Novel nicotine products are not harmless—they aim to deliver fewer harmful substances and thereby reduce the health risks associated with the use of tobacco. (Image: Ina Lihach/Shutterstock)
MUNICH, Germany: Dentists see their patients several times annually in order to assess the health of their teeth and oral cavity; therefore, they are able to clearly observe the impact of tobacco use from an early stage. According to the German subsidiary of Philip Morris International (PMI), dental professionals are in a unique position to provide information on healthier, alternative forms of nicotine delivery to those patients who smoke and are unable or unwilling to kick the habit.
The first point of contact for Germans who are seeking advice on switching to an alternative to combustible cigarettes is a general medical practitioner, a pharmacist or a dentist. However, according to a survey that was conducted by the market research institute Psyma on behalf of PMI’s German subsidiary, Philip Morris GmbH (PMG), more than half of German dentists feel that they struggle to provide advice to their patients about alternative tobacco products, owing to a lack of information.
Dr Charilaos Avrabos, manager of scientific and medical affairs at PMG, explained in an online press briefing that a 2018 survey had found that 71% of doctors and dentists said that they had been asked about alternative tobacco products such as e-cigarettes and tobacco heating devices by their patients. More than half (58%) said that they did not feel well informed on the subject, and 69% said that they were not aware of the concept of tobacco harm reduction (THR). This was a surprising finding, according to Avrabos, because reducing the harm caused by tobacco through the use of alternative products that deliver fewer harmful substances to the user is a concept that was developed from within the international medical and scientific community.
Avrabos said that knowledge of THR products has reached some dental practices, such as the dental clinic of Dr Ingo Schröder in the city of Cologne in western Germany.
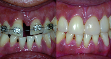
Schröder offers advice to his patients on THR products if they request it—including on tobacco heating devices such as the IQOS system, made by PMI. (IQOS stands for “I quit original smoking”.) “As a dentist, I see my patients regularly for check-ups and for tooth cleaning,” said Schröder, who has been practising cosmetic dentistry for more than 30 years. He said that he sees gingival tissue changes and the onset of periodontal disease in smokers. “Owing to our regular interaction and check-ups with patients, we recognise and observe these changes at an early stage, and we are in a position to talk with our patients about this,” he said.
“[We] can recommend products with lower levels of harmful substances to patients, and that’s what I do” – Dr Ingo Schröder, Cologne dentist
Schröder explained that he has also witnessed the effects of switching to THR products. He said: “Because we have many patients who have transitioned to tobacco heating devices, we are able to observe a difference: the gingival tissue situation improves, tooth discolouration is decreased, and the patients themselves can see the difference. They see for themselves the difference that quitting smoking would make, but for those who are unable to give it up, we inform them about alternatives.”
He continued: “Owing to the fact that I have long been interested in tobacco harm reduction, I can explain clearly to my patients that tobacco heating devices deliver considerably lower levels of harmful substances—as much as 89% lower—and this is not about nicotine. As we have said, nicotine is not the harmful substance, but let’s remember that we would remind any patient who is undergoing surgery to refrain from using nicotine for at least two or three days. But when we are thinking of the long term, we can recommend products with lower levels of harmful substances to patients, and that’s what I do. We have example products in the practice, and we can show these to patients and explain the benefits of using them instead of cigarettes.”
Schröder said that he would welcome further informational material on the use of THR products, including from government health bodies and dental associations.
“I have seen that the use of tobacco heating devices can result in a huge improvement. I think that we are on the front line here, and we are the ones who can explain this to our patients,” he asserted.
Proponents of tobacco harm reduction compare e-cigarettes with condoms and other products and services that aim to reduce the risks that are associated with certain human behaviours. (Image: Tibanna79/Shutterstock)
Tobacco harm reduction—a controversial subject
Tobacco use is the leading preventable risk factor for non-communicable diseases worldwide, but around one billion people continue to smoke regularly, according to data from the World Health Organization. Decades of strict anti-tobacco regulation, public information and educational campaigns, and tax hikes have significantly cut global smoking prevalence, but have failed to reduce it to below 10% in adult populations. Proponents of THR assert that it is this core group of tobacco users who stand to benefit from novel nicotine products.
THR has emerged in the last decade as a strategy to reduce the health risks to individuals who are unable to give up using nicotine. It aims to utilise strategies that are well established in the fields of medical science and social work by making products and services available that curb the health risks that are associated with certain human behaviours. Proponents of THR compare e-cigarettes and other novel tobacco products with condoms, and with the provision of methadone and clean needle programmes for drug users.
“Smoking poses a big risk for health, including for teeth and oral health,” Avrabos continued. “For this reason, it should be emphasised that quitting smoking is always worthwhile, at any time in life. Smoking alternatives that reduce the level of harmful components are not harmless, but they can offer an alternative when compared with traditional cigarettes. There are a number of products that are available, and when we compare them with cigarettes, we see that combustion [of tobacco] results in the delivery of the highest level of harmful substances.”
“It is clear that e-cigarettes are not risk-free products; neither are tobacco heating devices” – Dr Charilaos Avrabos, Philip Morris GmbH
Dental professionals, however, will be familiar with the litany of alarming headlines and study results relating to the effects of the use of THR products on the oral cavity. A study published on 27 March 2020in iScience, for example, reported that the use of e-cigarettes causes oral environmental shifts and changes in microbial biofilms that increase the risk of gingival infections. A subsequent study, published on 27 May 2020 in Science Advances, found that the composition of bacteria in the mouths of young, healthy e-cigarette users resembled that of people suffering from periodontitis.
According to Avrabos, risk communication is extremely important. “It is clear that e-cigarettes are not risk-free products; neither are tobacco heating devices. For non-smokers, these are not products that offer any benefits. For smokers, who use the most damaging form of nicotine delivery continually over a period of years, switching to these products can make a huge difference by reducing the amount of harmful substances,” he claimed.
So what are PMI and its affiliates doing to get more information on THR to health professionals? Avrabos said that the company is engaging with the scientific and medical community by presenting its research and findings in an open and transparent way at conferences, by making data and study results available in the form of brochures, and by meeting facetoface with medical professionals to inform them about THR products.
Avrabos said that, in the absence of the advice of medical professionals, patients are likely to continue using tobacco. “What happens when a smoker who has not been successful in giving up smoking using nicotine replacement therapy looks for help and asks for information and cannot find it? He or she continues with smoking cigarettes, which is the most harmful form of nicotine delivery.”
FRANKFURT AM MAIN, Germany: Experts are calling for the integration of tobacco harm reduction (THR) strategies into dental care. Prof. Dirk Ziebolz, head ...
ATLANTA, U.S.: The issue of e-cigarettes and their health risks has always been contentious. In a recent study, researchers from Georgia State University ...
CHICAGO, USA: According to some reports, the Current Dental Terminology (CDT) codes may not be readily understood by dentists and other professionals ...
BUDAPEST, Hungary: Smokers have been shown to have a higher chance of developing peri-implant disease. However, there is a lack of research comparing ...
WELLINGTON, New Zealand: Public health experts were taken by surprise when New Zealand’s new government announced that it would repeal the country’s ...
LOS ANGELES, U.S.: Most birth defects involve the face and skull and scientists are still unable to explain this phenomenon. The University of Southern ...
GLASGOW, UK: According to research presented at the recent annual National Cancer Research Institute (NCRI) Cancer Conference in Glasgow, 29 per cent of ...
The demand for cosmetic dentistry is a growing trend globally. Increased media coverage, the availability of free online information and the improved ...
LEIPZIG, Germany: New variants of the SARS-CoV-2 virus that emerged in the UK and South Africa in 2020 show higher transmissibility. And whereas they are ...
WASHINGTON, D.C., USA: As all phases of fetal development, palate growth is a marvel of nature. In one part of the process, ledges of tissue on the sides of...
Education
Live webinar Wed. 17 December 2025 6:00 am EST (New York)
To post a reply please login or register