Search Dental Tribune

Dental Companies

Filter

Expert to discuss adhesive post-endodontic treatment in free webinar

NEW YORK, U.S.: In a free webinar to be held on Tuesday, Nov. 21, an endodontic expert will explain in detail an alternative method in post-endodontic ...

save

New research links oral health and weight issues

GOTHENBURG, Sweden: Having children eat healthily can be a tricky task. However, having found an association between the prevalence of cariogenic bacteria ...

save

3D Systems announces availability of its Figure 4 platform

DENVER, U.S.: American company 3D Systems has announced the availability of Figure 4, the industry’s first modular, scalable, fully integrated direct 3-D ...

save

Cariogenic bacteria produce substance that aids calcium tolerance

BASEL, Switzerland: In a new study at the University of Basel, researchers have investigated how cariogenic bacteria manage to survive in dental plaque, ...

save
advertisement

Protect personal data before it is too late

Dear members of all EU dental dealer associations, presidents and secretaries,

save

First issue of Dental Tribune Japan distributed at Tokyo Dental Show

TOKYO, Japan: Almost 20,000 visitors celebrated the latest in dentistry in Tokyo this past weekend. Held at Tokyo Big Sight, the city’s international ...

save

EuroPerio and Dental Tribune International renew collaboration

AMSTERDAM, Netherlands/LEIPZIG, Germany: With thousands of dental professionals expected from around the world, EuroPerio9 is set to be one of the largest ...

save

Fossil teeth trace human lineage to rat-like creature

PORTSMOUTH, UK: According to new research from the University of Portsmouth in England, fossils from the oldest mammals belonging to the line that led to ...

save

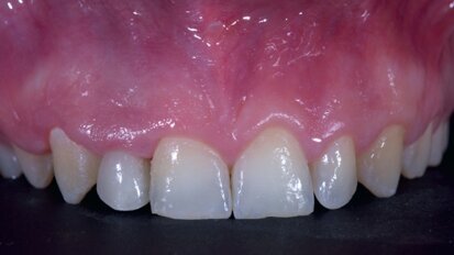
“Clinicians will be very satisfied with the bonding agent’s performance”

Before universal adhesives were available, two major techniques were used: total-etching adhesives, which basically work with phosphoric acid etching on ...

save
advertisement

Report: Policymakers given steps to act against dental caries

LONDON, UK: A new report, published last week by the Alliance for a Cavity-Free Future (ACFF) and the Policy Institute at King’s College London in the UK,...

save

Peers influence can reduce tobacco use among younger smokers

OAKLAND, Calif., U.S.: Participating in a brief intervention delivered by their peers in community settings can help reduce smoking among youth and young ...

save

Medical device regulations are on track

BRUSSELS, Belgium: In April, the European Parliament voted to implement a pair of new regulations concerning medical devices. First proposed in 2012 by the ...

save

Free webinar: Expert to lecture on implant placement in the aesthetic zone

BERLIN, Germany: Some experts now believe that in order to obtain stable results in the medium and long term, the aesthetic zone should be treated in most ...

save
advertisement

Dental filling failure linked to smoking, drinking and genetics

PITTSBURGH, U.S.: For a long time in dentistry, filling materials have been a topic of intense interest and now new research out of the U.S. and Brazil has ...

save

Parrotfish tooth research may ring in new era of biomaterial development

SINGAPORE/BERKELEY, Calif., U.S.: The achievements of science are evolving constantly. However, there are many natural wonders that humanity has not been ...

save

Dentognostics and QIAGEN confirm new partnership deal

JENA, Germany: Germany-based companies dentognostics and QIAGEN Lake Constance have recently entered into a partnership to enable use of the ImplantSafe ...

save
advertisement

A preventative approach to infection control

Periodontist and implant specialist Dr Lisa Heitz-Mayfield is very busy indeed. In addition to maintaining a specialist periodontics practice in West Perth ...

save
advertisement

Straumann moves east in new acquisition

BASEL, Switzerland: The Straumann Group has announced that it has received approval from the Turkish Competition Authority to acquire a 70 per cent stake in...

save
Event 13 - 15 April 2018

IDEM Singapore

Planmeca supports World Oral Health Day

GENEVA, Switzerland: Designed to spread a range of positive messages, including good oral hygiene habits and the importance of regular dental check-ups to ...

save
Event 05 - 07 April 2018

ICOI ASEAN Congress

advertisement

Study suggests school food environments strongly influence caries in kids

QUEBEC CITY, Canada: The occurrence of dental caries may depend in part on school-based environmental or policy-related factors, but few researchers have ...

save

Dental hygienist fired for breach of patient confidentiality

GOTLAND, Sweden: The Swedish island of Gotland has been front and centre of the refugee debate after a dental hygienist was fired for releasing the ...

save

3Shape and OrthoApnea join forces

COPENHAGEN, Denmark: 3Shape and OrthoApnea have joined digital forces, allowing dental professionals to send intra-oral scans from their 3Shape TRIOS ...

save

NYU College of Dentistry awarded $3.6 million for cavity prevention research

NEW YORK, U.S.: The National Institute on Minority Health and Health Disparities, part of the National Institutes of Health (NIH), has awarded a research ...

save
advertisement
advertisement