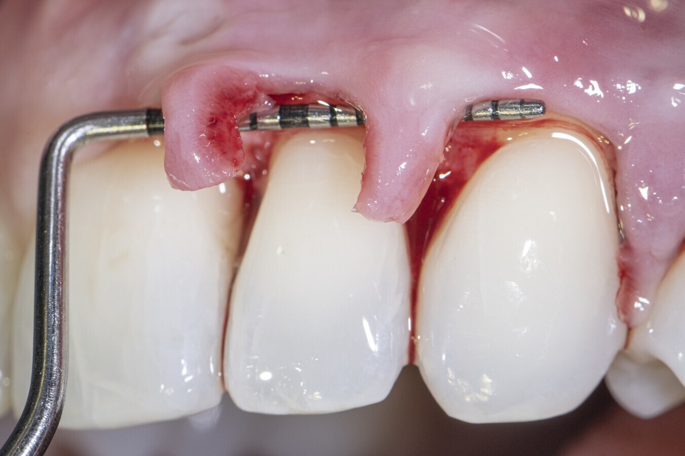
In the field of periodontics and implant dentistry, achieving optimal soft-tissue healing is critical to the success of surgical procedures. Board-certified periodontist Dr Otto Zuhr has spent decades researching soft-tissue wound healing and reconstruction. In this interview with Dental Tribune International, Dr Zuhr shares insights ahead of his lecture at this year’s EAO congress, where he will explore the key surgical factors that clinicians can control to enhance wound healing outcomes.
Dr Zuhr, your lecture at this year’s EAO congress focuses on surgical factors that can influence soft-tissue healing. Could you please give a brief overview of the key points you will cover in your presentation? First of all, attendees will learn that there are various categories of risk factors that influence soft-tissue wound healing outcomes, but only some of these factors can be controlled by clinicians. From there, we will concentrate on the risk factors that can be controlled, which are primarily related to ensuring optimal blood supply in the surgical field and maintaining the best possible stability of the wound after surgical intervention.
Dr Otto Zuhr is a periodontist with over 25 years of experience.
Soft-tissue healing is a critical aspect of periodontics and implant dentistry. Why do you believe it’s essential for clinicians to have a deeper understanding of the factors that influence soft-tissue healing? It’s all about wound healing. Success or failure in reconstructive periodontal implant surgery is primarily determined by soft-tissue wound healing outcomes. The ultimate goal, most of the time, is to achieve healing by primary intention. There are many examples of this: periodontal regeneration, successful guided bone regeneration, and soft-tissue reconstruction in areas of high aesthetic importance all rely on healing by primary intention.
“A major highlight this year will be the live surgery showcasing the challenging treatment of vertical hard-tissue defects.”
Your research focuses on soft-tissue wound healing and reconstruction. Could you share some of the latest insights or findings in this area that you think will have a significant impact on clinical approaches in the near future? There are many exciting developments that come to mind. One is the ability to measure volumetric changes using digital measurement technology. I am convinced that this will bring significant changes to the techniques we apply in treating our patients. Additionally, on a more foundational level, I believe that in the future we will be able to use laser technology to visualise tissue beneath the mucosal surface in the oral cavity—potentially identifying true periodontal ligament fibres. Another fascinating development is Doppler ultrasonographic evaluation for measuring blood flow circulation, recently recommended by Dr Lorenzo Tavelli’s group at Harvard.1 There are indeed many intriguing advancements occurring right now.
Soft-tissue healing is a critical aspect of periodontics and implant dentistry.
The EAO congress is a prominent event for professionals in implant dentistry. What are some of the emerging trends or developments you have seen in periodontics and implant surgery that you believe will be highlighted at this year’s meeting? Looking through the programme, I have seen many intriguing topics. One key focus is the treatment of peri-implantitis, addressing questions such as how to achieve re-osseointegration and the fine line between maintaining an implant or opting for removal and replacement. These are highly relevant subjects for me. Innovations in digital technologies are also always exciting. A major highlight this year will be the live surgery showcasing the challenging treatment of vertical hard-tissue defects.
What advice would you give to clinicians looking to enhance their skills in soft-tissue management and achieve better clinical outcomes? Those who know me understand that I’m not particularly fond of cookbook approaches or rigid clinical protocols. I believe in focusing on three key areas for self-improvement. Firstly, increasing one’s knowledge by embracing lifelong learning is essential. Secondly, improving one’s decision-making skills by cultivating critical thinking is crucial. Finally, manual skills are incredibly important. I think it’s essential to view manual dexterity not as an innate talent but as a motor skill that can be developed and improved at any stage, regardless of current ability.
Participants learn more about the latest courses and training opportunities offered by EAO. (All images: Robert Strehler)
Participants exchanging ideas among the dynamic atmosphere of EAO-DGI 2024.
Some of the many booths showcasing world-class industry innovations.
Participants engage with ePosters showcasing new clinical and scientific research in implant dentistry.
Italian Dr Luca De Stavola presents on some key aspects of surgical management.
Italian Dr Luca De Stavola presents on some key aspects of surgical management.
More than 4,200 delegates from over 70 countries attended the congress. Here are some enthralled by one of the many presentations on offer.
Congress attendees learn more about implant treatment and digital dentistry at the MegaGen booth.
Next year's EAO congress will be held in glitzy Monaco, the home of the most renowned Formula One race in the world.
Industry leaders make the most of the networking opportunities on offer at the congress.
Participants learn more about Dentsiply Sirona's OSSIX® product line, which offers advanced solutions for guided bone and tissue regeneration.
The congress stimualted extensive, free flowing dialogue among participants. Here are some engaged in discussion about the latest in industry trends.
The aesthetically polished booth from leading Swiss dental implant manufacturer, Nobel Biocare.
Congress attendees learn more about implant, regenerative and esthetic dentistry at the Straumann booth.
Participants keep abreast of daily developments at the conference through the DTI Today publication.
Meisinger Implants shares information about its recent developments in the field of dental implantology with interested visitors.
Editorial note:
Dr Otto Zuhr’s lecture, titled “Surgical factors that can influence soft tissue healing”, is part of the session “How can we influence soft tissue healing?”, which will be held on 25 October from 11:00 to 12:15 at the EAO congress. The congress takes place at the Milano Convention Centre. More information about the event can be found here.
Reference
Tavelli L, Kripfgans OD, Chan HL, Vera Rodriguez M, Sabri H, Mancini L, Wang HL, Giannobile WV, Barootchi S. Doppler ultrasonographic evaluation of tissue revascularization following connective tissue graft at implant sites. J Clin Periodontol. 2023 Oct 20. doi: 10.1111/jcpe.13889. Epub ahead of print.
It goes without saying that as professionals we should strive for the highest success possible. Yet, defining and determining long-term success isn’t ...
BUFFALO, N.Y., US: Formation of an effective soft-tissue seal around dental implants can be supported by modifying implant surfaces. A research team from ...
Dental Tribune International attended the recent European Aligner Society’s congress on the island of Rhodes in Greece and had the opportunity to speak to...
In my daily practice, I do a great deal of crown and veneer work, and because I had heard good reports from colleagues about the Primea Advanced Air (W&H), ...
MELBOURNE, Australia: From 17 to 21 May, the 37th Australian Dental Congress (ADC) is bringing together over 4,000 dental practitioners at the Melbourne ...
NICE, France: On 26 and 27 April, the fourth Euro Implanto was held at the Hyatt Regency Nice Palais de la Mediterranée. The event welcomed international ...
Dr Giovanni Zucchelli is professor at the University of Bologna in Italy and president elect of the Italian Academy of Osseointegration. He specialises in ...
COLOGNE, Germany: Dental professionals are exposed to constant dental noise from several sources. Various studies show evidence of the hearing damage caused...
COLOGNE, Germany: Dental professionals are exposed to constant dental noise from several sources. Various studies show evidence of the hearing damage caused...
Dr Simon Chard has fast become one of the UK’s most influential dentists. He is a proponent of minimally invasive techniques and sits on the board of the ...
Education
Live webinar Tue. 26 May 2026 12:00 pm EST (New York)
3D printing using resins has become an important part of dental workflows, but the materials, printer operation and post-processing may pose inhalation ...
CHARLOTTE, N.C., US: Dentsply Sirona has announced that registration is now open for Dentsply Sirona (DS) World Las Vegas 2026, which will take place on ...
NEW YORK, US: In April, the state of New York awarded US$25 million (€22 million*) to 30 local hospitals, health initiatives and universities to improve ...
To post a reply please login or register