Search Dental Tribune

Dental News

Filter

First hard evidence for outside-in theory of origin of teeth

CALGARY, Alberta, Canada: Researchers studying a 400-million-year-old bony fish from Estonia believe that they have found evidence for the origin of teeth. ...

save

Oral care of older patients: Prevention before intervention

BRISBANE, Australia: In light of the ageing population, dentists need to be aware of the risks posed by retained dentition and exposed root surfaces in ...

save

Second annual IDM Global Oral Health Progress Award presented in Madrid

MADRID, Spain: Prof. Mahesh Verma, President of the Indian Academy of Restorative Dentistry, was presented with the second annual International Dental ...

save

Combating pregnancy gingivitis: EFP and Oral-B launch joint campaign at FDI

MADRID, Spain: At a press event on Wednesday, long-standing partners Oral-B and the European Federation of Periodontology (EFP) announced that they have ...

save

Interview: “If change is going to happen, it has to happen locally”

At this year’s FDI World Dental Congress, the annual summit of the Alliance for a Cavity-Free Future (ACFF) is being held for the eighth time. Dental ...

save

Dental Health Week still raising awareness of oral health

SYDNEY, Australia: In a follow-up to its Dental Health Week 2017 campaign, held from 7 to 13 August, the Australian Dental Association (ADA) is reminding ...

save
advertisement

Researchers test new means of Zika diagnosis

LONDON, Ontario, Canada: Researchers have used proteomics to examine proteins and peptides in saliva in order to accurately detect exposure to the Zika ...

save

Is it time to re-unite the mouth with the rest of the body?

LEIPZIG, Germany: Breaking through the barrier between dentistry and medicine could be a crucial step towards better all-round health. Since the practice of...

save

Trump presidency debate spills into dental industry

SOUTH JORDAN, Utah, U.S.: CEO and founder of Ultradent Dr. Dan Fischer has written an open letter calling on Americans to turn their backs on the Trump ...

save

New study analyses constrained postures in dentistry

FRANKFURT AM MAIN, Germany: Dental tasks executed in awkward body positions result in a high degree of strain on the respective muscles. A recently ...

save

Shanghai marks last stop on 2017 World Summit Tour

SHANGHAI, China: After hosting major events in Tokyo in Japan in February, San Diego in the US in May, and Nice in France in June, the 2017 World Summit ...

save

Sugar consumption pushes global dental costs over €12.8 billion

HALLE, Germany: According to a joint study conducted by researchers at the Martin Luther University Halle-Wittenberg (MLU) and the Biotechnology Research ...

save
advertisement

Interview: Aesthetics and well-being in the practice

German-Swedish orthodontist Dr David Weichbrodt lives in Asker, part of Norway’s Greater Oslo region. In his four-person practice, he emphasises the role ...

save

Researchers investigate processes underlying anaesthesia effects

FRANKFURT AM MAIN, Germany: While the mechanism underlying loss of consciousness in anaesthesia is not known, it has been hypothesised that it is due to ...

save

Clínica Vilaboa in Spain: “Prophylaxis is the main way that conditions like peri-implantitis can be prevented”

Traditionally, becoming a dentist in Spain was a lengthy process. Students used to be required to first obtain a qualification in medicine before they could...

save

National Tooth Fairy Day recalls old beliefs and traditions

CHICAGO, Ill., USA: The folklore of the tooth fairy is widely known and practiced in various countries in the English-speaking world. It states that, when a...

save
advertisement

Study evaluates seven digital scanners in search for best

CHARLESTON, S.C., U.S.: With intraoral scanning becoming increasingly prevalent in dentistry, knowing which scanner will give the best performance is ...

save

Swallowing disorder overcome using irradiation therapy

FRANKFURT AM MAIN, Germany: In a case study published recently, a patient who was unable to swallow after a resection of the oesophagus, owing to ...

save

Restorative and endodontic experts meet in Zurich

GLATTFELDEN, Switzerland: On 16 and 17 June, COLTENE invited close to 100 dental experts from all over Europe to Zurich in Switzerland for a two-day seminar...

save

Discovery of fossilised teeth in Indonesia stirs up old debate

BRISBANE, Australia: South East Asia is a key region for understanding the human dispersal out of Africa and down to Australia. It is a common consensus ...

save
advertisement

Mobile breath analysis device is promising for early disease diagnosis

SEOUL, South Korea: Breath pattern recognition was once thought of as a futuristic diagnostic platform. Research in this area has been gaining much ...

save

Better sugar labelling could benefit dental health

NEWTOWN, Australia: In a new study carried out by researchers at the George Institute for Global Health, it was found that a significant amount of sugar is ...

save
advertisement

Biolux Research and inviSolution to host orthodontic seminar in Cologne

COLOGNE, Germany: Biolux Research and inviSolution have announced a new seminar for orthodontists seeking professional training and who would like to ...

save

The role of 3-D imaging systems in present orthodontics

Traditionally, the diagnosis in orthodontics gives a lot of importance to cephalometry and the analysis of the dental casts. The development of new ...

save

Oral Reconstruction Global Symposium 2018 comes to Rotterdam

ROTTERDAM, Netherlands: The Oral Reconstruction (OR) Foundation has announced that the 2018 Oral Reconstruction Global Symposium will take place from 26 to ...

save

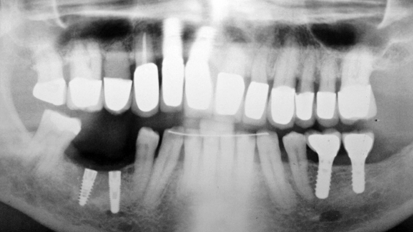
Review confirms clinical success of Nobel Biocare’s TiUnite surface

ZURICH, Switzerland: A new systematic review and meta-analysis has provided evidence confirming the efficacy of Nobel Biocare implants with the TiUnite ...

save
advertisement

Widening the scope of aligner application: A case report

Over the last two decades, extensive research has been carried out to alleviate the two major shortcomings of orthodontic treatment: visibility and ...

save

Interview: “Clip Mirror improves dental hygiene treatment”

PEMBROKE, Ontario, Canada: Dental hygienist Patricia Blundon is the developer of a mirror that clips on to a saliva ejector to aid dental hygienists, ...

save

New CLEARFIL Kit available now

In restorative dentistry, the fabrication of a quality post and core build-up often has a high degree of difficulty and technique sensitivity. Pairing the ...

save

DTI welcomes new partner: “A bridge between Japan and the rest of the world”

LEIPZIG, Germany: Dental Tribune International (DTI) has added a new licence partner to its global publishing network. Together with Tokyo-based company ...

save
advertisement