounding soft tissue.
This case report presents the complex oral rehabilitation of a female patient with severe tooth wear and excessive gingival display. A multidisciplinary approach combining restorative techniques with an advanced laser protocol was used to restore function and improve aesthetics. Treatment included an increase in the vertical dimension of occlusion (VDO), laser-assisted crown lengthening, zirconia restorations, laser-assisted tooth whitening and non-invasive perioral procedures. The clinical objective extended beyond tooth restoration alone, incorporating structural correction of the occlusal relationship and enhancement of the perioral region to support the overall aesthetic outcome.
A 42-year-old female patient presented with the primary complaint of short, aged teeth and excessive gingival display when smiling. Clinical findings revealed generalised attrition, characterised by significant loss of tooth structure due to bruxism, leading to a collapsed VDO. In addition, excessive gingival display was observed, caused by altered passive eruption and a hyperactive upper lip (Figs. 1a & b). Perioral ageing was also evident, including fine lines around the mouth and loss of lip volume, contributing to the aged appearance of the lower third of the face. The treatment objectives were to restore the lost tooth structure, correct the gingival margin and improve the perioral appearance using the LightWalker laser system (Fotona).
Phase I: Diagnostic wax-up and VDO restoration
The first challenge was restoration of the VDO. A digital smile design and a diagnostic wax-up were carried out, allowing the patient to evaluate the proposed tooth lengths and occlusal relationship (Figs. 2a & b).
Using the wax-up as a guide, a full-arch build-up of the maxillary teeth was performed using a highly filled aesthetic resin composite. This provisional phase stabilised the new occlusal position and allowed the masticatory muscles to adapt to the increased VDO. The patient wore these composite restorations for three months to confirm functional comfort and aesthetic acceptance before proceeding to definitive treatment.
Fig. 2a: Diagnostic wax-up showing the planned increase in incisal length.
Phase II: Precise laser gingival sculpting and bone recontouring
After the three-month stabilisation period, attention shifted to gingival aesthetics. Conventional crown lengthening often involves scalpels, sutures and extended healing times. In this case, the Er:YAG laser wavelength was used for a minimally invasive approach.
Using the laser’s precise ablative capabilities, a gingivectomy was performed to remove excess soft tissue. Owing to the high absorption of the Er:YAG wavelength in water, tissue ablation occurs with minimal thermal damage, resulting in reduced swelling and faster healing compared with conventional techniques. Furthermore, flapless laser-assisted bone recontouring was also performed to adjust the alveolar bone crest where indicated (Fig. 3). This ensured preservation of the biological width and supported long-term periodontal stability. The precision of the laser enabled the creation of symmetrical gingival contours, establishing a suitable foundation for the definitive restorations.
Fig. 3: Intra-operative view during laser-assisted crown lengthening using the Er:YAG laser.
Phase III: Definitive restorations and mandibular tooth enhancement
Three months after the laser procedure, the gingival tissue had matured and stabilised. The provisional composite build-ups were removed, and the teeth were minimally prepared for the definitive restorations (Fig. 4). Monolithic zirconia crowns were selected for the restoration of the maxillary arch, owing to the material’s high fracture resistance and favourable aesthetics, particularly relevant properties in a patient with a history of tooth wear. The restorations were designed to match the new gingival architecture achieved in the previous phase.
To harmonise the overall appearance, the mandibular teeth were brightened using the TouchWhite protocol. In contrast to conventional whitening systems that rely on heat-producing light sources, the laser enhances the formation of free radicals within the whitening gel without increasing pulpal temperature. This approach reduces sensitivity while achieving effective whitening within a shorter clinical time.
Fig. 4: Minimally invasive tooth preparation of the maxillary anterior teeth prior to definitive restoration.
Phase IV: Perioral procedures—LipLase and SmoothLiftin
The perioral soft tissue plays an important role in the overall aesthetic outcome. In this case, an adjunctive laser treatment approach (FotonaSMILE) was used to enhance the surrounding tissue.
The patient expressed a preference for lip enhancement, but was hesitant about injectable fillers. The LipLase treatment was performed as a non-invasive procedure to stimulate collagen remodelling of the lips. Treatment of both the labial mucosa and the external lip surface resulted in improved, natural-looking lip volume and definition without the risks associated with injectable approaches, such as overcorrection, asymmetry and post-injection bruising.
To address perioral wrinkles, the SmoothLiftin procedure was carried out using non-ablative Er:YAG pulses applied intra-orally. This induces controlled bulk heating of deeper connective tissue, triggering collagen contraction and synthesis. The resulting effect is improved tissue firmness and reduction of perioral lines, including the nasolabial folds.
Results and discussion
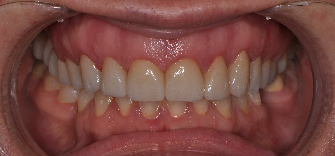
The treatment resulted in a marked improvement in both function and aesthetics (Figs. 5a & b). Restoration of the VDO contributed to improved facial proportions. The gingivectomy and bone recontouring corrected the excessive gingival display, and the zirconia crowns provided a durable aesthetic outcome.
The adjunctive perioral laser treatments contributed to improved lip appearance and soft-tissue quality. As these procedures are non-invasive and do not require injectable agents, patient acceptance was high. The use of the FotonaSMILE approach, combining hard- and soft-tissue applications —including perioral treatments—on a single laser platform, facilitated an efficient workflow and a high level of treatment precision.
Fig. 5a: Final outcome after completion of treatment. Extra-oral view showing improved aesthetics and harmonised gingival contours.
Fig. 5b: Final outcome after completion of treatment. Intra-oral view showing improved aesthetics and harmonised gingival contours.
Conclusion
This case demonstrates that the future of aesthetic dentistry lies in the holistic treatment of the patient. The combination of biological principles with advanced laser technology enabled a predictable functional and aesthetic outcome. The FotonaSMILE approach allows clinicians to extend treatment beyond the dentition, achieving results that are harmoniously integrated with the patient’s overall facial appearance.
Implant dentistry has undergone a revolutionary transformation with the advent of digital workflows. These advancements have significantly improved the ...
AMSTERDAM, Netherlands: The latest findings and the newest solutions for hard- and soft-tissue health and regeneration are hot topics. Attendees can join ...
Achieving a successful outcome in aesthetic dentistry can be a formidable challenge for all dental practitioners, regardless of their experience level. The ...
The evolution of digital dentistry has revolutionised the way dental procedures are planned and executed. This case highlights the integration of various ...
Success in aesthetic dentistry relies largely on the ability to understand the patient’s chief complaint clearly and expectations in seeking dental ...
Dentofacial abnormalities are alterations in facial proportion and dental relationships, and such abnormalities in dental and facial appearance often lead ...
VIENNA, Austria: Nobel Biocare’s corporate forum at EuroPerio11 is set to be a highlight of the congress. Taking place on Friday, 16 May from 12:30 to ...
CZĘSTOCHOWA, Poland: Pixel Clinic is a modern dental clinic in Poland with a strong focus on aesthetics and digital workflows. At the clinic, the most ...
LUCERNE, Switzerland: Earlier this year, 43 leading experts from three organisations participated in a unique consensus meeting. The aim of the meeting was ...
Education
Live webinar Fri. 17 April 2026 12:00 pm EST (New York)
To post a reply please login or register