Endodontic treatment of teeth with significant coronal destruction is a very common clinical procedure in the restorative clinical practice. When we are faced with this clinical situation, there will be an eminent need for the use of intra-radicular retainers to obtain greater stability and retention of the restoration to the remaining teeth. [1,2]
The use of an anatomical pin is proposed for the rehabilitation of anterior teeth with extensively compromised root canals and with significant loss of dentine tissue. [3] In this restorative method, in addition to the fibreglass pin, a compound resin is used to model the radicular conduit with the objective of reducing the space that would be filled by the resin cement. In this way, the combination of two restorative materials (pin and compound resin) will serve and behave biomechanically as a replacement of the dentine structure lost. [4]
Anatomical pins have an extremely favourable prognosis in cases of fragile roots due to loss of dentine structure and they contribute significantly to the rehabilitation of the tooth in terms of both masticatory function and aesthetics. [5] In addition, the fibreglass pins have a more uniform distribution of tension in the occlusal and radicular regions compared with metal pins. [6] Etching and silanisation of the pins are of the utmost importance for pro moting interfacial adherence, especially in the region prepared for the core. [7,8]
This study reports on a clinical case that demonstrates the preparation technique for the anatomical pin, using fibreglass pins and compound resin, in a maxillary central incisor with weakened roots, with the objective of re-establishing the coronal portion of the tooth.
Case report
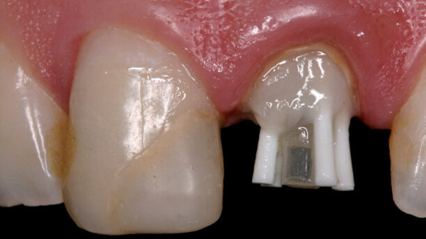
A young male patient came into the integrated dentistry clinic at Universidade Severino Sombra needing restorative treatment of tooth #21. In the clinical and radiographic examination, significant coronal destruction and satisfactory endodontic treatment were noted (Figs. 1–3).
embedImagecenter("Imagecenter_1_2112",2112, "large");
Restoration with an anatomical pin was proposed to the patient, in order to recover the function and aesthetics of the tooth and provide for future rehabilitation of the tooth with a full ceramic crown.
First, the decayed tissue was removed from the remaining tooth structure and the fibreglass pin was selected (Exacto # 3, Angelus), as well as the accessory pins (Reforpin, Angelus; Fig. 4). The radicular conduit was isolated with mineral oil and the compound resin was applied (Fill Magic NT Premium, Vigodent/COLTENE) over the remaining tooth (Figs. 5 & 6) with the aid of a #1/2 Suprafill spatula (SS White). After filling of the conduit with resin, the Exacto pin and the pre-silanised accessory pins (Silano, Angelus) were inserted with the application of an adhesive (Fusion-Duralink, Angelus; Figs. 7–9). Next, the initial photoactivation was conducted on the pin and resin for 20 seconds.
Finally, the coronal reconstruction was performed with the previously used compound resin in incremental portions and photoactivation was conducted (Figs. 10 & 11). A marking was made on the most incisal portion of the pins to guide the subsequent cropping of the pins (Fig. 12). The anatomical pin was then removed and the final photoactivation was performed for 40 seconds (Fig. 13). Soon after, the pin was adapted to the remaining coronal structure (Fig. 14).
After the preparation phase of the anatomical pin and coronal portion of the core with compound resin, preparation for adhesive cementation to the remaining tooth began (Fig. 15). Acid etching of the pin was performed for 30 seconds, and then it was washed and dried. The silane was then applied (Silano) for 20 seconds, as well as the adhesive (Fusion-Duralink) with subsequent photoactivation for 20 seconds (Figs. 16–18).
After the anatomical pin had been prepared, acid etching was performed on the remaining tooth for 20 seconds, followed by washing and drying it lightly to leave the dentine moist (Fig. 19). The dentine primer and the adhesive (Fusion-Duralink system) were applied and then photoactivated for 20 seconds (Fig. 20).
The cementation was done with auto-polymerisable resin cement, waiting a period of five minutes for the cement to chemically set (Figs. 21 & 22). Once the cementation of the anatomical pin was finished, the adhesive was applied to the coronal portion and photoactivated for 20 seconds, and the compound resin was applied in incremental portions for creation of the core (Figs. 23 & 24).
In order to complete the restorative process, the prosthetic preparation of the core was performed for future seating of a full ceramic crown (Fig. 25).
Conclusion
The anatomical pin constituted a clinical alternative for coronal and radicular reconstruction of endodontically treated teeth with significant destruction of dentine. In addition to rehabilitating the tooth, this clinical approach promotes a more balanced distribution of masticatory forces without com - promising the remaining tooth structure, minimizing the risk of radicular fracture. Moreover, this restorative alternative provides the possibility of an aesthetic result with the use of a metal-free full crown.
Editorial note: A complete list of references is available from the publisher. This article was published in roots – international magazine of endodontology No. 01/2015.
The number of universal adhesives being offered by the dental industry nowadays can make it difficult to decide whether it may be worth switching to another...
Non-invasive hard-tissue regeneration is not a common treatment possibility in everyday dental practice. However, in cases with extensive inflammation ...
The patient reported on in this article is a student in dentistry and his parents are both dentists. They referred their son to a good endodontist, who then...
The patient reported on in this article is a student in dentistry and his parents are both dentists. They referred their son to a good endodontist, who then...
MINNEAPOLIS, U.S.: Pterygomaxillary implants improve implant biomechanics and have reported mean implant survival rates comparable with traditional implant ...
In his 1862 monograph, French neurologist Guillaume Duchenne de Boulogne postulated that facial expressions are directly related to a person’s soul.1 ...
As an oral surgeon and prosthodontist specialising in full-mouth rehabilitation, I have consistently sought to integrate advanced technologies into my ...
Over the last two decades, extensive research has been carried out to alleviate the two major shortcomings of orthodontic treatment: visibility and ...
Mineral trioxide aggregate (MTA) was introduced as an alternative to traditional materials for the repair of root perforations and pulp capping and as a ...
In recent years, dental implants have emerged as a pivotal advancement in dentistry, offering a popular solution for replacing natural teeth lost owing to ...
Live webinar
Tue. 12 May 2026
1:00 pm EST (New York)
Live webinar
Thu. 14 May 2026
12:00 pm EST (New York)
Live webinar
Thu. 14 May 2026
2:00 pm EST (New York)
Prof. Hani Ounsi DDS PhD FICD
Live webinar
Tue. 19 May 2026
11:00 am EST (New York)
Live webinar
Tue. 19 May 2026
1:00 pm EST (New York)
Prof. Dr. med. dent. Ivo Krejci
Live webinar
Wed. 20 May 2026
7:00 am EST (New York)
Dr. Graham Carmichael BDSc (Hons), DClinDent (Pros), FRACDS, Dr. Robert Gottlander DDS
Live webinar
Wed. 20 May 2026
9:00 am EST (New York)
To post a reply please login or register