Success in aesthetic dentistry relies largely on the ability to understand the patient’s chief complaint clearly and expectations in seeking dental treatment to correct an aesthetic concern and to address them as fully as possible.
Patients are increasingly demanding and may have expectations that exceed what can be achieved in reality. Moreover, aesthetics, being subjective, may not be based on the same criteria for both the patient and the dentist. Therefore, it is strongly recommended that before any elective aesthetic treatment patients be enabled to visualise the projected result with its limitations to help them understand what can realistically be achieved. Involving the patient in the decision-making process will yield invaluable information, leading to a mutually satisfying result.
Communication of the proposed restorative outcome between the patient and the dentist is essential, yet challenging. Levine [1] reports that one of the most common causes of failure in aesthetic dental treatment does not result from a technical issue but from a miscommunication between the dentist and the patient. There are various communication and diagnostic tools to help patients understand and visualise the expected aesthetic outcome, with each having its limitations. These include diagnostic wax-ups, before and after pictures of other patients, computer imaging and direct mock-ups with composite resin.
embedImagecenter("Imagecenter_1_692",692, "large");
The diagnostic wax-up is created by modifying the shape of teeth on a patient’s diagnostic cast with the application of wax and by reducing the stone as needed. It is well known that this diagnostic tool is indispensable in complex aesthetic cases. It may be very helpful even in simpler cases. The diagnostic wax-up often reveals additional necessary treatment that was not evident during the clinical exam and is a dynamic visual and functional aid in achieving predictable results. It is highly recommended that the practitioner keep one duplicated cast unaltered for future reference and for comparison when explaining the treatment plan to the patient. However, it might be difficult for the patient to envision the final result only by looking at a cast. Direct mock-up with composite resin may assist with visualisation, by the process in which composite resin is applied to the desired shape on dry and unetched teeth without application of adhesive and is therefore fully reversible.
A pilot study conducted by Dr. Dov Almog et al.[2] compared these different communication techniques in cases of diastema closure, including before and after pictures of other patients, diagnostic wax-ups, direct mock-ups using composite resin on unetched teeth and computer-imaging simulation. Twenty-four patients, 19 women and 5 men, were included in the study. Their results showed that computer-imaging simulation was the preferred method of visualisation (54.2%) followed by direct composite resin mock-up (33.3%), and before and after pictures of other patients (12.5%). No patient indicated diagnostic wax-up as his or her preferred method of visualisation. While computer-imaging simulation allows for modification of pretreatment pictures to the desired outcome, it does not take into consideration factors such as occlusion and may not be reproducible clinically. Therefore, it should be used with caution. Direct mock-up with composite resin was also preferred by patients for visualisation of expected aesthetic outcome. Direct mock-up can help in determining the correct shade for direct composite resin restorations and can serve as a practical chairside alternative to the diagnostic wax-up. It can also be used to create a lingual matrix for multilayered composite resin restorations. However, achieving the desired results with the direct mock-up can be quite time-consuming and costly with the use of composite materials as the mock-up medium.
An easy way to overcome these drawbacks while still using the same principle of applying material to teeth in a reversible manner has been described in the literature [3–6] and is called a diagnostic template or a diagnostic mock-up. It is an advantageous diagnostic tool and a great communication method to help the patient visualise the anticipated outcome in three dimensions and intra-orally, with little clinical chair time required. The diagnostic mock-up technique entails making a silicone matrix from the diagnostic wax-up and filling it with an auto-cure resin temporary material before placing it intra-orally. The diagnostic mock-up is therefore a replica of the ideal wax-up of the desired restorative outcome. It is very practical when no major enameloplasty is required, since this would not allow the placement of the silicone matrix. This technique is especially useful for diastema closure, given that closing the spaces may in some instances change the patient’s appearance dramatically.
A diagnostic mock-up is very simple to create. During the first patient visit, impressions are taken to create a diagnostic wax-up. A silicone impression is made from the diagnostic wax-up using a polyvinyl siloxane putty material to create a matrix. At the next appointment, petroleum jelly is generously applied to the patient’s teeth and surrounding gingiva and gently thinned with air. An auto-cure resin used for provisional material is placed into the silicone matrix impression and placed on the patient’s teeth until fully polymerised. The excess material is then removed at the gingival margin using a #12 blade or a flame carbide or diamond bur. The patient can immediately see and appreciate the proposed result. The diagnostic mock-up can be removed simply by detaching the material with a spoon or other hand instrument.
The value of the diagnostic mock-up cannot be overemphasised because it can be achieved very quickly and relatively inexpensively. It also provides an opportunity for the operator to verify the contours of the restorations planned with the diagnostic wax-up, as well as the occlusal plane, the length and angulation of the teeth, their relation with the upper and lower lips at rest and when the patient smiles, the phonetics and the overall shape of the teeth in relation to the patient’s face. It can easily be modified chairside as required. Moreover, the patient can see the expected result immediately and in some cases can leave the dental office with the diagnostic mock-up to show to family and friends. The diagnostic mock-up is also an invaluable tool to confirm that the dentist understands what the patient is seeking in terms of the aesthetic result, and to point out and discuss the limitations before any treatment is done, thus preventing post-treatment frustrations for both the patient and the dentist. It is therefore very helpful in cases in which a compromised outcome is expected.
The diagnostic mock-up is an integral part of diagnosis and treatment planning. It can easily be done at the appointment dedicated to discussing the treatment plan with the patient, immediately before the procedure or during bleaching appointments if the patient wishes to bleach his or her teeth prior to treatment. Most patients appreciate this option, which may enhance their motivation and cooperation, especially if the proposed treatment requires long or multiple appointments. It also can increase their confidence in the practitioner. The diagnostic mock-up as a chairside diagnostic approach enables the patient to better understand and participate in the treatment planning process and express his or her thoughts regarding the dentist’s proposed outcome.
Case reports
Case I
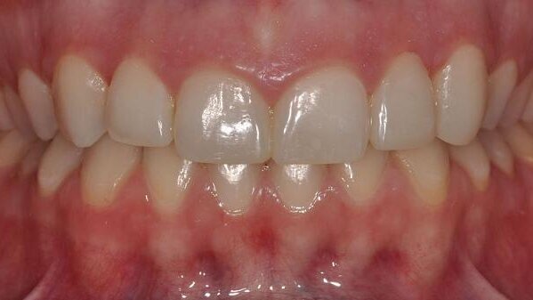
A 19-year-old female patient was concerned about her midline diastema and the misalignment of her maxillary incisors (Figs. 1 & 2). The patient had completed orthodontic treatment a few years before but the realignment relapsed. The patient refused any orthodontic treatment and was considering diastema closure and veneers. Her maxillary teeth exhibited short clinical crowns caused by altered passive eruption. Radiographs showed that the bone level was at the cemento-enamel junction. No other relevant findings or pathology was noted.
It was explained to the patient that crown lengthening was needed in order to retain the normal proportion of her maxillary incisors following diastema closure. The patient only wanted an improvement in the teeth shape and alignment and declined the periodontal surgery. It was explained that her central incisors would have a squared shape and would appear shorter and wider. In her case, a diagnostic mock-up was made in order to help her visualise the result and the limitations. Using the diagnostic wax-up (Fig. 3), a silicone putty matrix was confectioned (Fig. 4). The matrix was filled with Protemp Plus material (3M ESPE; Fig. 5) and placed on lubricated teeth. After setting of the material and removal of excess, the patient viewed the result and was pleased (Figs. 6 & 7). She did not request any modification. It was also an opportunity for the operator to evaluate the occlusal plane and it was decided to lengthen the left maxillary canine as well. Conservative treatment was then completed using Estelite Omega composite resin (Tokuyama Dental; Figs. 8 & 9).
Case II
A 12-year-old male patient presented with residual spaces post-orthodontic treatment (Figs. 10 & 11). While this case was relatively simple, a diagnostic mock-up was made in order to show the expected result to the patient and his relatives to see whether they would be satisfied (Figs. 12 & 13). Even with this relatively simple treatment, the patient and his parents were very pleased with the diagnostic mock-up and were motivated to proceed with the restorations. The treatment was completed as planned using Estelite Omega (Figs. 14 & 15).
Case III
A 28-year-old female patient presented with multiple diastemas between her maxillary anterior teeth (Figs. 16 & 17). She had recently completed orthodontic treatment to redistribute the space of a large midline diastema. At her first visit, impressions were taken to make a diagnostic wax-up. In order to respect the tooth proportion, the length of the teeth needed to be increased, which would change the appearance of her teeth considerably. At the second appointment, the treatment plan was explained to the patient using the diagnostic wax-up and the unaltered original cast. A diagnostic mock-up was then quickly made to allow the patient to visualise the anticipated result (Figs. 18 & 19). The patient was delighted and appreciated that we could show her the anticipated outcome with direct composite resin very quickly before performing the treatment. Her motivation and cooperation were noticeably increased. The facial midline, teeth length and angulation, anterior occlusal plan, the relation of the teeth with the lower lip at smile and with the upper lip at rest and the phonetics were evaluated. The treatment was realised conservatively with Estelite Omega (Figs. 20 & 21).
Conclusion
A diagnostic mock-up is an important communication tool to assist patients in envisioning the proposed result. It also facilitates a two-way discussion: one way from the patient to express his or her desire regarding the proposed outcome and the other way from the dentist to verify the contours of the restorations and to explain the limitations, thus avoiding the frustration that may result from miscommunication. The diagnostic mock-up is a fairly simple and fast procedure that can enhance the satisfaction of both patient and dentist significantly.
Editorial note: A complete list of references is available from the publisher.
Dr Robbie Hughes is a leading figure in digital dentistry, and his clinical expertise is supported by extensive postgraduate training in implantology, ...
CZĘSTOCHOWA, Poland: Pixel Clinic is a modern dental clinic in Poland with a strong focus on aesthetics and digital workflows. At the clinic, the most ...
Endodontics is a field of dentistry that requires precision and accuracy at their highest levels. The same preconditions apply to the image quality needed ...
Aesthetic dentistry has evolved from a focus on individual teeth to a comprehensive approach involving the entire perioral region. Patients increasingly ...
Dentofacial abnormalities are alterations in facial proportion and dental relationships, and such abnormalities in dental and facial appearance often lead ...
A 42-year-old male patient presented to our practice hoping to improve his smile. He was conscious of the worn dentition of the maxillary anterior sextant ...
HAIPHONG, Vietnam: A new case report has demonstrated what a conservative prosthetic pathway can achieve when a patient with a relatively complex anterior ...
A female adult patient visited our clinic with the primary concern of the aesthetics of her maxillary anterior teeth. She was particularly dissatisfied with...
As an orthodontist, I derive immense satisfaction from employing cutting-edge technologies that significantly improve treatment efficiency and patient ...
Every day in our practices, we are faced with a choice between different treatment options. Experience, scientific literature and patient preferences all ...
Live webinar
Wed. 29 April 2026
7:00 pm EST (New York)
Dr. Renato Leonardo D.M.D.
Live webinar
Thu. 30 April 2026
1:00 pm EST (New York)
Live webinar
Sun. 3 May 2026
12:00 pm EST (New York)
Dr. Rickard Brånemark MSc, MD, PhD, Dr. Robert Gottlander DDS
Live webinar
Sun. 3 May 2026
8:00 pm EST (New York)
Live webinar
Tue. 5 May 2026
10:00 am EST (New York)
Live webinar
Tue. 5 May 2026
12:00 pm EST (New York)
Live webinar
Tue. 5 May 2026
1:00 pm EST (New York)
Dr. Maximilian Dobbertin M.Sc
To post a reply please login or register