The minor apical foramen should be maintained at its initial position and size after chemomechanical endodontic procedures. If the apical constriction is breached and transported, cleaning procedures will be compromised and obturation significantly difficult to carry out well.
Apical root resorption is a pathological condition of the inflammatory response, characterised by the processes of cement and/or dentine depletion, resulting from the activity of resorptive cells called dentoclasts (a subclass of osteoclasts)1–3. Treatment of the apical resorptive processes is likely to occur through removal of the pulp and granulation tissue, as well as interruption of the blood supply to these tissues, which is necessary for the development of resorptive cells. In many cases of incomplete root canal therapy, there are resorptive changes in the apical zone. One of the major challenges in endodontic treatment of teeth with open apices due to resorption is achieving effective debridement, canal disinfection and subsequent sealing of the root canal space. The key point is to form an apical barrier or a stop against which one can place the sealer and gutta-percha while avoiding over-extrusion 4, 5. Mineral trioxide aggregate (MTA) is a reliable material owing to its biocompatibility and good sealing properties, which provide opportunities for the regeneration of periapical tissues, such as periodontal ligament, bone and cementum6–8.
These properties make MTA a suitable material for the management of apical zone sealing in cases of resorption and without physiological constriction. The present case report describes a retreatment case of a mandibular molar, complicated by lack of constriction and a separated endodontic instrument.
Case report
A 34-year-old female patient was referred for endodontic treatment of tooth #46 because of a separated endodontic instrument in the mesial root, which was observed on the initial radiograph (Fig. 1). The patient’s chief complaint was mild pain in the mandibular right posterior region during chewing. She gave a history of a root canal therapy on the same tooth four years earlier. There was no other relevant medical history.
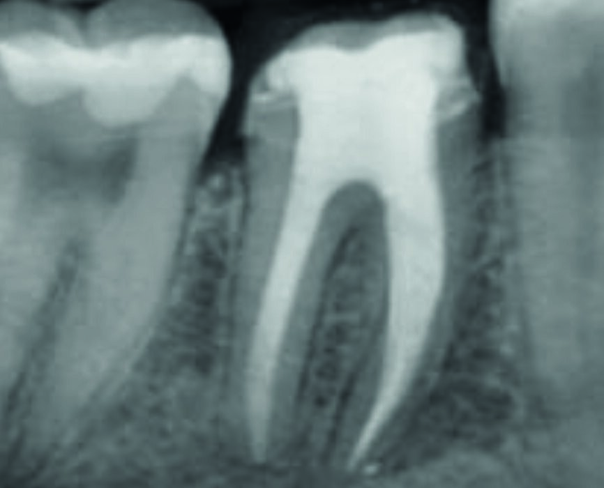
Based on the clinical and radiographic findings, root canal therapy was initiated. A rubber dam was placed and the tooth was accessed without the need for an aesthesia. Crown-down preparation was performed for orthograde endodontic treatment. The mesiobuccal canal was negotiated with a size 0.06 C-file and the separated instrument was removed under magnification with a dental operating microscope (16 ×, Zeiss), and a control radiograph was taken (Fig. 2). The root canals were cleaned and shaped with ProTaper rotary instruments (Dentsply Maillefer). The mesial canals were prepared up to F3. All of the canals were irrigated with a copious amount of 5.25% sodium hypochlorite and 17% EDTA. This was followed by irrigation with 0.9% saline to remove any remnants of hypochlorite and EDTA. Haemorrhage and exudate from the apical region of the distal canal were observed during the instrumentation, which suggested resorption exteriorisation. The canals were dried with absorbent paper points, and calcium hydroxide paste (ApexCal, Ivoclar Vivadent) was placed in the canals as an intracanal medicament, followed by temporary restoration with glass ionomer cement.
The calcium hydroxide paste was removed ten days later. The complete removal of paste from the root canal walls was accomplished by passive ultrasonic irrigation and 10% citric acid, using an endodontic tip (ESI, EMS) for more precise cleaning. Taking into consideration the extent of the apical root resorption, it was decided to perform orthograde MTA obturation of the distal canal space to arrest the resorption. The material was placed into the canals with the MAP System carrier (Produits Dentaires; Fig. 3) by the means of a 5 mm apical plug and was condensed vertically with a hand plugger. After radiographic examination of the accuracy of the apical plug (Fig. 4) and a setting period, the entire canal and the mesial canals were obturated with TotalFill BC (FKG Dentaire; Fig. 5). The orifices were adhesively sealed and the tooth was definitively restored with light-curing composite and prepared for a crown.
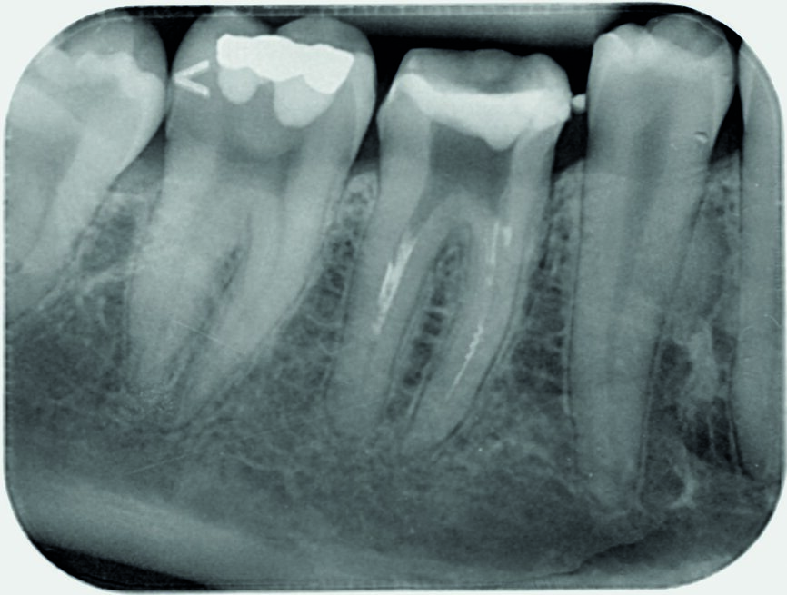
The patient was recalled after one month (Fig. 6), three months (Fig. 7) and six months (Fig. 8) for clinical and radiographic follow-up. Clinical examination of tooth #46 found it to be functional without sensitivity to percussion or palpation. The tooth showed normal physiological mobility and no periodontal pockets on probing. The periapical radiographs showed satisfactory periapical bone density with no sign of periapical radiolucencies and no further progression of the resorptive process around the distal apical zone. The treatment was definitively finished with a crown. After one year, the patient was recalled again, and the tooth was found to be symptom-free. No percussion sensitivity was observed. The periapical radiograph showed a satisfactory image (Fig. 9)
Fig. 1: Initial radiographic status of tooth #46
Fig. 2: Control radiograph to assess the removal of a separated lentulo
Fig. 3: MAP System carrier with prepared MTA
Fig. 4: Obturation of mesial canals and a 5 mm apical plug of MTA distally
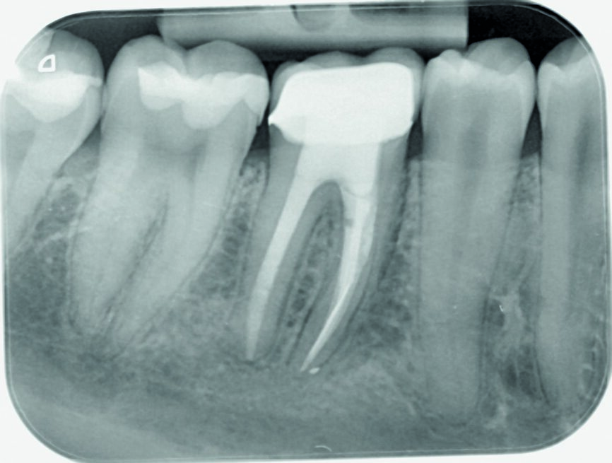
Fig. 5: Control radiograph after final obturation
Fig. 6: Control radiograph after one month
Fig. 7: Control radiograph after three months
Fig. 8: Control radiograph after six months
Fig. 9: Control radiograph after one year
Discussion
Not every resorptive process in the apical zone can be observed on an initial periapical radiograph. Only thickening of the periodontal ligament space was discovered in this case, and the resorptive process in the apical zone was detected clinically and measured with endodontic in struments because of the superimposition of the structures.
Three-dimensional sealing of the endodontic space is one of the main goals of root canal therapy and is essential for preventing apical and coronal leakage.8 One of the characteristics of a biomaterial is its ability to form an apatite-like layer on its surface when it comes into contact with physiological fluids in vivo or with simulated body fluid in vitro. MTA is a bioactive material that is mainly composed of tricalcium silicate. Scientific investigations have shown that MTA can release various ions that conduct and induct hard-tissue formation.9, 4 MTA presents some advantages, including its physical characteristics that guarantee expansion during the attachment, which favours sealing, and the biological properties of calcium hydroxide.10, 11 MTA forms calcium oxide when in contact with water, which then, when in contact with tissue fluids, forms calcium hydroxide and triggers the same repair process in the tissue.12 Some recent studies have reported on the success of MTA as a root apical barrier, with rates ranging from 76.5% to 91.0%.13, 14
The antimicrobial activity of MTA seems to be associated with elevation of pH. Torabinejad et al. observed aninitial pH of 10.2 for MTA, rising to 12.5 in three hours, and it is known that a pH level of 12.0 can inhibit most microorganisms, including Enterococcus faecalis.15 When there is an open pathway of communication between the root canal and the periodontium, it must be sealed to prevent bacterial leakage. This obturation sealer should be biocompatible and should favour regeneration of the supporting periapical structures.16
The apical level of root canal preparation and the border of obturation have been discussed in the literature for several decades. Sealers for the root canal space in cases of advanced resorption have also been thoroughly examined. Therefore, the development and maintenance of a seal is considered to be a major prerequisite to improving the outcome of root canal therapy. The absence of physiological narrowing is a challenge to the achievement of satisfactory early and late therapeutic results. It makes probable either the overpressing of necrotic, infected material when preparing the endodontic space or the overpressing of the sealer when sealing the root canal.
There is ongoing discussion about the application of calcium hydroxide paste as an intracanal medicament. Some research has shown that the remains of calcium hydroxide on the dentinal walls had no significant effect on MTA microleakage.17 In contrast, others have suggested that the remnants react and form calcium carbonate, which interferes with apical sealing.18 Others have suggested that the combination of calcium hydroxide and MTA in apexification procedures may favourably influence the regeneration of the periodontium.19 In teeth with chronic periapical lesions, there is a greater prevalence of Gram-negative anaerobic bacteria. When the root canal is mechanically prepared, 35% of the area remains untouched, including the apical bacterial biofilm.20 Because these areas are not reached by instrumentation, the use of an intracanal medicament such as calcium hydroxide paste is recommended to aid in the elimination of the bacteria and lipopolysaccharides, and to increase the likelihood of clinical success.21-24 Lipopolysaccha ride, a bacterial endotoxin, causes the formation of periapical lesions. Currently, calcium hydroxide paste is still a medicament of choice for inactivation and detoxification of this bacterial endotoxin in vivo.25 Based on previous research, we used a calcium hydroxide paste in the treatment protocol for the present case and observed a successful clinical outcome. Recurrent examinations and radiographs are necessary for follow-up of the clinical outcome and to avoid the need for surgical interventions.26
Conclusion
MTA is an appropriate material for apical sealing in cases of resorption, as it leads to the avoidance of surgical apical procedures with a similar prognostic outcome.
The author denies any conflicts of interest related to this study.
Editorial note: A list of references can be obtained from the publisher. This article was published in the 2/2018 issue of roots_ international magazine of endodontics
.
This article originally appeared in IJSR Vol. 5 Issue 2, February 2016.
Over the last two decades, extensive research has been carried out to alleviate the two major shortcomings of orthodontic treatment: visibility and ...
The digital revolution has changed the world and dental medicine is no exception. We live in the digital era: we have the materials and techniques that ...
This was a challenging case with the combined issues of a failed root canal therapy and an iatrogenic perforation of the floor of the pulp chamber. Though ...
Artificial intelligence (AI) continues to significantly transform digital dentistry. In aligner therapy, AI-driven systems now assist with tooth ...
WARDHA, India: While the majority of dental clinicians are already familiar with the capabilities of 3D printing for producing models, appliances, surgical ...
Ectopic canines are a complex condition to treat with aligners only, since it is not easy to create a reliable and stable anchorage unit for forced ...
Recent developments in composite resin materials and bonding technology have made the routine use of these materials in posterior teeth possible.1 Direct ...
Shaping the soft-tissue contour around implants with provisional resin crowns after implant placement has become a frequently used technique in implant ...
95 teeth with open foramen were identified in a general dentist practice during the years 1985—2006, 75 of which could be followed-up by X-ray after an ...
A 72-year-old patient presented to our clinic for whom crown treatment of tooth #37 was planned owing to the patient complaining of recent pain on biting ...
Live webinar
Thu. 30 April 2026
1:00 pm EST (New York)
Live webinar
Sun. 3 May 2026
12:00 pm EST (New York)
Dr. Rickard Brånemark MSc, MD, PhD, Dr. Robert Gottlander DDS
Live webinar
Sun. 3 May 2026
8:00 pm EST (New York)
Live webinar
Tue. 5 May 2026
10:00 am EST (New York)
Live webinar
Tue. 5 May 2026
12:00 pm EST (New York)
Live webinar
Tue. 5 May 2026
1:00 pm EST (New York)
Dr. Maximilian Dobbertin M.Sc
Live webinar
Tue. 5 May 2026
3:00 pm EST (New York)
To post a reply please login or register