Search Dental Tribune

According to the author, long-lasting success of endodontic treatment depends on various factors, one of which is perfect obturation. (Image: andrey gonchar/Adobe Stock; clinical images: Dr Gergely Götz)

Mon. 2. February 2026

save

Non-invasive hard-tissue regeneration is not a common treatment possibility in everyday dental practice. However, in cases with extensive inflammation combined with significant bone loss, we have to reconsider our dental approach to accommodate particular challenges. The following case is a good example of the importance of proper, well-detailed diagnosis and how it can force the clinician to think differently about a special endodontic case.

Figs. 1a & b: Initial small-volume CBCT scan, panoramic view (a) and cross-section of tooth #17 (b).

Figs. 1a & b: Initial small-volume CBCT scan, panoramic view (a) and cross-section of tooth #17 (b).

The 61-year-old male patient wanted to have his missing maxillary right teeth replaced with implants. After examination by an implantologist, he was referred to our dental office for further dental treatment because of the findings of a small-volume CBCT scan taken: advanced inflammation and bone loss were visible in the periodontal tissue of the maxillary right second molar and severe maxillary sinusitis was observed (Figs. 1a & b).

The patient history reported no underlying disease or regular medicines. The patient complained of occasional mild and brief pain affecting the maxillary right region. Furthermore, he mentioned an urge to blow his nose thoroughly every morning and being tired on waking for the past six months.

The general intra-oral examination found no swelling in the surrounding soft and hard tissue, and the maxillary right second molar tested negative to cold and positive to percussion. These intra-oral findings and those of the previously taken small-volume CBCT scan drove us to request a larger-volume CBCT scan to observe the rest of the paranasal sinus area around the maxillary sinus in order to determine the best treatment for this situation.

The extent of the inflammation was shocking (Figs. 2a & b). Not only the maxillary sinus (Fig. 3) but the ethmoid and sphenoid sinuses too were involved, and the inflammation had spread towards the right cavernous sinus as well (Fig. 4). At this point, extraction may have been the first choice for most dental clinicians, but we had to keep in mind that invasive treatment may have increased the risk of cavernous sinus thrombosis, a potentially avoidable possibility. There are very few circumstances under which a dental procedure can cause very severe or even lethal consequences, but this case approached such a situation.

Fig. 2a: Large-volume CBCT scan, sagittal cross-section of the buccal roots.

Fig. 2a: Large-volume CBCT scan, sagittal cross-section of the buccal roots.

Fig. 2b: Large-volume CBCT scan, sagittal cross-section of the palatal root.

Fig. 2b: Large-volume CBCT scan, sagittal cross-section of the palatal root.

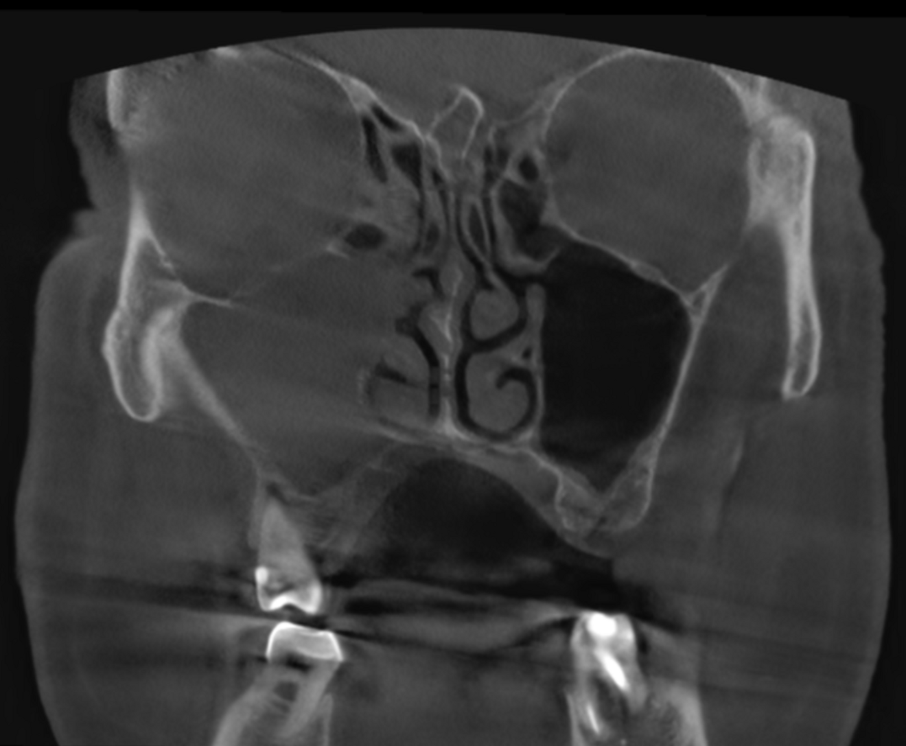
Fig. 3: Large-volume CBCT scan, frontal cross-section showing increased radiopacity in the paranasal sinus area.

Fig. 3: Large-volume CBCT scan, frontal cross-section showing increased radiopacity in the paranasal sinus area.

Fig. 4: Large-volume CBCT scan, sagittal cross-section of the right paranasal sinuses showing involvement of even the lower part of the cavernous sinus.

Fig. 4: Large-volume CBCT scan, sagittal cross-section of the right paranasal sinuses showing involvement of even the lower part of the cavernous sinus.

As a first step, we informed the patient about our findings on the new CBCT scan and explained the severity of his dental condition and paranasal sinusitis (Figs. 5a-f). We immediately referred him to a hospital otolaryngology department for microbial examination and proper antibiotic treatment. After nine days of a high-dose amoxicillin and clavulanic acid therapy, the endodontic treatment could be started.

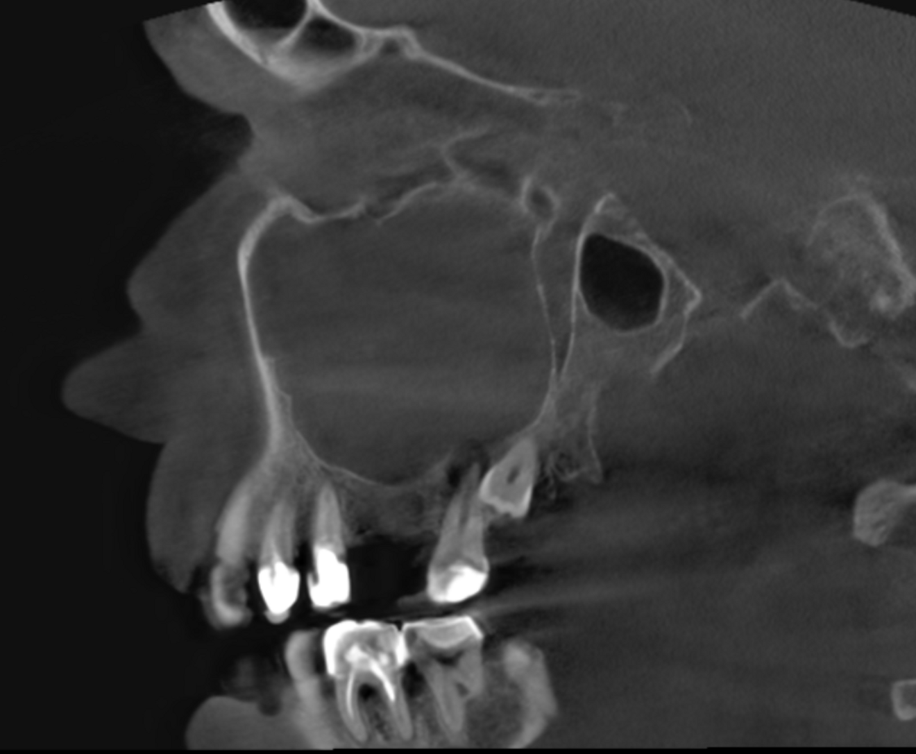
Right after the opening of the pulp chamber, a strong odour emanated from the oral cavity. This was to be expected given that the CBCT scan showed four relatively wide canals and a large pulp chamber in this second molar—features often associated with necrosis and bacterial accumulation. The pulp chamber was rinsed with copious amounts of sodium hypochlorite. Before shaping of the orifices, the tooth was rinsed with saline, followed by a 17% EDTA solution. I prefer to use the Traverse orifice opener (Kerr Dental) to prepare cone-shaped orifices. Its specialised flute design and heat treatment provide reliable flexibility and strength and support debris removal. The working length was then determined in each canal with a #10 K-file and electronic apex locator. The precise determination was essential in this case because the maxillary bone had been damaged by the inflammation around the apices on both the buccal as well as the palatal sides, penetrating into the maxillary sinus.

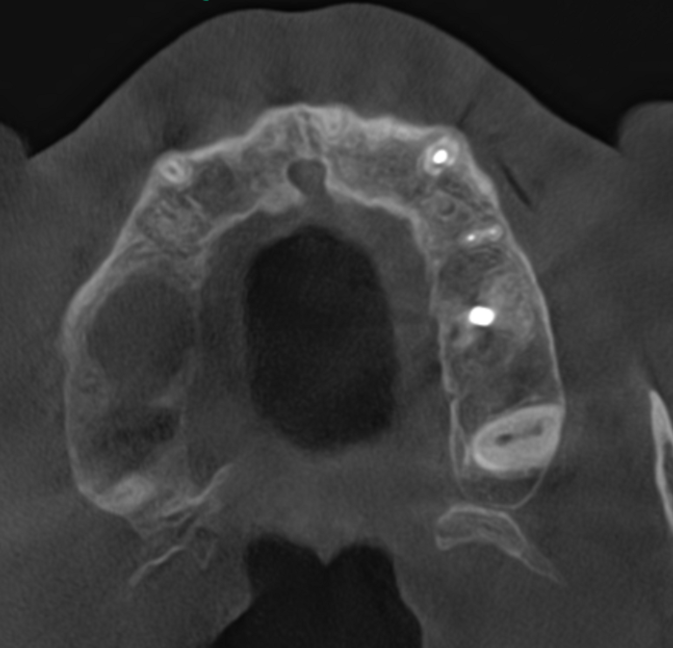
Fig. 5a: Large-volume CBCT scan. Transversal cross-section of the maxilla showing bone loss around the roots of tooth #17 and cortical wall damage.

Fig. 5a: Large-volume CBCT scan. Transversal cross-section of the maxilla showing bone loss around the roots of tooth #17 and cortical wall damage.

Fig. 5b: Low-level transversal cross-section of the maxilla showing full involvement of the maxillary sinus.

Fig. 5b: Low-level transversal cross-section of the maxilla showing full involvement of the maxillary sinus.

Fig. 5c: Mid-level transversal cross-section of the maxilla showing full involvement of the maxillary sinus.

Fig. 5c: Mid-level transversal cross-section of the maxilla showing full involvement of the maxillary sinus.

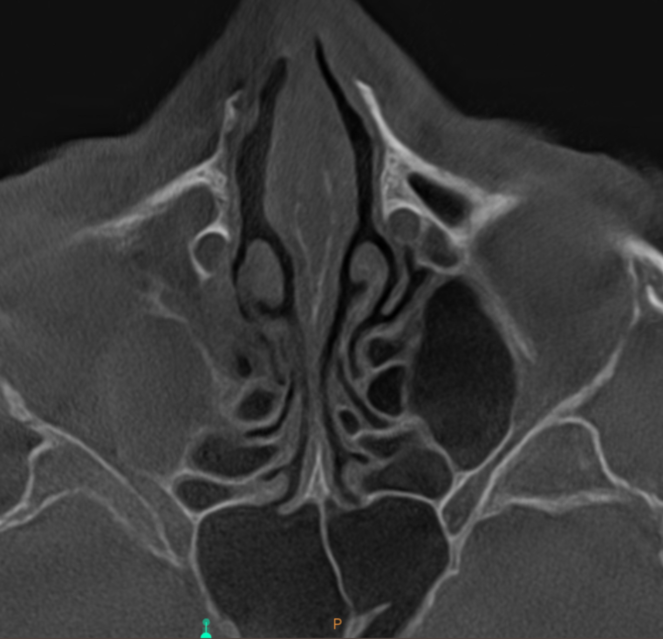
Fig. 5e: High-level transversal cross-section of the maxilla showing involvement of the sphenoid and ethmoid sinuses.

Fig. 5e: High-level transversal cross-section of the maxilla showing involvement of the sphenoid and ethmoid sinuses.

Fig. 5f: Very high-level transversal cross-section of the maxilla showing involvement of the lower part of the cavernous sinus.

Fig. 5f: Very high-level transversal cross-section of the maxilla showing involvement of the lower part of the cavernous sinus.

Fig. 6: Large-volume CBCT scan, sagittal cross-section during healing before the third treatment session.

Fig. 6: Large-volume CBCT scan, sagittal cross-section during healing before the third treatment session.

To ensure control of the working length during shaping, I choose to use an electronic apex locator connected to the endodontic motor (Apex Connect and elements Connect, both Kerr Dental). This combination provides real-time information on the position of the rotary file during shaping, preventing even the smallest over-preparation beyond the length of the apical part of the canals.

The next step was to establish a glide path for the final shaping files. I used a 13/0.06 Traverse glide path file to working length under continuous irrigation with a 17% EDTA solution. The continuous presence of the EDTA helps to immediately dissolve the debris created in shaping the canal walls. It use was crucial in this clinical situation to prevent blocking of the dentinal tubules by infected dentine particles.

The final shaping was done with the 35/0.04 (buccal canals) and 40/0.04 (palatal canals) ZenFlex files (Kerr Dental). Thanks to their unique heat treatment, these files are able to maintain the original anatomy curves during preparation, even at larger diameters. The larger apical preparation was essential to provide proper chemomechanical preparation and disinfection in the apical part of the canal system.

For final irrigation, I prefer to use negative apical pressure, combined with consecutive application of 5.25% sodium hypochlorite, distilled water, a 17% EDTA solution, distilled water, 5.25% sodium hypochlorite and distilled water. This irrigation protocol helps to establish a thoroughly disinfected root canal system, and that is the foundation of complete periapical self-regeneration.

Fig. 7: Large-volume CBCT scan, sagittal view 12 weeks later showing the fully healed paranasal sinus area.

Fig. 7: Large-volume CBCT scan, sagittal view 12 weeks later showing the fully healed paranasal sinus area.

Fig. 8a: Large-volume CBCT scan, sagittal cross-section of the buccal roots showing full recovery of the periapical bone (a).

Fig. 8a: Large-volume CBCT scan, sagittal cross-section of the buccal roots showing full recovery of the periapical bone (a).

Fig. 8b: Sagittal cross-section of the palatal root showing full recovery of the periapical bone (b).

Fig. 8b: Sagittal cross-section of the palatal root showing full recovery of the periapical bone (b).

In the first session, I was unable to dry the canal system, so we needed two further sessions, four weeks apart, to allow enough time for the periapical tissue to regenerate and the sinus inflammation to resolve. After the first session, the patient’s complaints began to decrease. At both sessions, I performed the irrigation protocol mentioned, employing negative apical pressure

Fig. 9a: Large-volume CBCT scan. Transversal cross-section of the maxilla showing bone regeneration around the roots of tooth #17 and crestal wall healing.

Fig. 9a: Large-volume CBCT scan. Transversal cross-section of the maxilla showing bone regeneration around the roots of tooth #17 and crestal wall healing.

Fig. 9b: Low-level transversal cross-section of the maxilla showing the completely healed maxillary sinus.

Fig. 9b: Low-level transversal cross-section of the maxilla showing the completely healed maxillary sinus.

Fig. 9c: Mid-level transversal cross-section of the maxilla showing the completely healed maxillary sinus

Fig. 9c: Mid-level transversal cross-section of the maxilla showing the completely healed maxillary sinus

Fig. 9d: High-level transversal cross-section of the maxilla showing the completely healed maxillary sinus.

Fig. 9d: High-level transversal cross-section of the maxilla showing the completely healed maxillary sinus.

Fig. 9e: High-level transversal cross-section section of the maxilla showing the sphenoid and ethmoid sinuses cleared up.

Fig. 9e: High-level transversal cross-section section of the maxilla showing the sphenoid and ethmoid sinuses cleared up.

Fig. 9f:  Very high-level transversal cross-section of the maxilla showing no sign of infection in the cavernous sinus.

Fig. 9f: Very high-level transversal cross-section of the maxilla showing no sign of infection in the cavernous sinus.

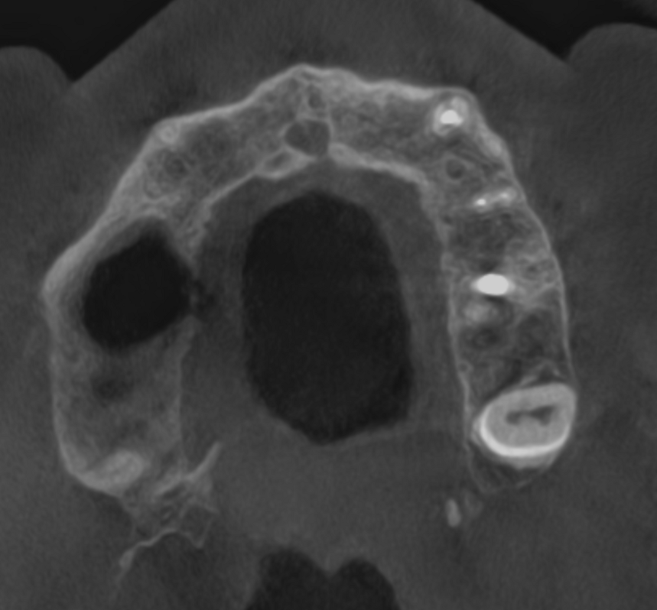
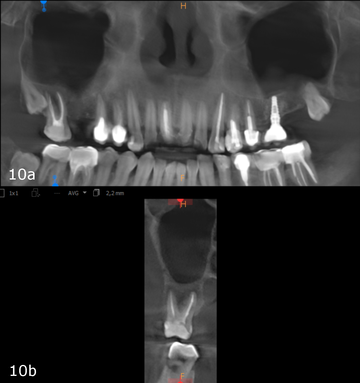
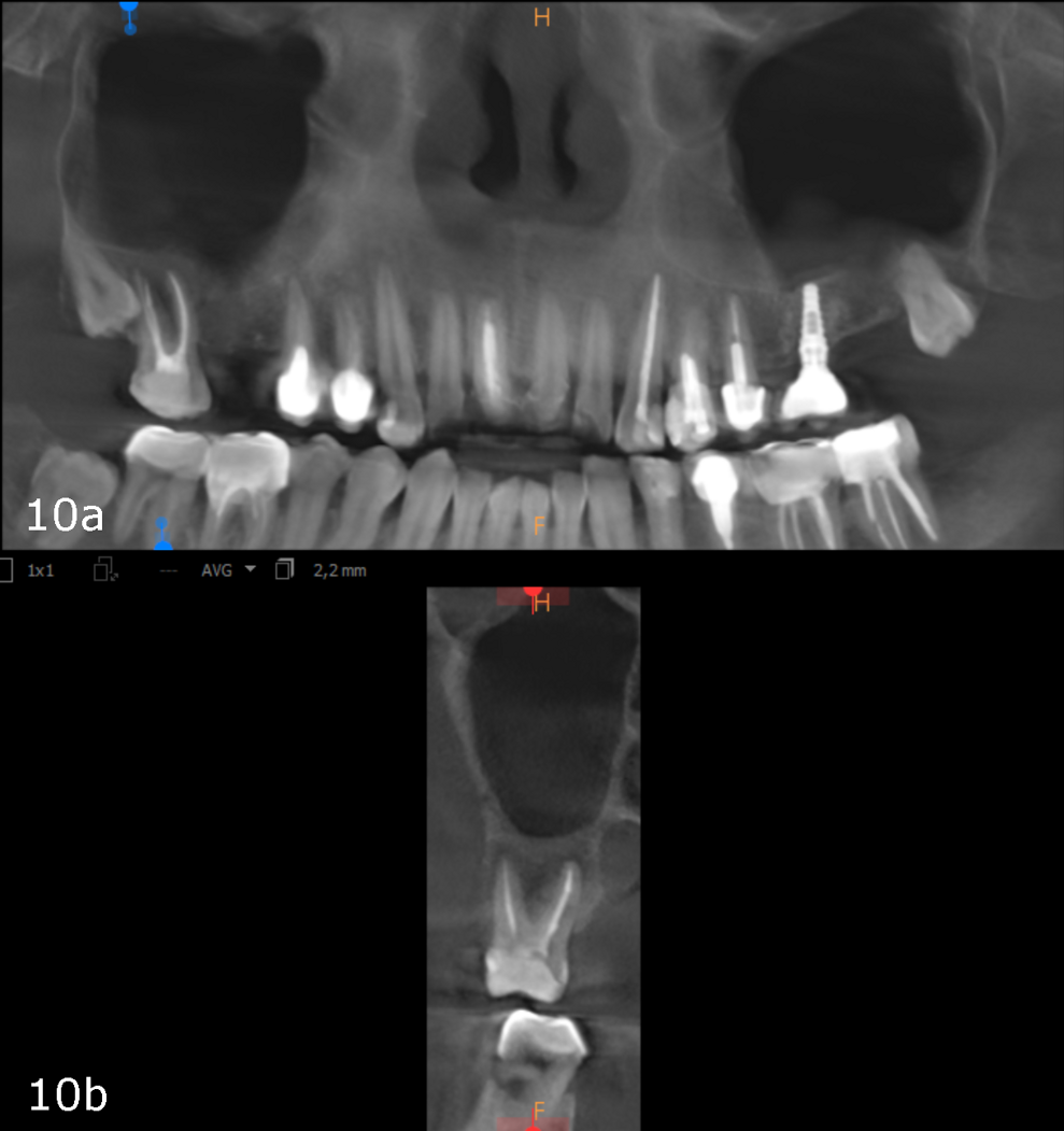
Figs. 10a & b: CBCT scan taken 12 weeks later showing complete healing, panoramic view (a) and cross-section of tooth #17 (b).

Figs. 10a & b: CBCT scan taken 12 weeks later showing complete healing, panoramic view (a) and cross-section of tooth #17 (b).

A CBCT scan was taken before the third session to evaluate the extent of the periapical regeneration, and it showed an impressive recovery (Fig. 6). It gave us hope of being able to completely dry the canal system. Finally, at the third session, I managed to establish complete dryness in all four canals.

Long-lasting success of endodontic treatment depends on various factors, one of which is perfect obturation. After final shaping with a 4° taper file, the root canals were sealed with a warm vertical technique (continuous wave of obturation technique) to provide 3D obturation. The 4° taper wider master cone provides a reliable tugback effect thanks to both the diameter and conical binding. This cold remaining gutta-percha plug can prevent the sealer from being pushed into the regenerating periapical hard tissue. The backfilling of the remaining spaces in the root canal system with softened gutta-percha creates a perfect seal in the coronal direction as well.

As a follow-up, we took a CBCT scan 12 weeks after the obturation, and it clearly showed that both the periapical tissue as well as the paranasal sinuses had recovered fully (Fig. 7). Newly formed cortical and cancellous bone was visible around the buccal and palatal roots (Figs. 8a & b) and extended in the caudal direction. Furthermore, all the paranasal sinuses were clear, and no epithelial widening was visible (Figs. 9a-f).

The bottom line is that it is really essential to locate the origin of our patients’ problem and evaluate its consequences to give proper treatment that facilitates complete regeneration of not only the periapical area but also the entire area of the paranasal sinuses (Figs. 10a & b). This can help the body and the immune system to achieve miraculous healing with a non-invasive treatment protocol.

 

Editorial note:

This article was published in roots–international magazine of endodontics vol. 21, issue 2/2025.

Topics:
Tags:
To post a reply please login or register
advertisement
advertisement