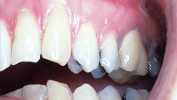
Fig. 3: Before—showing UL cuspid (#10) with root exposed accentuating the visual contrasting difference between the adjacent lateral and first bicuspid teeth.
The world today wants an aesthetic, youthful appearance as well as good oral health. The 'dreaded recession,' showing exposed roots of a tooth, immediately signifies aging and loss of function. It connotes a negative image—an unattractive and unaesthetic look. The good news is that there are surgical techniques to ameliorate recession and to restore a more youthful image.
In the past, mechanical restorative techniques have been attempted to camouflage recession. Techniques include adding a pinkish colour material to make the root appear as gingival, and placing a crown with the root portion made in pinkish colour porcelain, to match the adjacent gingival colour, and the rest of the porcelain coloured to emulate the natural tooth colour. Of course, this technique requires drilling the natural tooth irreversibly, and it never really captures the natural, realistic colour.
Periodontal therapies, utilizing surgical techniques involving gingival grafts, have been offered in our dental history literature, to restore the pre-recession gingival.1-15 In the past, however, the predictability of these techniques has been variable. The absence of a blood supply over the roots was the major reason for this variability. Enhancing a new blood supply on the root would have enhanced predictability, and regeneration of this lost blood supply would have replaced what previously might have been categorized as hopeful adherence. But there still was the problem of unpredictable resistance to pressure of the gingiva.
This article deals with a regenerative or reattachment of the new attached gingiva to the root, to make it more predictable. I prefer this technique, not only for the aesthetic value, but also for maintenance. It promotes the patient’s ability to rush the area and to maintain cleanliness and oral health of the local environment, with consistency and efficiency. Using Guided Tissue Regeneration (GTR)16,17 enhances the blood supply.
There are prerequisites for using GTR successfully in root coverage. The donor gingival tissue utilized should be similar to that of the desired resultant tissue. It should have the same histology and aesthetic colour component. If it has a physiological component, then the aesthetic component should normally follow. The zone of external keratinization that actually attaches to the new blood supply should preferably appear more than 3 mm, although the actual attachment may be less than that. The external appearing amount of pinkish white keratinized tissue should also blend in with the adjacent teeth’s zones. The final result should then be tissue that is healthy, attached and blends laterally as well as coronally, wherever possible.
Some of the most popularly used surgical techniques of reattachment involving gingival grafts are: lateral sliding graft; lateral oblique; coronal reposition graft, and free gingival graft. The choice is usually decided by the amount and quality of attached gingiva available, the location of the keratinized tissue, and the amount and quality of the doctor’s experience.
The GTR technique requires achieving a new attached blood supply over the denuded avascular root. To do that, reclamation of space for the new blood supply must be acquired and maintained for at least eight weeks.
To allow new progenitor cells to grow and guide the growth, a space-maintaining membrane must be utilized. The membrane can be either resorbable (or absorbable) or non-resorbable. Both types work and are easy to manipulate. However, there is a significant difference. The nonresorbable membrane must be physically removed after 8-12 weeks. To do this, the patient must be anesthetized again with a local anesthetic, the area incised and the membrane removed. However, with the resorbable membrane, there is no need for a second surgical procedure and therefore no need to reanesthetize the patient. Thus, by using the resorbable membrane, we can avoid the expense and trauma to the patient of a second local anesthetic. For these reasons, I prefer resorbable membranes in root coverage cases.
The following cases will demonstrate advantages of predictable root-coverage techniques. These cases show improved aesthetics by covering previously exposed roots, and reveal possibilities of enhancing restorative goals aesthetically, which may not previously have been obvious to the restorative dentist. Of course, the initial premise of periodontal root coverage surgery is the restoration and maintenance of oral health. Cosmetic enhancement, while still our ultimate goal, can be achieved only with health, capable of being maintained with good, yet simple, oral hygienic techniques.
Case I
Case I presents a patient with an extremely obvious recessed area in her mouth, a condition too often observed. The #6 (UR 3) exposed root stands out, especially with the contrast of the adjacent healthy appearing area. The patient is frustrated when she smiles, and has acquired a habit of not letting her lip release in an engaging smile but rather keeping her upper lip rigid. This obviously is counterproductive toward her producing a warm smile. As we see in Figure 1, the amount of root visibly seen is extensive, and yellowish in colour. Sometimes, recession causes sensitivity to temperature—especially cold, but not always. Recession may also infer pathology. Whether perceived as aging or unhealthy, it definitely is counterproductive of the healthy, warm desired smile wanted by the patient.
Figs. 1–4: Before treatment. Showing labial recession of the UR cuspid. The root exposed showing enamel with no sensitivity. The isolated recession stands out as an unaesthetic eyesore (Fig. 1). Final view showing regeneration of healthy gingival mucosa with regeneration attaching it to the root aesthetically. It blends with the adjacent teeth. Its maintainable, and the healthy, pinkish white keratinized tissue is now attached, allowing the maintenance of the aesthetically pleasing result (Fig. 2). Before—showing UL cuspid (#10) with root exposed accentuating the visual contrasting difference between the adjacent lateral and first bicuspid teeth (Fig. 3). Diagramatically the arrow points to the recession of #11. The horizontal dotted line shows the difference between #11 and the lateral. Also allows visualization between it and the bicuspid (Fig. 4).
Using predictable root-coverage techniques that result in reattachment of attached gingiva, with its healthy pinkish while colour, the tooth’s result now blends laterally with the adjacent attached gingival tissue (Fig. 2) and covers the previously exposed recession of the tooth, as well. The area is no longer an isolated eye sore, but rather a healthy background, allowing the foreground, the teeth, to appear as a smiling unit.
Case II
Case II presents an example of a patient who has tooth with recession, exposing the root, and affecting the adjacent tooth aesthetically, as well. This example is much more commonly seen, but is often overlooked because it lacks the sharp contrast seen in Case I. This sophisticated diagnosis was referred to my office by a local general dentist because the recession in this type of case caused the appearance of a much longer tooth, compared with the adjacent tooth (in this case the lateral). The recession emphasized the apical length of the cuspid, especially in relation to the lateral. The curved incisal edge of the lateral was completely overlooked, especially in comparison with the recession. Also the apical recession of the cuspid stood out in contrast to the distal bicuspid.
The technique commences after local anesthetic is administered locally. Incisions are done vertically as well as sulcular. Extreme caution is shown to preserve the interproximal papilla (Fig. 5). This is done to avoid dark spots interproximally of voids, which also appear unaesthetic, but also to preserve the blood supply.
When reflected, the amount of exposed root can be visualized to be even more than was initially seen. The tissue is reflected as shown by an elevator. In this GTR technique, we used a resorbable membrane.
Figs. 5–8: Flap reflecting the exposed root recession and the remaining healthy bone. Extreme effort is made to preserve the interproximal tissue (Fig. 5). The placement of resorbable connective tissue membrane over the root in the proper area covering the exposed root (Fig. 6). The gingival graft with the keratinized tissue coronally repositioned to the CEJ and sutured in position (Fig. 7). Final view shows regeneration physiologically and aesthetically, covering the recessed root. Note the relationship to the lateral and to the bicuspid. In the original Figure 1 the lateral CEJ was more apical to the CEJ of the cuspid and now the cuspid is even more apical in its attachment to the lateral and blends in aesthetically with the bicuspid (Fig. 8).
This membrane was an acellular connective tissue. This thin membrane is called faciablast. It is shaped to fit the area, placed over the exposed root, and pressed with a wet gauze pad (Fig. 6). The graft is now sutured in place coronally so that the desired keratinized tissue not only covers the membrane, but is at the desired level to cover the exposed root as well (Fig. 7). After a week to 10 days the sutures are removed. The patient heals uneventfully and in time appears as shown in Figure 8. The root of the cuspid is now covered. The pinkish attached gingiva now blends in beautifully with the adjacent attached gingiva. The lateral’s cervical line is actually slightly higher than the cuspid, a big reverse from before. The cuspid also blends aesthetically and symmetrically with the bicuspid, due to the new attached gingival height (Fig. 8).
Recession of teeth is being recognized and diagnosed more frequently as a problem today, by the public as well as the general dentist. It’s unappealing and unaesthetic appearance has captured noticeable awareness in today’s alert audience. It not only affects the patient and how he or she smiles, but it also is indicative of an aging appearance, regardless of actual age. With the advent of more and more successful and rejuvenating techniques to eliminate this recession, more and more patients and dentists are desirous of doing just that.
As shown in Case II, recession may affect the appearance of adjacent teeth, even if the adjacent teeth do not have any recession. Techniques have been presented showing how to achieve aesthetic results through the use of surgical gingival grafts, utilizing GTR techniques with membranes as barriers, to cover the previously denuded exposed root with healthy, yet aesthetic, gingival tissue. This technique also enables the patient to maintain the area with positive oral hygiene techniques, and will make healing more predictable. The patient will appear younger, avoid pathology and smile more. In all, it’s a winning situation.
This article has presented techniques incorporating resorbable membranes as barriers to cover the previously denuded exposed root with healthy aesthetic gingival tissue. Using, through surgery, gingival graft techniques plus GTR techniques with resorbable membranes as barriers, the previously denuded exposed root is covered with healthy aesthetic gingival tissue.
The results of this enable the patient to maintain the health of the area with positive oral hygiene techniques, thus keeping a youthful, aesthetic appearance that in certain instances can reduce root sensitivity. Both the dentist and patient will smile with more confidence.
Editorial note: A complete list of references is available from the publisher. This article was originally published in Roots Vol. 2, Issue 3, 2008.
Today we are standing on the verge of a digital revolution in dentistry. The digitalisation will offer a new infrastructure in the treatment of our ...
VIENNA, Austria: Swiss dental provider Cendres+Métaux is presenting its hybrid abutment range at the 2018 European Association for Osseointegration (EAO) ...
Dentists today are living during exciting times when advancements in materials, techniques and diagnostics allow us to predictably improve the quality of ...
The ultimate goal of endodontic treatment is the prevention and/or treatment of apical periodontitis, such that there is complete healing and absence of ...
NEW YORK, U.S.: In an upcoming free webinar on Wednesday, Nov. 29, Dr. Francisco Marques dos Santos will be describing several clinical techniques that will...
When a patient presents to your dental practice with questionable and/or non-restorable teeth requiring full-mouth extractions, the greatest concern is ...
AMSTERDAM, Netherlands: During extractions, it is sometimes difficult to preserve the alveolar bone, particularly when using rotary instruments. Now, ...
In prosthodontics, assessing the individual needs and expectations of every patient is a crucial factor for successful treatment. In the production of fixed...
Aesthetic medicine is increasingly taking on a global connotation of harmony and balance, defined certainly by historically evolved and shared canons, but ...
Orthodontic treatment generally follows aesthetic, functional, and prophylactic objectives, where individual aspects of isolated cases are accorded varying ...
Education
Live webinar Thu. 30 April 2026 1:00 pm EST (New York)
Root canal anatomy with all of its inherent complexity still represents a very serious challenge to modern root canal therapy. Even with many breakthroughs ...
SCHAAN, Liechtenstein: On 14 April, media representatives gathered for the first Ivoclar Media Connect event at the new Ivoclar Campus at the company’s ...
BALTIMORE, US: Growing evidence suggests that the oral microbiome may influence the development of cancers beyond the oral cavity. In a recent preclinical ...
To post a reply please login or register