The flowable injection technique offers a fast, minimally invasive and aesthetic solution for restoring teeth using composite resin. (Image: Creative-Touch/Adobe Stock; clinical images: Adrien Lavenant)
In many clinical situations, composite restorations offer advantages over ceramic restorations. The treatment is less costly and usually less invasive, and the restorations can be modified and repaired at any time. When it comes to restoring multiple teeth, however, a free-hand layering approach used to build up every tooth separately can be very time-consuming and labour-intensive. In these situations, the flowable injection technique—also referred to as injection moulding—is a great alternative. It is minimally invasive, suitable as a temporary or permanent solution to issues regarding tooth wear and irregular shape, and time-efficient in the clinical setting.
Essential materials
The planning phase, including the creation of the wax-up, can be accomplished in the traditional way or using a digital workflow, and components may differ depending on the preferred way of working. Regardless, two materials are essential for the implementation of the flowable injection technique: a transparent silicone and a flowable composite. The silicone is used to produce an index and transfer the planned shape of the restorations from the wax-up to the patient’s mouth. The index must be transparent to make sure that the flowable composite will be polymerised properly through it—an important precondition for high-quality results. The flowable composite is injected into the silicone index. Besides offering excellent flow behaviour during injection, the selected material should exhibit high mechanical stability for durability. CLEARFIL MAJESTY ES Flow Low (Kuraray Noritake Dental) offers the desired properties. One possible way to combine the materials and implement the technique will be illustrated using the following patient case.
Important step in a complex treatment
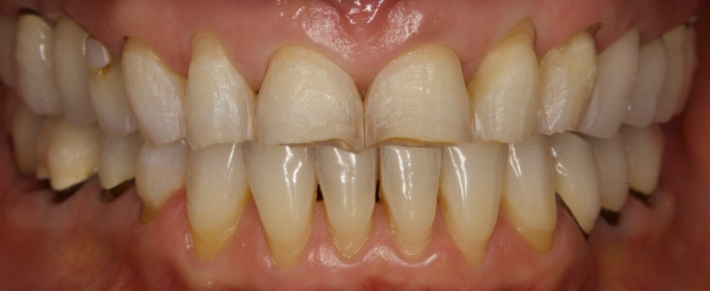
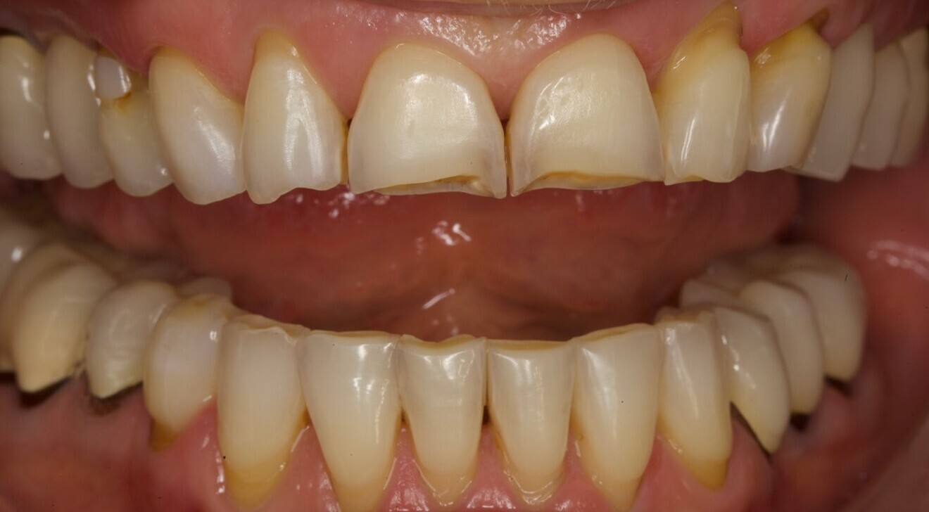
This patient came to the dental office after orthodontic treatment with a request to improve the aesthetics of her smile. In the maxillary and mandibular anterior region (incisors and canines), severe tooth wear was diagnosed, the maxillary central incisors being most severely affected (Figs. 1 & 2). To restore her maxillary teeth as quickly as possible, the least invasive immediate treatment option was selected: a smile makeover with composite using the flowable injection technique. In the long term, it is planned to perform a full-mouth rehabilitation with ceramic restorations.
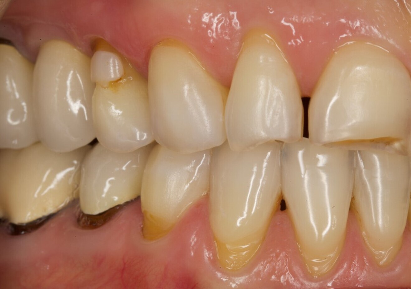
Fig. 1a: Initial situation. Lateral view from the right.
Fig. 1b: Lateral view from the left.
Fig. 1c: Frontal view.
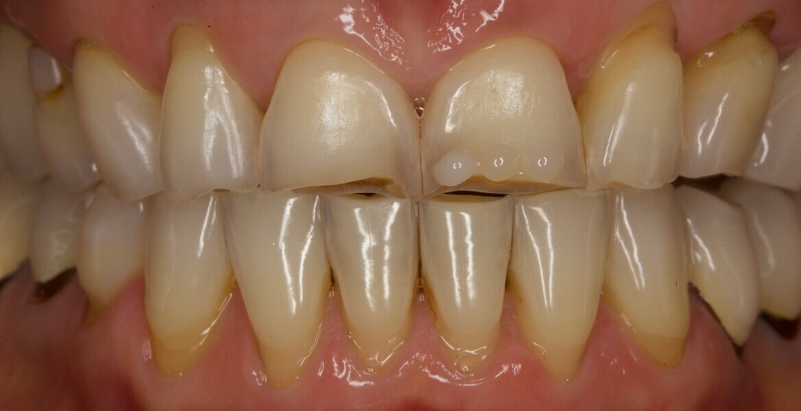
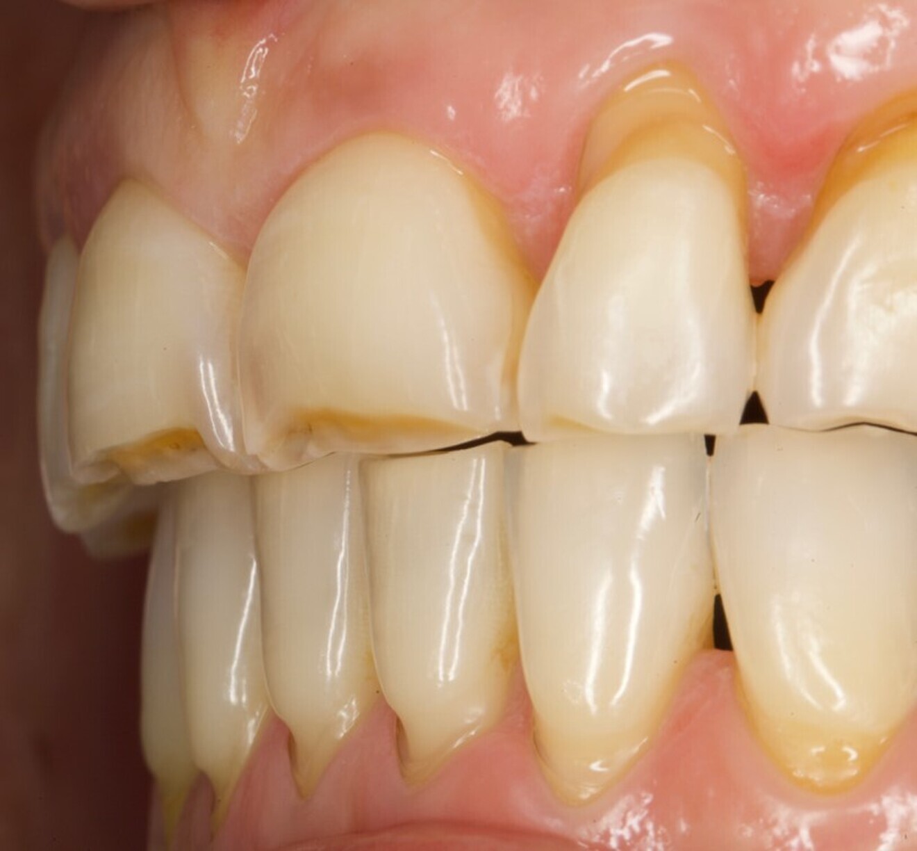
Fig. 2: Close-up of the severely worn central incisors.
Shade determination and index production
After analysis of the tooth colour using two different methods (Figs. 3 & 4), a digital impression was taken and a wax-up designed with dedicated CAD software. The wax-up model was then printed (Fig. 5). It served as the basis for the production of the transparent silicone index. After complete polymerisation of the index material, injection channels were integrated at the incisal edges of each tooth to be restored (Figs. 6 & 7).
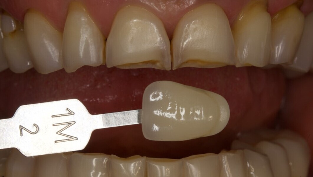
Fig. 3: Determination of the tooth colour using a shade guide.
Fig. 4: Picture taken with a white balance grey reference card for objective shade quantification.
Fig. 5: 3D-printed model of the upper jaw with the virtually designed wax-up.
Fig. 6: Silicone index produced over the wax-up model with injection channels at the incisal edges of each tooth to be restored.
Fig. 7: Close-up view of the index with injection channels.
Shade validation and preparation for injection
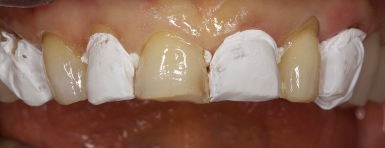
To validate the selected shade, small amounts of composite (buttons) in three different shades were applied to the untreated surface of the left central incisor and polymerised (Fig. 8). In this way, it is possible to visualise the colour of the composites in the mouth. The selected shade was A1. The aprismatic enamel layer on the surfaces of the six maxillary anterior teeth was carefully removed with burs to create ideal bonding conditions (Fig. 9). The teeth were then isolated with clear matrix strips for the implementation of the bonding protocol on the right canine and central incisor and left lateral incisor. To provide for proper interproximal separation and contacts, it is advisable to treat every other tooth and then repeat the procedure for the rest. The teeth were etched with phosphoric acid, rinsed and carefully dried before applying the selected adhesive (CLEARFIL SE Protect; Fig. 10). For separation and protection of the adjacent teeth during composite injection, PTFE tape is a great choice (Fig. 11).
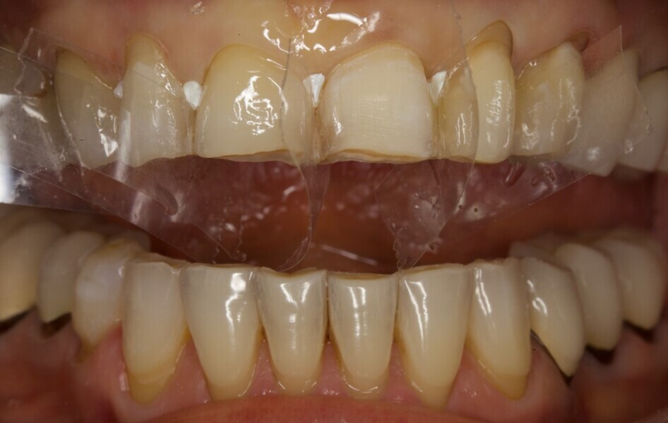
Composite injection and treatment of the other teeth
After its application, the silicone index was placed in the mouth and CLEARFIL MAJESTY ES Flow Low in Shade A1 injected tooth by tooth through the injection channels (Fig. 12). Proper light polymerising of the composite through the index then followed (Fig. 13). At this stage, the excess still needed to be removed, before protecting and separating the already restored teeth with PTFE tape and repeating the procedure for the other lateral incisor, central incisor and canine.
Fig. 8: Composite buttons applied to the left central incisor for shade validation.
Fig. 9: Roughened tooth surfaces.
Fig. 10: Etched and bonded surfaces of the right canine, right central incisor and left lateral incisor after isolation with clear matrix strips.
Fig. 11: Protection of the adjacent teeth with PTFE tape.
Fig. 12: Index with injected composite.
Fig. 13: Result after index removal.
Treatment outcome
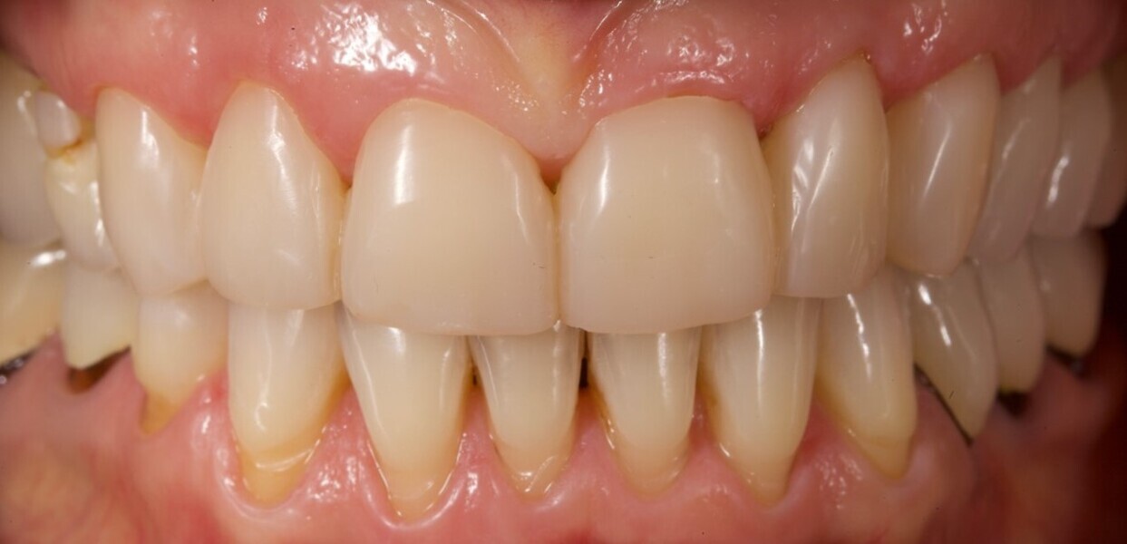
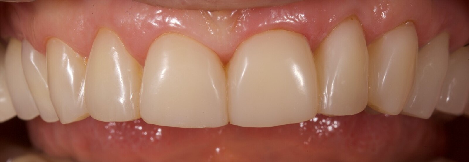
Once all the excess material had been completely removed, the occlusion was checked and adjusted. Finishing and polishing was accomplished with TWIST DIA for Composite (Kuraray Noritake Dental; Figs. 14 & 15).
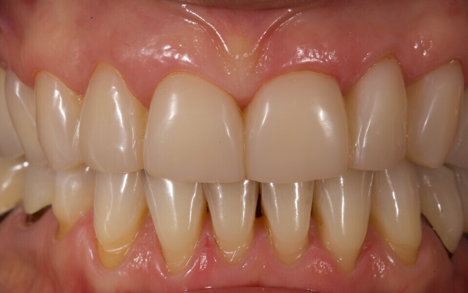
Fig. 14a: Immediate treatment outcome. Frontal view with the teeth in occlusion.
Fig. 14b: New smile.
Fig. 14c: Occlusal view.
Fig. 15a: Appearance at the six-month recall. Frontal view of the maxillary teeth.
Fig. 15b: Frontal view with the teeth in occlusion.
Conclusion
Thanks to advances in restorative materials and technological tools, it is nowadays possible to restore our patients’ smiles quickly and reproducibly. The flowable injection technique is one of the most successful examples of modern aesthetic treatments using composite resin. CLEARFIL MAJESTY ES Flow has all the qualities needed to carry out these treatments under the right conditions.
A passionate dental practitioner with a special interest in endodontics and conservative aesthetic dentistry and a well-known speaker, Dr Enzo Attanasio has...
LEGNICA, Poland: A composite restoration should be homogeneous in order to ensure the seal of the filling and its durability. However, air bubbles are a ...
A specialist in minimally invasive dentistry, Dr Michał Jaczewski graduated from Wroclaw Medical University in 2006, and today he runs his own private ...
Resin composites are wonderful restorative materials. Besides allowing for minimally invasive, defect-oriented tooth preparation, they can be modelled as ...
For many clinicians, flowable composites are seen as a useful liner or base material below stronger, packable composites or indirect restorations, or as a ...
TOKYO, Japan: In modern dental practice, there is a great need for materials that combine convenient handling and procedural efficiency with aesthetic, ...
Needing no separate primer or silane, PANAVIA SA Cement Universal simplifies the bonding of any restoration to implant abutments—thanks to its proprietary...
Dental technicians have so many different restorative materials and design and finishing concepts available to them that it can seem difficult to select the...
As a dental technician with many years of experience, Björn Roland has always pursued one goal in his lab: restorations that seamlessly mimic natural ...
HATTERSHEIM AM MAIN, Germany: Contrary to the uniformity suggested by the name, ceramic primers vary widely in composition and efficacy. Most common primers...
Education
Live webinar Wed. 11 March 2026 12:00 pm EST (New York)
To post a reply please login or register