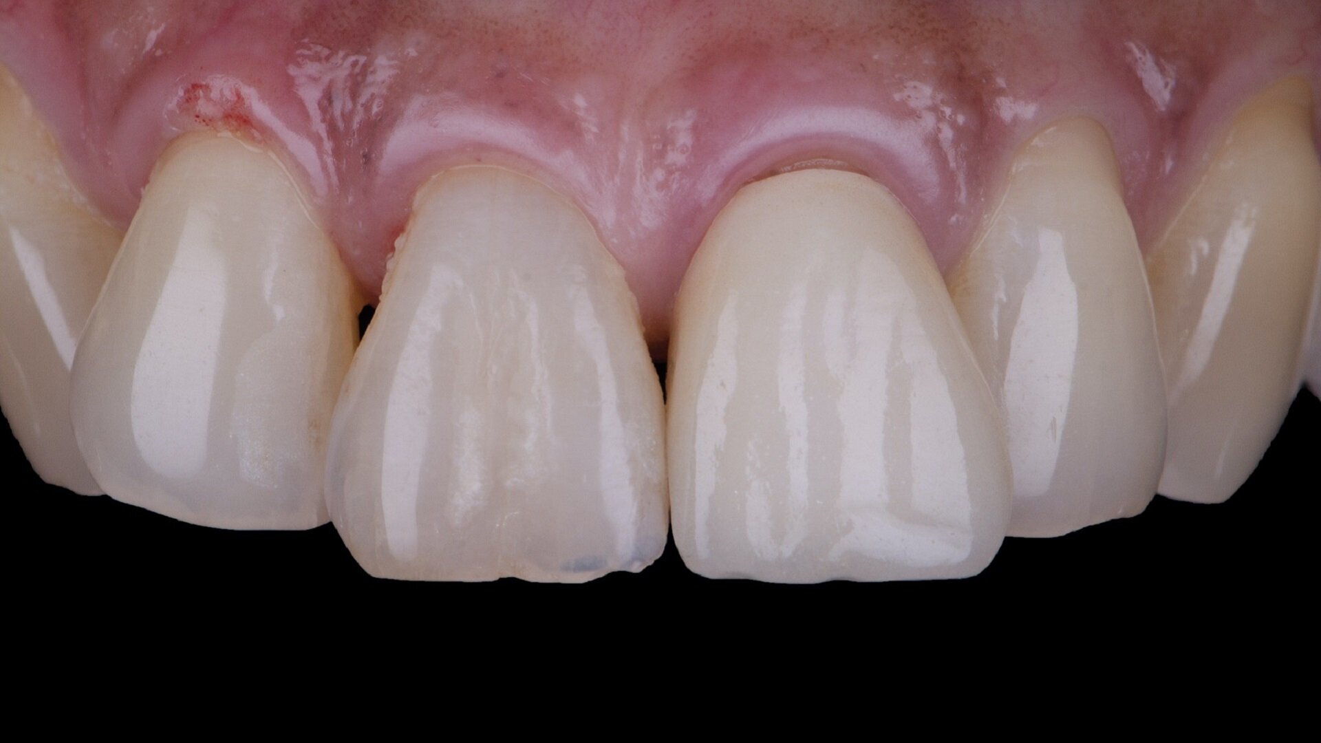
Fig. 1: During the intra-oral examination, it was observed that the patient had multiple dental restorations and a crown on tooth #21. (All images: Straumann)
Immediate implant placement and loading have become increasingly prevalent in modern dentistry, especially in the aesthetic zone, where patients typically desire both functional and aesthetic outcomes. This approach involves the insertion of an implant immediately after tooth extraction, followed by the placement of a provisional or definitive restoration when indicated. The predictability of such procedures depends on meticulous diagnosis and selection of appropriate surgical and restorative protocols as well as materials, all of which are critical to ensuring both immediate success and long-term stability.
Fig. 2
Fig. 3
Fig. 4
A significant advancement in this area is the development of implant systems specifically designed to meet the demands of immediacy. The BLX implant (Straumann), created for challenging clinical scenarios where immediate insertion and loading are indicated, is a prime example. Fabricated from Roxolid (Straumann), an alloy combining titanium and zirconia, the BLX implant provides enhanced strength, allowing for smaller diameters without compromising stability. This characteristic is particularly beneficial for preserving hard and soft tissue, which are crucial for achieving optimal aesthetic outcomes in anterior restorations.
Additionally, the TorcFit connection further augments the implant’s versatility, offering a secure and flexible interface between the implant and the abutment. This is essential for attaining optimal results in immediate restoration cases. One notable advantage of the TorcFit connection is that the abutment’s transmucosal design is the same from the healing abutment to the definitive abutment. This unique feature prevents bone remodelling due to the connection and disconnection of restorative components during the restorative phase.
This case report presents the successful treatment of a hopeless anterior tooth using the BLX implant. The patient underwent immediate implant insertion and loading and was followed up over a period of two years after the delivery of the definitive restoration. The outcome demonstrated not only the functional stability of the implant–prosthesis complex but also the high level of aesthetics that was maintained over time, highlighting the efficacy of the BLX implant system in achieving reliable and lasting results in the aesthetic zone.
Initial situation
A 62-year-old healthy female patient (ASA Class I), a non-smoker with no history of medication use or allergies, presented to our clinic with complaints of pain and crown mobility at tooth #21. The patient expressed a desire to restore function while preserving aesthetics and a natural appearance.
During the intra-oral examination, it was observed that the patient had multiple dental restorations and a crown on tooth #21 (Fig. 1). Probing revealed depths of less than 3 mm around all sides of the crown on tooth #21, and there was no bleeding or suppuration noted upon probing (Fig. 2). The patient’s plaque index was 8%, and there were no signs of inflammation. She mentioned that she had undergone a periodontal cleaning prior to the consultation. However, the crown was mobile, and a horizontal fracture was observed clinically (Figs. 3 & 4).
Fig. 5
Fig. 6
The CBCT scan confirmed a horizontal fracture of tooth #21, which had previously undergone root canal treatment and been restored with a post and a crown. The CBCT analysis demonstrated a favourable anatomical situation for extraction, immediate implant placement and immediate loading (Fig. 5). The treatment was classified as complex according to the International Team for Implantology’s SAC classification.
Treatment planning
Based on the tomographic results, the suggested treatment plan for the patient involved the following steps:
digital planning and design of a surgical guide with coDiagnostiX (Dental Wings) for static computer-aided implant surgery to enhance the 3D position of the implant based on a prosthetically driven approach (Fig. 6);
extraction of the hopeless tooth #21 due to the horizontal fracture;
immediate implant placement;
filling of the space with cerabone (botiss biomaterials) and use of a connective tissue graft in the buccal zone;
immediate loading using a preselected Variobase (Straumann) and the patient’s same crown; and definitive restoration with a screw-retained monolithic zirconia CAD/CAM crown.
This treatment protocol was selected based on the favourable anatomical conditions observed during the clinical examination and CBCT analysis, which included a preserved buccal bone wall, intact interproximal bone peaks, and adequate bone density and volume to engage the implant in a favourable prosthetically driven position. The aim was to provide the patient with both function and aesthetics soon after the procedure and to maintain the emergence profile during the healing phase.
Surgical procedure
The patient was premedicated with 2 g of amoxicillin, administered 1 hour prior to the surgical procedure. Local anaesthesia was administered using 2% lidocaine with 1:100,000 adrenaline. The atraumatic extraction of tooth #21 was performed using a flapless approach to reduce the risk of a buccal bone wall fracture and avoid soft-tissue damage. After the extraction, the site was thoroughly debrided, the surgical guide was placed and the drilling protocol was performed according to the manufacturer’s instructions. A BLX implant (3.5 × 14 mm, regular base, SLA surface) was then placed in the extraction socket with the aid of the handpiece at a speed of 15 rpm, achieving a 55 N cm insertion torque. The space was filled with cerabone, and a connective tissue graft was harvested from the palate and placed with a tunnel technique in the extraction site. Implant stability was assessed according to the implant stability quotient, achieving a score of 77, which allowed for immediate loading. A regular base/wide base Variobase abutment (gingival height: 3.5 mm) made of TAN, a titanium alloy, was utilised. The extracted crown was used to pick up the abutment with resin, and the provisional restoration was polished to prevent irritation and accumulation of biofilm. It was adjusted to ensure no occlusal contact with the opposing arch during both centric and eccentric movements. The provisional restoration was screwed in, hand tightened and sealed with PTFE and composite resin (Fig. 7).
Figs. 7a–l
Healing had been uneventful by the time of the suture removal appointment ten days later. The patient was scheduled for periodic follow-up appointments.
Appropriate contour management of provisional restorations directly influences the shaping of the emergence profile. Key factors include making necessary adjustments, regularly reshaping, timing modifications appropriately and respecting biological principles. The results observed at four and six months demonstrate how these practices contribute to achieving the desired aesthetic and functional outcomes for the definitive restoration (Figs. 8–10).
Fig. 8
Fig. 9
Fig. 10
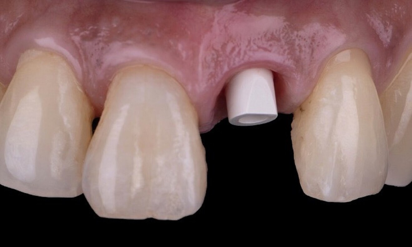
Definitive prosthetic procedure
After six months, there being adequate tissue healing and a properly created emergence profile, the final impression was taken using an intra-oral scanner. A monotype scan body was screwed into the implant (Figs. 11 & 12), and scans were performed of both the upper and lower jaws. The bite registration was digitally transferred for precise alignment.
Fig. 11
Fig. 12
Fig. 13
Based on the STL file generated from the scans, a full-contoured screw-retained monolithic zirconia crown was designed and enhanced with a labial layer of porcelain material. This crown was bonded to a regular base/wide base Variobase abutment (Fig. 13).
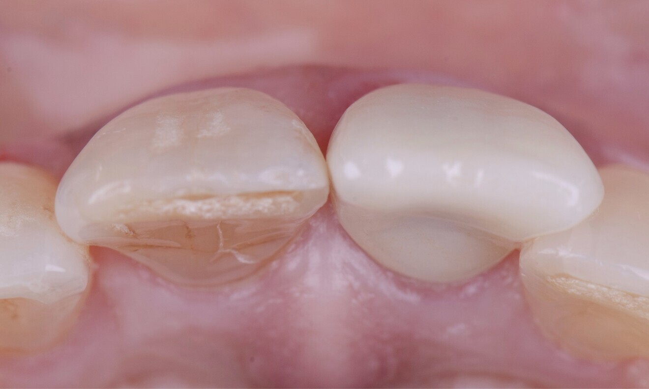
In the mouth, the restoration’s interproximal fit and marginal integrity were evaluated. The occlusion was checked in centric and eccentric positions, and the aesthetic aspects were verified. The crown was then secured to a torque of 35 N cm and sealed with PTFE and composite (Figs. 14 & 15). Comprehensive oral hygiene instructions were given.
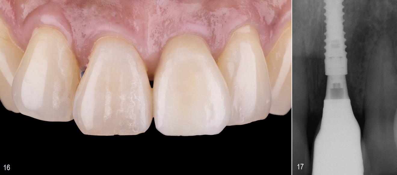
The patient underwent follow-up evaluations to assess the function and longevity of the prosthetic components and overall clinical outcomes. At the one-year follow-up, the restoration showed excellent clinical and radiographic outcomes and good tissue health, and there were no signs of complications (Figs. 16 & 17). By the two-year follow-up, the restoration was continuing to perform well, and there were no issues concerning the implant or abutment. The soft tissue remained healthy, and the occlusion was well aligned (Figs. 18 & 19).
Treatment outcomes
The patient’s treatment outcomes were highly successful, the restoration performing well at both the one-year and two-year follow-ups. The restoration maintained excellent function and aesthetics, having stable prosthetic components and healthy surrounding tissue. Overall, the patient expressed great satisfaction with both the functional and the aesthetic results, demonstrating the long-term success and stability of the treatment.
The patient stated: “I was very concerned about my situation, since I’m a very social person and my front tooth was moving. I was also feeling pain. After my evaluation and treatment plan presentation, I was confident in taking the decision to proceed with an implant after the extraction of the fractured tooth. I was impressed by the level of technology that is being used today and how easy it is for patients to get involved with our treatments and decisions. My surgery was performed without any complications and, to be honest, was way less invasive than what I had imagined. The whole treatment was finished in less than eight months, and I’m very happy with the result. It looks very natural, and I returned to my social activities with confidence.”
Fig. 14
Fig. 15
Author’s testimonial
The patient appeared very stressed by her aesthetic concerns regarding the mobile fractured anterior tooth. After the analysis and with the aid of digital planning, I was able to reassure her and present the planned treatment option to her in a transparent and comprehensive manner. After the decision had been taken to proceed with the treatment, all the planning was accurately transferred to her mouth using static computer-aided implant surgery. The selection of the appropriate implant placement protocol, the careful management of hard and soft tissue, and the allowance of sufficient time for healing resulted in a stable and beautiful result.
The following case report describes a successful immediate implant placement in a mandibular first molar position with Straumann TLX and an immediately ...
Many factors can be related to apical root resorption and rounding, among them orthodontic movement and occlusal trauma. In severe cases, the tooth can even...
Straumann Campus provides dental professionals with a myriad of webinars with a focus on implant dentistry and orthodontics. In the coming weeks, the online...
Placing an implant immediately after tooth extraction offers several advantages, including a reduced treatment time, fewer surgical sessions, possibility of...
In a free upcoming Straumann Group webinar on Monday, 2 December, host Dr Abid Faqir is tackling the subject of immediate implant placement. He has a broad ...
At a time when venerable institutions in numerous countries, such as the UK’s National Health Service, are already setting up their own digital ecosystems...
PALMA DE MALLORCA, Spain: From 1 to 3 December, global dental implants manufacturer Straumann will be holding its first International Esthetic Days congress...
LONDON, UK: When it comes to implants, good outcomes and high predictability are crucial. In a free upcoming Straumann Group webinar on Thursday, 21 ...
Education
Live webinar Thu. 23 April 2026 1:00 pm EST (New York)
To post a reply please login or register