Search Dental Tribune

Dental News

Bone augmentation of canine frontal sinuses using a porous α-tricalcium phosphate for implant treatment

Objective: Compared with hydroxyapatite, alpha-tricalcium phosphate (α-TCP) is more biodegradable and shows better integration during physiological ...

save

Children with Type 2 diabetes more prone to poor oral health

BUFFALO, N.Y., USA: Although it is well-known that there is a link between poor oral health and diabetes, as well as prediabetes, in adults, no research has...

save

Dangerous X-ray radiation: German authorities caution Asian IDS exhibitors

COLOGNE, Germany: German authorities took radiographic units of three Asian manufacturers out of service during this year’s IDS. The devices were ...

save

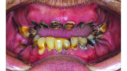
Biological and physical properties of bone block grafting biomaterials for alveolar ridge augmentation

Objective: Bone resorption of maxillary ridges is an unavoidable process that occurs after tooth extraction. Many treatment alternatives have been proposed ...

save

Replacing a failing dentition with new technology

Having the ability to take a patient from start to finish in a fewer amount of appointments within your practice allows you to position yourself as a ...

save
advertisement

Interview: “We have the skills to help alleviate the suffering of fellow humans”

Through its Clinical Masters Programs, Tribune Group offers continuing medical education (CME). In courses held all over the world, participants receive ...

save

META BIOMED at IDS 2017

Thu. 30. March 2017

Medit at IDS 2017

Thu. 30. March 2017

save
advertisement

IDS 2017 sets new record

COLOGNE, Germany: More than 155,000 people from 157 countries visited the International Dental Show (IDS) this year, according to the latest figures ...

save

Fotona unveils future of dentistry at IDS

At the 37th International Dental Show, dental laser specialiest Fotona officially announced its new Adaptive Structured Pulse (ASP) technology, a key ...

save
advertisement

Stratasys at IDS 2017

Wed. 22. March 2017

Interview: “Our new products are game-changing”

On Monday night, global leader in dental manufacturing Planmeca welcomed around 700 international distributors to its Dealer Event at the Musical Dome in ...

save
advertisement

Edelweiss presents POST & CORE and Digital Smile System

“Although a wide variety of post and core restoration technologies and materials have been introduced into the dental market, there is no consensus on...

save
advertisement

Impressions from IDS 2017

Tue. 21. March 2017

“Because you care”: W&H previews new image campaign at IDS

COLOGNE, Germany: At the W&H press event on Monday, a visibly good-humoured Managing Director Peter Malata ushered in the upcoming International Dental Show...

save

Philips introduces future of oral health care and patient care

COLOGNE, Germany: On Tuesday, oral health care provider Philips hosted its customary media breakfast at the International Dental Show (IDS) in Cologne. In ...

save

Publishers’ Meeting: DTI is becoming a digital dental service platform

COLOGNE, Germany: Over the last two days, ahead of the 37th International Dental Show, Dental Tribune International (DTI) held its 13th Annual Publishers’...

save
advertisement

Work hard, play hard: What’s on in Cologne during IDS?

COLOGNE, Germany: Next week, the International Dental Show (IDS)—not just any but the biggest event in dentistry—will be hosted in Cologne, attracting ...

save
advertisement
advertisement