Search Dental Tribune

Dental News

New study focuses on teeth outside of the mouth

GENEVA, Switzerland: Researchers from the University of Geneva (UNIGE) are seeking to learn why certain species of catfish are able to grow teeth outside ...

save

China accelerates registration process for foreign drugs and medical devices

BEIJING, China: The Chinese State Council has announced its facilitation and expediting of the approval process for overseas pharmaceuticals and medical ...

save

Planmeca takes another step towards innovative digitalisation

HELSINKI, Finland: Digitalisation is changing industries throughout the world. With a growing demand for innovative digital solutions, new technology is ...

save

Researchers investigate how chewing affects teeth on the nanoscale

FAYETTEVILLE, Ark., U.S.: Food leaves permanent traces on teeth. Examining these marks—or microwear—a team of researchers has documented the effects of ...

save

Interview: “We gain a better outcome for endodontic treatment”

A main cause of endodontic failure is the recolonisation of the poorly treated root canal system with micro-organisms. The primary goal of endodontic ...

save

Interview: Understanding sonic-powered irrigation

Thoroughly irrigating the entire root canal system—including isthmuses and lateral canals—is important for success of endodontic treatment. Research has...

save
advertisement

Launca – Spray

Mon. 30. October 2017

Higher accuracy with a light spray

save

Launca – DL-100 Intraoral Scanner

Mon. 30. October 2017

China's First Color Intraoral Scanner.Launca DL-100P has laid the foundation for the success of digital diagnosis and treatment based on its rapid and accurate impression technology. It bring the ...

save

Crown and go: Kiwi study investigates pioneering method to treat caries

WHANGANUI, New Zealand: Aiming to find a safer, more effective and faster treatment method to reduce the high prevalence of dental caries in children in New...

save

Continually growing: IDEM Singapore larger than ever in 2018

SINGAPORE: With a line-up of various events in addition to its exhibition and main scientific conference, the tenth International Dental Exhibition and ...

save

Interview: Our knowledge can benefit and strengthen the dental community

BEIJING, China: The 2017 World Dental Forum will be held on 30 and 31 October at the China World Trade Center in Beijing. The organiser, dental prosthesis ...

save
advertisement

European Commission defines scope of custom-made medical devices

BRUSSELS, Belgium: At the request of the Fédération Européenne et Internationale des Patrons Prothésistes Dentaires (FEPPD;European and international ...

save

New campaign focuses on oral health during pregnancy

BRUSSELS, Belgium: The European Federation of Periodontology (EFP) and Oral-B have launched a campaign to highlight the importance of oral health for ...

save

Optimal prophylaxis with interdental brushes

An increasing number of dental professionals are emphasising the importance of interdental brushes in primary, secondary and tertiary prophylaxis. These ...

save

Intake of caffeine may trigger sugar cravings

ITHACA, N.Y., USA: Caffeine is a powerful antagonist of adenosine receptors, which promote relaxation and sleepiness. Depressing the effect of the receptors...

save
advertisement

Women dentists now outnumber their male counterparts in Australia

SYDNEY, Australia: The latest figures out of Australia show that, for the first time in the island continent’s history, there are more women working in ...

save

Dentist awarded Australian Prime Minister’s Prize for Innovation

MELBOURNE, Australia: University of Melbourne molecular biologist Prof. Eric Reynolds has claimed the Prime Minister’s Prize for Innovation for his ...

save

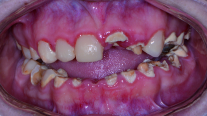
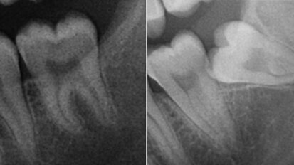
Irrigating the root canal: A case report

The patient reported on in this article is a student in dentistry and his parents are both dentists. They referred their son to a good endodontist, who then...

save
Event 02 - 03 November 2017

American College of Prosthodontists

advertisement

Rooter® S

Mon. 23. October 2017

Interview: “I know four dentists who have returned to Syria”

LEIPZIG, Germany: “Fake news” and “post-truth” might be words of the day, but for 27-year-old Syrian dentist Hassan Abdulla the actual fact is that,...

save
advertisement

Polish doctors go on hunger strike

WARSAW, Poland: Ever since Poland joined the EU in 2004, many of the country’s doctors have gone in search of better-paid work aboard. Now, in what has ...

save

EDDY cleans canals safely and effectively

MUNICH, Germany: More than two years in everyday practice and study results have proven that the EDDY sonic-activated irrigation tip by VDW cleans even ...

save

Dental Tribune set to launch its first sub-Saharan Africa edition

LEIPZIG, Germany: Dental Tribune International (DTI) is the official media partner of the third International Dental Exhibition Africa (IDEA), which is to ...

save
advertisement

Sequencing of sea cucumber genome may help with tissue regeneration

QINGDAO, China: Researchers at the Institute of Oceanology Chinese Academy of Sciences have developed a new high-definition sequence of the sea cucumber’s...

save
Event 28 February - 02 March 2018

Siberian Dental Forum

advertisement
advertisement