Search Dental Tribune

Dental News

Filter

Webinar to discuss sustainability in dentistry

Sustainable development and the three pillars of sustainability are often mentioned in the media, but what do these terms actually mean, and how can the ...

save

Is Zoom a safe tool for online dental education?

LEIPZIG, Germany: During the COVID-19 pandemic, virtual meetings, teledentistry and online education have become more important than ever. There are many ...

save

UK dentists step up efforts as COVID-19 impact worsens

LONDON, UK: The effects of the ongoing coronavirus pandemic have been felt at every level in the UK. Many were shocked to hear that UK Prime Minister Boris ...

save

Israel and its dentists are on lockdown

TEL AVIV, Israel: The COVID-19 pandemic has resulted in the closure of most dental clinics in Israel, and a nationwide lockdown is in effect for the ...

save

Endodontic follow-up in strongly curved root canals

The lasting success of any root canal therapy is always only apparent after long-term observation. In this article, based on a case study, the author ...

save

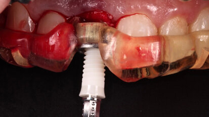
Digital dentistry: Three steps to enhance your dental implant laboratory

Charles Banh works at Ceramics West Dental Laboratory as a consultant for oral surgeons and is the owner of the Practice Within, which provides specific ...

save
advertisement

Coronavirus reality around the globe: Jerko Bozikovic from Belgium

Since the beginning of the global COVID-19 pandemic, almost 25,000 cases of the infection have been detected in Belgium, according the latest numbers ...

save

Dentists in Spain call for collaboration with health authorities

MADRID, Spain: In Spain, dental clinics are considered an essential service. This means that approximately 40,000 dentists are obliged to keep their ...

save

What Brazilian dentists are doing during the coronavirus pandemic

RIO DE JANEIRO, Brazil: By April 9, there had been more than 13,000 reported cases of COVID-19 in Brazil and 667 associated deaths, according to the World ...

save

Dentine hypersensitivity experience using toothpaste with added bioglass: A clinical trial

In our clinical practices, dentine hypersensitivity (DH) has always been a challenge. Our best approach was to suggest at-home solutions such as sensitivity...

save

How to create aesthetic dental makeovers in real time with IvoSmile

German dentist Dr Andreas Kurbad has been treating patients in his private practice since 1990 and serves on the editorial board of the International ...

save

Dentists on coronavirus reality around the globe: Dr Philippe Sleiman from Lebanon

Like many other countries worldwide, Lebanon is currently struggling with a rapid spread of the coronavirus (COVID-19). By 8 April, the Johns Hopkins ...

save
advertisement

Preventing peri-implant disease—free webinar

Biofilm formation around implants is the main aetiology of peri-implant inflammation. In a free webinar on Tuesday, 21 April, dentist Dr Viktoriia Gabal ...

save

Expert reports on COVID-19 situation in dental clinic in Wuhan

WUHAN, China: As dean of the School and Hospital of Stomatology of Wuhan University, Prof. Zhuan Bian has had first-hand experience of the working situation...

save

Dentists on coronavirus reality around the globe: Dr Mauro Labanca from Italy

As of today, Italy has had the highest death toll of any country impacted by the coronavirus. According to the latest numbers available from the Johns ...

save

New EFP president on COVID-19: “Remain positive and safe”

BRUSSELS, Belgium: The European Federation of Periodontology (EFP) has announced that it has welcomed Dr Xavier Struillou as its new president. Struillou ...

save
advertisement

Dentists on coronavirus reality around the globe: Dr. Irineu Gregnanin Pedron from Brazil

The coronavirus pandemic is spreading rapidly throughout the world. As of April 6, Brazil was Latin America’s worst hit country with over 11,000 confirmed...

save

Two-thirds of US dental offices now closed, Baird survey shows

NEW YORK, U.S.: Two in every three dental offices in the U.S. have closed their doors temporarily owing to the spread of the SARS-CoV-2 virus, according to ...

save

Periodontist Dr Chris Barker talks successful periodontitis treatment

Dr Chris Barker is an experienced periodontist who provides the full scope of specialist periodontics. On Thursday, 9 April, he will be presenting a webinar...

save

How to attract new patients by offering ceramic dental implants

The demand for ceramic implants is steadily increasing. In a forthcoming webinar, on Wednesday, 8 April, Dr Joan Pi-Anfruns will explain how dentists can ...

save
advertisement

Dentists on coronavirus reality around the globe: Dr Miguel Stanley from Portugal

In the light of the global COVID-19 outbreak, Portugal declared the national state of emergency on 18 March. So far, over 9,000 cases and more than 200 ...

save

US dentists called on for urgent assistance

NEW YORK, U.S.: Dentists in the U.S. now find themselves at the epicenter of a pandemic, as they are being called upon to provide urgent assistance to slow ...

save
advertisement

Dentists across Europe face business challenges in times of COVID-19

BRUSSELS, Belgium: Dentists all over Europe are doing their part to limit the spread of COVID-19 while staying up to date with national and local ...

save

Webinar to showcase how to arrive at the correct working length

The accurate measurement of canal length during root canal therapy can be a challenge at times. In an upcoming webinar on Thursday, 16 April, Dr Nicola ...

save

Interview: “This profession requires incredible precision and focus”

Dr Magdalena Osiewicz has run her own private practice in Cracow in Poland since 2010 while also working as assistant professor at Jagiellonian ...

save

BIOLASE begins shipping essential materials amid coronavirus shutdown

IRVINE, Calif., U.S.: Limited shipping activities have restarted at the California facility of medical device company BIOLASE, as its technology and ...

save
advertisement

This is how SARS-CoV-2 is affecting dental businesses in Switzerland

BERNE, Switzerland: The virus SARS-CoV-2 has a firm grip on the world and is affecting how people live their daily lives. In Switzerland, as in many other ...

save

Dental implant education at your own pace: ITI offers flexible online courses

BASEL, Switzerland: For dental professionals who are new to the field of implantology or for those who would like to improve their knowledge and skills, the...

save

Baird tracks historic fall in dental demand

NEW YORK, U.S.: COVID-19 is causing historically significant contractions in patient volumes and demand for dental equipment. Baird Equity Research is ...

save

Planmeca wins 2020 Red Dot Award for best product design

HELSINKI, Finland: The Planmeca Solanna Vision operating light with integrated 4K cameras has been awarded a Red Dot in this year’s Red Dot Award: Product...

save
advertisement
advertisement