As a matter of routine, when accepting an orthodontic treatment plan, parents are required to acknowledge the risk that their children’s teeth could be damaged during treatment. At best, unless they commit to permanent use of a retainer, patients can expect almost definite relapse and worst-case scenarios may include enamel damage, root resorption or in the case of corrective jaw surgery, painful lifelong complications.
Unfortunately, though, while parents are becoming more aware of the risks and limitations of traditional orthodontics and the generating impetus toward more stable, less invasive treatments, they are often not being informed of all the alternative options that are available.
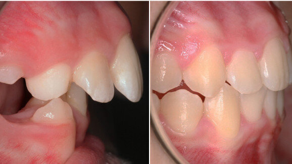
Despite this increased recognition of the shortcomings of traditional orthodontic treatments and the escalating demand for contemporary options, the causes of malocclusion remain somewhat hidden from parents. In order to make an informed decision regarding their children’s oral health and to decide which treatment is the most suitable, these causes of malocclusion must be highlighted.
embedImagecenter("Imagecenter_1_1812",1812, "large");
Three in four 21st-century children will experience malocclusion and parents, as well as the dental professionals advising them, have traditionally attributed this to hereditary factors. However, research shows that rather than genetics, the aetiology of malocclusion is predominately environmental.
The most recent evidence, which is often not presented to parents during orthodontic consultations, reveals that the majority of malocclusions are caused by incorrect jaw development.
This incorrect development restricts the space that is available for erupting teeth and prevents them from growing into their ideal natural position. For the best part of the last century, the easiest fix for this problem has been to extract healthy permanent teeth, then to use braces to align the remaining teeth into underdeveloped jaws.
Unfortunately, for countless orthodontic patients, these mechanical treatments are focused on the symptoms of malocclusion, but fail to address the underlying causes of the condition, which is why relapse is the most predictable outcome.
An increasing number of dental professionals have accepted the necessity for new treatment methods that would address the causes, rather than just correcting the symptoms, of malocclusion.
These practitioners recognise that in addition to environmental factors (such as the modern diet) inhibited jaw development is being caused by poor myofunctional habits, including thumb sucking, reverse swallowing and mouth breathing.
Once these myofunctional causes of malocclusion have been identified, the potential for natural growth is unlocked and myofunctional treatment methods, which can produce more stable results without relying on heavy mechanical forces, become possible. Additionally, these preventive, pre-orthodontic treatments can be undertaken and completed much sooner than, or even in conjunction with, braces if necessary.
In fact, combining pre-orthodontic preventive treatment with less invasive orthodontic techniques can produce outcomes far superior to those achieved using a single treatment philosophy.
As a result of improved awareness regarding their children’s oral health care, 21st-century parents have become increasingly enthusiastic about less invasive, more preventive treatment methods. Legally these parents should be presented with all the treatment options that are available.
Although patient compliance with functional appliances and myofunctional therapy techniques has historically restricted the widespread acceptance of these treatments, modern techniques have addressed these concerns. There are now treatment systems that package myofunctional habit correction, arch expansion and dental alignment into one integrated system that satisfies the parents’ demand for modern, early pre-orthodontic techniques.
Editorial Note: This text was first published in the 03/2014 issue of the Ortho Tribune U.S. Edition.
The 21st century is such an amazing time to be in our wonderful profession. From a technical standpoint we’ve got better diagnostic tools, better ...
During the SureSmile 2025 Global Orthodontics Symposium, which took place on 13 and 14 September in London, Dental Tribune International spoke with Dentsply...
ALEXANDRIA, Va., USA: In 1926, Dr. William Gies published his seminal report “Dental education in the United States and Canada,” which has had a ...
Historically, when a patient’s dental condition reached a state of total tooth loss, treatment was limited to a complete denture with no hope of ...
The combination of advanced materials and manufacturing techniques makes the industrial production of prosthetic components possible for every clinical ...
GENEVA, Switzerland: In light of World Oral Health Day (WOHD), which is being celebrated around the world today on 20 March 2020, FDI World Dental ...
ST HELIER, Jersey: Patients on the island of Jersey are having to wait up to five years for orthodontic treatment, according to local newspaper the Jersey ...
Opinions vary as to the best means to achieve three dimensional, cleansing, shaping and obturation of the root canal system. Emerging technology, literature...
SCHAAN, Liechtenstein: Ivoclar revolutionised the fabrication of complete dentures two years ago with the introduction of the Ivotion Denture System, which ...
During orthodontic therapy, only excellent oral hygiene leads to excellent results. However, dental professionals are not always sure of recommendations to ...
Live webinar
Thu. 14 May 2026
12:00 pm EST (New York)
Live webinar
Thu. 14 May 2026
2:00 pm EST (New York)
Prof. Hani Ounsi DDS PhD FICD
Live webinar
Tue. 19 May 2026
11:00 am EST (New York)
Live webinar
Tue. 19 May 2026
1:00 pm EST (New York)
Prof. Dr. med. dent. Ivo Krejci
Live webinar
Wed. 20 May 2026
7:00 am EST (New York)
Dr. Graham Carmichael BDSc (Hons), DClinDent (Pros), FRACDS, Dr. Robert Gottlander DDS
Live webinar
Wed. 20 May 2026
9:00 am EST (New York)
Live webinar
Wed. 20 May 2026
1:00 pm EST (New York)
Prof. Dr. med. dent. Tim Joda PhD, MSc, eMBA
To post a reply please login or register