The use of aligner treatment led to the observation that molar extrusion seems to be prevented during dental movement by full daily use of aligners. This reactive intrusive force can be considered biomechanically favourable when treating vertical excess in open bite patients, but when treating vertical reduction in deep bite patients, this bite effect can represent a strict limitation, because it circumscribes the dental correction to the anterior part of the arch (incisor inclination, intrusion of maxillary and mandibular teeth).1–4 The introduction of bite ramps embedded into aligners has changed the approach to deep bite treatment, increasing treatment predictability and avoiding the need for over-engineering in the digital treatment plan.
The curve of Spee and the management of posterior tooth movement represent a crucial point in the treatment of severe deep bite with aligners. To better clarify how differential movements can influence deep bite treatment, some authors have recently classified deep overbite malocclusion features into their principal and secondary components.5 The principal components are a decreased gonial angle and a deep curve of Spee. The secondary components are anterior tooth inclination, overeruption of maxillary incisors and vertical growth of the maxilla. When treating deep bite malocclusion, the intrusion of the mandibular incisors should be combined with the extrusion of the posterior segment by means of relative extrusive movements (torque and tip correction). With this approach, it is possible to obtain significant anterior deep bite correction and some posterior extrusion deriving from proper levelling of the curve of Spee.
The mandibular arch levelling with anterior intrusion associated with relative posterior extrusion or at least with maintenance of the vertical position of the posterior teeth will complete the approach. The posterior disocclusion maintained throughout treatment by means of bite ramps allows significant posterior. The slight true extrusion associated with relative extrusion planned by means of molar distal tipping and molar and premolar torque uprighting (3D curve of Spee levelling) will support the clockwise rotation of the mandible.
Fig. 2
Fig. 3
Fig. 4
Fig. 5
Fig. 6
Fig. 7
Fig. 8
Digital plan set-up
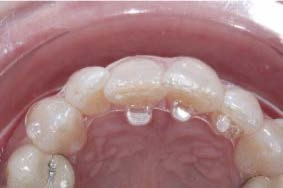
To properly correct deep bite malocclusion with aligners, the Invisalign system (Align Technology) has introduced precision bite ramps, anterior customised bite turbos, embedded into the aligners, and these are available for the lingual surface of the maxillary central and lateral incisors or of the maxillary canines. This feature does not require composite filling like for traditional attachments; it is a lingual extension of the aligner (maximum palatal extension of 3 mm) that creates premature anterior contacts and posterior disocclusion. The ramps are planned to move, stage by stage, in a more occlusal direction, creating the necessary posterior occlusal space to permit lateral and posterior teeth to extrude relatively. The ramps need to be combined with two other features: extrusion attachments on lateral teeth and mandibular incisor pressure areas, a lingual pressure point designed to exert intrusive forces following the long axis of the incisors more effectively. In this way, the levelling of the mandibular curve of Spee will be more reliable, combining two reciprocal movements in two different parts of the arch, anterior intrusion, and posterior extrusion, as indicated in the literature (Figs. 1–8).6, 7
When planning the digital set-up (ClinCheck software), careful levelling of the curve of Spee in 3D needs to be addressed, in particular:
On the vertical plane, the mandibular second molars represent a reference point, so they do not need to be extruded, whereas extrusion should be planned for the first molars, second premolars and (sometimes) first premolars (depending on the severity of the curve). The intrusion should be achieved simultaneously from canine to canine, creating a normal overbite.8
On the sagittal plane, distal tipping of the second and first molars will support the curve of Spee levelling, in combination with reciprocal mesial tipping of premolars and canines. This movement is synergic, and distal tipping will favourably partially extrude the molars.
On the transverse plane, the uprighting of premolars and molars reaching a torque close to 0° will create a relative extrusion of the lateral segments, contributing to the levelling of the curve of Spee and premature posterior occlusal contacts.9
This amount of posterior extrusion planned in 3D will create, on the digital plan, heavy occlusal contacts on the working cusps, and these premature contacts will lead to proper intercuspation clinically, without losing the occlusal contacts during treatment, generating mandibular clockwise rotation. Finally, to favour mandibular rotation and proper intercuspation, Class II elastics with a vertical component of force directly connected to the aligners will be helpful for achieving true and relative extrusion.
To recapitulate, to have a predictable clinical outcome for overbite correction, it is fundamental to plan the following in the 3D set-up software (ClinCheck):
anterior intrusion (in the mandible when the smile arc is correct);
posterior extrusion;
3D curve of Spee levelling as described;
thick attachments on the posterior and lateral teeth (rectangular shape, horizontal orientation, gingivally bevelled);
bite ramps on the maxillary incisors (in case of mandibular anterior intrusion);
pressure area on the mandibular incisors;
controlled proclination of the maxillary and mandibular incisors;
heavy posterior occlusal contacts; and
Class II elastics with a vertical component of force directly connected to the aligners.
The purpose of this paper is to show a clinical example of the described deep bite protocol in an adult patient treated with Invisalign clear aligners in an overall treatment time of less than 12 months.
Fig. 9
Fig. 10
Fig. 11
Fig. 12
Case report
History and assessment
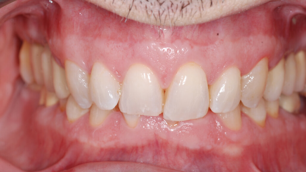
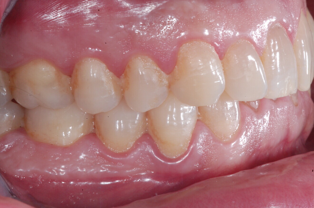
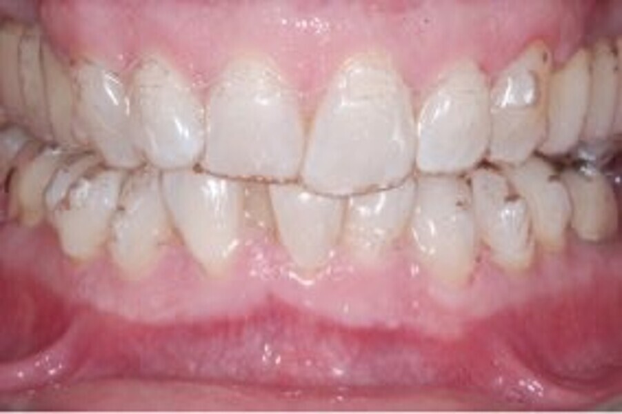
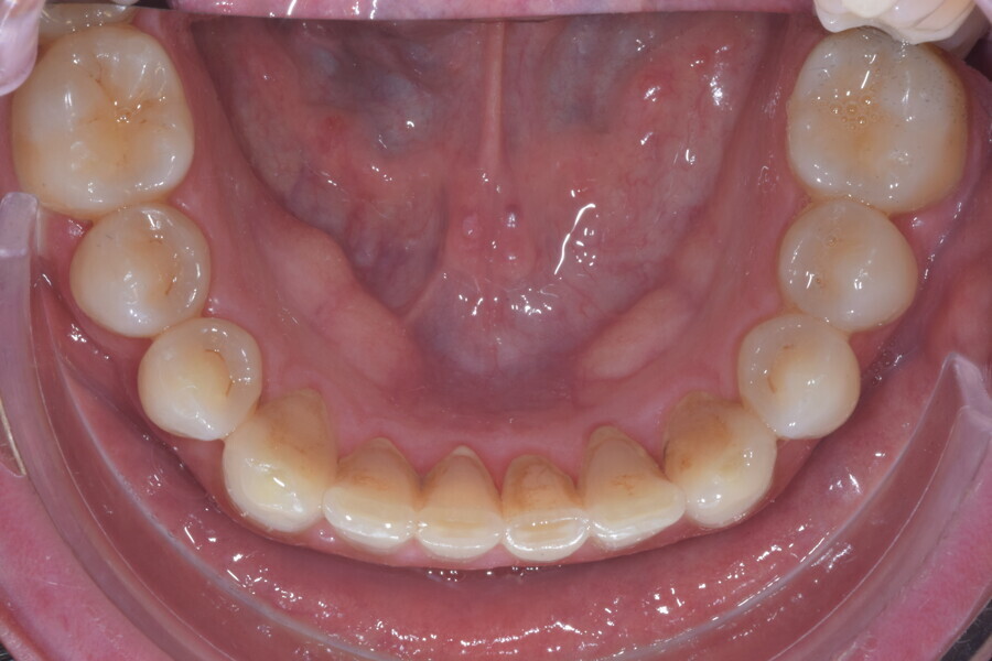
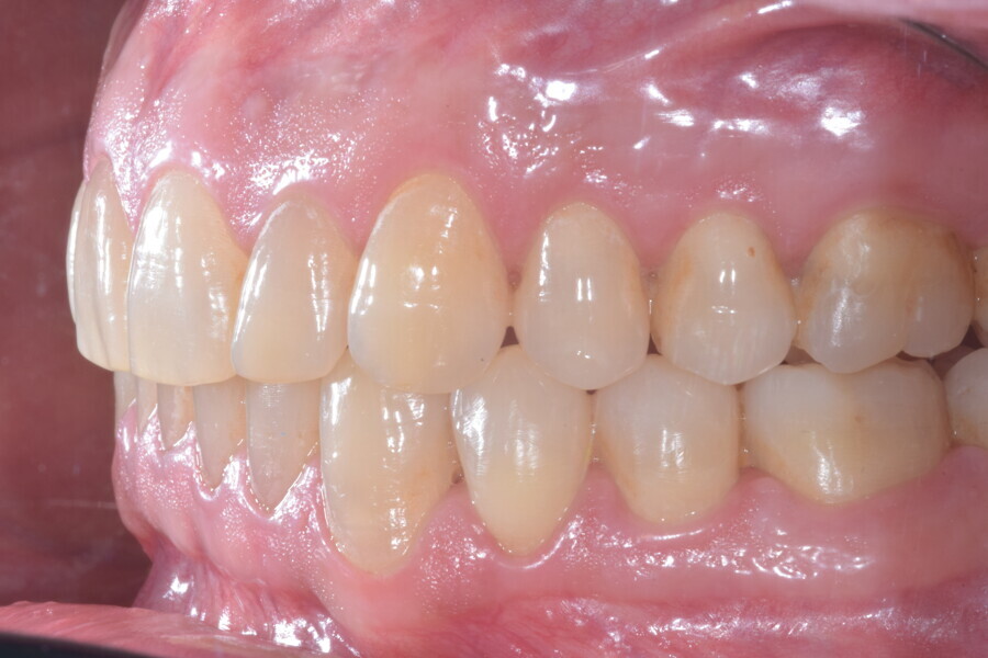
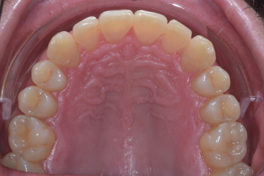
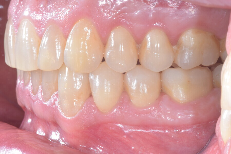
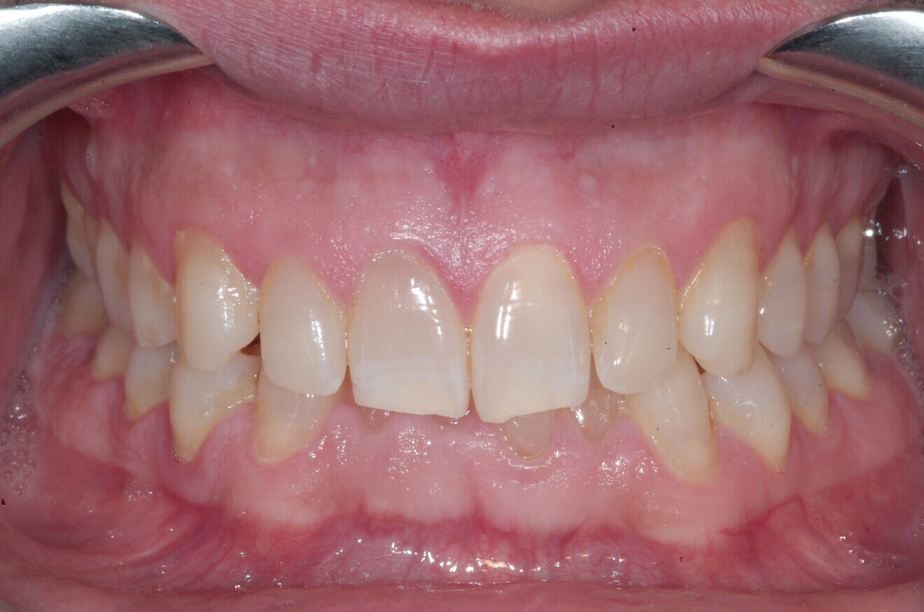
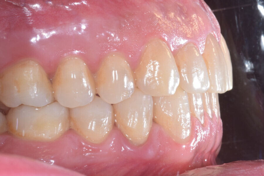
A 37-year-old male patient presented with the chief need for re establishing anterior alignment in both arches. Facial analysis showed a short face with a flat profile but proper chin projection (Figs. 9–12), and clinical examination revealed a skeletal Class I (ANB = 0.89°) and dental Class I malocclusion with severe deep bite (almost 100%), a deep curve of Spee, normal maxillary central incisor torque (Ui–FH = 110°), mild maxillary crowding and moderate mandibular crowding (Figs. 13–18). The deep bite components were represented in this patient by the severe skeletal condition of hypo divergent pattern (FMA = 14.24°) with normal maxillary and mandibular incisor inclination and decreased gonial angle (110.46°). Analysis of the cephalometric radiograph indicated a reduced lower anterior facial height, combined with a hypo-divergent pattern (Fig. 19). The only treatment option suggested was orthodontic treatment with aligners for deep bite correction with all the features described (bite ramps, pressure area, 3D curve of Spee levelling, Class II elastics and heavy occlusal contacts).
Fig. 13
Fig. 14
Fig. 15
Fig. 16
Fig. 17
Fig. 18
Fig. 19
Treatment progress
The digital treatment plan (ClinCheck) provided 12 aligners for the maxillary arch and 17 for the mandibular arch. The treatment objectives were focused on coupled vertical movements of posterior extrusion and anterior intrusion by means of bite ramps, providing for posterior disocclusion and anterior intrusion of mandibular teeth by means of extrusion attachments needed for mandibular arch levelling. The maxillary and mandibular incisors were proclined to level the upper and lower curve of Spee and to support the flat profile and the lips. Class II elastics were planned to support mandibular proclination and heavy posterior occlusal contacts with relative posterior extrusion. Lateral and posterior maxillary torque were planned to be close to 0°, to achieve wider arch design and ideal intercuspation. No digital over-engineering was planned in the set-up. Because of the age of the patient, the aligners were changed every ten days for a treatment time of less than six months. At the end of the first stage of aligners (Figs. 20–24), an additional stage was planned to improve molar intercuspation without elastics with a digital plan of five further aligners. This brought the total treatment time to 7.5 months since the additional aligners were changed every week.
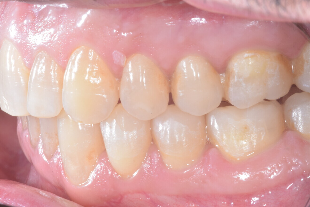
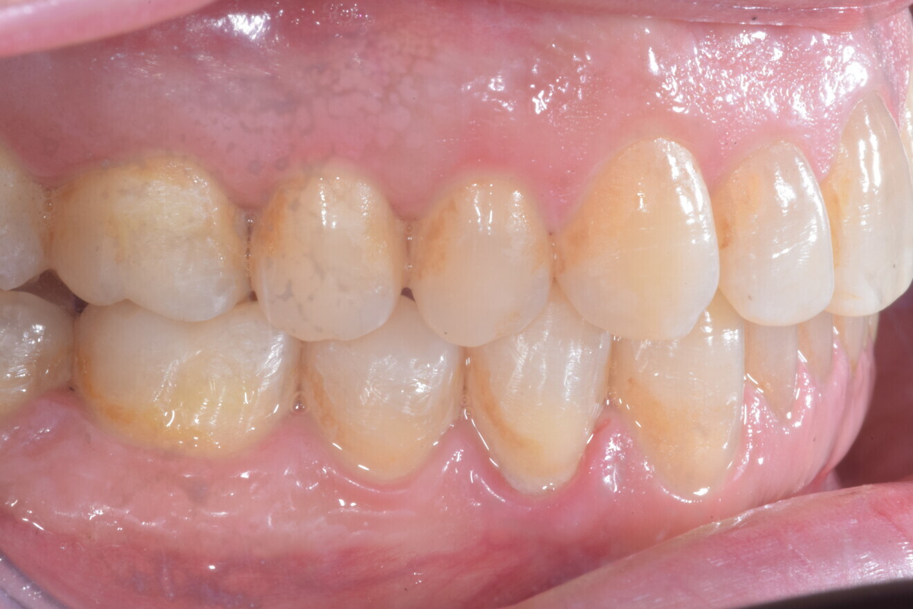
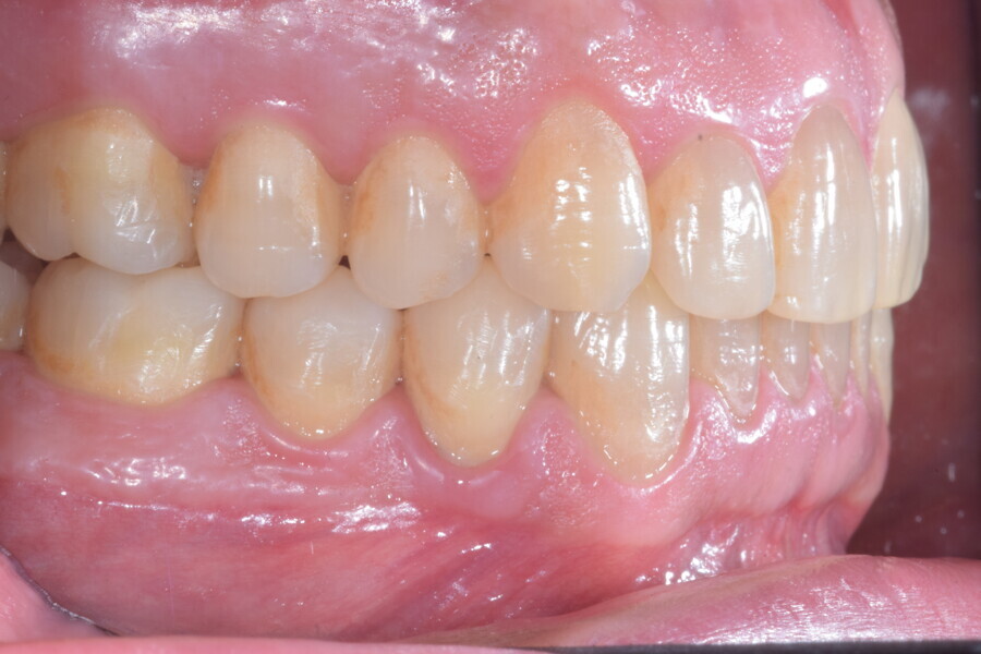
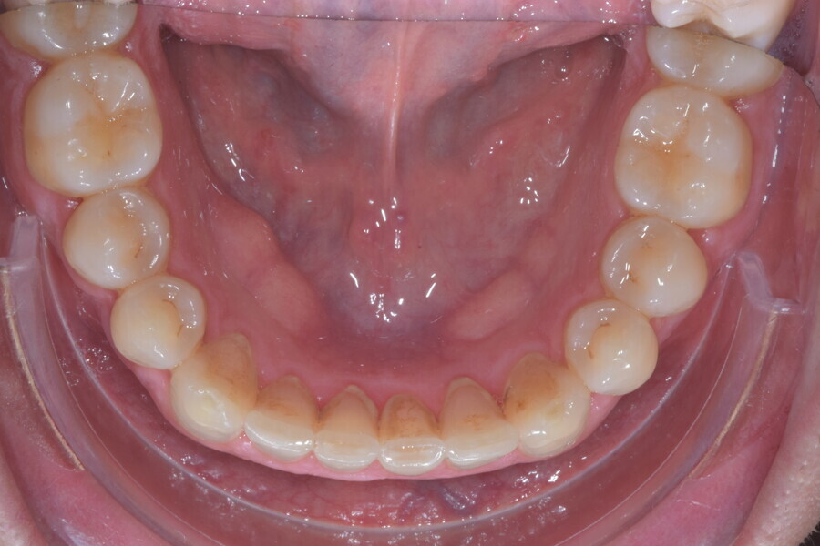
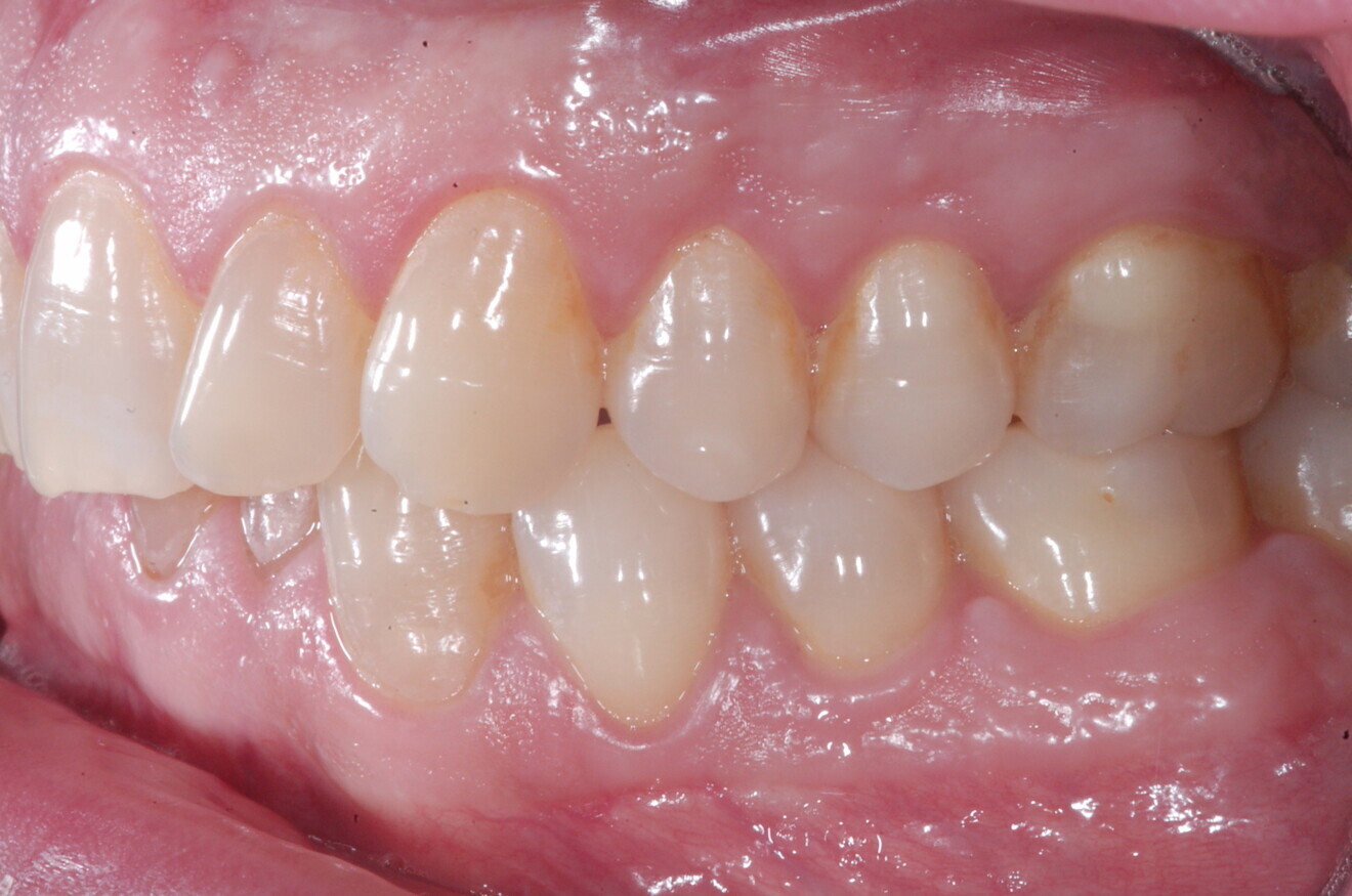
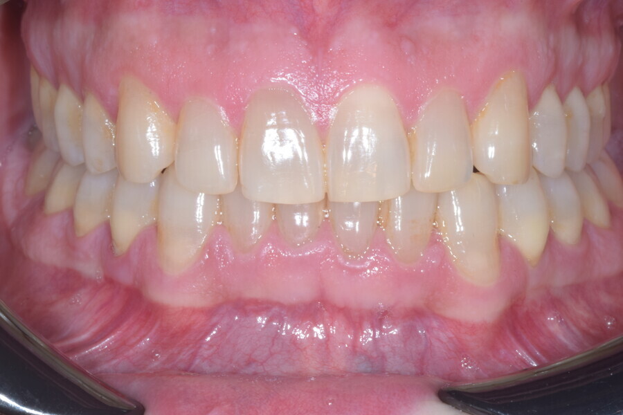
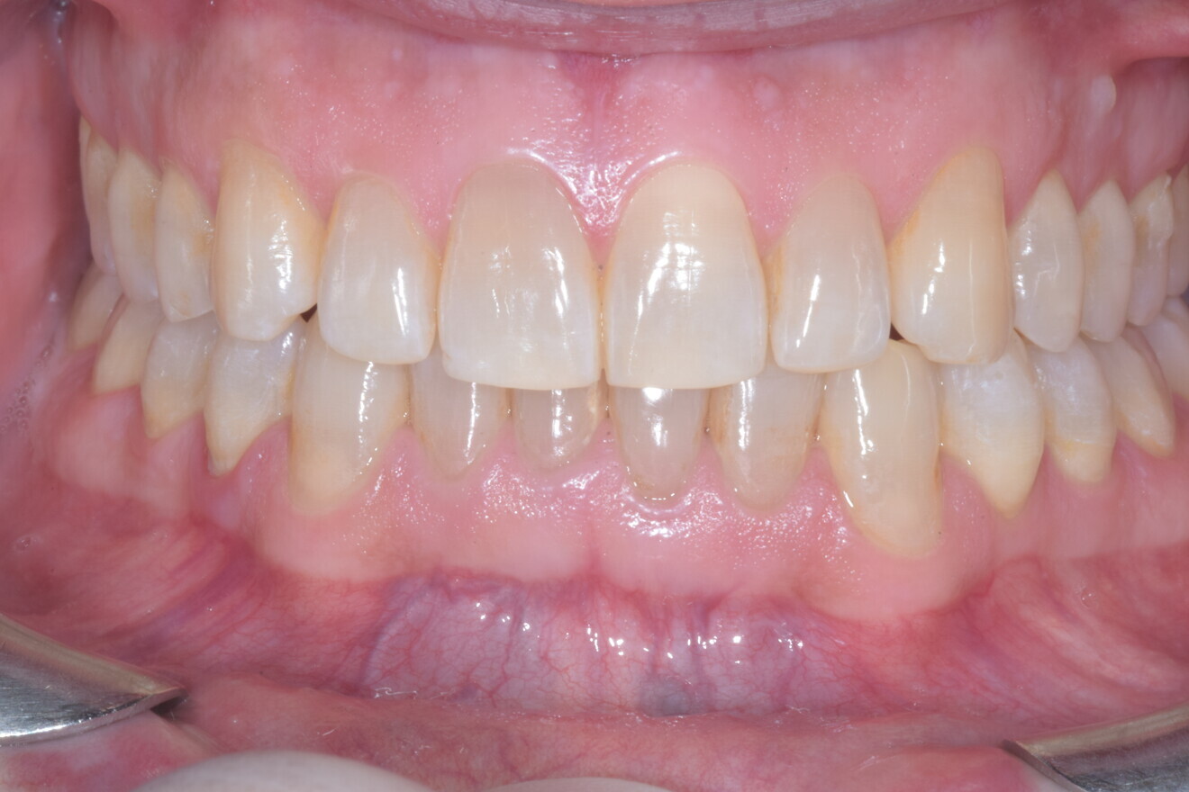
At the end of the treatment, Class I canine and molar relationships were obtained, maxillary incisor inclination was slightly increased (Ui–FH = 112°), mandibular incisor inclination (IMPA = 97.09°) was fully corrected by means of proclination and the divergency was slightly increased (SN–GoGn = 27°) because of the relative posterior extrusion and use of Class II elastics—a small variation (1°), which is interesting considering the age of the patient (Figs. 25–35). A balanced smile arc was obtained with an ideal relationship between the maxillary incisors and lower lip, and torque control of the lateral and posterior segments generated a broader smile.
Fig. 20
Fig. 21
Fig. 22
Fig. 23
Fig. 24
Fig. 25
Fig. 26
Fig. 27
Fig. 28
Fig. 29
Fig. 30
Fig. 31
Fig. 32
Fig. 33
Fig. 34
Fig. 35
The superimposition of the cephalometric tracings showed some interesting changes induced by the orthodontic treatment (Figs. 36 & 37):
The maxillary incisor inclination with respect to the maxillary plane was reduced by about 2° (from 110° to 112°), and the mandibular incisor inclination with respect to the mandibular plane was reduced by about 6° (from 91° to 97°). There was a good inter-incisal relationship and sufficient symphysis support.
The relative extrusion of the maxillary and mandibular molars, combined with the use of bite ramps, generated a slight clockwise rotation of the mandible (SN–GoGn from 26° to 27°), which allowed a further improvement of the overbite.
The proclination of the maxillary and mandibular incisors improved the profile and support of the lip.
Fig. 36
Fig. 37
At the one-year follow-up in retention (Vivera retainers with bite ramps, Align Technology), the result was stable and intercuspation was improved (Figs. 38–42).
Fig. 38
Fig. 39
Fig. 40
Fig. 41
Fig. 42
Discussion
When treating deep bite malocclusion, the intrusion of the mandibular incisors should be combined with the extrusion of the posterior segment by means of relative extrusive movements (torque and tip correction). With this approach it is possible to obtain significant amount of anterior deep bite correction with small amount of real posterior extrusion, deriving from a proper levelling of the curve of Spee. For every 1.0 mm of posterior extrusion, the bite opens anteriorly by around 2.5 mm.10–13 The described biomechanical features of bite ramps avoid the common teeth intrusion induced by the thickness of the aligners and by the interocclusal contacts. The mandibular arch levelling with anterior intrusion, associated with posterior relative extrusion, or at least with maintenance of vertical position of posterior teeth, will complete the approach. The posterior disocclusion maintained stable throughout all the treatment by means of bite ramps, allows to produce significant amount of pure posterior extrusion, if properly associated with the use of short Class II elastics, and heavy posterior occlusal contacts. The slight pure extrusion associated to relative extrusion planned by means of molar distal tipping and molars and premolars torque up righting (3D curve of Spee levelling), will support the clockwise rotation of mandible. Moreover, precision bite ramps will redirect the occlusal force exerted by the muscles, creating an anterior premature contact that will support the mandibular intrusion.
When analysing the superimposed lateral cephalograms of both patients it is possible to detect the vertical pattern of the patients, how the deep bite was fully corrected, in both cases, using a combination of significant incisors proclination, and slight clockwise mandibular rotation induced by the relative posterior extrusion.
Furthermore, the vertical skeletal relations seem to be influenced by the use of these auxiliary features of the aligners, since the cephalometric vertical indicators changed positively. No posterior intrusion and no bite effect were encountered at the end of or during treatment. The overall change of the vertical position of the posterior teeth was minimal, but as described above, the literature supports that a small amount of true or relative posterior extrusion, induced by the appliance biomechanics, can result in significant deep bite opening due to the mandibular clockwise rotation, justifying the need for bite ramps as an effective feature in case of deep bite malocclusion. These aligner-embedded features combined with proper 3D planning of curve of Spee levelling and features such as extrusion attachment and pressure areas acting on the mandibular arch, provided better levelling of the curve of Spee and a more predictable result.
No papers analysing the use of bite ramps have been published. The only one studying deep bite and aligners was conducted before the introduction of bite ramps.14 Following this approach set out in this article, the treatment of deep bite could be achieved with aligners (Fig. 8), avoiding the problems strictly connected with mandibular occlusal interferences commonly encountered during fixed appliance treatment and achieving an ideal outcome in a shorter treatment time.
Ectopic canines are a complex condition to treat with aligners only, since it is not easy to create a reliable and stable anchorage unit for forced ...
A female adult patient visited our clinic with the primary concern of the aesthetics of her maxillary anterior teeth. She was particularly dissatisfied with...
Several chronic illnesses can be traced back to alcohol consumption, sedentary lifestyle, unhealthy nutrition or smoking. Smoking, in particular, is a ...
“Faster, higher, stronger”—this motto certainly no longer applies only to the Olympic Games. How can certain tasks be performed even more precisely, ...
Clear aligners are not always a perfect alternative to conventional orthodontic appliances.1–4 Although theoretically it is possible to achieve good ...
When there is alteration of any of the internal structures that make up the temporomandibular joint (TMJ), it can be said that we are facing possible ...
In recent years, orthodontists have been treating patients of increasingly younger age.1 This is due to increased attention by paediatricians, greater ...
In recent decades, we have witnessed the substantial development and expansion of the use of fixed orthodontic appliances. While their application has many ...
DAMASCUS, Syria: The use of clear aligners in mild to moderate cases of malocclusion has been the subject of numerous studies, particularly as more dentists...
Education
Live webinar Sun. 3 May 2026 12:00 pm EST (New York)
MADRID, Spain: Periodontal disease in children and adolescents can be difficult to diagnose and manage due to inconsistent definitions and the limitations ...
On 3 and 4 October, dental professionals from around the world will gather in Tokyo in Japan for the sixth GC International Dental Symposium. Organised as ...
RIYADH, Saudi Arabia: Koelnmesse and dmg events have announced the launch of the annual International Dentistry Exhibition and Meeting in Saudi Arabia (IDEM...
To post a reply please login or register