Periodontal disease is initiated in the main as gingivitis, which in a smaller subset of individuals progresses to the more advanced form referred to as periodontitis. Gingivitis is restricted to the marginal gingival area and does not lead to destruction of osseous tissue. Gingivitis is the progression to periodontitis, which encompasses extensive loss of bone surrounding the tooth.
Modern-day therapy can generally ensure the arrest of the progression of periodontal destruction and, in favourable situations, even the regeneration of all the components of the periodontal apparatus, albeit to a much lesser extent than the original. Of the periodontal structures, the loss of soft tissue makes the process of complete regeneration much more difficult.
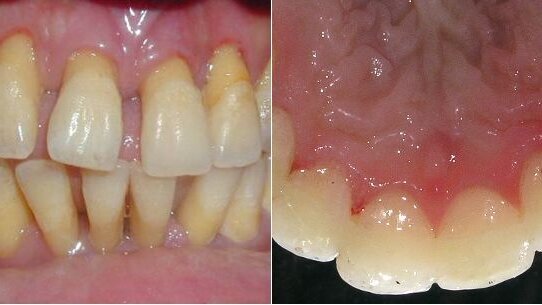
In such circumstances, wherein the inflammation and infection has been controlled and the disease activity has been curbed, it becomes imperative that the dentition, which is definitely compromised owing to the pre-existing damage, be supported and additional aids provided to create the optimum function, coupled with aesthetics. One of the key issues in such dentitions is the mobility of the teeth. Such mobility may be localised to certain teeth and in a specific path of motion or may be much more generalised and afflict many teeth. In either case, the benefits of immobilisation are multiple. The comfort level of the patient is sufficient reason to use this treatment option for mobile teeth. Additionally, this also leads to tremendous patient motivation and compliance in maintaining oral hygiene, which directly translates into better periodontal health. Furthermore, an immobile tooth will heal much faster and better than a mobile one. Any regenerative therapy carried out around afflicted mobile teeth will have better results than would have been the case had the teeth been immobilised (Figs. 1–4).
Another critical manifestation of periodontal disease, when coupled with imbalanced occlusal loads, is the sequel of migration that results from such a clinical situation. Migration, an extremely slowly developing phenomenon, leads to drastic consequences that can usually be optimally corrected only by using orthodontic appliances. But even this correction requires a permanent splinting procedure to ensure that the concerned teeth remain in place and do not migrate away once again. This same technique can be used routinely by orthodontists to place permanent non-invasive quartz splints. Another possible use of quartz glass fibre splints is in cases of alveolar fractures. The advent of bonding dentistry and the easy-to-use quartz splint fibre make it a very strong contender for the stabilisation and immobilisation of anterior alveolar fractures.
A key factor towards achieving the end point of a good and long-lasting splint is the base material used in conjunction with the composite restorative material for building and applying the splint. It is very important that the splint functions like a monobloc and bonds optimally to the enamel and dentine. In order to provide this monobloc effect, the substructure has to chemically bond and be in unison with composite restorative material. In order to provide near-optimum bonding, the substructure and the entire monobloc, which has to be built-up, have to be very closely adapted to the teeth around all the curves, right into the interproximal spaces. This means that the fibre material should have physical properties that allow curving and very easy manipulation into any shape (Figs. 5 & 6).
The required materials for achieving a high quality functional and aesthetic splint are:
- a pre-impregnated glass fibre-based splinting material;
- a restorative micro/nano-filled composite material;
- a flowable composite material; and
- a bonding agent.
The above only highlights the materials required and does not list the armamentarium, which would consist of a number of special hand instruments to achieve a high quality result and finish. Amongst the materials, the bonding agent and the composite restorative material are dependent on the clinician’s preference. The micro- or nano-filled range of products from any of the industry leaders in restorative materials are most appropriate. A good flowable material is also required to create a close fit of the splint material to the tooth surface, while a sixth or seventh generation bonding agent would be able to achieve the desired bond strength.
The most critical aspect in achieving the ideal splint outcome is the selection of the fibre used as the substructure. There are a number of options available on the market. I have tested different splinting fibres throughout my career and quite a number of them has given very good results and lasted for years. Available materials have some favourable properties at the cost of some other undesirable elements and at times the clinician has to choose between sacrificing several of the desired elements in order to gain the others. The ideal substructure fibre material has the following properties:
- high strength subsequent to polymerisation;
- chemically bondable with composite resin material;
- available in a pre-impregnated state;
- no thicker than 0.2 mm;
- available in varying widths;
- easy to trim and cut; and
- no memory as regards its form.
Of the above, the last property is a critical one. Because of the difficult handling properties of the fibre splint, splinting has been a very technique-sensitive procedure thus far. Unless the clinician was extremely conversant with all the requisite steps and also extremely skilful and dexterous in the handling of the fibre and composite, the likelihood of a long-term success would be reduced.
Many splint materials have a tendency to a memory, that is the property of returning to original shape if deformed under load. This memory of a material makes it resistant to being shaped around curves, especially curves that double-back, for example the interproximal areas around the linguals of lower anterior teeth or around the curvature of a maxillary premolar. If the material can be fabricated in such a way that it bends and adapts around curves without bouncing back, it makes adapting and placing the splint in the oral cavity a far simpler and more accurate task.
Glass-based fibres have an inherent tendency to maintain their longitudinal direction. This can easily be observed in any unidirectional fibre splint material. The only way to negate this property of the fibre is to interweave the fibres in a cross-stitch pattern. This creates a kind of mesh framework, thereby making the material almost free of memory. The term zero memory can then be applied to such a material, which will only minimally maintain any form to which it is subjected (Figs. 7–10). Although the material does possess a certain amount of memory, it becomes practically insignificant as regards clinical application. For all practical purposes, the material would then have zero memory.
My best experience thus far has been with a very new entry in the splinting fibre market: Quartz Splint (Recherches Techniques Dentaires). The basic raw material used in this product is quartz glass, unlike regular glass fibre. This is the same quartz used to develop endodontic posts, which demonstrate cyclic fatigue resistance values that are much higher than desired in the oral cavity. Quartz glass is also homogenous with the Bis-GMA range of unfilled resin, which makes it ideal for use with restorative composite material, allowing it to become a monobloc with the composite. The quartz splint is developed as a woven fibre using extremely thin strands of glass fibres.
The weave pattern imbibes certain physical attributes to the material. It allows force distribution in such a manner that it create the previously mentioned clinical zero memory effect and not resist and inhibit crack propagation. All of the above-mentioned effects are achieved without any compromise to the strength of the material. In fact, the quartz fibre will enhance and strengthen the monobloc that is created with the amalgamation of the unfilled resin, quartz fibre, flowable composite, and micro-/nano-filled composite material. Since the material is available pre-impregnated and is soaked in unfilled resin, it becomes all the more easier to use the splint right out of the box. The zero memory allows it to be adapted extremely easily around a curved arch without polymerisation. Once ideal adaptation has been achieved, it can be polymerised in that position and then layered with micro/nano composite to complete the splint (Figs. 11–14).
Another critical factor in the variety of situations for which a splint is indicated is the width and thickness of the material. Too thick a material can be an encumbrance for placement and final positioning. An ideal thickness is between 0.1 and 0.25 mm. The thinner the material becomes, the lower its ability to reinforce and strengthen will be. The quartz splint is in the 0.2 mm thickness range, making it useful in almost all clinical situations.
The quartz splint is available in a variety of patterns and widths. The recommended pattern for intra-oral splinting is the woven pattern. This is available in widths of 1 mm, 2 mm and 3 mm. Of these three, the 1 mm design is most suited for use as a retention splint in post-orthodontic cases in which the teeth are neither extremely mobile nor do they exhibit gingival recession and loss of the supporting structures. The 2 mm fibres are most ideally suited for teeth afflicted with previous periodontal disease. When the teeth are large in size and exhibit clinical crowns larger than the anatomical crowns, the 3 mm fibre may be used in lieu of the 2 mm fibre.
The quartz splint has a unique design―much like a braided rope―giving it extremely high flexural strength values after complete polymerisation. The design of the material requires it to be between 1 and 2 mm in diameter. A deep groove has to be cut into the teeth where the splint is being placed to enable it to be adapted optimally. This design can be utilised when in cases in which an occlusal splint design is used to stabilise maxillary or mandibular premolars. Other than the woven and rope patterns, the quartz splint is available as a unidirectional fibre. This is not to be applied in clinical situations, but rather as a laboratory reinforcement material used to develop poly-ceramic prostheses. The quartz splint also has a 4 cm x 4 cm mesh that can be applied in denture repairs, for example.
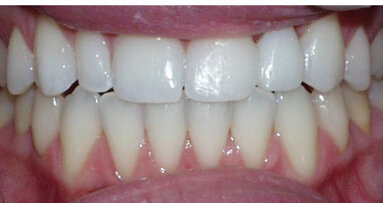
With material benefits aiding and improving the functional aspect of splints, there has been a newer approach possible owing to the enhancement of bonding dentistry technology. Shade matching, polishability, enhanced bond strength and much longer-lasting composites have all contributed to a much greater usage of direct bonding procedures in everyday dentistry. The emphasis this has given to aesthetic procedures has been tremendous. Similarly, the quartz fibre-based composite splint in a dentition with pre-existing periodontal damage can be enhanced to achieve a much better aesthetic result (Figs. 15–19).
Although function has been the paramount and most critical issue when placing a periodontal splint, aesthetics now also play an important role. The patient and the clinician may not be completely satisfied with function. It is quite easy to apply standard bonding principles of a diastema closure to ensure that the basic substructure is appropriately located and thereby enable an excellent aesthetic outcome with longevity. This modification of a functional splint to an aesthetic splint can be easily applied for anterior teeth exhibiting extensive mobility or migration. Several of these cases can be seen in the following figures, in which the maxillary anterior teeth presented with diastemas and proclinations coupled with mobility. The results have been very satisfactory.
This article has only touched on the fundamental concepts of splints and the new improvisations available in terms of material technology.
About the author
Dr Ajay Kakar is in private practice specialising in periodontics and implantology in Mumbai in India. He is the secretary of both the International Academy of Periodontology and the Indian Academy of Aesthetic & Cosmetic Dentistry. He lectures extensively in India and abroad and runs a web portal for Indian dentistry at www.bitein.com.
Dr Kakar can be contacted at ajay@bitein.com or at +91 98210 15579.
The unceasing innovations and iterations in dental technologies and materials have taken the sophistication of treatment modalities to a historic level. ...
LONDON, UK: The General Dental Council (GDC) has welcomed innovation in dentistry, including where treatment and consultations occur remotely, but has ...
Implant dentistry has become more and more prominent in our everyday practice as patients are keen to have implant-borne prostheses than a conventional ...
The process of decision making is nowadays influenced by the continuous flux of information, the advancement of technology and the development of new ...
NEW YORK, U.S.: The webinar is becoming an excellent resource that enables dental professionals to follow the topics that they find most interesting at ...
Successful immediate implant placement associated with immediate loading remains one of the greatest clinical challenges. In addition to the placement of an...
For many years, the trend in restorative dentistry has been to place only one- or two-shade composite restorations in daily practice. However, with this ...
As an old saying goes, “we often miss the forest for the trees.” In our practice, it is easy to get lost in the concept that we do veneers, ...
The restorative dental treatment possibilities available to practicing dentists have grown immensely over the past few decades. Considerable progress has ...
95 teeth with open foramen were identified in a general dentist practice during the years 1985—2006, 75 of which could be followed-up by X-ray after an ...
Live webinar
Tue. 19 May 2026
11:00 am EST (New York)
Live webinar
Tue. 19 May 2026
1:00 pm EST (New York)
Prof. Dr. med. dent. Ivo Krejci
Live webinar
Wed. 20 May 2026
7:00 am EST (New York)
Dr. Graham Carmichael BDSc (Hons), DClinDent (Pros), FRACDS, Dr. Robert Gottlander DDS
Live webinar
Wed. 20 May 2026
9:00 am EST (New York)
Live webinar
Wed. 20 May 2026
11:00 am EST (New York)
Live webinar
Wed. 20 May 2026
1:00 pm EST (New York)
Prof. Dr. med. dent. Tim Joda PhD, MSc, eMBA
Live webinar
Thu. 21 May 2026
12:00 pm EST (New York)
Dr. Leonardo Muniz DDS, MSC
To post a reply please login or register