Porcelain-fused to metal crowns have been commonly used since their introduction in the 1960s.1 The presence of a metallic substructure confers certain aesthetic limitations.2 Many tooth coloured ceramic materials, such as lithium disilicate3 and densely-sintered alumina,4 had been used in dentistry for the fabrication of fixed prostheses. Recently, yttrium-stabilised tetragonal zirconia is gaining popularity because of its superior mechanical properties and biocompatibility.5,6 This article presents the clinical management of a 38-year-old gentleman with a defective fixed partial denture extending from #12 to 21 and a radicular cyst in the pontic region of #11.
Clinical case report
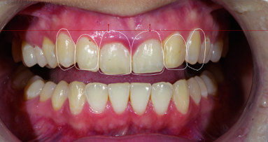
The patient presented to a dental specialist group practice at a private hospital setting with complaints of frequent pain, swelling and pus discharge from the right maxillary central incisor region (FDI Notation #11). He also complained about the aesthetics of the fixed partial denture and, in particular, the length, opaqueness, and proclination of the incisors and the colour of the ceramics (Fig. 1). His dental history revealed that tooth #11 was extracted approximately three years prior. A 3-unit fixed partial denture utilising #12 and 21 as abutments was subsequently fabricated. Six months later, pain and swelling of the region at #11 and 12 was noted. Endodontic treatment was performed on #12 and a new 3-unit all-ceramic fixed partial denture was re-fabricated. The symptoms had persisted despite these interventions.
An oral examination revealed a localised swelling in the #11 region with a discharging sinus (Fig. 2). The abutment teeth #12 and 21 were not tender to percussion. A radiographic examination revealed a well circumscribed radiolucency with a well-defined border in the region of #11 measuring 1 cm by 0.5 cm. The radiolucency was mesial to the root of #12. A small radiopaque mass was observed within the radiolucency. Tooth #12 had an adequate endodontic filling with small periapical radiolucency (Fig. 3).
The treatment plan included surgical removal of the lesion followed by biopsy, bone augmentation, implant placement on #11 and restoration of the three incisors using Procera Crown Zirconia.
A semi-lunar incision was made in the region of #11 apical to the discharging sinus. The cytic lesion was removed and the defect was curetted and grafted with xenograft (Bio-Oss, Geistlich Pharma AG). Primary closure was performed to encourage better healing. Post-operative healing was uneventful. The biopsy revealed a radicular cyst and the presence of a root remnant, possibly part of #11.
Figs. 1–4: Pre-treatment lower facial view (Fig. 1). Poor aesthetic of the existing fixed partial denture (Fig. 2). Pre-treatment panoramic radiograph. Note the radiolucency over the maxillary right central incisor (Fig. 3). Placement of Replace Select tapered implant (Fig. 4).
After a healing period of two months, the fixed partial denture was removed and a provisional fixed partial denture with an ovate pontic design was fabricated (Pro-Temp Garant Temporization Material, 3M ESPE). A Replace Select tapered implant 4.3 mm x 13 mm (Nobel Biocare AB) was placed in the location of #11 (Figs. 4&5). Additionally, xenograft (Bio-Oss, Geistlich Pharma AG) was added to the buccal surface of the edentulous ridge to augment the bony deficiency. Primary closure was achieved with Vicryl resorbable suture and the provisional fixed partial denture was cemented in provisional cement (RelyX Temp NE Temporary Cement, 3M ESPE). Endodontic treatment of #21 was performed during the implant healing period.
Stage II implant surgery was performed after a healing period of three months. The implant was exposed surgically and provisionalised using Titanium Temporary Abutment (Nobel Biocare AB) and temporization material (Pro-Temp Garant, 3M ESPE) (Fig. 6). In-office teeth-whitening was performed during the soft-tissue healing period. Final preparation of post space on teeth #12 and 21 was performed (Cosmopost drill kit, Ivoclar Vivadent). Final preparation for Porcera crowns on #12 and 21 was also performed simultaneously. An implant level impression coping (Nobel Biocare AB) was connected to the implant. An impression for teeth #12, 21 and the implant #11 was made with polyvinylsiloxane material (Imprint, 3M ESPE) using an open-tray technique (Fig.7). An Implant Replica (Replace, Nobel Biocare AB) was attached to the implant impression coping and the impression was poured in Type V dental stone.
The wax patterns of the post core of #12 and 21 were established on the dental stone cast. The post cores were fabricated using zirconium material (Cosmopost Zirconia post, Ivoclar Vivadent) and hotpressed injection ceramic (IPS Empress System, Ivoclar Vivadent). A Procera Esthetic Abutment was modified to serve as an abutment for #11 (Fig. 8). With the cast cores and implant abutment fitted on the maxillary dental stone cast, wax patterns for the ceramic coping were made. The dies and wax pattern were then scanned using the Porcera Forte Scanner. The data was transferred to a Procera production facility for the fabrication of the Zirconia copings. Veneering NobelRondo Zirconia dental ceramic was then applied on the coping to fabricate the definitive crowns (Figs. 9 & 10).
Figs. 5–10_Post-surgical panoramic radiograph. Note the excellent bone healing subsequent to the cyst removal (Fig. 5). Provisional restorations with good soft tissue health and contour (Fig. 6). Implant impression coping connected and soft tissue retracted with retraction cord in preparation of impression making (Fig. 7). Procera Esthetic Abutment and ceramic foundation seated on the maxillary stone cast (Fig. 8). Completed extra-coronal restoration (Procera Crown Zirconia) seated on the maxillary stone cast (Fig. 9). Completed Procera Crown Zirconia (Fig. 10).
At a subsequent visit, the provisional restorations were removed. The teeth were cleaned with a slurry of pumice. The implant abutment was connected and the fit, aesthetic and occlusion of the Procera Crown Zirconia were evaluated (Figs. 11 & 12). The patient expressed satisfaction with the aesthetics of the fixed prostheses. The crowns were definitively cemented with a luting agent (RelyX Luting Cement, 3M) (Fig. 13). The patient was reviewed for three months and reported no complication (Figs. 14 & 15).
Figs. 11–14: Procera Esthetic Abutment connected to the implant (Fig. 11). Ceramic post fitted (Fig. 12). Completed restorations (Fig. 13). Panoramic radiograph showing the completed prosthesis (Fig. 14).
Discussion
During the removal of the cyst, a clinical decision was made not to proceed with endosseous implant placement due to the excessive suppuration and the amount of bone destruction. The bone defect was debrided and xenograft material was added. Although treatment time may have been lengthened, this approach ensured that the implant site was free of infection and had adequate bone for primary stability at the point of implant placement.
After a healing period of two months, the endosseous implant was placed. The implant was not immediately loaded. The neighbouring teeth were used to support the provisional restoration without compromising aesthetic and function. In addition, clinical evidence for the immediate loading of single tooth implant may not be completely evidence-based.7
Resin-reinforced glass-ionomer cement was selected for the luting of the cast post core and fixed prostheses. The use of this cement simplified the luting process.
Since the patient desired a high level of aesthetics, Zirconia abutment and post core was selected. In vitro studies on Zirconia with CAD/CAM technology have shown promising results.8,9 Zirconia is a crystalline dioxide of zirconium. Its mechanical properties are very similar to those of metals and its colour is similar to tooth colour.1 It’s compressive strength is in the region of 2,000 MPa.10 When stress occurs on a Zirconia surface, the cracking energy creates a transition from the tretragonal to monoclinical phase with a resultant expansion in volume. This expansion seals the crack and contributes to greater fracture toughness. Zirconia restorations veneered with NobelRondo Zirconia dental ceramic have also shown excellent aesthetic results as demonstrated in this clinical report. However, long-term clinical research would still be required to provide a more evidence-based approach to clinical practice.
Editorial note: This article was originally published in Cosmetic Dentistry Vol. 2, Issue 3, 2008. A complete list of references is available from the publisher.
CEREC and oral surgery? In times when patients go to a practice to receive complete, aesthetic, state-of-the-art treatment as quickly as possible, I think ...
In prosthodontics, assessing the individual needs and expectations of every patient is a crucial factor for successful treatment. In the production of fixed...
Aesthetic medicine is increasingly taking on a global connotation of harmony and balance, defined certainly by historically evolved and shared canons, but ...
Implant-supported single-tooth crowns in the aesthetic zone are a special challenge, particularly when immediate implantation is planned—if there is ...
The Dawson Academy, a provider of postgraduate dental education, has launched a new online campus and opened registration for its inaugural Fundamentals of ...
BANGKOK, Thailand: Given the growing demand for non-surgical facial contouring and ongoing debate about the functional effects of muscle-relaxing procedures...
Today we are standing on the verge of a digital revolution in dentistry. The digitalisation will offer a new infrastructure in the treatment of our ...
The use of porcelain veneers to improve and restore the shape, shade and visual position of anterior teeth is a common technique in aesthetic dentistry. The...
The aesthetics are always a significant challenge during implant restoration, especially in the aesthetic zone, in addition to the full consideration ...
The purpose of this article is to show the diferent modalities of treatment for upper lateral incisors agenesis. In daily practice, orthodontists often meet...
Education
Live webinar Tue. 12 May 2026 1:00 pm EST (New York)
LEIPZIG, Germany: Gum Health Day 2026 marks the start of a three-year global awareness campaign by the European Federation of Periodontology (EFP) under the...
Most practices believe that excellence is built through outcomes—achieved through technology, innovation, reputation or visibility. In reality, excellence...
XI’AN, China: As patients increasingly turn to artificial intelligence (AI) tools for oral health advice, questions arise not only about the reliability ...
To post a reply please login or register