Digital workflows are becoming more popular and are in demand among clinicians and laboratory technicians owing to the increased incorporation of CAD/CAM tools into the daily practice. Digitisation of records and data through cone beam computed tomography (CBCT) scans, intra-oral scans and model manipulation contributes to better communication processes for diagnostics, treatment planning, designing and manufacturing in dentistry.
In past decades, clinicians and laboratory technicians have used analogue articulators to simulate hinge and eccentric movements of the mandible, allowing for the fabrication of wax-ups and final restorations; the evaluation of occlusal function is fundamental to any dental treatment.[1, 2] Face-bows were developed as a complement to different articulator systems to orient the maxillary arch to the centre of rotation of the condyles in three planes of space and transfer the position to the articulator; similar movements can be reproduced for occlusal evaluation and diagnosis once the models have been properly mounted.[3, 4]
In recent years, the incorporation of CAD/CAM technology has provided for more efficient protocols by automating processes and reducing manual labor. Intra-oral scanners can digitise dental arches and register maxillomandibular relationships.[5, 6] Currently, many CAD/CAM systems include a virtual articulator simulatory module as a tool to simulate mandibular movements, which can be adjusted by using numerical values to represent condylar inclination, Bennett angle, vertical dimension, etc. The equivalent of analogue mounted maxillary and mandibular casts still applies in the digital workflow for a proper evaluation; however, a major challenge has been to transfer the maxillary arch position without an analogue tool such as a face-bow. A digital model behaves similarly to a floating object in space:
The 3D models are not accurately oriented in the x, y and z coordinates when they are digitally scanned, which makes identifying the facial midline and occlusal plane impossible without proper points of reference (Fig. 1). In complex aesthetic and full-mouth rehabilitation cases, it is crucial to identify the midline and plane of occlusion to recognise any potential canting and occlusal problems.[7]
Fig. 1: Digital model imported into exocad dental software; the red lines illustrate the dental midline and occlusal plane estimated from tooth position without reference points.
Fig. 2: Patient holding the Kois Dento-Facial Analyzer System; the middle rod corresponds to the facial midline and the Fox plane is parallel to the interpupillary line.
Fig. 3: Index tray with bite registration material.
Fig. 4: Occlusal stand with index tray and dental model mounted.
Fig. 5: 3D facial scan showing the same mesh with and without colour. The quality of the mesh without colour can be appreciated and is not a good representation
of the patient anatomy for registration purposes.
Fig. 6: Maxillary and mandibular models aligned in occlusion.
7: Maxillary and mandibular models
aligned displaying the bite record.
Fig. 8: Scanned model and index tray bite record showing the corresponding facial midline determined by the middle notch of the index tray and the occlusal
plane determined by the base of the index tray.
Fig. 9: Frontal view of the model orientation based on the horizontal plane of the virtual articulator.
Fig. 10: Lateral view of the model orientation based on the
vertical plane of the virtual articulator.
Fig. 11: Model orientation in the virtual articulator using the distance from the centre of rotation of the condyles to the central incisors as the distance for proper mounting.
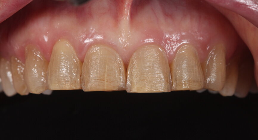
Fig. 12: Preoperative smile photograph.
Fig. 13: Preoperative intra-oral photograph.
Fig. 14: 3D smile design simulation.
Fig. 15: Virtual articulator.
Fig. 16: Putty jig made on the printed model for the mock-up.
Fig. 17: Mock-up
used as reductions guide for tooth preparation.
Fig. 18: Intra-oral photograph of conservative veneer preparations.
Fig. 19: Intra-oral photograph of conservative veneer preparations.
Fig. 20: Milled IPS Empress CAD veneer blocks.
Fig. 21: Milled IPS Empress
CAD veneers.
Fig. 22: Bonded veneers, lateral view.
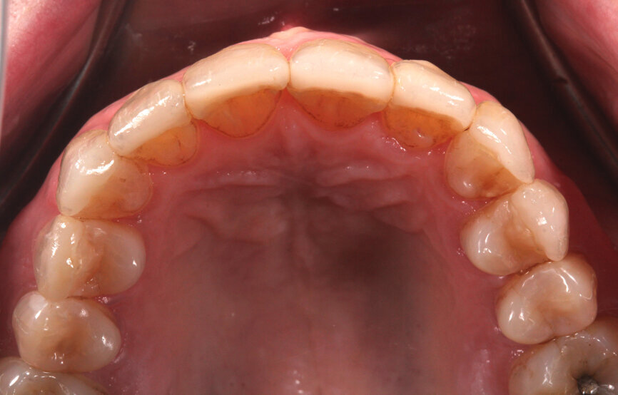
Fig. 23: Bonded veneers, occlusal view.
Fig. 24: Postoperative frontal smile.
Fig. 25: Postoperative lateral smile.
Panadent introduced a simplified system for transferring mounted study casts to the analogue articulator, called the Kois Dento-Facial Analyzer System, or Dento-Facial Analyzer (DFA). The Dento-Facial Analyzer system is a device created by Dr Kois and sold by Panadent; the occlusal stand fits directly onto the magnetic mount of the Panadent articulator series; several companies have developed compatible occlusal stands to fit their articulators and similar systems. The device basically consists of a Fox plane with an adjustable middle rod (Fig. 2). An index tray is attached to the device to record the position of the maxillary arch using bite registration material and to transfer the patient’s occlusal plane and midline in the three planes of space to the analogue articulator with a magnetic plate that attaches to an occlusal stand (Figs. 3 & 4). This allows mounting of the casts at a fixed distance of 100 mm, which is based on Kois’s research on average axis–incisal distance, which is substantiated by Bonwill’s equilateral triangle theory and Monson’s spherical theory.[8–10]
Different techniques have been proposed to transfer this information into the CAD software, but most are more time-consuming and complex, using full-volume CBCT data or 3D facial scanners and different software to generate data able to align the maxillary scan to the skull.[11, 12] Most affordable 3D facial scanners (under $5,000) do not generate high-quality meshes that can be used to directly align dental casts. The scans are able to capture colour and can confuse clinicians about the true quality of the underlying mesh; without the colour, the quality of the underlying mesh is typically distorted and does not represent the shape of the actual object (Fig. 5). Moreover, 3D facial scanners need to have reference markers to align the digital dental models to the facial scan, which makes the process more complicated than using an analogue face-bow.
The technique described in this article overcomes these problems because it can align digital casts to the virtual articulator by using a bite scan in conjunction with the DFA. The face-bow transfer technique is described as follows:
- Properly take a dentofacial record using the Kois DFA, aligning the middle rod to the midline of the patient and capturing the occlusal plane orientation with the Fox plane. Several materials, such as polyvinylsiloxane bite registration material, wax or impression compound, can be used on the plastic index tray.
- Scan the maxillary and mandibular arches with an intraoral scanner along with the bite record. The intra-oral scan used in this case was PlanScan (Planmeca), but any intra-oral scan or laboratory scan will work for its implementation (Figs. 6 & 7).
- Scan one bite record to align maxillary and mandibular arches and scan an additional bite record using the previous record captured with the plastic index tray on the maxillary cast. Since the plastic index tray was used as a record to capture the midline and plane of occlusion with the DFA, the external middle rod and the Fox plane are not needed for the bite record scan. The anterior middle notch in the index tray corresponds to the facial midline and the base of the tray corresponds to the occlusal plane (Fig. 8).
- Align all models and bite records in the software.
- Export all STL models and import to the design software or use it within the CAD software if the digital system has a CAD module integrated to start designing the anterior restorations or digital wax-up.
- If the CAD software has an articulator module available, the bite record can also be used; in this case, the exocad articulator module was used (exocad). Click the boxes that display the horizontal and vertical planes of the articulator. Align the corresponding planes: midline notch of the index tray to the vertical plane of the articulator; and base of the index tray to the horizontal occlusal plane of the articulator (Figs. 9 & 10).
In addition to the basic alignment, the clinician has two different ways to correlate the anterior–posterior distance of the digital model with the virtual articulator. The first option is available if the clinician already has a full-face skull CBCT (wide field of view, approximately 20 × 18 cm, standard resolution). The distance from the centre of rotation of the condyles to the central incisors can be measured and reproduced in the articulator module (Fig. 11); the exocad DICOM viewer module can be used to measure the CBCT data and correlate the dental model scan of the maxillary arch. The second option is using the average axis–incisal distance reported by Kois’s research of 100–110 mm, which corresponds to the average anthropometric distance from the centre of rotation of the condyles to the incisal edge of the maxillary central incisors; that is the distance traditionally used with the Panadent articulator models PCF and PSH and the occlusal stand used to mount the plastic index tray. A 3D measurement ruler tool can be used in most CAD dental software to establish the distance and thus position the models.
This technique is beneficial in anterior aesthetic cases and helpful in 3D smile designs. The advantage of using a 2D, 3D integrated CAD design is that any request from the patient can be done instantly in the 3D design, eliminating the need for a conventional wax-up, which takes hours, and minimising the clinical time needed to obtain a cast, because the cast can be manufactured by means of a 3D printer or milling machine, making the protocol extremely efficient. Furthermore, using 2D images captured by photographic cameras or high-definition video cameras and superimposing them to 3D data is the quickest and simplest approach. A 3D facial scanner often cannot capture a smile in fractions of a second like a photograph can; instead, the patient has to hold the smile for several seconds, making it more difficult for clinicians to capture a true smile.
Another advantage to using a virtual wax-up is the possibility of using cross-sectional views to visualise and measure the addition of restorative material prior to starting an invasive procedure. This is an extremely useful educational tool for minimally invasive techniques that can improve the appearance of the smile and at the same time offer a better prognosis by preserving tooth structure.[13, 14]
The purpose of this article is to describe the 2D, 3D smile design integration and its benefits in the provisionalisation stage after using the digital face-bow transfer technique.
Clinical report
A 62-year-old woman presented to the Comprehensive Care Clinic at the Dental College of Georgia at Augusta University, Augusta, Georgia, US, with the chief complaint of worn and stained anterior teeth (Figs. 12 & 13). The patient was a smoker and reportedly smoked a pack per week.
During the first appointment, clinical and radiographic examinations were done for proper diagnosis and formulation of a treatment plan. The clinical examination revealed attrition on the anterior teeth and maxillary premolars, stable periodontal health with probing depths of < 3 mm, and no endodontic lesions or pathology. A thorough occlusal analysis was done, with no significant findings. Maximum intercuspation position was coincidental with centric relation, and no alteration of the vertical dimension was diagnosed. After evaluation of the patient records, a set of intra-oral and extra-oral preoperative photographs was taken, along with a DFA record, which includes a record of the midline and occlusal plane based on facial aesthetics (Fig. 14). Incisal edge position was determined first by adding composite to the left maxillary central incisor as a guide to establish the new length based on the evaluation of lips at rest and during smiling.[15] The composite restoration is not bonded to tooth structure and is only used to determine the aesthetic incisal edge position during rest position, phonetics and smiling. Once the position is stablished the length is recorded for the future digital wax-up and the composite is removed. A prophylaxis was done during the appointment to treat some of the extrinsic staining present on the teeth.
With the diagnostic information acquired during the first appointment, the steps of aligning the models using the face-bow transfer technique with the DFA system were followed. A 2D image of the patient was imported and aligned using match points to develop a 3D functional virtual wax-up by adding restorative material to the maxillary anterior teeth and first premolars. A natural tooth library with square shaped teeth similar to the patient’s natural anatomy was selected to create the virtual diagnostic wax-up to reproduce shape and texture. The dental software used in this case (exocad) also has a tooth colour selection option to show a simulation of tooth shade, which facilitates the patient’s visual perception of the proposed treatment and improves treatment acceptance (Fig. 14). The design was evaluated functionally using the articulator module for excursive movements (Fig. 15).
The virtual 3D smile design was shown to the patient at the second visit. She was able to visualise the possible results of the aesthetic treatment and participate by giving feedback before any invasive procedures were initiated. No modifications were requested. The virtual wax-up was 3D printed (MoonRay S, SprintRay) and a putty jig was created on the model to generate a mock-up for the patient using bis-acryl (Integrity, Dentsply Sirona; Fig. 16) owing to its minimal shrinkage and excellent aesthetic results. The mock-up has two functions. The first is to serve as an aesthetic and functional prototype that enables the patient to visualise and experience the end result with a restorative material. Any modifications can be done at this stage because it is temporary and non-invasive. The second function is to work as a reduction guide once the patient has approved it; the reduction is created through the mock-up material and not through tooth structure (Fig. 17).
Minimally invasive preparation (0.5–0.8 mm facial reduction and 1.5 mm incisal/occlusal reduction) was done for the labial aesthetic veneers, allowing for enamel preservation (Figs. 18 & 19). A final impression was taken and the 3D virtual design was used as the preoperative digital model, since no modifications were done intra-orally after verification. Leucite glass-ceramic blocks (IPS Empress CAD, Ivoclar Vivadent) were milled for the final veneer restorations in-house using a milling machine (PlanMill 4.0, Planmeca; Figs. 20 & 21). Final characterisation was done after glazing.
At the delivery appointment, an aesthetic try-in was done prior to bonding the restorations. The patient approved the aesthetics, marginal fit was verified, and the teeth and restorations were etched and bonded (Variolink Esthetic, Ivoclar Vivadent). The patient was extremely satisfied with the treatment outcome (Figs. 22–25). An occlusal guard was provided as part of the treatment plan. At the one-year follow-up, the patient reported no complications.
Discussion
This article presents a simplified digital technique for transferring the face-bow information to the articulator. Transferring the position of the digital models in relation to the face is important to reproduce functional movements and have predictable aesthetic results. Previous techniques using CBCT units require that the patient be submitted to unnecessary radiation to orient the models. In addition, other techniques using 3D facial scanners require expensive hardware; most clinicians cannot justify this expense only for orientation purposes, and both of these methods require more time and are more complex in nature. The face-bow transfer technique could also be used with edentulous patients by using occlusal rims as the reference points for the central incisors. The occlusal rim and the bite record with the plate would have to be scanned in order to register the meshes and align the edentulous models. However, this could be more technique-sensitive owing to the lack of stability of the bases.
While other bite forks can be used for the technique presented here, the authors highly recommend the DFA because of its ease of use. This technique is compatible with any virtual articulator, unlike analogue articulators that require brand-compatible stands. This creates a universal digital transfer technique that can be efficiently shared digitally with any other clinician or laboratory technician. While additional studies are needed to validate accuracy and reproducibility, this technique has the potential to greatly improve the workflow of digital dentistry. The process could be made even more efficient with the implementation of a direct align algorithm in dental software upgrades and with the incorporation of jaw tracking devices and tracking scans. This technique is extremely useful in 3D smile design cases or aesthetic cases that require the visualisation of facial landmarks such as the midline and plane of occlusion.
Conclusion
The digital face-bow transfer technique using the DFA system is a predictable, quick and easy method of scanning and aligning digital models to a virtual articulator without the need for expensive equipment.
Competing interests
The authors declare that they have no competing interests.
Acknowledgements
The authors would like to thank the following companies: exocad, Planmeca, SprintRay, and Roland for the support provided for education and research; their help was of tremendous value.
Editorial note: A list of references is available from the publisher. This article was published in CAD/CAM―international magazine of digital dentistry Vol. 10, Issue 3/2019.
Tags:
To post a reply please login or register