Search Dental Tribune

Tongue dysfunction therapy with Froggymouth. (All images: Antonello Francesco Pavone)

Wed. 7. August 2024

save

The prevalence of malocclusion in adults is equal to or greater than what is documented in children.1 Studies in Sweden and the Netherlands have reported a prevalence of malocclusion of 40%–76% in adults. 2, 3 A study of US Army recruits reported that 77% had some malocclusion and required orthodontic treatment, and 16% had malocclusion rated as severe or handicapping.4 Additionally, the third National Health and Nutrition Examination Survey, which included a measure of occlusal relationships in its oral health component, showed that up to two-thirds of adults had some type of malocclusion.5, 6

Frequently adult patients require an interdisciplinary full-mouth rehabilitation to achieve ideal objectives: biological tissue preservation and restoration, improvement of the oral structures, better mechanics of the masticatory system, restoration of lost function and refinement of aesthetics. Orthodontic therapy plays a crucial role in significantly enhancing the dentition and creating a suitable foundation for the subsequent restorative treatment.

Not all cases of tooth malalignment can be effectively corrected through restorative procedures alone. Hence, the restorer will not always be able to rehabilitate misaligned teeth and inter-arch incoherence to obtain an adequate compromise between structure, biology, aesthetics and function without orthodontics. Conversely, since the anatomy of teeth cannot be modified orthodontically, orthodontics alone cannot create perfect occlusion in mouths with teeth with congenital or acquired defects.7 Subsequently, synergy between orthodontics and restorative dentistry is fundamental.

Most occlusal dysmorphism is due to tongue dysfunction and altered tongue posture. Thus, it is essential at the beginning of an interdisciplinary plan to undertake swallowing rehabilitation to make orthodontic treatment easier and to reduce future relapse.8, 9

Physiology

In the oral cavity, we must consider three groups of muscles in terms of function: the tongue muscles, perioral muscles and masticatory muscles. These three groups interact for sucking, swallowing, breathing, incision and mastication, speaking, etc. Intrauterine life and the initial phase of newborn life demonstrate that the tongue and the perioral muscles, involved in activities such as sucking, swallowing and breathing, achieve competence before the masticatory muscles.

After birth, the newborn sucks milk by pushing the tongue forwards and backwards between the dental arches and activating the perioral muscles to create a vacuum necessary to send the saliva or milk back to the oropharynx with pharyngeal propulsion. In this way, the newborn develops mandibular growth thanks to this antero-posterior propulsion.

After eruption of the primary dentition, swallowing evolves towards a new dynamic: teeth close in maximal intercuspation, and the tongue pushes upwards against the anterior palate and then with a posteriorly directed peristaltic movement moves the bolus or saliva towards the oropharynx. The tongue pushes the food laterally between the dental arches during mastication until the bolus is developed. The tongue and perioral muscles need to swallow, suck, speak, and move and manage the food during mastication. They push food towards the occlusal tables at the end of each masticatory cycle. Swallowing against the palate and alternating unilateral mastication allow the palate and maxilla to expand and develop correctly into an ideal Angle Class I molar relationship during childhood.10–14

The correct oral posture is fundamental to defining tooth alignment within the dental arches. This applies to both dynamic function, which is very important for the development of the oral cavity, and static posture. In order to develop ideally, the jaws and teeth require maintenance of the correct oral posture for 4–8 hours a day of the tongue on the palate, the lips sealed and the teeth in resting position.15 The static tonus of the tongue and perioral muscles define the position of the teeth even more than their dynamic action. Light forces are fundamental for the position of the teeth within the dental arches. Tongue posture must be against the palate in adulthood.

The major primary factors in the dental equilibrium appear to be resting pressures of the tongue and lips, and forces created within the periodontal membrane, analogous to the forces of eruption.16, 17 The tongue and perioral muscles together determine the neutral zone: the corridor in which the teeth line up in positional balance.18–20 Mastication, swallowing, breathing and phonation are praxes that constantly interact and influence one another. Thus, a dysfunction in one of them is enough to disrupt all the praxes of the orofacial sphere.

Swallowing and masticatory dysfunction

Tongue dysfunction is a common issue observed in adult patients, atypical swallowing being the most considered type. Atypical swallowing is the persistence of infantile swallowing in adulthood. The prevalence of atypical swallowing varies between 30% and 50% of the population, and atypical swallowing is linked to other problems of orofacial habits, such as breastfeeding, digit sucking and lip sucking.21–24

Atypical swallowing is frequently related to open bite increasing over time and appears in adult patients with all its consequences. In open bite, the tongue is pushed between the anterior teeth during swallowing, and interposition is progressive.

Tongue dysfunction encompasses a wider range of dynamic and static alterations, creating several dysmorphisms, such as:
  • crowding;
  • open bite;
  • jaw shrinkage;25–29
  • edge-to-edge articulation;
  • pseudoprognathism and Class III molar relationships;
  • anterior crossbite;
  • lateral crossbite;
  • deep bite;
  • mandibular lateral displacement;20, 30, 31 and
  • anterior constriction.32–34
Tongue posture alteration, atypical swallowing and perioral muscle dysfunction from birth result in the development of jaw and dental dysmorphism. The masticatory muscles then reinforce functional alteration. Once altered during development, the oral cavity grows, matures and ages, progressively worsening the peculiar and groupable morphotypes (Figs. 1–5).

Static characteristics described by Mew are useful for classifying physiological and pathological morphology of development in children, as well as for anticipating or explaining altered evolution in adult patients (Fig. 6).15 Dynamic characteristics to be considered are the following:

  1. physiological swallowing and correct posture of the tongue: good occlusion and inter-arch coherence;
  2. tongue posture not completely against the palate and different degrees of atypical swallowing, producing progressive crowding;
  3. atypical swallowing and tongue against or between the anterior teeth at rest: open bite or Class II malocclusion (frequently associated with lip impingement);
  4. progressive tongue thrust and lower tongue posture push the mandible until: anterior constriction, edge-toedge articulation to the point of anterior crossbite and Class III malocclusion;
  5. prevalence of bilateral propulsion: different degrees of deep curve of Spee and deep bite, as well as bilateral crossbite—the degree depends also on the strength of the perioral and masticatory muscles (the perioral muscles close the lips hermetically during swallowing, provoking the palato-version of anterior teeth; Class II malocclusion); and
  6. prevalence of unilateral propulsion: different degrees of asymmetry of the curve of Spee and mandibular lateral displacement tendency to the point of unilateral crossbite.
Fig. 6: Mew classification based on tongue positioning.15

Fig. 6: Mew classification based on tongue positioning.15

Classifications are limiting. However, classification allows us to make a diagnosis of dysmorphism due to dysfunction of the tongue and perioral muscles. Therapy will thus be oriented to correcting the altered way of swallowing and eliminating parafunctional habits, such as digit sucking.

Occlusal inter-arch incoherence developed during growth becomes worse during ageing. Different types of compensatory eruption due to wear over time participate in the altered rearrangement of the dentition.

In deep bite patients, the tongue produces a lateral impingement between the posterior teeth (normally distal to the canine) during swallowing and at rest. This functional alteration increases the curve of Spee. These patients do not occlude their posterior teeth during swallowing because they interpose the tongue. Consequently, they need to strongly close the lips to create negative pressure to move the saliva or bolus to the pharynx and not out of the mouth. The perioral muscles closing the lips and pushing against the anterior teeth create palato-version of the anterior teeth. Posteriorly, the vacuum effect produces tongue indentations and mirror indentations on the cheeks (Fig. 7).

Fig. 7: Tongue indentations due to vacuum effect during atypical swallowing.

Fig. 7: Tongue indentations due to vacuum effect during atypical swallowing.

Anterior constriction, edge-to-edge articulation, pseudoprognathism and Class III malocclusion are also epigenetically due to tongue and perioral muscle dysfunction, causing arch dysmorphism. In these cases, the tongue posture consistently remains lower than the normal position between the arches and even below the occlusal plane, exerting pressure on the mandible and encouraging epigenetic development. Various degrees of crowding are associated with tongue dysfunction, particularly with gradual downward tongue posture, especially during rest.

Tongue or swallowing dysfunction can cause a number of problems to the patient. The earlier we intervene, the better it will be for the masticatory system.35, 36 Swallowing dysfunction in adults is caused by:

  • malocclusion and jaw dysmorphism;
  • flaring and diastema of anterior teeth;
  • temporomandibular dysfunction due to distalisation of the mandible and overload of the temporomandibular joints (TMJs) during swallowing;
  • dysphagia and inadequate mastication to the point of risk of choking or drowning;
  • breathing problems, mouth breathing, obstructive sleep apnoea and sleep-disordered breathing;
  • trauma to anterior teeth;
  • substantial calculus in the anterior area and periodontal disease;
  • phonation problems such as dyslalia and spitting;
  • labial cheilitis and skin wrinkles in the perioral region; and
  • orthodontic relapse.

Tongue functional analysis

Whenever we need to rehabilitate an adult patient, we recommend conducting a comprehensive assessment that goes beyond just examining teeth, periodontal condition and TMJ function. It is crucial to also analyse the patient’s mastication and osteopathic situation related to the jaw and surrounding structure. Additionally, evaluating swallowing patterns and the posture of the tongue is essential for a thorough understanding of the patient’s overall oral health and function.

Questions on how the patient swallows and where the tongue is at rest are preliminary to the clinical examination. We then ask the patient to swallow independently and seek to detect whether the perioral contraction is excessive, evident from pursed lips. Perioral contraction during swallowing is a typical sign of swallowing dysfunction. We then ask the patient to try to swallow with the lips open. This is very difficult for an atypical swallower. We can detect the interposition of the tongue during swallowing by gently opening the patient’s lips or with a mouth opener. However, this diagnostic procedure can disturb the natural function. It is also very important to analyse the tongue posture at rest, both by asking the patient to put the tongue in the resting position and by asking the patient to relax the mouth and gently opening the lips to try to detect the resting position. In cases of deep bite, when capturing intra-oral photographs, we can try to observe lateral tongue interposition. We can assume the presence of tongue dysfunction if we observe tongue indentations and/or the other problems listed earlier.

Fig. 8: Froggymouth, which is adapted to the lips of the patient.

Fig. 8: Froggymouth, which is adapted to the lips of the patient.

Fig. 9: Ri.P.A.Ra. lingual ring.

Fig. 9: Ri.P.A.Ra. lingual ring.

Figs. 10a & b: Silicone masticatory tools and cotton roll for masticatory cycle recovery training.

Figs. 10a & b: Silicone masticatory tools and cotton roll for masticatory cycle recovery training.

Fig. 10b

Fig. 10b

Rehabilitation process

We begin with swallowing rehabilitation with Froggymouth. Froggymouth must be worn for 20 minutes per day for a minimum of 21 days continuously (Fig. 8). We must also help the patient to get rid of bad oral habits. Simultaneously, we must decondition the masticatory muscles and relieve the TMJs with an occlusal device. The Ri.P.A.Ra. lingual ring can be used as a night guard before and during treatment, as well as for physiotherapeutic exercises and osteopathic treatment (Fig. 9).37

Caries restoration and periodontal treatments prepare the patient for orthodontic treatment. We then realign the teeth within the dental arches with aligners. During the orthodontic treatment, we can perform bone augmentation and implant treatment.

At the end of the orthodontic treatment, we can restore the teeth and implants. This part of the rehabilitation we consider dental anti-ageing resurfacing. It can involve new prosthetic or restorative forms of the teeth and finally improve the occlusion.

The last phase of the rehabilitation is to teach the patient to chew with cotton rolls, chewing gum, hard food and silicone masticatory tools (Fig. 10). This rehabilitation could start even during the orthodontic phase. In fact, using masticatory sticks could not only be fundamental for learning to chew correctly but also stimulate periodontal support and improve the efficacy of the aligners.

Case report

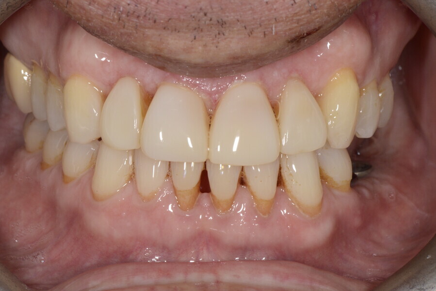
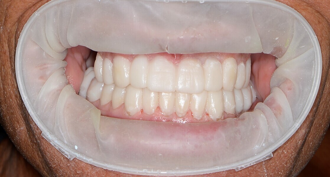
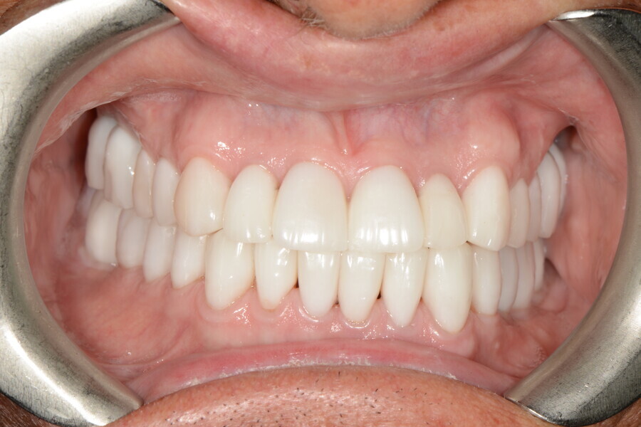
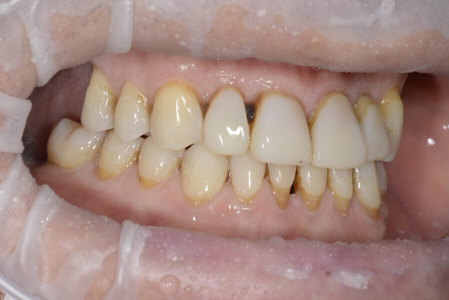
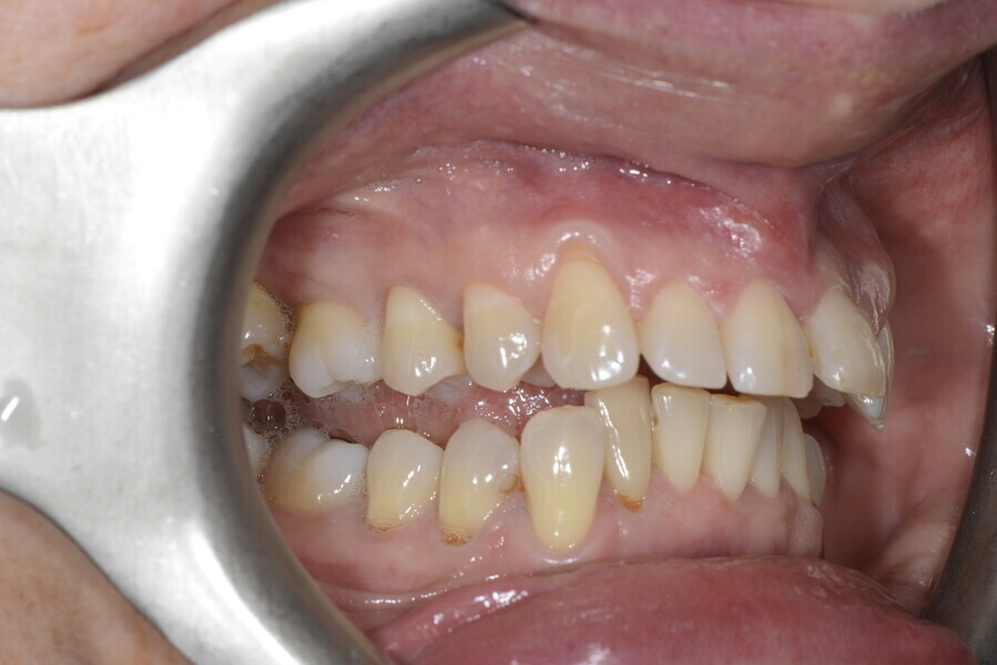
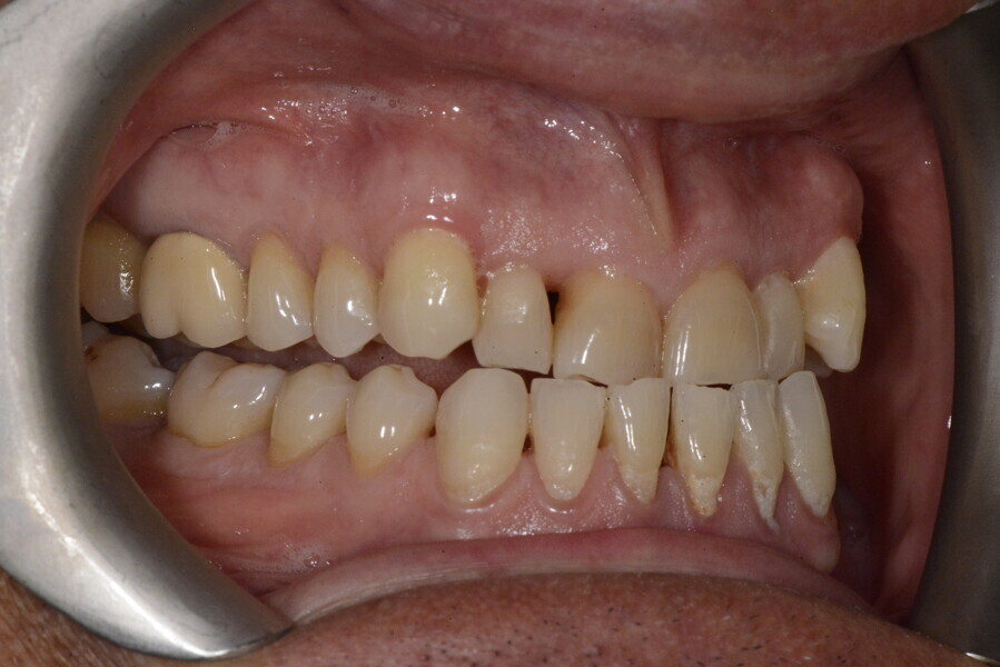
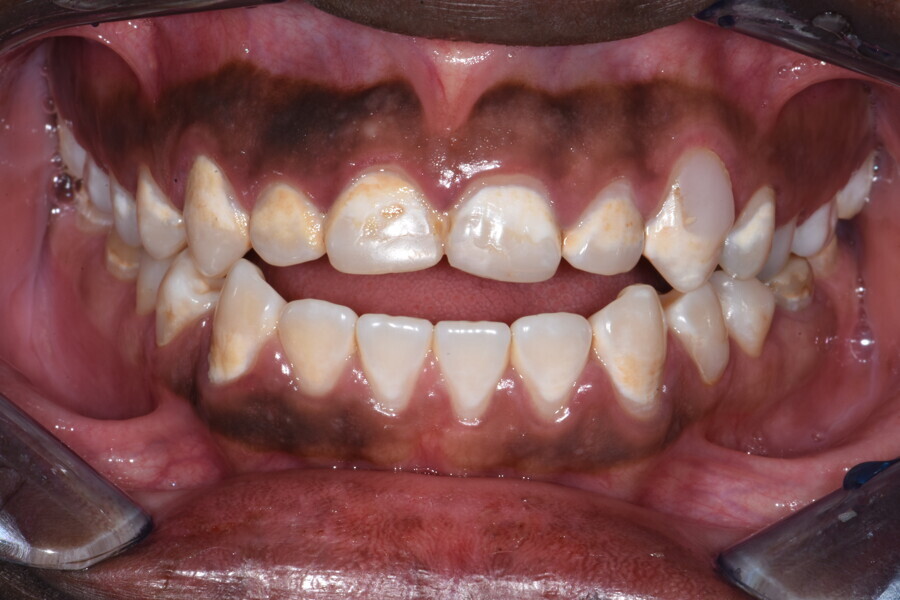
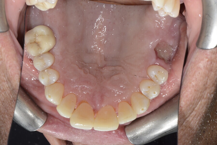
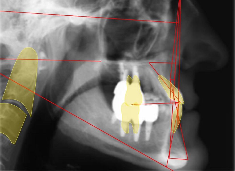
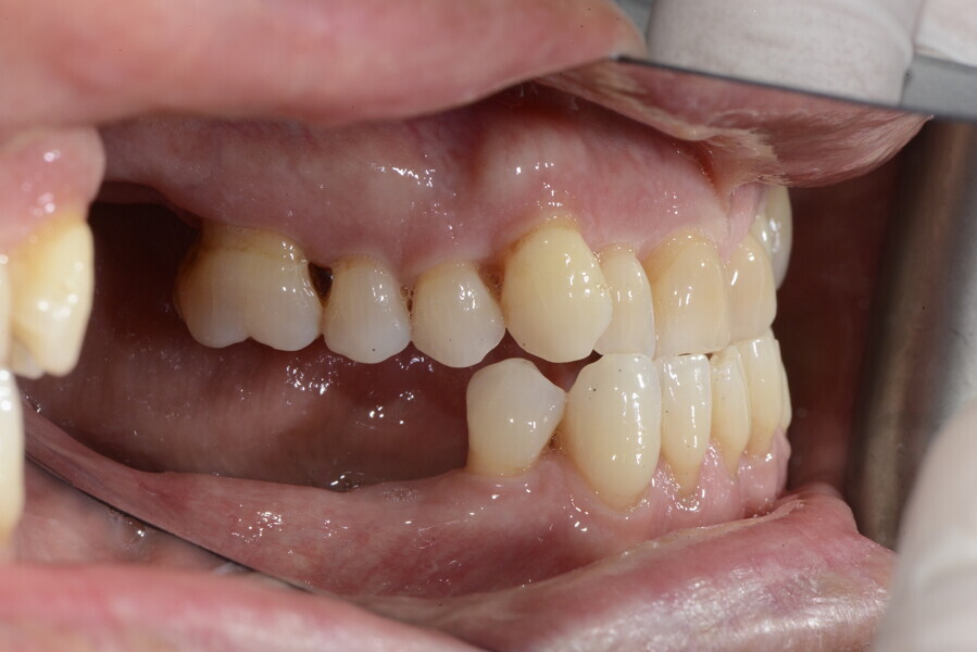
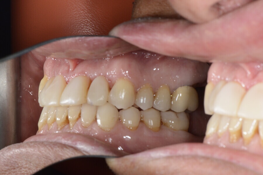
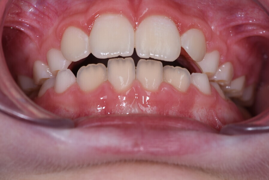
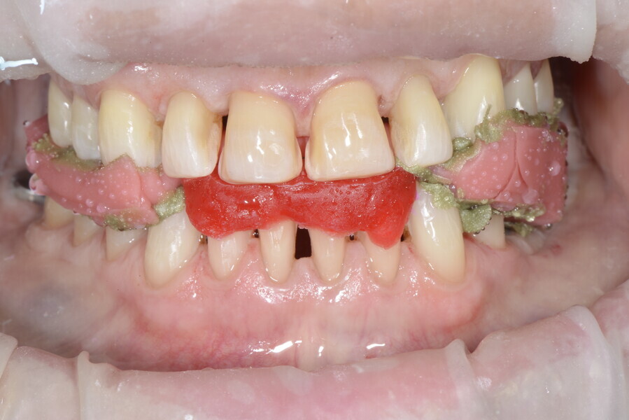
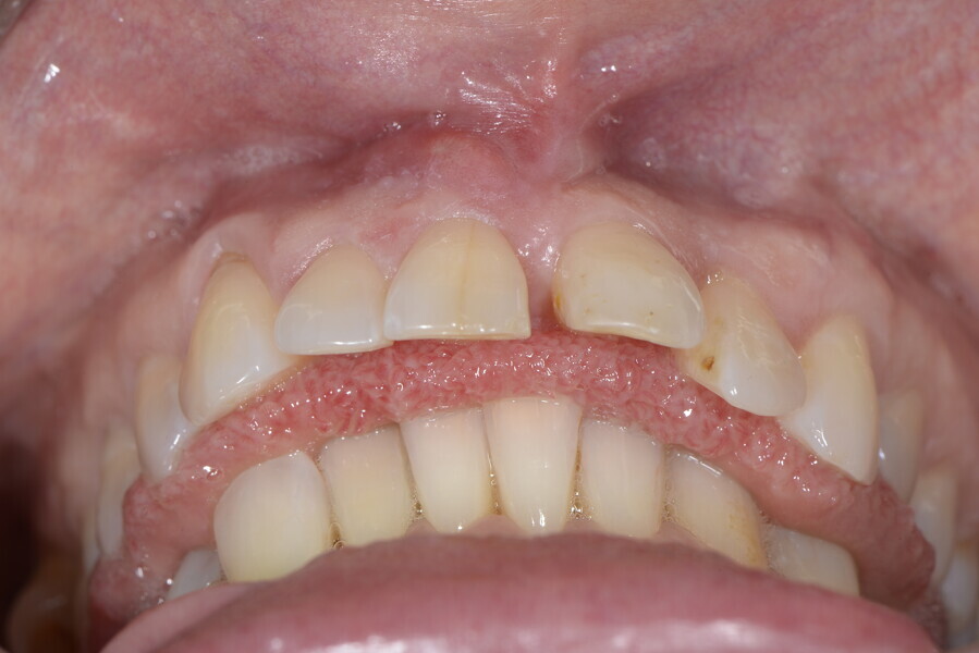
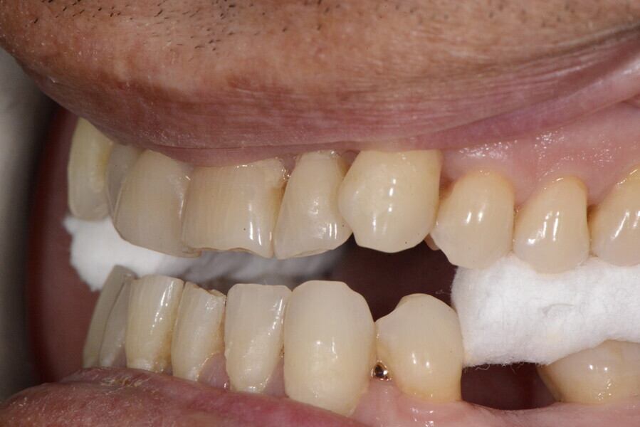
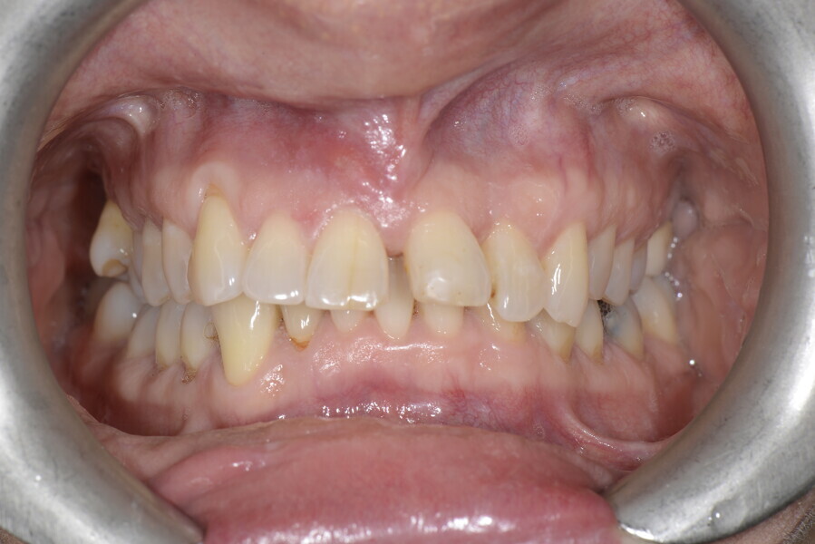
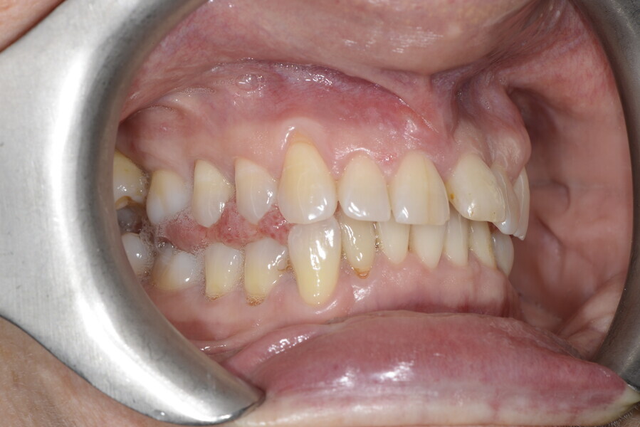
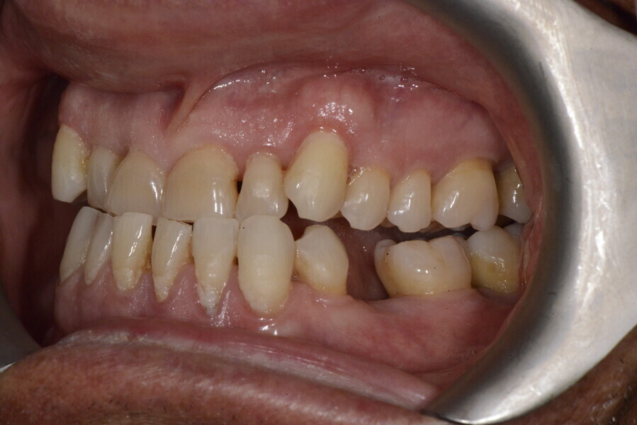
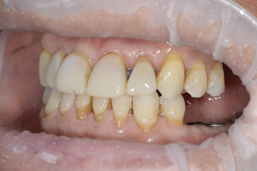
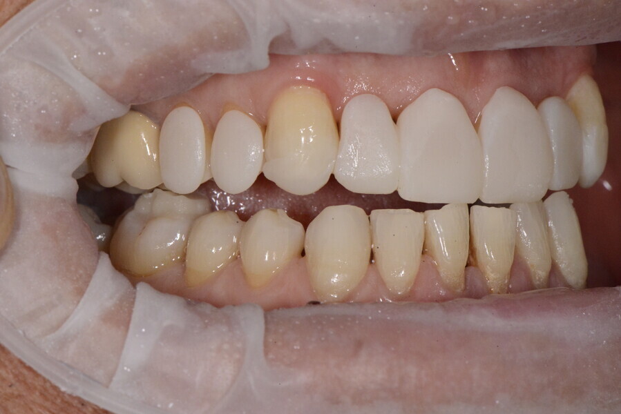
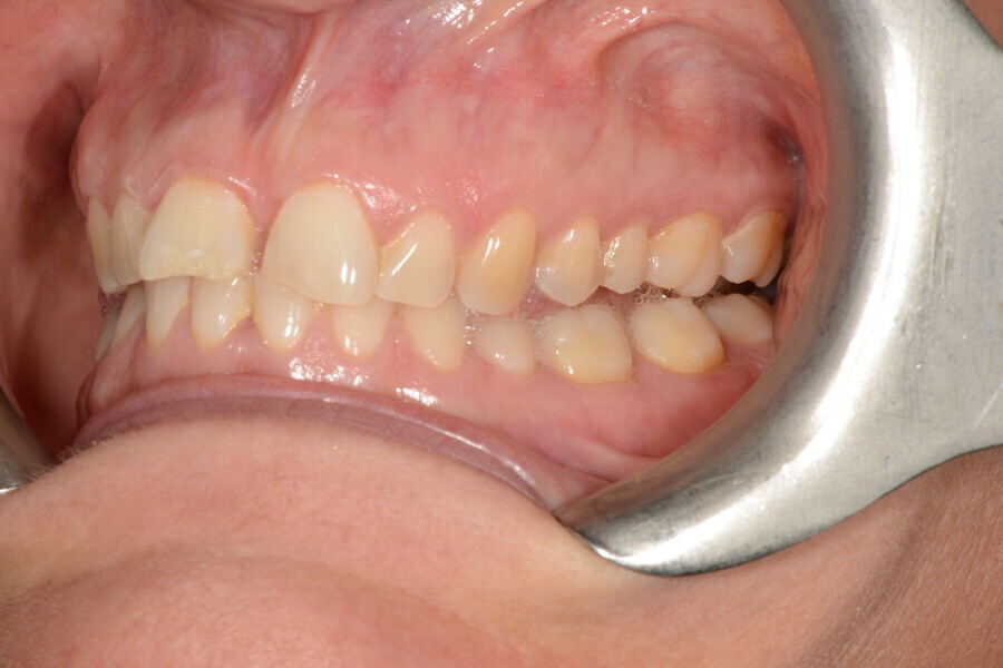
The 58-year-old patient wished to improve his oral aesthetics and function, complaining of mobility of the posterior teeth and wear of the anterior teeth. After data collection, a very complex situation was identified (Figs. 11–13):
  1. severe periodontitis with poor prognosis of some teeth;
  2. anterior crossbite;
  3. severe wear mainly of the anterior teeth and compensatory eruption;38
  4. atypical swallowing and lower posture of the tongue at rest;
  5. masticatory dysfunction during the mastication test; and
  6. no significant signs of temporomandibular disorder.
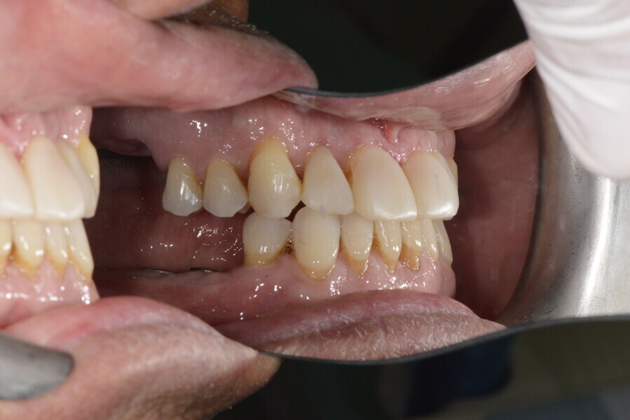
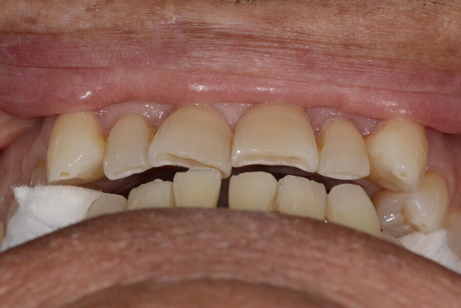
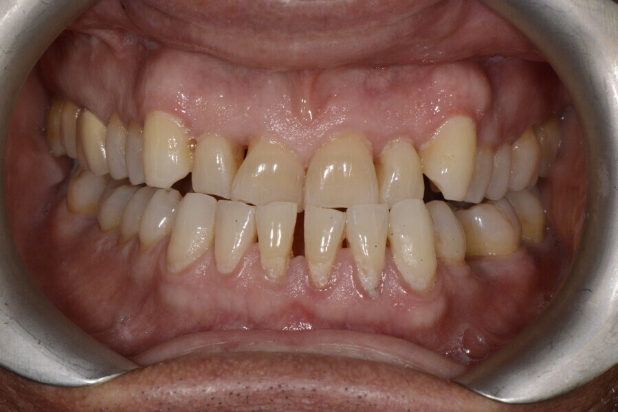
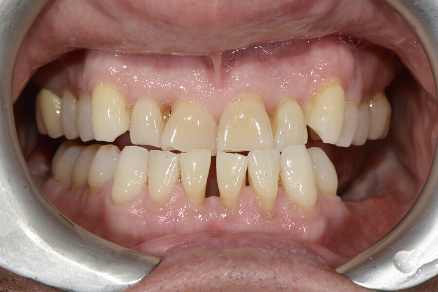
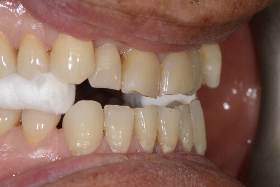
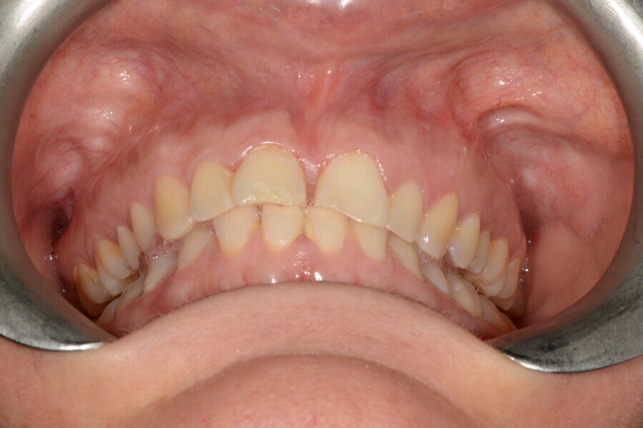
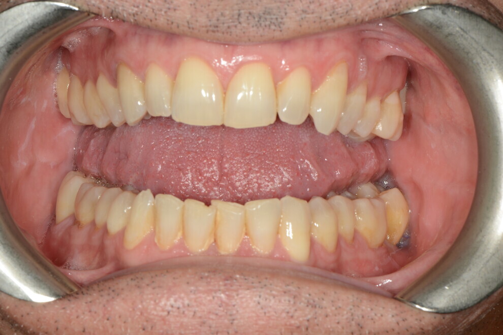
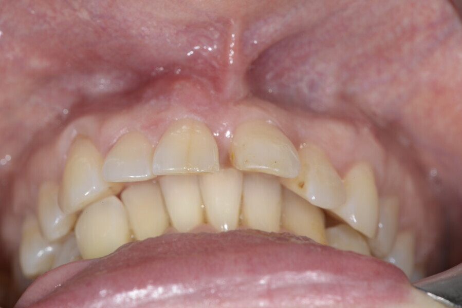
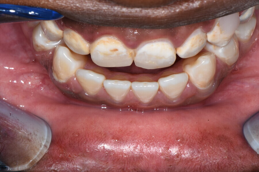
During the first visit, we checked the centric relation with cotton rolls, eliminating the posterior mesialising precontact and then performed a direct composite aesthetic and functional mock-up in this new position, not only to motivate the patient regarding the final result but also to help him understand better overall why tongue therapy, tooth alignment and dental resurfacing for augmentation of the vertical dimension of occlusion were required (Figs. 14 & 15).
The sequence of treatment would be:
  1. tongue dysfunction therapy with Froggymouth (Fig. 16);
  2. muscular deconditioning and TMJ relief with a Ri.P.A.Ra. device;37
  3. aetiological periodontal therapy and extraction of the teeth with a poor prognosis;
  4. realignment of the teeth with aligners;
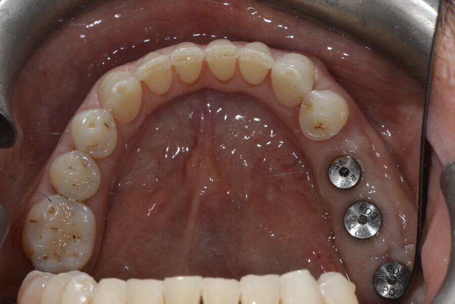
  5. sinus lift for bone regeneration and implant placement with periodontal surgery where needed; and
  6. ceramic veneers in the anterior area and crowns on the implants in the posterior area.
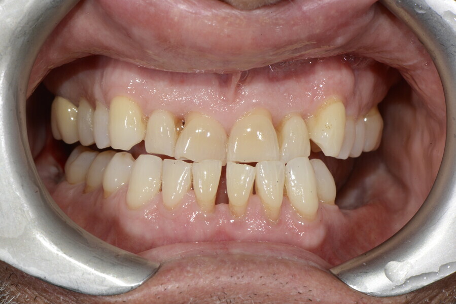
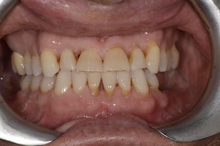
This patient, like all patients requiring interdisciplinary rehabilitation, had to first undergo periodontal treatment and caries restoration (Fig. 17). At the same time, it was important to rehabilitate swallowing with Froggymouth and relax the masticatory muscles and relieve the TMJs with an occlusal device. We could then study the orthodontic treatment plan using Invisalign ClinCheck (Align Technology) and showed the treatment plan to the interdisciplinary team and to the patient (Fig. 18). We were then able to create the correct sequence of orthodontic treatment, bone augmentation and implant surgery needed for the posterior edentulous spaces.
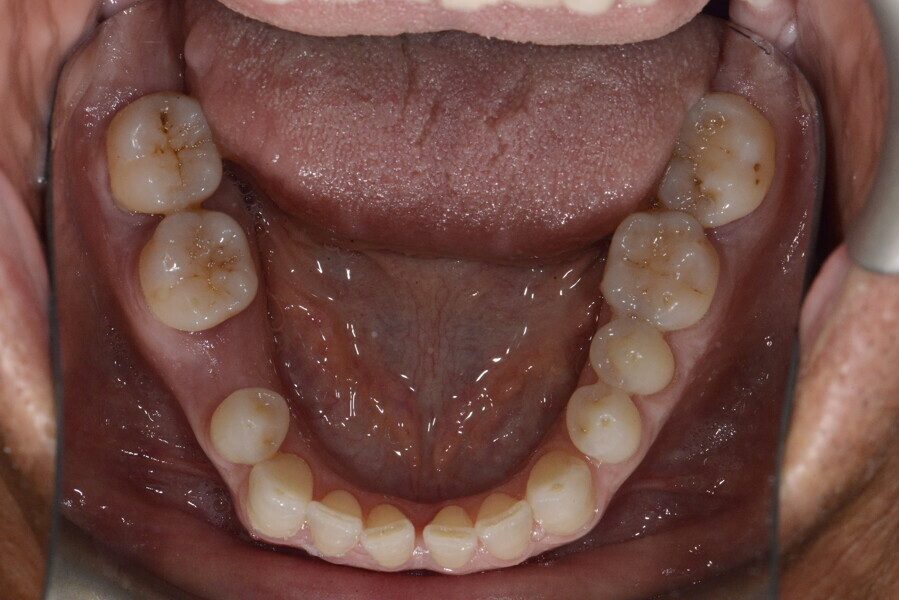
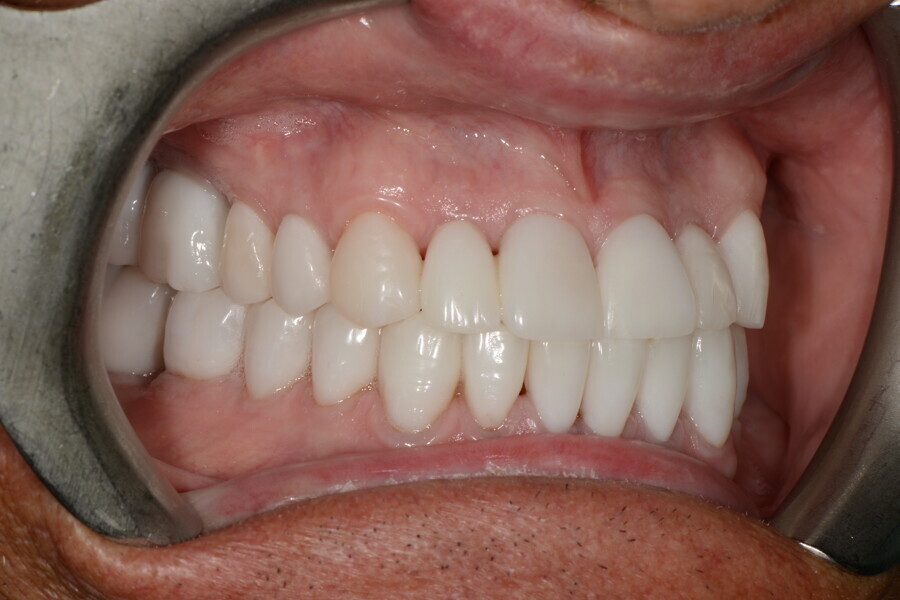
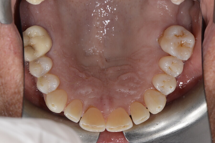
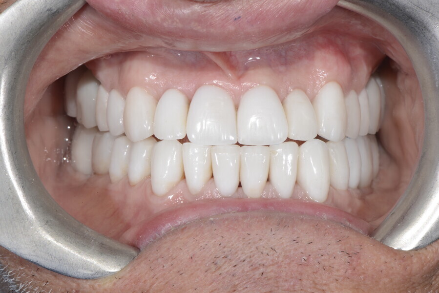
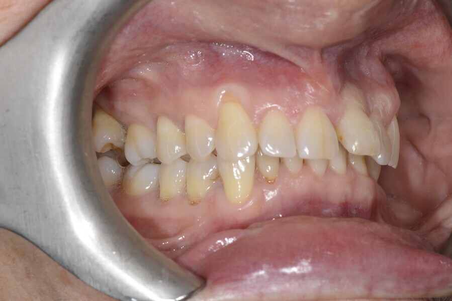
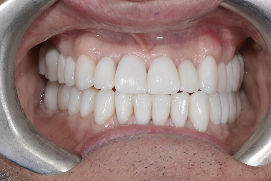
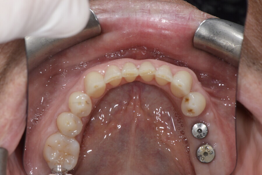
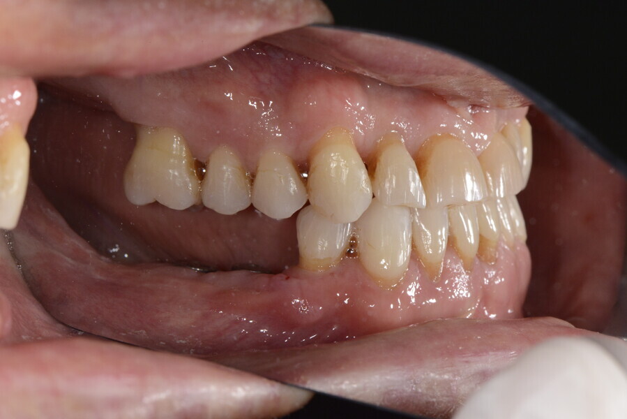
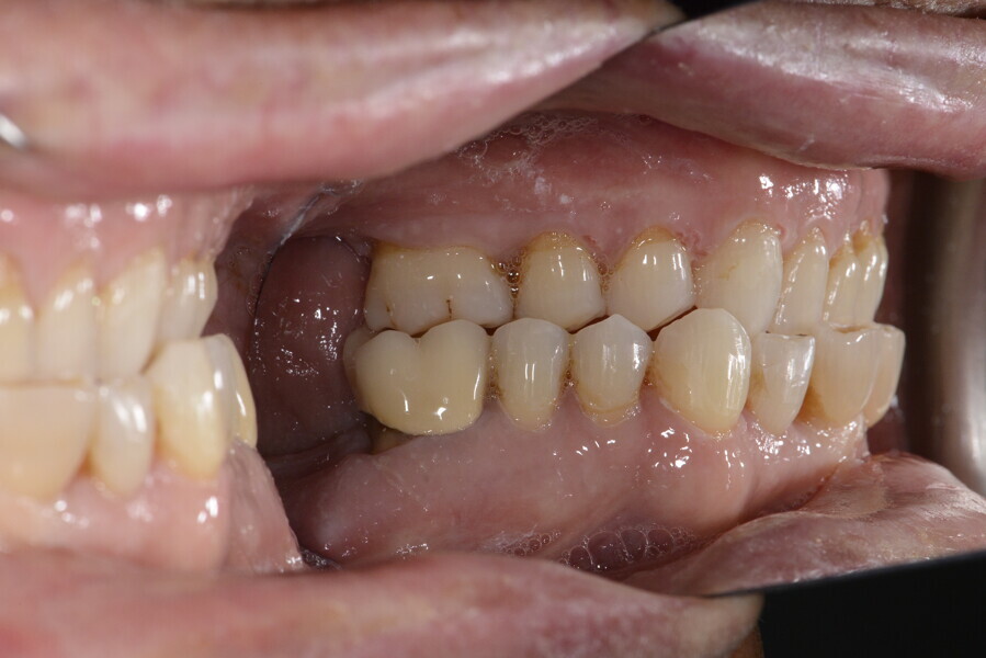
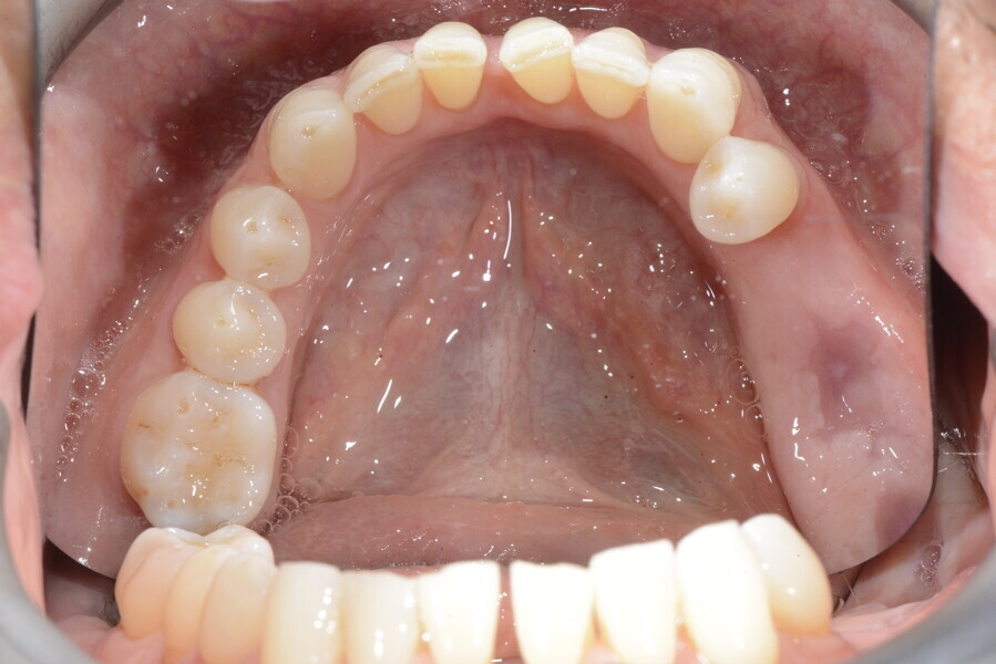
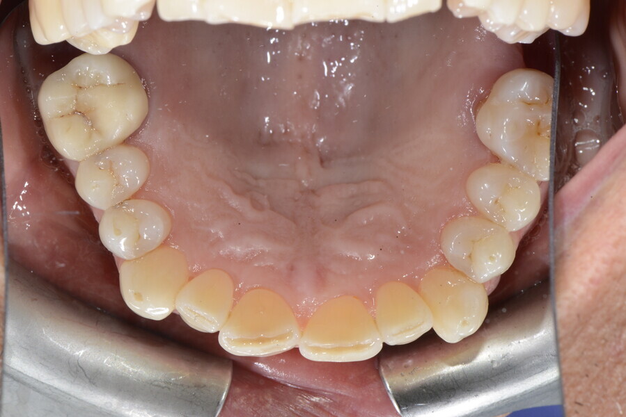
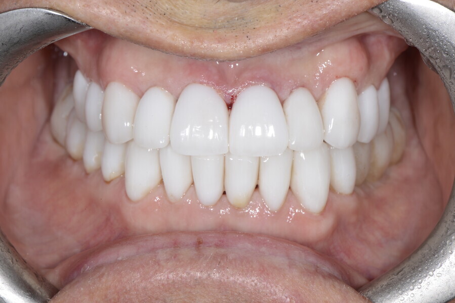
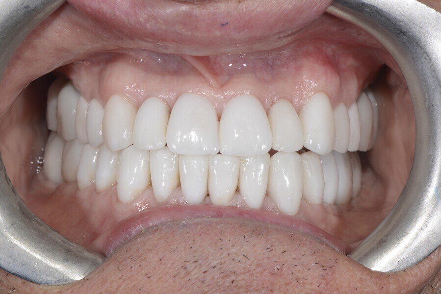
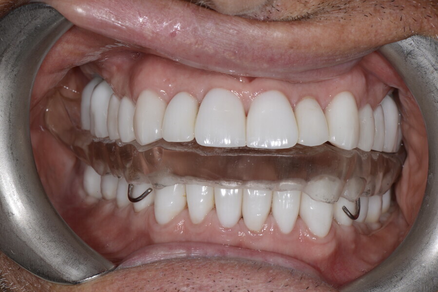
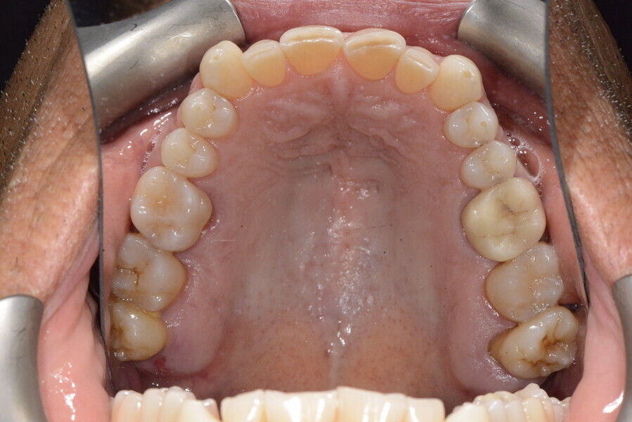
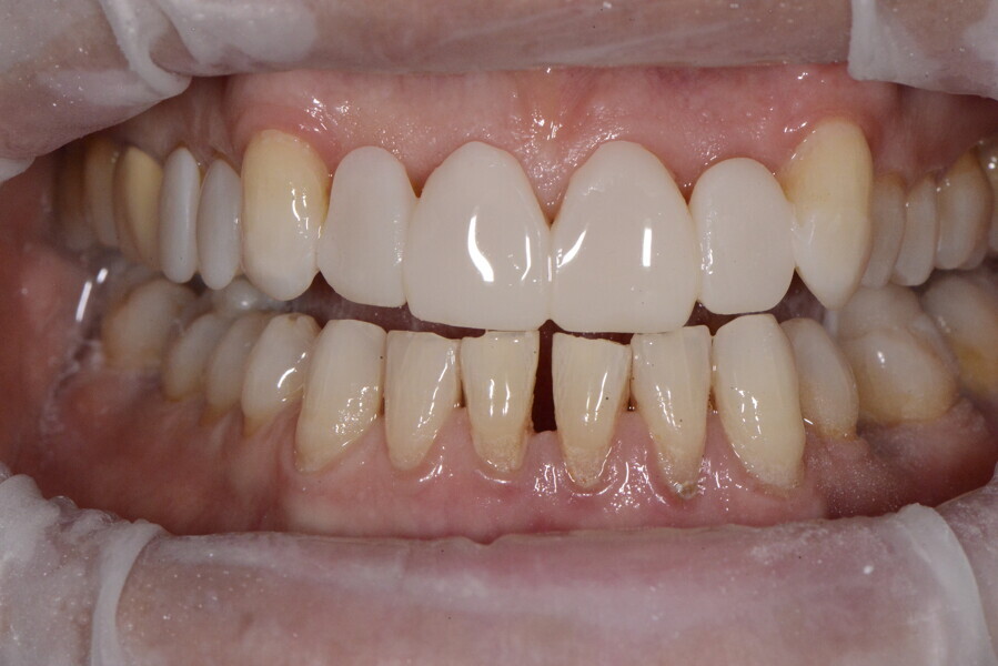
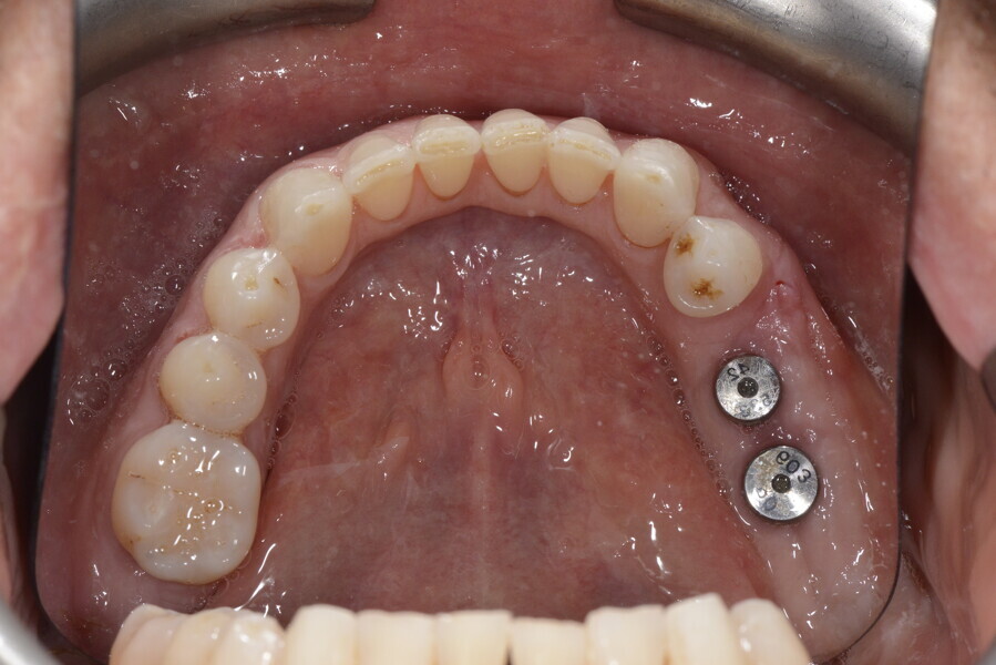
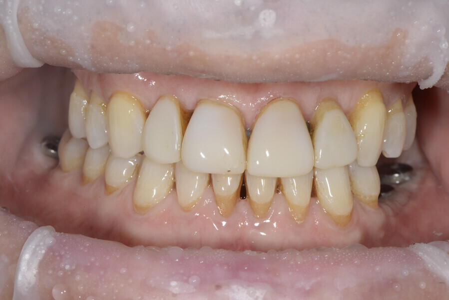
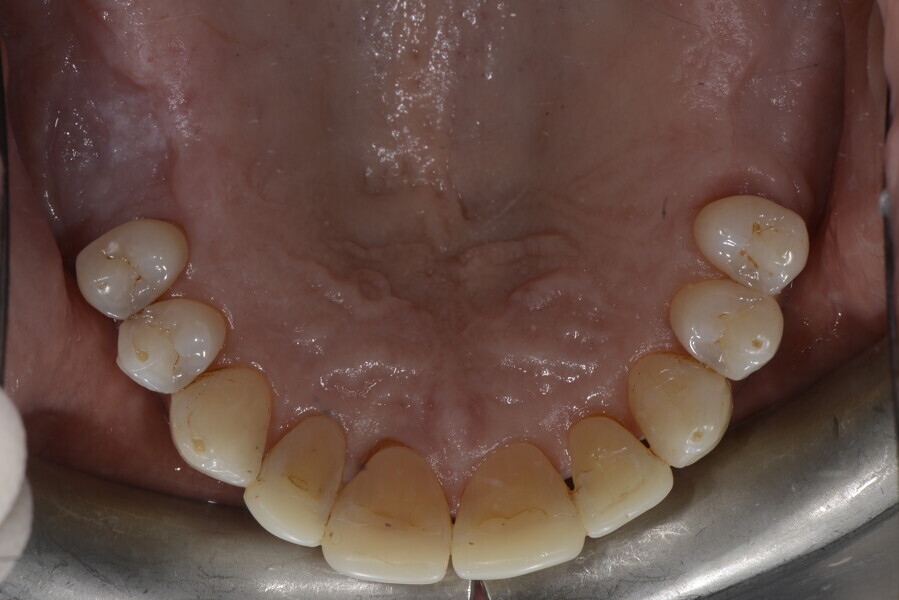
After the first phase of aligner treatment, we had achieved better inter-arch coherence, better maxillary arch expansion, and some space for improving the anterior tooth proportions restoratively (Fig. 19). We then temporarily restored the anterior teeth directly with composite, closing the spaces, improving the tooth proportions and further increasing the maxillary arch expansion (Fig. 20). We used restorative arch expansion to reduce the orthodontic destabilisation of the teeth to achieve the correct inter-arch coherence and retain the teeth in the cortical bone.38 A refinement aligner phase was undertaken to improve the final alignment of the gingival zenith and to improve the inter-arch coherence (Fig. 21). The periods of the first orthodontic phase and of the refinement were used to augment the mandibular and maxillary bone and to place the implants (Fig. 22). At the end of the orthodontic treatment, the case was finalised with ceramic veneers in the anterior area and temporary restorations on the implants in the posterior area (Figs. 23–26).

The provisional phase of about four months was important to allow the peri-implant tissue to mature and to teach the patient to chew correctly with chewing gum, cotton rolls and silicone masticatory sticks. This is fundamental training for the patient to achieve the correct alternating unilateral masticatory cycle needed to obtain the ideal rehabilitation of the masticatory system. We wanted the patient to achieve ideal masticatory and swallowing function. After sufficient rehabilitation time, we finalised the case with posterior zirconia crowns screwed on to the implants (Fig. 27).26
Our ideal final rehabilitation goals were:
  • posterior stability;
  • inter-arch coherence and U-shaped arches;
  • anterior freedom during mastication;
  • minimum disclusion vertical dimension;
  • alternating unilateral masticatory cycle;
  • physiological swallowing and high tongue posture against the palate; and
  • mandibular disclusion advancing the mandible freely.
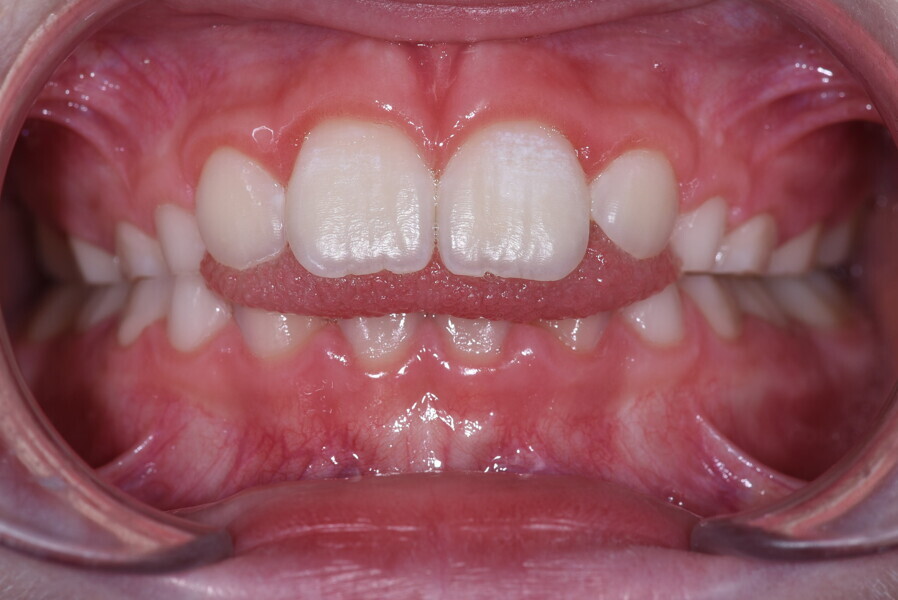
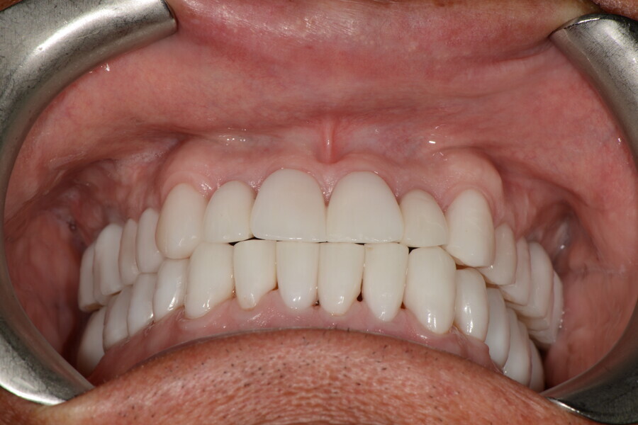
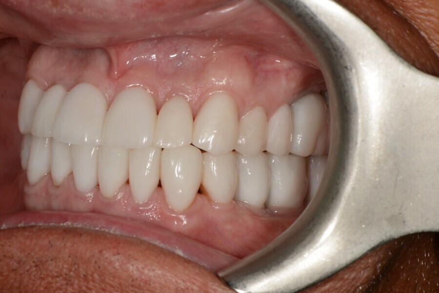
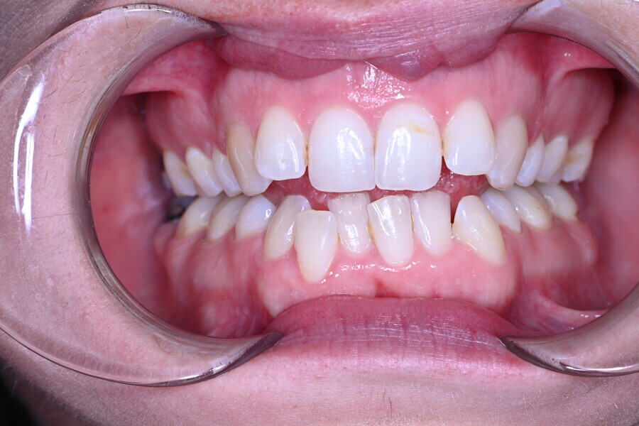
For maintenance purposes, after prosthetic finalisation, the patient was to carry on with the Froggymouth therapy and to use the Ri.P.A.Ra. for physiotherapeutic exercises and mastication training (Fig. 28). It was strongly recommended that the patient wear a mandibular occlusal splint during sleep. This occlusal splint was designed with disclusion guides to advance the mandible and ensure balanced contralateral support (Fig. 29).11, 39 We achieved an aesthetic appearance with adequate inter-arch coherence and a better cephalometric result (Figs. 30 & 31).

To monitor patient progress and the biological situation over time, we conducted periodic examination using radiographs and clinical assessment. Additionally, we evaluated the functional behaviour of the tongue and mastication using the swallowing analysis mentioned earlier and the G-test (chewing gum mastication test; Fig. 32).26

Conclusion

When adult patients need to be treated, they have an extensive oral, clinical and ageing history. They often present with dysmorphism due to functional alterations originating in childhood and developed and complicated over time.

Alterations in breathing, swallowing and mastication associated with non-ideal dental replacement, asymmetrical and asynchronous wear processes, poor oral and parafunctional habits, and iatrogenic alterations create complex situations to rearrange. The adaptive processes of the masticatory system are substantial and powerful. However, when we restore teeth in adult patients, we must try to compensate for the altered system we face the best we can. Thus, we pursue interdisciplinary rehabilitation to try to provide a new, improved, rejuvenated and re-functionalised system.

An interdisciplinary approach must necessarily include correction of the swallowing, realignment of the teeth within the dental arches, obtaining the best inter-arch coherence we can, and finally restoration of the worn teeth and replacement of any lost ones. The final goals are pleasant aesthetics, occlusal stability and correct mastication in equilibrium with the tongue and the perioral activity and posture.

Editorial note:

This article was published in aligners—international magazine of aligner orthodontics vol. 2, issue 2/2023. The complete list of references can be found here.

Topics:
Tags:
To post a reply please login or register
advertisement
advertisement