If we ask dental patients what they expect from direct restoration treatment, they will most probably mention a quick procedure—as nobody wants to sit in a dental chair for a long time—and highly aesthetic outcomes. Reducing the treatment time is also something dental practitioners should strive for, as their own time is the most precious asset they have. Fortunately, saving time becomes easy when appropriate high-quality materials and techniques are selected, as demonstrated using the following patient case (Figs. 1–6).
The patient presented with several small carious lesions in the mandibular anterior region. In order to save time without compromising the quality of the outcomes, it was decided to opt for a simultaneous direct treatment approach involving the use of a universal adhesive (CLEARFIL Universal Bond Quick, Kuraray Noritake Dental) and a universal restorative material (CLEARFIL MAJESTY ES-2 Universal, Kuraray Noritake Dental) with a streamlined shade offering. The restorative material consists of two shades for the anterior region, which are typically applied in a single-shade approach and have optimised properties that allow for a smooth optical integration.
Fig. 1: Initial situation. Several carious lesions were evident in the mandibular anterior teeth.
Fig. 2: Situation after placement of a dental dam for moisture control.
Fig. 3: Appearance of the teeth after caries removal.
Fig. 4: Application of CLEARFIL Universal Bond Quick.
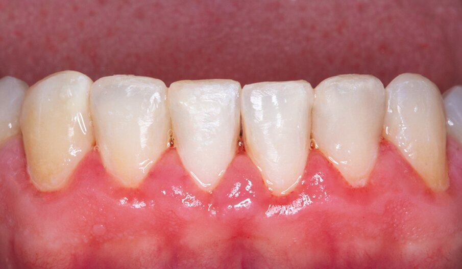
Fig. 5: Final restorations produced with CLEARFIL MAJESTY ES-2 Universal (Universal Dark shade) before finishing and polishing.
Fig. 6: Final situation after dental dam removal.
HATTERSHEIM AM MAIN, Germany: Time has always been limited in dental offices, and COVID-19 sanitisation requirements have led to even greater constraints in...
Some companies mainly make use of basic technologies developed by others to improve their products and introduce new ones, whereas others conduct ...
ANN ARBOR, Mich., US: Kuraray Noritake Dental recently launched CLEARFIL MAJESTY ES Flow Universal, a flowable composite with a simplified approach to shade...
PARIS, France: Craze lines, shape variations, age-related changes or medication-induced discoloration—every tooth is unique. Even with a specific ...
An ideal composite material should satisfy three basic requirements: function, aesthetics and biocompatibility. A member of the CLEARFIL MAJESTY family, ...
CLEARFIL MAJESTY ES-2 is a composite that allows for the effortless creation of natural-looking aesthetic restorations. The combination of its self-adaptive...
TOKYO, Japan: In evaluating the properties of a universal dental adhesive, many clinicians will consider its compatibility with various etching techniques ...
Kuraray Noritake Dental is proud to present the CLEARFIL MAJESTY family, a series of universal composites designed for reliable, natural-looking ...
A specialist in minimally invasive dentistry, Dr Michał Jaczewski graduated from Wroclaw Medical University in 2006, and today he runs his own private ...
In 1978, Kuraray Noritake Dental introduced CLEARFIL BOND SYSTEM F, the first total-etch bonding system. Through renowned products such as the CLEARFIL SE ...
MDT Andreas Chatzimpatzakis
Dr. Algimante Lošytė – Jančė
To post a reply please login or register