Search Dental Tribune

Dental News

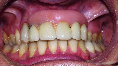
Improving the facial balance in an adult using slow arch development techniques

Anti-ageing is a branch of medicine focused on how to prevent, slow or reverse the effects of ageing, thus helping people to live longer and healthier ...

save

The complete digital implant workflow

Planmeca is known for high-tech innovations and continuous product development. The company’s powerful Planmeca Romexis software platform allows all ...

save

New study offers insights into development of complex microbial communities in oral cavity

MINNEAPOLIS, U.S.: University of Minnesota researchers have studied how oral bacteria adhere to surfaces and develop biofilms in the oral cavity. In the ...

save

Researchers find effective way to teach visually impaired children oral hygiene

BELAGAVI, India: An adapted approach is required to train children with visual impairment in oral hygiene and to motivate them to care for their teeth ...

save
advertisement

Medit - i500

Wed. 15. May 2019

Our Intraoral Scanner Delivers: Value, Efficiency, and Productivity

save

Australian elections bring oral health into focus

MELBOURNE, Australia: With the Australian elections only a few days away, many areas of societal concerns have been brought into focus, one of which is ...

save

Researchers detect lead contamination in children’s primary teeth

LOS ANGELES, U.S.: Researchers have recently examined shed primary teeth of children living near the Exide Technologies plant in Verona, California. Two ...

save

Straumann launches first season of StraumannPLAY

BASEL, Switzerland: Straumann has recently launched StraumannPLAY, a new-format digital platform, created by peers for peers and designed for sharing ...

save

Ray medical – RAYDENT Solution

Tue. 14. May 2019

Dental appliance production in your clinic

save
advertisement

Ray medical – RIOSensor

Tue. 14. May 2019

Outstanding intraoral sensor

save

Norwegian dental healthcare professionals could play greater role in snus prevention, study says

OSLO, Norway: Researchers have recently investigated attitudes and activities among dental healthcare professionals working in the public dental service ...

save

Researchers recruit Pasifika adolescents for oral health study

DUNEDIN, New Zealand: The multicultural element of New Zealand society is something that brings with it many positives, but it can also create certain ...

save
advertisement

Prof. Pier Francesco Nocini opens German–Italian congress in Verona

VERONA, Italy: On Friday, 3 May, Dr Pier Francesco Nocini, Professor of Maxillofacial Surgery at the University of Verona in Italy, opened the first ...

save

Straumann BLX implant: First human case study yields positive results for molar replacement

BASEL, Switzerland: Straumann is pleased to report the very positive results of the first human case study to track the condition and progress of a patient ...

save

Gum Health Day 2019—“Healthy gums, beautiful smile”

MADRID, Spain: Through Gum Health Day, the European Federation of Periodontology (EFP) aims to highlight the importance of keeping gingivae strong and ...

save
advertisement

Australian Labor Party pledges billions to senior dental care

MELBOURNE, Australia: The standard of oral health in Australia is well below that in many parts of the Western world, with one report showing that 90 per ...

save

Researchers use antibacterial nanoparticles to prolong dental restorations

OAK RIDGE, Tenn., U.S.: Researchers have been using neutron scattering to study how nanoparticles with antibacterial properties could be added to adhesive ...

save
advertisement

Stress levels are reflected in teeth

WASHINGTON, U.S.: Emerging evidence suggests that exfoliated teeth may be a promising biomarker for modern medicine. They are one of the few tissues in the ...

save

Case report presents rare incidence of retained tooth in nasal cavity

AARHUS, Denmark: Besides everyday diagnoses, there are some real rarities to be found in the world of medicine. This was true for a patient at the ...

save
advertisement

Study finds genetic make-up has little impact on oral health

MELBOURNE, Australia: The idea that oral health comes down to genetics can be a damaging one. According to authors of a recent study, which followed the ...

save

Finnish public dental service personnel face healthcare reform

HELSINKI, Finland: A healthcare reform will replace present healthcare and social services in Finland, which are centred on public provision, with a ...

save

New study reports issues of non-compliance with tooth whitening products

STRASBOURG, France: In a recent market surveillance study, the European Network of Official Cosmetics Control Laboratories (OCCLs) has assessed cosmetic ...

save

May 2019 is Save Your Tooth Month

CHICAGO, U.S.: The American Association of Endodontists (AAE) is devoting an entire month to celebrating saving natural teeth and recognizing the ...

save
advertisement
advertisement