When dental zirconia evolved into a highly aesthetic material suitable for the production of restorations with a monolithic design or minimal labial cut-back, the amount of hand work (ceramic layering) was reduced. At the same time, however, every dental laboratory needed to have more blanks available, and the need for indication-specific material selection complicated the planning process.
Some dental technicians love to play with different blanks and with a combination of automated and manual work steps to meet the patient’s and indication-specific needs exactly. Others, however, would prefer a faster and more standardised path to beauty. For the latter group, Kuraray Noritake Dental has just introduced a true all-rounder: KATANA Zirconia YML. This product is based on newly developed raw materials with different yttria content integrated into the company’s multilayer colour structure. As a consequence, KATANA Zirconia YML offers colour, translucency and strength gradation throughout the blank, resulting in an unlimited indication range.
That sounds promising, but does it really work in the laboratory and clinical environment? Are there any hidden challenges with regard to design and manufacture? And how beautiful are the outcomes? In order to assess the material’s properties in real life and to see how it performs in our hands, we decided to test it clinically in treating a complex case.
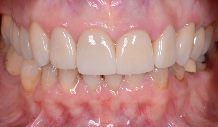
Fig. 1: Facial view of the pre-op clinical situation.
Initial situation and treatment plan
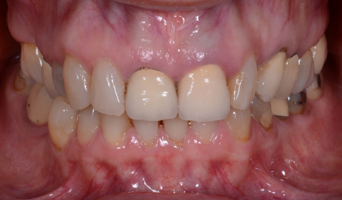
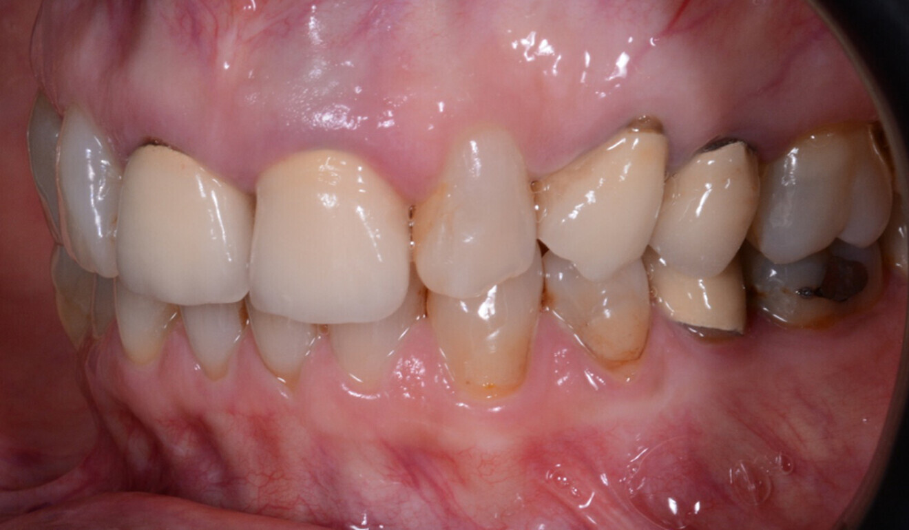
This female patient was concerned about the aesthetics of her maxillary anterior teeth (Figs. 1 & 2). Several porcelain-fused-to-metal crowns in the anterior (both central incisors) and posterior region (three premolars) had unsightly dark margins and unnaturally opaque cores. The adjacent natural teeth appeared more translucent and their look was compromised by several composite restorations with discoloured margins. A missing right first molar had caused the second molar to drift mesially (Fig. 3). In addition, the left canine was missing, but the space had been closed (Figs. 4 & 5).
All restorations in the maxilla needed to be replaced, and the patient placed great value on a long-lasting aesthetic improvement of the situation. Hence, an all-ceramic material needed to be selected. An orthodontic correction of the malocclusion prior to restorative treatment was not an option, so the restorations needed to be adjusted to the existing clinical situation. In order to provide for a smooth optical integration, we decided to use a single material for all restorations from the incisors up to the second premolars.
This was a great opportunity to put the new KATANA Zirconia YML to the test. It was planned to use the material monolithically with zero cut-back and to paint on an ultrathin layer of liquid ceramic (CERABIEN ZR FC Paste Stain; Kuraray Noritake Dental).
Fig. 2: Frontal intra-oral view of the patient’s teeth.
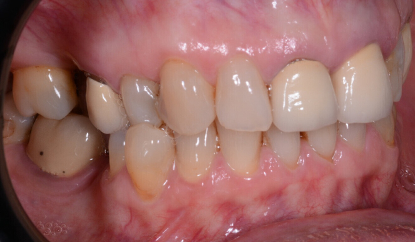
Fig. 3: Lateral view of the maxillary and mandibular right quadrants.
Fig. 4: Lateral view of the maxillary and mandibular left quadrants.
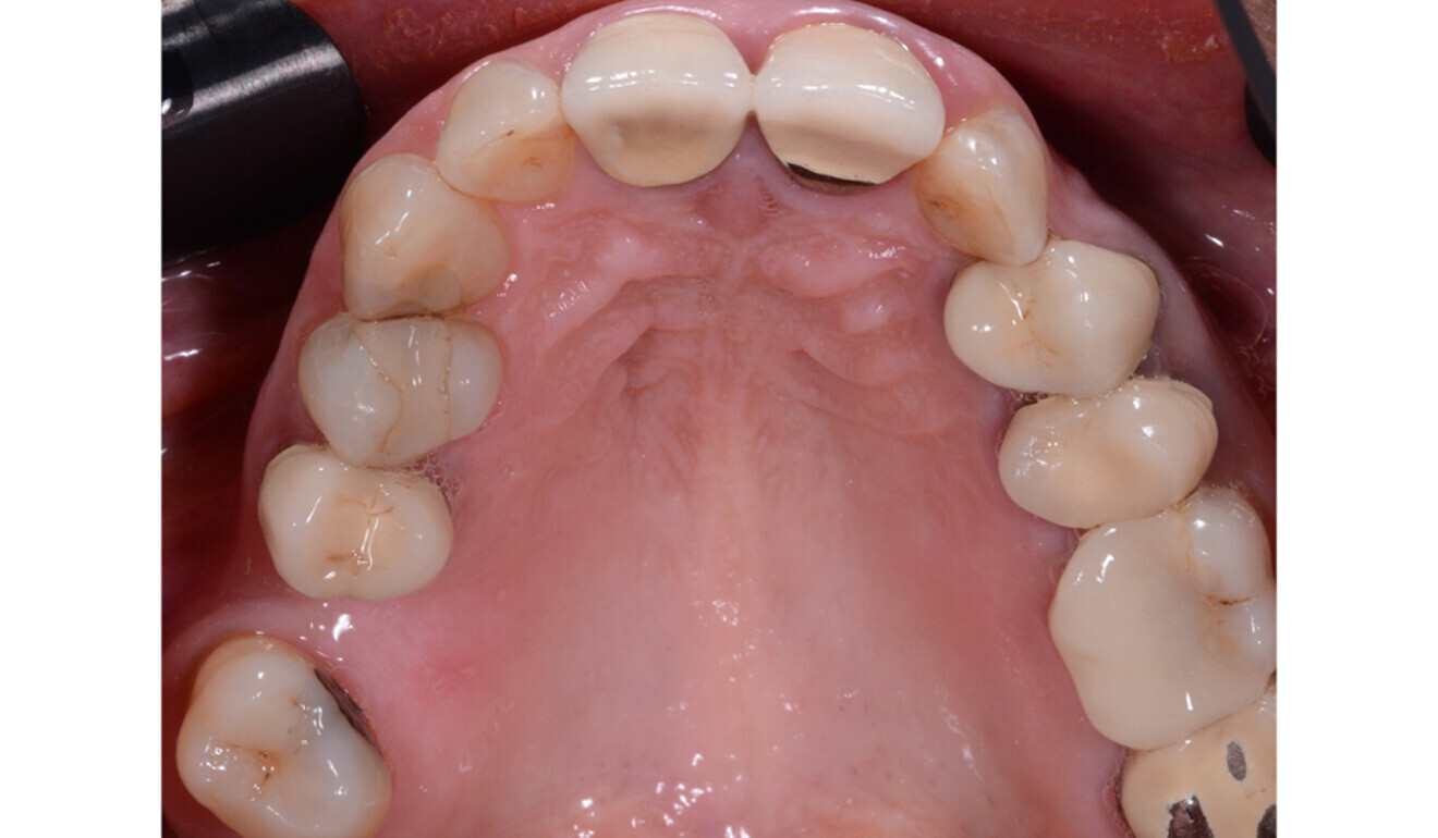
Fig. 5: Occlusal view of the maxillary teeth.
Clinical procedure
The old restorations were removed, and tooth preparation was carried out (Fig. 6). Minimally invasive removal of the structure was supported by the fact that KATANA Zirconia YML has a minimum wall thickness of just 0.4 mm in the anterior and 0.5 mm in the posterior region. A digital impression was then taken with TRIOS 3 (3Shape; Fig. 7).
The acquired data was matched with photographs of the patient’s face to design a virtual wax-up (Fig. 8) and mill a temporary restoration in the dental laboratory. The placement of this temporary restoration allowed for an aesthetic and functional assessment as well as a clinical test drive of the planned definitive restorations (Fig. 9). In this set-up, the left first premolar took over the function and shape of the missing canine. The fact that the gingival margin was slightly higher in the region of the right compared with the left central incisor did not bother the patient, so alignment (gingivectomy) was not necessary.
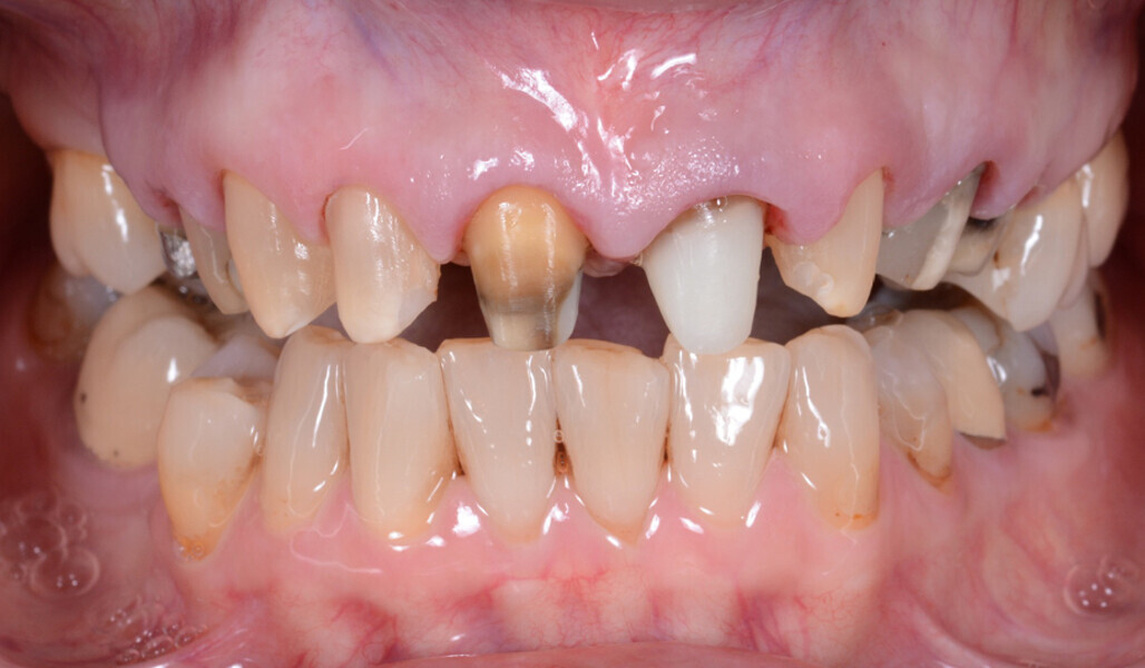
Fig. 6: Situation after tooth preparation. A heavily discoloured central incisor.
Fig. 7: Digital impression taken after tooth preparation.
Fig. 8: Smile design for the production of the temporary restoration.
Fig. 9: Temporary restoration in place.
Production of the definitive restorations
After successful completion of the test drive, a digital impression was taken with the temporary restoration in place (Fig. 10). Based on this impression and the information acquired during the test drive, four full-contour crowns, two partial crowns and one bridge were designed (Figs. 11–13). The bridge in the region of the right first premolar to first molar had a small cantilever pontic to fill the reduced space of the missing first molar.
The restorations were milled from KATANA Zirconia YML. Despite the varying levels of flexural strength within the blank, virtual positioning of the restorations in the disc is extraordinarily easy. For the restorations produced in this case, it was only necessary to respect the minimum wall thickness and connector cross section recommended by the manufacturer. When long-span restorations (with more than three units) are planned, half of the connector cross-sectional area needs to be positioned in the lower half of the blank. This is the case if a restoration is placed in the middle of the disc, independent of its size.
Fig. 10: Digital impression taken with the temporary restoration in place.
Fig. 11: CAD of the denitive restorations.
Fig. 12: Aesthetic assessment of the virtual design.
Fig. 13: Functional assessment of the virtual design.
“KATANA Zirconia YML offers colour, translucency and strength gradation throughout the blank, resulting in an unlimited indication range.”
,
Finishing
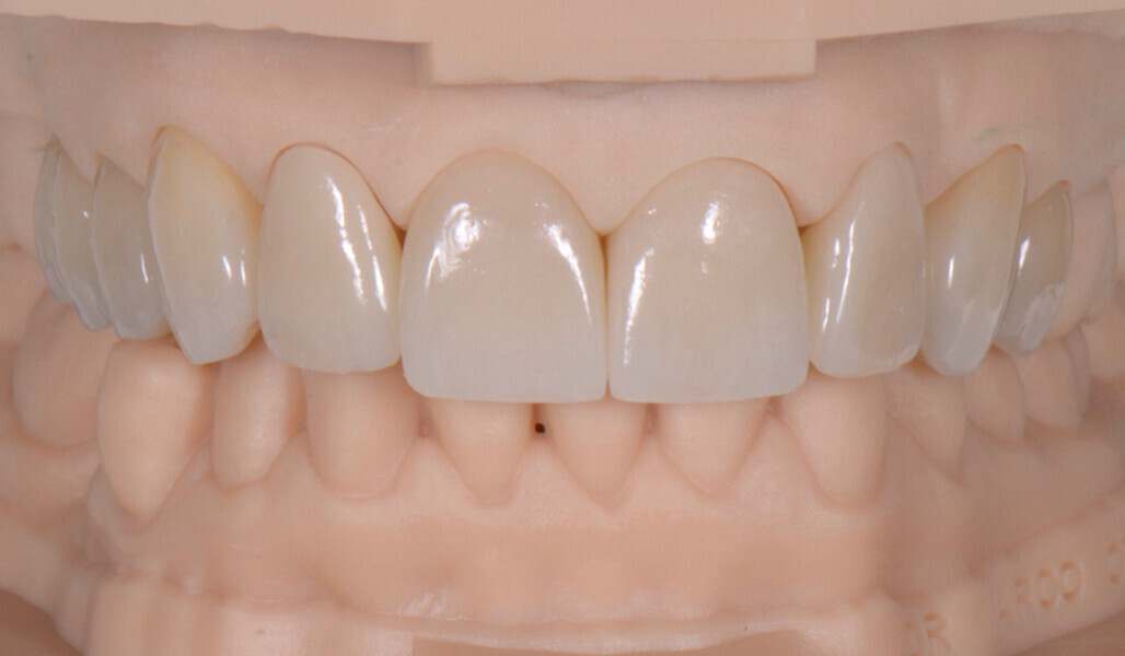
Individual textural features were added with hand instruments to the restorations before sintering (Figs. 14 & 15). A seamless multilayer structure without transition lines and with a warm body area was obtained. For an even more natural appearance, some individual effects and glaze were added using the CERABIEN ZR FC Paste Stain kit (Figs. 16–19).
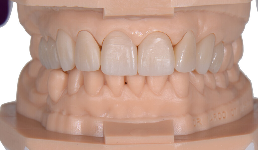
Fig. 14: Frontal view of the sintered restorations on the resin models.
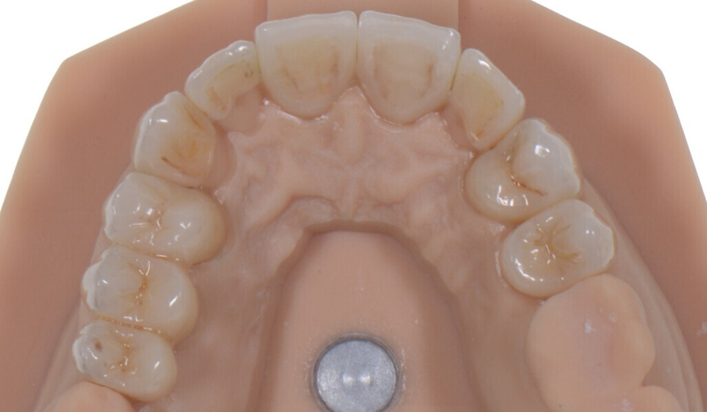
Fig. 15: Occlusal view of the restorations.
Fig. 16: Frontal view of the denitive restorations.
Fig. 17: Lateral view showing the bridge and the anterior crowns in the first quadrant.
Fig. 18: Lateral view showing the crowns in the second quadrant.
Fig. 19: Occlusal view of the lifelike restorations.
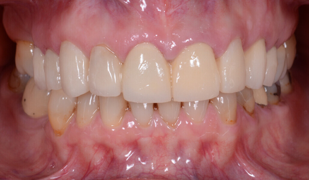
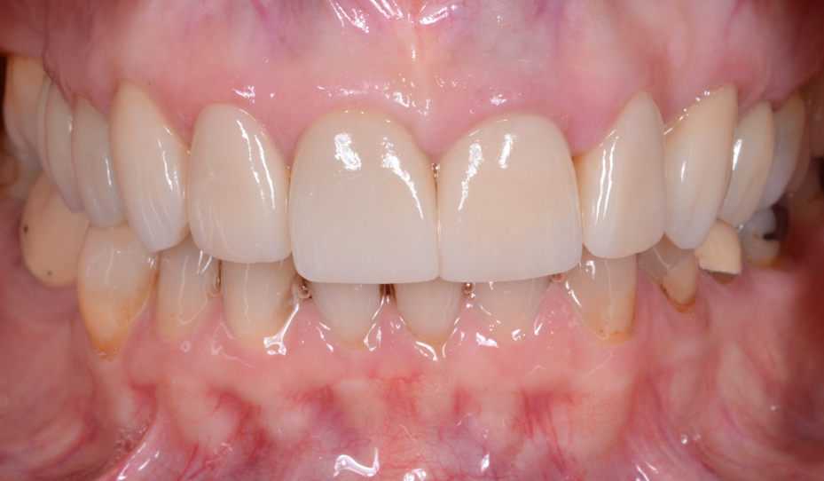
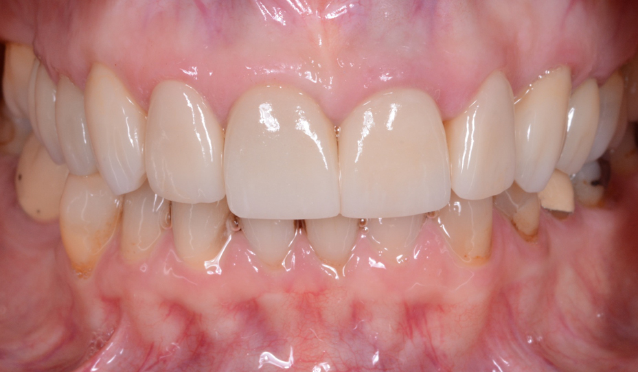
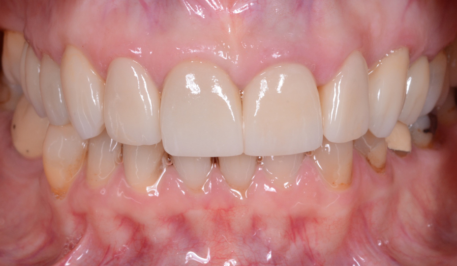
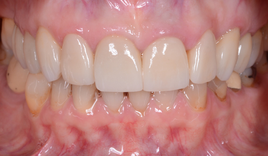
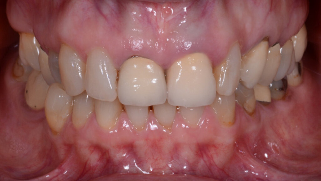
Fig. 20: Treatment outcome
Treatment outcome
The restorations were placed with the PANAVIA V5 adhesive cementation system (Kuraray Noritake Dental). The material masked the discolouration of the underlying tooth structure very well and offered nice translucency in the incisal area (Fig. 20).
A true all-rounder
Our test project confirmed that KATANA Zirconia YML is a high-quality material with great aesthetic potential and no limits with regard to the indication range. It is surprisingly easy to design and position the restorations in the virtual blank, and after milling, the surfaces are smooth, the margins are sharp and stable, and the fit is accurate. Micro-layering with paste stain is often sufficient for lively outcomes. This makes the new KATANA Zirconia YML the material of choice for anyone placing great value on a high level of automation, the standardisation of laboratory workflows, and efficient and easy procedures.
During the last decade, zirconia has increasingly become established as the material of choice in prosthodontics. Its excellent mechanical and inert ...
In 1983, Kuraray introduced the patented MDP monomer in its PANAVIA EX cement. 35 years later, MDP monomer-based resin cements have been scientifically ...
TOKYO, Japan: Dentistry is evolving rapidly, and expectations regarding restorative materials continue to rise. Today, most dental practitioners are aware ...
HATTERSHEIM AM MAIN, Germany: Using different zirconia materials owing to patient-specific needs and indications can allow for the best possible outcomes, ...
When it comes to the aesthetic performance of restorations in the anterior region, a key aspect to consider is translucency—the ability of the material to...
A female patient came to Studio Cortellini in Riccione in Italy in order to improve not just her ability to chew but also the overall aesthetic appearance ...
HATTERSHEIM AM MAIN, Germany: It is both a blessing and a curse that different zirconia materials are used depending on the indication—a blessing because ...
The advancements in zirconia in contemporary dentistry allow for a wider range of applications, including in the anterior region, and for chairside ...
IOANNINA, Greece: Numerous finishing techniques are available for zirconia-based screw-retained implant-supported prostheses; however, most of them are ...
Digital technologies for computer-aided imaging, planning, design and manufacturing are valuable tools that support dental technicians in their daily work. ...
TOKYO, Japan: Every dental practitioner aims for smooth and efficient procedures that deliver optimal patient experiences and treatment outcomes. Kuraray ...
In my experience, the cementation of glass-ceramic veneers is one of the most technique-sensitive procedures in restorative dentistry, owing to the minimal ...
To post a reply please login or register