Computer-aided implantology (CAI) was introduced more than 25 years ago with the aim of facilitating implant planning and avoiding intra-operative complications such as mandibular nerve damage, sinus perforation, fenestration and dehiscence.[1–4] Based on a computed tomography (CT) scan and a digitised tooth set-up, the prosthetically ideal implant positions can be planned virtually with the help of guided surgery software, allowing for 3D visualisation prior to implant surgery.[2, 5, 6]
Furthermore, the possibility of transferring the virtually planned implant position to the real clinical situation is provided by a stereolithographically fabricated surgical template.[3, 7] While only few guided implant placement systems were available at the time, today, multiple CAI programmes are available on the market. Several in vitro, cadaver and clinical studies have reported on the accuracy of guided implant placement.[8–10] Although the current state of software and hardware technology has improved, inaccuracies in implant placement may occur and these depend on different factors, such as the template support (bone, mucosa, teeth, implants), intrinsic factors of the surgical guide (tolerance in diameter between the drill and the guide sleeve, fabrication accuracy of the guide)[11, 12] and human-related factors during the workflow of virtual planning and guided surgery.[7, 13] The guided surgery approach is still a matter of controversy, [14–16] even though the procedure may be performed in a safe and predictable way.[17, 18] However, a systematic and concise approach to performing the single steps in the treatment sequence may allow for more accurate implant positioning, as the type of guide and fixation have an important influence.[19, 20] Additionally, the use of multiple templates with different supports, that is teeth and implant support, combined in a sequenced order is believed to improve accuracy compared with a mucosasupported approach alone.[21]
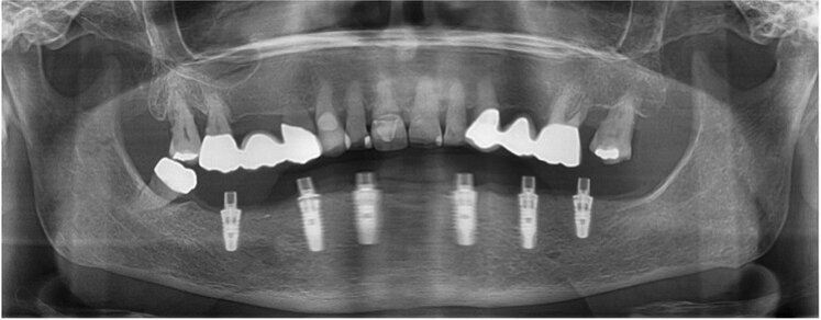
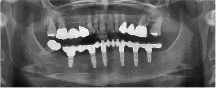
Fig. 1: Panoramic radiograph of the initial dental status.
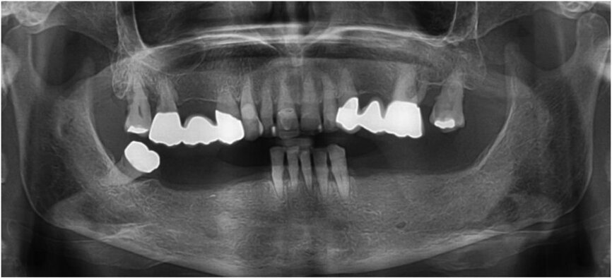
Figs. 2a & b: Initial dental status: right side (a) and left side (b).
Fig. 3a: Frontal (a) and occlusal view (b) of the study models after extraction of teeth #41, 31 and 32.
Fig. 3b: Frontal (a) and occlusal view (b) of the study models after extraction of teeth #41, 31 and 32.
Fig. 4: Screenshot of the virtual implant planning for positions #36, 35, 33, 42 and 46, showing occlusal, sectional and panoramic views.
Fig. 5a: CAD/
CAM-fabricated surgical guides: tooth- and mucosa- supported (a) and implant- and mucosa-supported (b).
Fig. 5b: CAD/
CAM-fabricated surgical guides: tooth- and mucosa- supported (a) and implant- and mucosa-supported (b).
Fig. 6a: Occlusal view showing CAD of the provisional FDP framework (a) and close-up views from the interface between the CAD framework and the prefabricated titanium abutments (b & c).
Fig. 6b: Occlusal view showing CAD of the provisional FDP framework (a) and close-up views from the interface between the CAD framework and the prefabricated titanium abutments (b & c).
Fig. 6c: Occlusal view showing CAD of the provisional FDP framework (a) and close-up views from the interface between the CAD framework and the prefabricated titanium abutments (b & c).
Fig. 7a: CAD/CAM model with the prefabricated titanium abutments (a), CAD/CAM cobalt–chromium framework (b) and composite veneered provisional FDP (c & d) before bonding to the abutments.
Fig. 7b: CAD/CAM model with the prefabricated titanium abutments (a), CAD/CAM cobalt–chromium framework (b) and composite veneered provisional FDP (c & d) before bonding to the abutments.
Fig. 7c: CAD/CAM model with the prefabricated titanium abutments (a), CAD/CAM cobalt–chromium framework (b) and composite veneered provisional FDP (c & d) before bonding to the abutments.
Fig. 7d: CAD/CAM model with the prefabricated titanium abutments (a), CAD/CAM cobalt–chromium framework (b) and composite veneered provisional FDP (c & d) before bonding to the abutments.
Fig. 8a: Close-up view of the first CAD/CAM guide in situ (tooth- and mucosa-supported) showing the perfect fit on tooth #33 (a). Occlusal view of the second CAD/CAM guide (implant- and mucosa-supported) after extraction of teeth #42 and 33 and placement of implants in positions #44 and 35 (b).
Fig. 8b: Close-up view of the first CAD/CAM guide in situ (tooth- and mucosa-supported) showing the perfect fit on tooth #33 (a). Occlusal view of the second CAD/CAM guide (implant- and mucosa-supported) after extraction of teeth #42 and 33 and placement of implants in positions #44 and 35 (b).
Fig. 9a: Occlusal views of the abutments (a) and of the immediate provisional restoration that were passively bonded in situ (b).
Fig. 9b: Occlusal views of the abutments (a) and of the immediate provisional restoration that were passively bonded in situ (b).
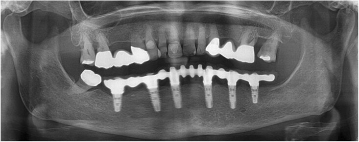
Fig. 10: Post-op panoramic radiograph.
Fig. 11: Frontal view showing the screw-retained posts at impression taking 24 weeks after implant placement.
Fig. 12a: Occlusal view showing CAD of the final FDP (a) and detailed screenshot of the interface geometry (b).
Fig. 12b: Occlusal view showing CAD of the final FDP (a) and detailed screenshot of the interface geometry (b).
Fig. 13a: CAD/CAM-fabricated one-piece cobalt–chromium framework before (a & b) and after veneering with composite (SR Nexco Paste, Ivoclar Vivadent), that is the final FDP (c & d).
Fig. 13b: CAD/CAM-fabricated one-piece cobalt–chromium framework before (a & b) and after veneering with composite (SR Nexco Paste, Ivoclar Vivadent), that is the final FDP (c & d).
Fig. 13c: CAD/CAM-fabricated one-piece cobalt–chromium framework before (a & b) and after veneering with composite (SR Nexco Paste, Ivoclar Vivadent), that is the final FDP (c & d).
Fig. 13d: CAD/CAM-fabricated one-piece cobalt–chromium framework before (a & b) and after veneering with composite (SR Nexco Paste, Ivoclar Vivadent), that is the final FDP (c & d).
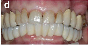
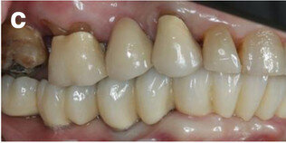
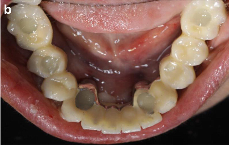
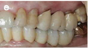
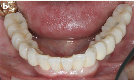
Fig. 14a: Occlusal, frontal and lateral views on the day of delivery, showing healthy peri-implant mucosal conditions (a) and the final CAD/CAM restoration in situ (b–e).
Fig. 14b: Occlusal, frontal and lateral views on the day of delivery, showing healthy peri-implant mucosal conditions (a) and the final CAD/CAM restoration in situ (b–e).
Fig. 14c: Occlusal, frontal and lateral views on the day of delivery, showing healthy peri-implant mucosal conditions (a) and the final CAD/CAM restoration in situ (b–e).
Fig. 14d: Occlusal, frontal and lateral views on the day of delivery, showing healthy peri-implant mucosal conditions (a) and the final CAD/CAM restoration in situ (b–e).
Fig. 14e: Occlusal, frontal and lateral views on the day of delivery, showing healthy peri-implant mucosal conditions (a) and the final CAD/CAM restoration in situ (b–e).
Fig. 15: Panoramic radiograph at delivery of the final CAD/CAM FDP.
Fig. 16: Panoramic radiograph at the 12-month recall appointment.
While some patients wish to be informed in detail about the specific treatment steps, most want to know whether they would have to leave the dental office without teeth at some point of the treatment. In this context, immediate implant placement after tooth extraction and immediate implant loading with a fixed provisional restoration may help the patient, as the time after extraction and osseointegration is consolidated. In guided surgery protocols, minimally invasive placement and immediate loading have been possible treatment steps from the beginning. [3, 4] Postoperative morbidity after flapless surgery is significantly reduced compared with the traditional open approach, especially in edentulous patients.[17, 22, 23] Later during the treatment, restorations fabricated with the help of computer-aided design/computer-aided manufacture (CAD/CAM) provide high-quality and aesthetic materials. Although CAI and CAD/CAM procedures have facilitated a straight forward workflow in the rehabilitation of edentulous patients, immediate implant placement and immediate loading protocols combined are complex and required a high level of organisation between the implantologist, the technician and the patient. The aim of the present case report was to illustrate the feasibility of a combined immediate implant placement and loading approach using CAI in the rehabilitation of a patient with a partially dentate mandible and who requested a comprehensive treatment and, specifically, one that would not leave her edentulous at any point.
Initial status and treatment concept
The partially dentate 74-year-old patient presented with masticatory problems due a removable partial denture (RPD) with insufficient stability, in combination with chronic pain affecting the mandibular anterior teeth area. She asked for a comprehensive treatment and was not prepared to accept being edentulous at any stage of the treatment. The patient was a non-smoker and—with the help of antihypertensive (Candecor comp. 32 mg/12.5 mg, TAD Pharma) and anti-coagulant medication (quick 30, Marcoumar)—in good general health.
The dental status showed acceptable oral hygiene and some teeth with Grade III mobility (teeth #41, 31, 32, 18 and 28) and local periodontal problems, including horizontal bone loss (teeth #42, 41, 31, 32, 33, 18, 17, 27 and 28). Teeth #42 and 33 were healthy and not mobile. The alveolar crest in the lateral mandible area showed clinically a wide shape with thick keratinised mucosa. The initial panoramic radiograph revealed stable crestal bone in the lateral mandibular area (Figs. 1–3). Thus, in the lower jaw, the single-tooth prognosis was fair for teeth #47, 42 and 33, and hopeless for teeth #41, 31 and 32.[24]
During decision-making for the final treatment plan, various treatment options, including a removable dental prosthesis, were discussed with the patient. To fulfil the patient’s wish for a fixed restoration and to never be edentulous in any treatment phase and considering the prognosis of the remaining mandibular teeth, the decision was made to prepare a provisional fixed prosthesis with an immediate loading approach and to extract teeth #42 and 33 for prosthodontic reasons but to maintain tooth #47.
Digital implant planning (Table 1)
After extraction of the painful and extremely mobile teeth #41, 31 and 32 and adaptation of the existing RPD, a cone beam computed tomography scan (PaX-Uni3D, VATECH) with a 5 x 8 cm field of view, 85 kVp generator voltage, 5.5 mA generator current and 0.2 mm voxel size was performed to proceed with the detailed implant planning (Fig. 4). Based on the anatomical conditions and prosthetic planning (i.e. tooth set-up for the provisional RPD), six implants were virtually planned (3Diagnosys, 3DIEMME) in positions #46, 44, 42, 33, 35 and 36. As the implant positions #42 and 33 interfered with teeth #43 and 33, a two-step procedure with two surgical templates was planned for the guided implant placement (Figs. 5a & b). The templates were fabricated stereolithographically (DS3000 and XFAB, DWS) according to the virtual implant planning. Based on the same digital file (Figs. 6a–c), a provisional fixed dental prosthesis (FDP) was prepared preoperatively, allowing for an intra-oral adaptation between the abutments and the framework in order to achieve a passive fit (Figs. 7a–d).
Immediate implant placement
On the day of surgery, a single dose of antibiotic (2 g of amoxicillin and clavulanic acid) was administered prophylactically one hour prior to surgery. This treatment continued for five days (1 g of amoxicillin and clavulanic acid twice a day). Prior to the start of surgery, the patient rinsed with 0.2 % chlorhexidine for one minute. Local anaesthesia was induced using a 4 % articaine solution with 1:100,000 adrenaline.
The two-step approach entailed the flapless, guided insertion of four posterior implants (ELEMENT RC, 4.5 × 9.5 mm; Thommen Medical), using the first surgical template, which was tooth- and mucosa-supported (Fig. 8a). The template was then removed and teeth #42 and 33, which had supported the guide, were extracted. Thereafter, the second surgical template was positioned and stabilised on the four posterior implants with the help of specific abutments and the same anchor pins (Fig. 8b), thus allowing guided placement of implants (ELEMENT RC, 4.5 × 9.5 mm) in positions #42 and 33 immediately after the extractions. All the implants were inserted at a torque of 35 Ncm and had good primary stability.
Immediate loading
After removal of the second surgical template, the standard titanium abutments were mounted on to the implants at a torque of 15 Ncm (Fig. 9a). The gaps between the abutments and the FDP were filled with a dual-curing composite material and the screw-retained immediate provisional FDP delivered. The occlusion required only minor adaptations owing to the accurate digital preoperative planning (Fig. 9b). The postoperative panoramic radiograph showed the parallel axes of the six implants (Fig. 10).
Final fixed prosthesis
All six implants osseointegrated successfully without complications. After six months of the patient wearing the provisional FDP, a conventional impression was taken (screw-retained impression copings, open-tray technique, polyether material) to fabricate the final FDP on a new, precise cast (Fig. 11), which was then digitised with a laboratory scanner (Deluxe scanner, Open Technologies). The final framework was designed with straight connection to the implant platforms and with a cutback allowing for the veneering material (Figs. 12a & b). While the cobalt– chromium framework was fabricated using CAD/CAM technology (exocad, exocad; M1 Wet, Zirkonzahn), the veneering was performed manually, allowing for individual characterisation of the teeth (Figs. 13a–d). The models were fabricated with a laser stereolithography printer (XFAB) using an ABS-like polymer (Precisa RD096B, DWS). Healthy mucosal conditions were present at the delivery of the final CAD/CAM restoration, made from cobalt–chromium and composite veneering material (Figs. 14a–e). The accurately fitting FDP was attached with screws at 25 Ncm and the screw access area covered with composite material. The panoramic radiograph on the day of delivery showed optimal prosthetic and osseous conditions (Fig. 15). The patient followed a regular maintenance programme at the dental hygienist twice a year.
At the one-year follow-up appointment, healthy mucosal and stable crestal peri implant conditions were observed (Fig. 16). The patient was very pleased with the aesthetic and functional outcome. Thus, the performed treatment was successful, and it showed stable results without complications or the need for maintenance service after the first year.
Discussion
The use of CAI software in the preoperative virtual 3D implant planning allowed for guided and immediate implant placement, and proved to be especially beneficial in the mandibular full-arch case presented. While there are some studies that have investigated outcomes of immediately loaded implants placed in edentulous patients using computer-aided, template-guided surgery to support an FDP,[25] only few case reports are available in the literature that describe the entire workflow, the patient’s state in detail and the usage of guided surgery templates with subsequent immediate loading.[3, 4] The considerably more complex combination of immediate implant placement and immediate loading required a high level of organisation between the implantologist and technician, minimising the required compliance of the patient. Pozzi et al. reported excellent results with CAD/CAM crossarch zirconia bridges on immediately loaded implants placed with computer-aided, template-guided surgery.[26] Several investigators have presented analyses of recent studies in this context, elaborating on the factors that influence accurate implant placement but also the comparable outcome of the restorations after guided implant placement.[15, 20, 21, 27–31] In the present case report, two CAD/CAM surgical templates were combined in this partially dentate patient, with extraction of teeth #42 and 33 and immediate implants performed in a sequenced order. The first scanner-based template was tooth- and mucosa-supported, enabling a higher template stability and thus more accurate guided osteotomies and implant placement. Four posterior implants were placed with this approach, allowing support of the second surgical template after extraction of teeth #42 and 33. The stability on these four points was high, as the implants in positions #42 and 33 showed a torque value of 35–40 Ncm each. The placement of the subsequent two anterior immediate implants was thus perfectly guided.
Different factors contributed to this insertion torque, such as the depth of the planned implant position in a more apical area than the extraction site, the minimally invasive tooth extraction, the macroscopic implant geometry and the osteotomy protocol with a smaller drilling diameter compared with the implant diameter (as proposed by the company), the accurate performance of the single steps in the pre- and intra-operative phases, and the bone density in the anterior mandibular area. The prefabricated provisional FDP was prepared to connect the abutments to the FDP intra-orally, which was easily performed, given the accurate implant positions. With this approach, the passive fit of the FDP was maximised, the clinical chairside efforts (in terms of abutment connection and occlusal adaptations) were minimal and the predictability was very high compared with the various limitations and problems reported in a recent review.[32]
The preoperative communication between the dentist and the technician during the decision-making and planning phase was essential for concise timing in the clinic, ensuring the highest surgical and prosthodontic performance accuracy in this particular case. Therefore, up-to-date software and hardware, as well as the knowledge of how to apply the specific products, were required. This case report supports the need for minimally traumatic or flapless surgery, optimal implant positioning and immediate loading, as summarised in a recent review on randomised controlled trials.[33]
Conclusion
The present case report has emphasised the efficient workflow and the predictable outcome using CAI. The fabrication of an immediate provisional FDP and, subsequently, the final CAD/CAM restoration was facilitated by CAI, fulfilling the patient’s wish to being continuously restored throughout the complete treatment.
Editorial note: A list of references is available from the publisher. This article was first published online in BMC Oral Health on 11 April 2019. It also appeared in CAD/CAM―international magazine of digital dentistry Vol. 10, Issue 3/2019.
Acknowledgements
Thommen Medical is acknowledged for its logistical and administrative help during the treatment.
Funding
No funding body was involved in the design of the study, in the collection, analysis or interpretation of data, or in the writing of the manuscript.
Competing interests
The authors declare that they have no competing interests related to this case report.
Tags:
To post a reply please login or register