Search Dental Tribune

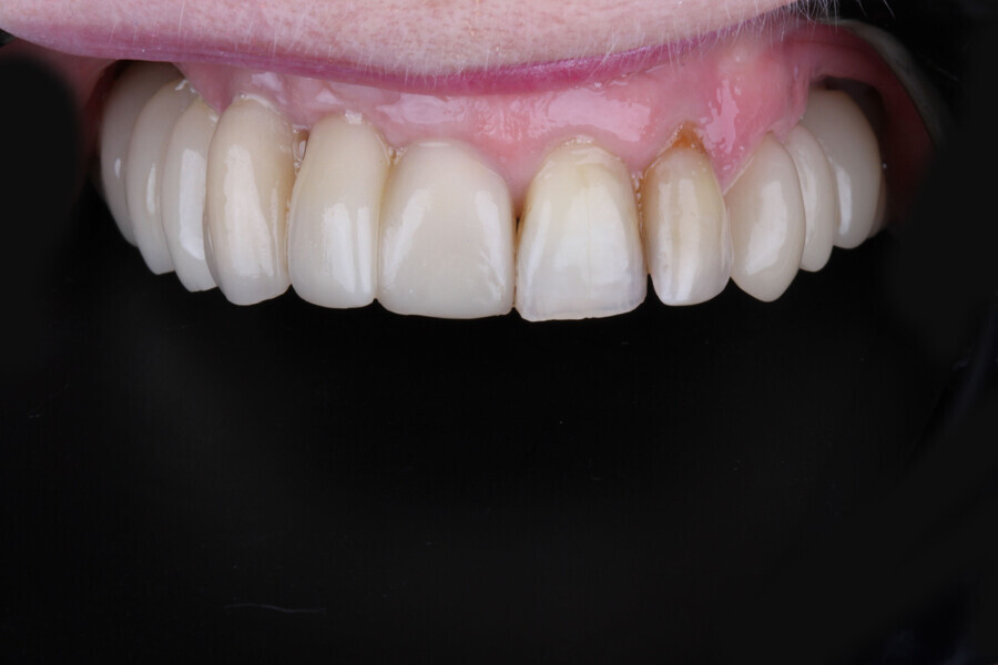
Fig. 1: Upon initial examination, a 67-year-old female patient, in good health and with no known medical issues, presented with a failing bridge extending from tooth #14 to tooth #17, anchored on teeth #14 and 17. (All images: Adam Nulty)

Wed. 19. June 2024

save

The evolution of digital dentistry has revolutionised the way dental procedures are planned and executed. This case highlights the integration of various digital tools and techniques to achieve a predictable and satisfactory outcome. This case report describes the successful management of a failing maxillary right bridge using advanced digital dentistry techniques. The process involved virtual extraction, CBCT planning, guided surgery and in-house milling of the final prosthesis.

Fig. 2

Fig. 2

Fig. 3

Fig. 3

Fig. 4

Fig. 4

Case presentation

Upon initial examination, a 67-year-old female patient, in good health and with no known medical issues, presented with a failing bridge extending from tooth #14 to tooth #17, anchored on teeth #14 and 17 (Figs. 1 & 2).

Virtual extraction
Using the Medit Design tool, the bridge and abutment teeth were removed, employing a precise scan obtained from the Medit i700 intra-oral scanner (Figs. 3 & 4). This initial step laid the foundation for the subsequent phases of treatment, ensuring accurate planning and execution.

Implant planning
The implant planning phase was conducted utilising both CBCT scans and the intra-oral scan for comprehensive assessment. Using SMOP guided surgery software (Swissmeda), a detailed plan was prepared. This plan included the placement of Axiom X3 implants (Anthogyr), strategically positioned to effectively support a four-unit bridge (Figs. 5–7).

Fig. 5

Fig. 5

Fig. 6

Fig. 6

Fig. 7

Fig. 7

Surgical guide fabrication
For precise execution of the implant placement, a surgical guide was fabricated. The guide was printed on a MAX UV printer (Asiga) with KeyGuide resin (Keystone Industries; Figs. 8–10). After washing, INTEGRAL sleeves (Anthogyr) were placed before the final post-processing polymerisation (Figs. 11 & 12).

Implant placement
On the day of implant surgery, the bridge and abutment teeth (teeth #14 and 17) were removed (Figs. 13–17). The implant placement procedure was carried out with the aid of the surgical guide and the INTEGRAL guided surgery kit. Immediate implant placement was followed by the placement of healing abutments. The sockets were augmented using bovine xenograft.

Restoration
After an eight-week healing period, the scan bodies for accurate digital impressions were seated, and a digital impression was taken (Figs. 18 & 19). Custom gold-anodised titanium abutments and a cement-retained lithium disilicate bridge (Prometa Kronos) were designed (Figs. 20–31). The custom abutments were milled by Simeda. However, I completed the surgical guide planning and the CAD of the final bridge and milled the final bridge in-house.

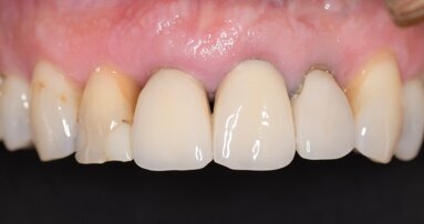
Results

The patient achieved a functional and aesthetically pleasing result with the new bridge (Figs. 32–36). The integration of advanced digital techniques ensured a predictable and satisfactory outcome (Figs. 37–41).

Discussion

The integration of digital dentistry into clinical practice has been a transformative evolution in the field. The case presented here underscores the importance of a comprehensive digital workflow in modern implant dentistry. The use of virtual planning, guided surgery and in-house milling ensured precision and reduced the overall treatment time.

Virtual planning and guided surgery
The utilisation of virtual planning tools, such as Medit Design and SMOP, allows for a more predictable surgical outcome. Mangano et al. highlight that digital workflows, including virtual planning and guided surgery, improve the accuracy of implant placement, reduce surgical time and minimise postoperative complications.1 This precision ensures that the implant is placed in the most optimal position, reducing the risk of complications and ensuring the longevity of the implant.

Immediate implant placement
Immediate implant placement, as executed in this case, has its advantages. Chen and Buser emphasise the benefits of immediate implant placement, including reduced treatment time, preservation of soft and hard tissue, and improved aesthetic outcomes.2 This method not only speeds up the treatment process but also results in greater patient satisfaction owing to the reduced number of visits and faster recovery.

Digital impressions and in-house milling
The Medit i700 scanner was instrumental in obtaining accurate digital impressions. According to Nulty, the trueness and precision of digital scanners, including the Medit i700, are remarkable, ensuring that the final prosthesis fits perfectly.3 Furthermore, in-house milling, as done in this case, provides the clinician with greater control over the design and fit of the final prosthesis, leading to improved patient satisfaction.4

3D printing and accuracy
Nulty compared the trueness and precision of various 3D printers, including the MAX UV, and found them to be highly accurate.5 The MAX UV was statistically superior to the others, having an overall trueness of under 35 μm, ensuring that the printed surgical guides fit precisely during surgery.5 The accuracy of such printers is crucial in ensuring that the surgical guide aligns perfectly with the patient’s anatomy, supporting successful implant placement.

Material selection
The choice of bovine xenograft for socket augmentation is supported by studies that have shown its efficacy in preserving alveolar ridge dimensions after extraction.6 Additionally, the use of lithium disilicate, known for its excellent aesthetic properties and durability, for the final bridge aligns with the current trend in restorative dentistry.7

Collaborative approach
Collaboration between different digital tools, materials and experts, as seen in this case, is a testament to the multidisciplinary nature of modern dentistry. Such an approach ensures that patients receive the best possible care, combining expertise from various domains.

Primary stability and implant design
One of the critical aspects of successful dental implant placement is achieving excellent primary stability. Primary stability refers to the mechanical stability of an implant immediately after placement, and it is a crucial factor in determining the success of osseointegration and the overall outcome of the implant procedure. The Axiom X3 implant, having a unique design, has been recognised for providing exceptional primary stability. Primary stability ensures that the implant securely anchors in the bone, reducing micro-movements that can hinder the osseointegration process. This stability is not just beneficial for the immediate postoperative period but also plays a pivotal role in the long-term success of the implant.8

Conclusion

Digital dentistry, when used comprehensively, can offer patients a swift and precise treatment plan, leading to predictable outcomes. This case serves as a testament to the advancements in the field and their practical applications.

In conclusion, the advancements in digital dentistry, as demonstrated in this case, offer a holistic approach to patient care. By integrating various digital tools and techniques, clinicians can achieve predictable, efficient and aesthetically pleasing outcomes.

Editorial note:

This article was published in digital—international magazine of digital dentistry vol. 5, issue 1/2024.

Topics:
Tags:
To post a reply please login or register
advertisement
advertisement