Thiếu khoảng là một trong những lý do gây chen chúc răng. Để giải quyết vấn đề này người ta dùng phương pháp tạo lại khoảng cần thiết.
Ngược lại, những răng mất sớm hoặc bất thường về giải phẫu có thể gây ra những khoảng trống cần được điều chỉnh do nhiều lý do. Để chỉnh sửa lệch lạc răng theo chiều ngang, có thể sử dụng mini vít mà không lo ngại về những phản ứng phụ.
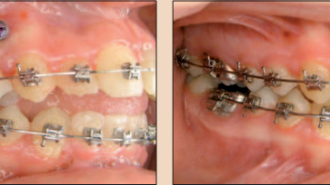
Hình 1a: Di xa răng hàm lớn hàm trên. Vị trí về phía gần của răng #16 và #26, cho thấy thiếu chỗ răng nanh rõ rệt.
Hình 1b, 1c: Khí cụ Walde Frog (Forestadent) neo với 2 mini vít. b). Di xa khoảng 6mm sau 3 tháng, tạo đủ chỗ cho răng nanh sắp thẳng.
Hình 2a-d: Di xa vùng bên hàm trên. Các vít được cắm ở bên đường giữa (OrthoEasy, Forestadent) (a). OrthoEasy gắn với trụ đúc (b). Khí cụ Frog buộc với trụ đúc (c). Xquang mặt nghiêng chỉ ra vị trí cụ thể cho mini vít, trụ đúc và khí cụ Frog (d).
Phương pháp di xa răng
Trường hợp đầu tiên (Hình 1a-c) có những vấn đề thường gặp: răng hàm lớn của bệnh nhân di gần đường giữa, dẫn đến thiếu chỗ cho răng nanh phát triển.
Có hai lựa chọn điều trị là nhổ hoặc di xa răng để điều trị trường hợp này, có thể nhận thấy rằng di xa răng hợp lý hơn việc nhổ mất răng.
Những kỹ thuật di xa răng thông thường (ngoại trừ headgear) yêu cầu sự hỗ trợ của nhóm răng khác. Tạo neo chặn theo cách này sẽ có những ảnh hưởng không tốt.
Khi xem xét ví dụ này, có khả năng lớn phương pháp di xa thông thường sẽ làm nhóm răng trước nhô ra. Có thể tránh được hầu hết hiệu ứng phụ này nếu sử dụng phương pháp cắm ghép mini vít.
Mini vít có thể được cắm ghép ở tiền đình và vòm miệng (như ví dụ này). Cắm vít ở tiền đình (ví dụ giữa các răng hàm nhỏ) thường có hiện tượng mini vít cản trở sự di chuyển của răng. Khi điều này xảy ra, phải tháo bỏ mini vít và dùng dạng neo chặn thông thường (VD: dùng chỉ thép buộc khối các răng lại với nhau).
Chống chỉ định thực hiện cấy ghép ở tiền đình răng hàm nhỏ khi có sự hiện diện của răng hàm sữa.
Cắm hai mini vít ở hai bên đường giữa có nhiều ưu điểm. Thứ nhất, mini vít tạo ra cơ sở vững chắc để neo chặn khí cụ di xa.
Thứ hai, mini vít không ảnh hưởng lên sự di chuyển của các răng bên. Mặt khác có thể sử dụng để duy trì sau khi di xa răng cối thành công.
Thứ ba, không gây thương tổn răng khác do vị trí không thuận lợi hoặc do kỹ thuật cắm sai.
Một bất lợi của cặp khí cụ đi kèm nhau WaldeFrog (Forestadent) và mini vít (Hình 1a-c) là khó vệ sinh.Ở vùng này, niêm mạc bao phủ rất rộng lớn, có nguy cơ gây viêm niêm mạc xung quanh. Nếu tình trạng viêm này lan thành viêm quanh implant, có thể gây rơi mini vít sớm.
Tương lai, có thể sử dụng “trụ đúc” thay thế (Hình 2a-d), không chứa nhựa và có thể kết hợp khí cụ với mini vít một cách vệ sinh.
Phương pháp di gần
Một trong những vùng hay gặp vấn đề khi tiến hành chỉnh nha là lệch lạc nhóm răng trước và lệch lạc ở một phân đoạn. Có nghĩa là các trường hợp có khả năng sử dụng mini vít thì khí cụ truyền thống không còn được sử dụng nữa.
Hình 3a-c: Di gần răng hàm lớn hàm trên. Mini vít cắm vào bên cạnh đường giữa với trụ đúc (Forestadent) và ốc nong ngang với móc cho cung mặt Declaire (a). Tình trạng sau nong theo chiều ngang và hình thành khe ở đường giữa (b) Khí cụ ngoài mặt với cung mặt Declaire (c).
Tuy nhiên, tùy thuộc vào nguyên tắc cơ sở và bản chất mà chỉnh sửa đòi hỏi, nên sử dụng kết hợp các dụng cụ và khí cụ cần thiết. Điều này thường được khuyên dùng, thậm chí có thể cần thiết do lý do sinh học, như tình trạng khớp cắn loại III.
Trường hợp hình 3a-c, nong rộng đường khớp vòm miệng theo hướng ngang kết hợp với kéo về phía gần bằng cung mặt Declaire. Neo chặn bởi hai mini vít ở vùng sát đường giữa tăng cường lực theo chiều trước-sau và kéo theo chiều ngang hầu như hoàn toàn trên xương. Những tác dụng phụ lên răng đã được giảm bớt.
Đóng khoảng
Mini vít ngày càng phổ biến nên ta có thể áp dụng kỹ thuật một cách dễ dàng, đặc biệt để kiểm soát tình trạng mất răng từng phần mà không cần nhổ răng bù và vấn về mất ổn định của nhóm răng sử dụng hỗ trợ neo chặn.
Áp dụng định luật III Newton, phản lực trong neo chặn là rất vấn đề phải tính đến trong chiến lược điều trị. Khuyến khích đóng khoảng chỉnh nha sử dụng mini vít nếu:
- Không có những phương pháp thông thường thay thế và/ hoặc không chắc chắn rằng những phương pháp này hiệu quả.
- Tránh gắn mắc cài các răng trước vì lý do mất thẩm mỹ hoặc chức năng.
- Điều trị ngắn hạn hoặc điều trị từng phần không liên quan đến chỉnh sửa và sắp xếp lại cung răng.
- Điều trị bất đối xứng liên quan đến nguy cơ lệch đường giữa và có khả năng phải nhổ bù;
- Hoặc cơ bản tạo được tình trạng răng phù hợp các cho điều trị tiền phục hình.
Chú ý giải thích cho bệnh nhân về giá cả, những nguy cơ có thể gặp phải trong điều trị và phải cho bệnh nhân biết về những phương pháp khác như làm cầu hoặc implant.
Hình 4a-c: Đóng khoảng ở vùng răng trước hàm trên. Sơ đồ chỉ ra nguyên tắc neo chặn (a). Nguyên tắc quan trọng: Các răng cửa giữa được giữ với nhau bằng cung thép (19x25) cố định với một mini vít cùng lực xoay của nhóm răng trước (b). Sau 9 tháng, neo chặn ổn định (c).
Hình 5a-c: Đóng khoảng ở nhóm răng cửa trên phía trước. Kéo lui khối răng với sự hỗ trợ của mini vít và Power arm (Forestandent) được kẹp vào dây (a). Tình trạng sau nhổ của răng hàm nhỏ, có thể thấy Orthoeasy mini vít (b). Power Arm được sử dụng cho trượt cơ học, để di xa răng nanh.
Hình 6a-c: Đóng khoảng phía bên hàm trên bên trái. Nguyên tắc quan trọng: răng #25 và #27 không bị sâu (a). Dùng mini vít (Ortho Easy, Forestadent) có thể che dấu được điều trị (b). Đòi hỏi ít khí cụ khi di gần.
Có ba loại đóng khoảng Đóng khoảng nhóm răng trước (ví dụ, do mất răng cửa bên)
Đóng khoảng trong chỉnh nha thường được chỉ định nếu có khoảng trống ở nhóm răng trước, đặc biệt là vùng răng cửa bên.
Phương pháp điều trị thông thường có thể dẫn đến lệch đường giữa và/ hoặc nhóm răng trước bị đổ nghiêng.
Dùng minivit để ổn định nhóm răng cửa giữa (Hình 4a-c) sẽ tránh được những nguy cơ trên. Có thể ổn định nhóm răng trước bằng cung thép cứng, vững chãi, kích cỡ ít nhất là 0.48mm đến 0,64mm cùng với 2 mini vít đặt ở vùng giữa hoặc bên cạnh.
Sử dụng kỹ thuật cắm ghép cơ học ở tiền đình, khoảng trống khép lại mà không thay đổi vị trí của răng cửa giữa. Kéo toàn bộ khối hoặc chỉ răng nanh (ví dụ, răng tiền cối bị mất)
Mini vít được dùng để hỗ trợ điều trị này (Hình 5a-c). Đối lập với phương pháp thông thường, phương pháp này không bị mất neo chặn mà lại tương hợp sinh học tốt hơn dùng lực trực tiếp.
Nếu mini vít và những khí cụ hỗ trợ (lò xo hay chun chuỗi) được đặt ở cùng mức tâm cản của răng nanh, có thể tạo ra di chuyển sinh lý của răng. Đóng khoảng ở vùng răng cối (ví dụ để tránh điều trị phục hình).
Mất răng hàm sữa sớm không được điều trị triệt để cho dù vẫn chú trọng các biện pháp phòng ngừa. Có thể cần có biện pháp thích hợp hơn trong trường hợp răng liền kề không sâu (Hình 6a-c).
Bệnh nhân cần được tư vấn dùng phương pháp nào: cắm implants, làm cầu hay điều trị đóng khoảng? Xét về tiên lượng lâu dài trên thực tế cho các răng neo chặn, bảo tồn sự sống của răng thật và hạn chế tác động của các vật liệu trong miệng thì phục hình không phải làm phương pháp phù hợp.
Quan niệm cơ bản của nha khoa phục hồi – phá hủy để phục hồi – không phải là giải pháp tốt nhất.
Hãy giả sử chấp thuận phương án di gần răng - bù trừ khoảng mất răng bằng phương pháp tự nhiên. Thì Neo chặn xương là phương pháp tránh được những hiệu ứng không mong muốn khi đóng khoảng. Chỉ cần sử dụng một vài dụng cụ (mắc cài, lò xo…) là cần thiết để tiến hành di gần.
Cách điều trị này không thể bị phát hiện nếu quan sát bình thường, so sánh với những phương pháp khác nhận thấy rằng đây là phương háp hiệu quả và giữ những yếu tố tự nhiên ở mức cao. Tiên lượng có thể giữ răng trong thời gian dài.
Thiếu chỗ theo chiều dọc
Bất cứ trường hợp lệch lạc nào theo chiều đứng cũng gây ra vấn đề về thẩm mỹ và chức năng. Phương pháp điều trị có thể làm trồi răng hoặc đánh lún răng sử dụng neo chặn trong xương. Kỹ thuật này rất đơn giản và có hiệu quả cao. Làm trồi răng
Làm trồi răng sử dụng mini vít áp dụng cho từng răng riêng biệt (Hình 7a-c) và cho nhóm răng (Hình 8a, b). Chấn thương gây lún răng #22 (Hình 7a-c). Răng trở lại vị trí bình thường chỉ sau ba tháng neo chặn gián tiếp #23 vào mini vít sử dụng dây cung thẳng.
Trường hợp cắn hở do đẩy lưỡi và xương (Hình 8a, b), sử dụng lực nong ngang và làm trồi nhóm răng trước. Chun liên hàm nối mini vít ở hàm dưới và mắc cài ở hàm trên.
Nếu mắc cài được nối với nhóm răng trước hàm dưới, sẽ gây ra tình trạng trồi răng không mong muốn (mỗi lực tác động đều gây ra một phản lực tương đương). Bởi vì bề mặt chân răng nhỏ, quá trình này diễn ra trong khoảng thời gian ngắn hơn là đối với nhóm răng trước hàm trên. Vùng xương đối diện ở hàm dưới ngăn ngừa hiệu ứng không mong muốn này.
Hình 7a-c: Trồi răng đơn độc. Răng cửa bên được bị lún do chấn thương (a). Mini vít neo chặn gián tiếp ở răng nanh và kỹ thuật cung thẳng, để làm trồi răng #22 (b). Tình trạng sau ba tháng (c).
Hình 8a, b: Làm trồi răng để đóng khớp cắn hở gây ra do đẩy lưỡi, với hạn chế hoạt động hàm trên. Mục đích để làm trồi nhóm răng trước hàm trên nhờ vít đặt ở hàm dưới (a). Tình trạng sau 12 tháng (b).
Hình 9a, b: Đánh lún để đóng khớp cắn hở do đẩy lưỡi và do xương. Đánh lún răng hàm lớn là biện pháp hiệu quả sử dụng lò xo dựng trục răng bằng Titanol (Forestadent) (a). Tình trạng sau 6 tháng (b).
Đánh lún răng
Khớp cắn hở do đẩy lưỡi (Hình 9a, b) được điều trị bằng cách đánh lún răng hàm lớn khiến xương hàm trên xoay. Mini vít được cắm ở cung một và cung hai trong mỗi trường hợp giữa răng nanh và răng hàm nhỏ thứ nhất.
Lò xo dựng trục răng bằng Titan (Forestadent) được nối với mũ mini vít, vít được đặt ở vị trí giúp đánh lún răng. Sau năm tháng, kết quả đánh lún quá mức răng hàm lớn cả hai bên, dẫn đến đóng khoảng nhóm răng trước. Kết luận
Các bác sỹ cần vượt qua những rào cản về cảm giác hay logic trước khi bắt đầu tiến hành phương pháp mini vít, nhưng họ sẽ nhận thấy sự hiệu quả khi sử dụng nó.
Sử dụng mini vít làm cho công việc thường ngày của chúng ta dễ dàng hơn. Chúng nâng cao hiệu quả, công suất của nhiều khí cụ khác vì thế có thể đạt được chất lượng điều trị toàn diện hơn.
Lưu ý của biên tập viên: Danh sách tài liệu tham khảo đầy đủ có sẵn từ nhà xuất bản. Bài viết này được xuất bản lần đầu tiên ở báo Dental Tribune Asia Pacific, số 4, 2009. Số tiếp theo của Ortho Tribune sẽ đề cập đến “Phần IV - Những ví dụ lâm sàng khác”. Tất cả ảnh đều được cung cấp bởi tác giả.
COLOGNE, Germany: Dental laboratories seeking an efficient, affordable and high-quality polishing solution can benefit from DLyte Mini, the smallest ...
A new study by Dr Abanoub Riad, associate professor in the Department of Public Health at Masaryk University in Brno in the Czech Republic, has cast light ...
SAN FRANCISCO, US: Unlike earlier implant prognosis models that focused on peri-implant bone loss or disease stage, a newly proposed system integrates ...
FRANKFURT AM MAIN, Germany: After Formnext’s ten-year anniversary and record attendance in 2025, the lead-up to the 2026 event is already showing strong ...
LONDON, England: A new national campaign led by ORDO is urging the UK government to abolish the so-called “tooth tax” by removing VAT from children’s ...
Aesthetic dentistry is featured widely in the media as the field of dentistry that can change or enhance the appearance of the face, leading to an improved ...
AMSTERDAM, Netherlands: According to a new cross-sectional study, dental professionals and students in the Netherlands are broadly positive about the role ...
Held last week, the first edition of the Digital Dentistry Symposium 2025 marked the launch of a new series of online educational events focusing on dental ...
AMMAN, Jordan: A new comparative study has found that leading artificial intelligence (AI) chatbots provide largely accurate and reliable information on ...
BEIJING, China: Even with modern science and materials, the ability to fully replicate natural enamel has been elusive. In a recently published study, a ...
JAKARTA, Indonesia: With 229 exhibiting brands and businesses and more than 4,000 visitors, the inaugural event of the Indonesia Dental Exhibition and ...
Education
Live webinar Mon. 20 April 2026 1:00 pm EST (New York)
SINGAPORE: IDEM Singapore is welcoming dental professionals from across the region and beyond to its 14th edition, held under the theme “Innovating smart...
VIENNA, Austria: As part of the International Osteology Symposium, which will take place in Vienna next week, Patent Medical will host a corporate symposium...
At IDEM Singapore 2026, American Board-certified prosthodontist and oral rehabilitation specialist Dr Anas Aloum will discuss how digital workflows are ...
To post a reply please login or register