Search Dental Tribune

ClearX teen smile transformation

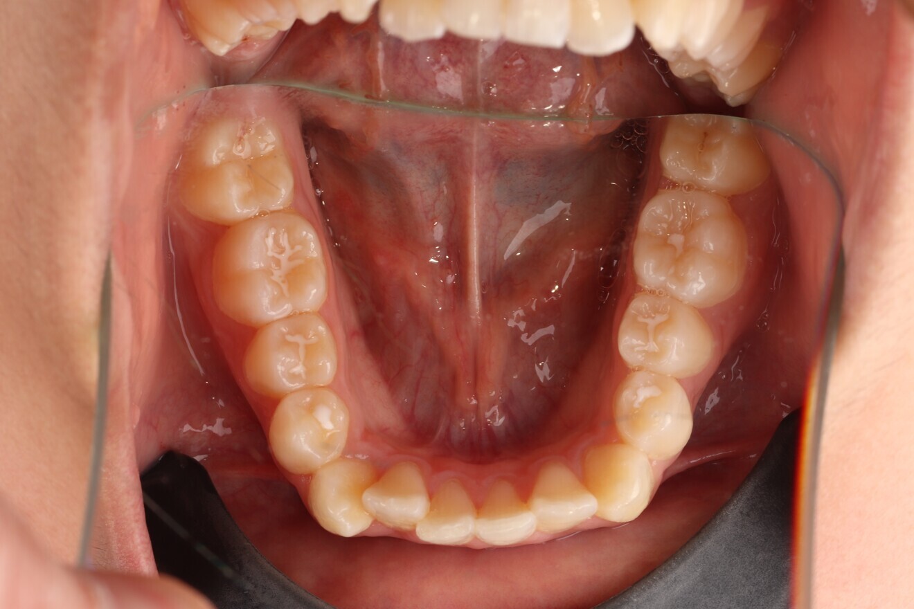
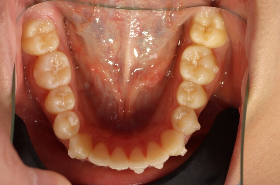
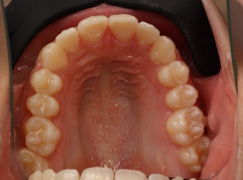
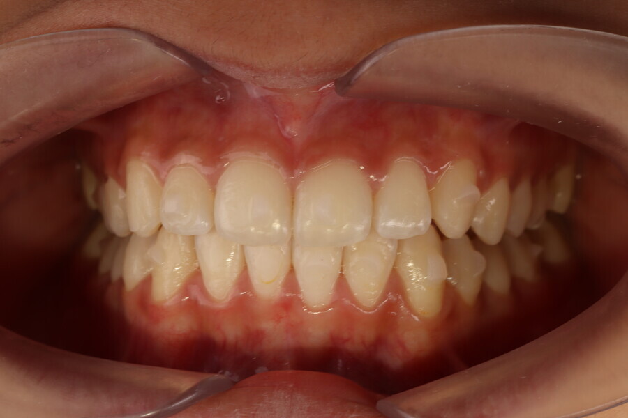
Figs. 1–5: Clinical photographs of the initial situation, showing the midline shift, mild to moderate crowding, a half-unit Class II canine relationship and square arches. (All images: K Line Europe)

Wed. 21. May 2025

save

This case presentation features a teenager’s journey to corrected occlusion using ClearX (K Line Europe) invisible aligners. The journey to a harmonious smile is often complex and requires meticulous planning, especially in cases that present with both aesthetic and functional challenges. In the case of this 17-year-old female patient, the clinical findings necessitated a carefully strategized treatment plan using ClearX aligners to address her specific orthodontic needs.

Clinical findings and treatment objectives

The patient’s initial assessment revealed a bilateral quarter-unit Class II canine relationship, black corridors, mild crowding and a slight mandibular midline shift (Figs. 1–10). These findings were significant, as they not only affected her smile aesthetically, but could potentially lead to functional issues in the future. The treatment objectives were clear: to correct the malocclusion; realign the dental arches into a more natural, parabolic shape; address the crowding; and correct the midline shift to improve both dental function and facial aesthetics.

Fig. 2

Fig. 2

Fig. 3

Fig. 3

Fig. 4

Fig. 4

Fig. 5

Fig. 5

Treatment plan and execution

The treatment plan was devised to span over one year, and treatment involved the following key phases:

    1. Arch expansion: To address the black corridors and create room for the canines to move into their correct positions, arch expansion was carried out. This initial phase was crucial in laying the groundwork for subsequent alignment.
    2. Sequential distalisation: Achieving a Class I canine relationship was essential for a proper masticatory function and a stable bite. Sequential distalisation was performed, utilising Class II elastics to assist in this movement. Special hooks were integrated into the aligners to facilitate the use of elastics, as well as some movements required in the planning. Medium-force elastics were used with aligner hooks to avoid the bending and deforming of hooks that occurs with heavy-force elastics.
    3. Anterior segment rounding and alignment: The arches having been expanded and the canines moving into place, focus was then placed on the anterior segment. Rounding and alignment procedures were executed to straighten the teeth and achieve a rounded arch form, contributing to a more pleasing smile line (Figs. 11–20).
    4. Final refinement and occlusion settling: The final phase of treatment involved detailed refinement to ensure each tooth was ideally positioned. Additionally, occlusion settling was performed to ensure that the maxillary and mandibular teeth worked together harmoniously (Figs. 21–25).

Clinical outcomes

The use of ClearX aligners allowed for a discreet treatment process, which is often a significant consideration for patients, especially teenagers. The aligners provided the necessary force to achieve the desired movements while being comfortable and minimally invasive.

The 4D component of ClearX which includes aligner activation throughout the treatment process, was key in keeping the patient actively engaged. This approach helped the patient feel more involved in her treatment, rather than being a passive recipient of care.

By the end of the treatment period, the patient’s malocclusion had been corrected, and the midline shift had been resolved. The final occlusion was functional, stable and aesthetically pleasing, having a natural arch form that complemented the patient’s facial features (Figs. 26–28).

Fig. 26: Extra-oral clinical photograph showing the patient’s smile before treatment.

Fig. 26: Extra-oral clinical photograph showing the patient’s smile before treatment.

Fig. 27: Extra-oral clinical photograph showing the patient’s smile during treatment.

Fig. 27: Extra-oral clinical photograph showing the patient’s smile during treatment.

Fig. 28: Extra-oral clinical photograph showing the patient’s smile after treatment.

Fig. 28: Extra-oral clinical photograph showing the patient’s smile after treatment.

Patient satisfaction

The patient’s satisfaction with the treatment outcome was evident in her confident smile. The ClearX aligners delivered on their promise of an effective treatment with minimal lifestyle disruption.

Conclusion

This case illustrates the versatility and effectiveness of ClearX aligners in treating orthodontic cases. Through the implementation of a well-planned treatment sequence and the use of innovative orthodontic tools, it was possible to transform the patient’s dental profile, enhancing her smile and boosting her confidence. This case highlights the importance of individualised treatment planning and the capabilities of modern orthodontic solutions in achieving excellent clinical outcomes.

Editorial note:

This article was published in aligners—international magazine of aligner orthodontics vol. 3, issue 2/2024.

Topics:
Tags:
To post a reply please login or register
advertisement
advertisement