Search Dental Tribune

Event Sat. 4. February 2017
Master in metal-free IPS e.max® lithium disilicate by Michele Temperani, CDT, Italy | Organizer: CAPP

Organizer: CAPP REGISTER HERE New IPS e.max lithium disilicate LT, HT and MT offers new esthetic options for creating exceptional true-to-nature restorations regardless of the fabrication technique...

save
News Thu. 21. February 2019
New RFID intelligence in the dental clinic helps translate data into efficiency, safety and savings

COLOGNE, Germany: LM-Dental, one of the world’s leading manufacturers of ergonomic dental instruments, actively works with dental clinics to ensure its ...

save
News Wed. 15. September 2021
Prof. Liz Kay assumes role of BDA president

LONDON, UK: On 7 September, renowned academic and dental public health specialist Prof. Liz Kay was inaugurated as the British Dental Association’s (BDA) ...

save
News Thu. 18. January 2018
Dentsply Sirona introduces new CEO and board members

YORK, Pa., U.S.: Dentsply Sirona, manufacturer of professional dental products and technologies, has announced that three new board members have been ...

save
News Wed. 20. January 2021
Interview: Fears and worries of dental students during COVID-19 pandemic

Dr Elham Kateeb’s professional career has been devoted to dentistry: She is an associate professor of dental public health and the dean of scientific ...

save
advertisement
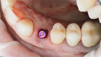
News Tue. 5. November 2019
Maxillary first molar atraumatic extraction

A 75-year-old female patient visited our dental clinic reporting a loose crown on tooth #26. The tooth had been endodontically treated in the past and had a...

save
News Fri. 3. July 2020
Nanotechnology may improve soft-tissue integration of dental implants

BRISBANE, Australia: Ensuring the formation of a solid soft-tissue seal at the dental abutment surface is crucial for protecting the underlying tissue from ...

save
News Thu. 18. December 2025
International Society for Minimum Intervention Dentistry hosts consensus workshop in Germany

MUNICH, Germany: On 1 and 2 December, the International Society for Minimum Intervention Dentistry held a consensus workshop in Munich in Germany. Hosted at...

save
Prod Mon. 22. June 2015
LM-Dental – ErgoMix Mini Implant Instruments

The clinical challenge: Instruments (tips) intended and used for implant maintenance are too bulky, especially in cases when patients have healthy, tight tissue around the implants. Proposed ...

save
News Wed. 27. February 2019
Planmeca at IDS 2019: It’s show time!

COLOGNE, Germany: The International Dental Show (IDS) in Cologne will once again bring together dental professionals from all around the world. The Finnish ...

save
News Fri. 17. August 2018
Mobile dental provider fined almost A$200,000

SYDNEY, Australia: In a recent court case, the New South Wales Environment Protection Authority (EPA) successfully prosecuted a mobile dental service ...

save
advertisement
News Wed. 28. March 2018
Ivoclar Vivadent report positive growth for 2017

SCHAAN, Switzerland: Ivoclar Vivadent have recently released figures for their 2017 financial year. With a turnover of CHF 809 million and an increase of ...

save
News Mon. 11. February 2019
Perio & Cardio Workshop 2019 to focus on publishing recommendations on periodontal health

MADRID, Spain: Cardiovascular and orthodontic experts are set to publish joint recommendations for medical and oral health professionals and patients. The ...

save
News Fri. 5. April 2024
Italian researchers test 11 new 3D-printing materials

PERUGIA, Italy: In recent years, the landscape of dental prosthesis fabrication has seen a significant shift with the advent of additive manufacturing ...

save
News Wed. 4. December 2024
Study finds that routine the key to enhanced oral health among the elderly

GOTHENBURG, Sweden: Maintaining oral health in the ageing population is vital for quality of life, and challenges in oral care in nursing homes demand ...

save
News Wed. 16. January 2019
DTI celebrates 20 years of today at IDS

LEIPZIG/COLOGNE, Germany: With the International Dental Show (IDS) fast approaching, preparations are in full swing at Dental Tribune International (DTI). ...

save
News Wed. 15. May 2019
Australian elections bring oral health into focus

MELBOURNE, Australia: With the Australian elections only a few days away, many areas of societal concerns have been brought into focus, one of which is ...

save
advertisement
News Tue. 26. November 2019
Curious about clear aligners? Free webinar to discuss the basics

Since 2017, more than 27 clear aligner products have come on the market. With so many options, it can be difficult to know where to start. A specialist in ...

save
News Mon. 3. December 2018
New universal complaint handling initiative welcomed by British dental industry

LONDON, UK: The General Dental Council (GDC), working in conjunction with 28 organisations from across the dental industry, has developed a set of universal...

save
News Mon. 26. October 2015
Minimally invasive sinus lift with iRaise

Implant placement in the atrophic posterior maxilla is a challenge. Bone augmentation (sinus floor elevation) is very often indicated. [1] When the ...

save
advertisement
advertisement