Today we are standing on the verge of a digital revolution in dentistry. The digitalisation will offer a new infrastructure in the treatment of our patients. This article will focus on the digital treatment planning that is possible in an ordinary general dental practice today. There will be some remarks about the needed hard- and software in order to get an over view of the possibilities and pitfalls before acquisition. We will look at the possibilities with tooth-borne surgical guides, since the topic regarding treatment of edentulous patients with surgical guides has been covered extensively in the past.
Before treating any patient, we need a treatment plan. In a simple composite case, a plan in the mind of the dentist might be enough. But when we move to more complex cases, the need for a thorough blueprint becomes essential. The following sequence is based on the assumption that the patient has healthy joints, relaxed muscles with a balanced occlusion in centric relation (CR). If this is not the case we recommend you take care of these issues before any final prosthetic treatment.
In order to achieve the most predictable treatment outcome, we recommend the following protocol, which can be used with and without implants.
1. Photos – extraoral and intraoral. DSD (Digital Smile Design)
2. Video (optional for emotional patient communication)
3. Models (digital or stone)
4. Facebow registration
5. CR bite registration
6. Protrusive bite registration or a digital movement analysis
7. Cone beam scan in implant cases
8. Wax-up.
embedImagecenter("Imagecenter_1_1994",1994, "large");
It is most important to get the patient expectations in alignment with the dentist before starting detailed treatment planning. We need to know what the patient wants in order to deliver it to the patient. To be able to communicate effectively with the patient, we need to know ourselves and we need to know our clinical abilities and limitations before applying our work. In my opinion, the patient experience is essential in case presentation.
Clinical photos both extraorally and intraorally are the first step in the treatment planning process. We recommend that you start with the protocol from AACD (American Academy of Cosmetic Dentistry) or DSD (Digital Smile Design by Christian Coachman). These are well documented protocols and contain all the basic photos needed.
The photos will be used following the DSD protocol to visualise the end result to the patient and in communications with specialists and the dental lab (if needed). The DSD protocol enables a multidisciplinary treatment planning process without seeing the patient in the practice. Every step is done through a free cloud-based service. It is inexpensive, flexible and easy to do.
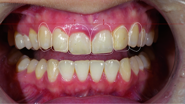
The data from the DSD is transferred to a model of the patient (Figs. 1a–d). This can be done on a stone model or a digital model. With the models aligned, it is possible to make an additive wax-up with the exact proportions of the DSD. With a stone model, we make a silicone stent that is carefully trimmed. We fill it with a bis-acrylic material and position it in the mouth of the patient. With a digital wax-up we need to make a composite shell that is either milled or printed on a 3-D printer. The shell can be glued into position with bis-acrylics or flowable composite.
With the try-in smile we take a series of photos. The photos will be used to verify with the patient that we are on the right track. If needed, the try-in smile can be adjusted until the wanted result is achieved. If we make any corrections, a new impression is taken for our final treatment plan.
Once the patient has accepted the treatment plan, we proceed with a functional wax-up. The functional wax-up will guide the treatment of the patient. It will enable us to visualise the final restorations. At this point we can decide exactly what will be: the ideal implant position; the ideal abutment; the ideal restorative material; the ideal shape of the restoration; the need for grafting (hard and soft tissue).
The easiest way to achieve the most precise functional setup is by using the Arcus Digma (KaVo; Fig. 2). It is the only system that enables you to make a very detailed motion analysis (10 microns) that replicates the jaw movements exactly by utilising computer technology.
Arcus digma has a bite-fork that makes it easy to position the upper jaw in the articulator. A fully adjustable articulator or a digital articulator is preferred. It is critical to get a perfect bite registration in CR. The functional wax-up can be generated semi-automatically in the CAD/CAM software by using the data gathered from the models and functional movements. Alternatively, we do it the old fashioned way by adding wax to the stone model. (Note that the precision of the wax-up will reflect the care taken to acquire the diagnostic information.)
With the wax-up approved by the dentist, the placement of the implant can be performed in the cone beam imaging software. We use the OnDemand software by Cybermed Inc. The software has a fair price. It can handle all DICOM based cone beam images. The In2Guide plugin (in OnDemand) enables you to do the implant planning with whatever guide system you prefer (i.e. Straumann, Nobel Biocare, Zimmer, etc.). Usually we use the universal drill kit developed for the In2Guide system. It gives the user the ability to place any implant on the marked with this single drill kit. The only brand specific tools needed is the implant driver and a prosthetic kit. Another advantage of the In2Guide software is that you don’t have to segment the cone beam image or export it into third party software. The planning is done in the same software as where you do your diagnosis. In my opinion, this makes it easier to implement in the practice.
One note about guide sleeves. The In2Guide software enables you to choose whatever guide sleeves you want to use. There is a huge difference between the distance from the coronal implant surface and the guide sleeve among the different guide systems (Figs. 3a-d). Care should be taken not to place the guide sleeves in contact with any hard or soft tissue. It is a great feature to be able to choose the system that fits your preferences.
In order to make a tooth-retained guide, we make a cone beam image of the patient. (Note the required size of the field of view [FOV]. You need enough teeth and bone to make a guide.) A model of the soft tissue and high precision surface of the teeth is merged with the cone beam image in order to make a good fitting surgical guide. The model can be scanned by a labscanner or by the cone beam scanner. An option to make an intraoral scan is available, but currently only for treatment planning.
The intraoral model will be displayed as a green outline in the In2Guide software (Figs. 4a & b). Since we know the ideal distance from a bone level implant to the surface of the soft tissue is 3mm, we place the chosen implant type (from the In2Guide library with almost all commercially available implants) and plan the positioning in the third dimension. Now we are able to measure the distance from the implant to the surface of the soft tissue. Hereby we can achieve an ideal emergence profile. We can measure the distance from the implant to the top of the guide sleeve to verify correct depth of the implant during surgery.
At the same time, we get to know if there is sufficient bone support for the implant or if we have to graft. The ability to plan any grafting procedure in advance of the operation gives a better predictability, patient compliance and effective scheduling of the surgery.
Looking at the intraoral photos and the planned 3-D implant position we make the decision to do open or closed surgery. If possible we will do a tissue punch because it is faster and less traumatic to the tissue and the patient. Our patients love the flapless insertion of implants. There is virtually no post operative bleeding, swelling, sutures or pain compared to raising a flap. I admit that we often have to do some type of grafting but when I am able to do a flapless procedure, I will do it. (It is a fast procedure and a great internal marketing opportunity.)
At this point we make a decision whether we want a customised Atlantis titanium abutment, a customized titanium/zirconia abutment or a screw-retained crown. We always use customised abutments for cemented solutions to make sure the risk of cement residuals is minimal. The customised abutments are designed with a preparation margin of 0.5mm, subgingivally facially and aproximally. On the oral surface, the margin is placed 1mm above the gingiva. This is impossible with stock abutments. Implant Direct has some implants that are delivered with a stock abutment. This abutment can be modified and scanned with an intraoral scanner and with CAD/CAM technology we can mill a customised zirconia abutment part that will be glued to the stock abutment. The gingiva will establish a strong hemidesmosome attachment to the zirconia and thereby create a better seal to the surrounding environment. Furthermore, it will allow us to produce every prosthetic part inhouse and save time.
Screw-retained crowns are primarily used in the posterior and only in selected cases when we think we need easy retrievability. I admit there are many different philosophies about this subject. And I admit it is harder to remove excess cement in the posterior.
We use a semi-permanent composite cement or tempbond to cement all our restorations. We want all restorations to be retrievable in case of future complications.
At this point we know how the final result will look like―the abutment design and the position of the implant. We know whether or not we need grafting and if it is going to be an open or closed procedure. We know the exact type and size of implant and what surgical kit we will be using. Now we just have to order the surgical guide. In our practice we let In2Guide design and produce our guides, since it is a laboratory at KaVo that does all the work under strict quality control. We are confident in the precision and quality of the product. It takes about 7–10 days from placing the order online until we receive the guide. We do not charge our patients extra for the surgical guides since the time we save during surgery more than covers the costs of the guide. And after the placement of the implant we always have an ideal position of the implant in regards to the final prosthetic outcome. Placing a crown in harmony with the functional occlusion has improved the aesthetic results and reduced our prosthetic failure rate, including the amount of periimplantitis. It is my belief that a lot of so-called periimplantitis we see today is related to occlusal problems rather than biofilm. But that is a totally different issue.
Before doing any surgery, we need to think about a provisional restoration. The function of the provisional is primarily to prevent tooth migrations and to shape the soft tissue. This can be a fixed or a removable solution; direct or indirect. Among the removable solutions, we have the partial denture, the Essix retainer, bite splints with teeth mounted as provisionals, etc. (Figs. 5a-c). Among the fixed solutions there is the Maryland bridge and the immediate loaded implant crown. The immediate crown is usually made directly but can be made in advance utilizing the In2Guide software and the CAD/CAM team at KaVo. It requires a scanned model of the opposing arch and a bite registration (the two models held together). Once again we can use a lab-scanner or the cone beam scanner to acquire these data. This way we receive a surgical guide and a screw-retained provisional implant crown to be placed immediately after surgery. It is tricky but doable and removes the problem with bis-acrylics in the wound.
The whole treatment planning protocol can seem a little overwhelming. But in reality it is fast and saves a lot of chair time. The implant planning in In2Guide for a single implant takes approximately five minutes once you get accustomed to the software.
In our practice, we have been working with surgical guides since 2010. They were introduced because we saw too many implants placed in a less than ideal prosthetic position. It was a problem faced with more than six different experienced surgeons. There seemed to be a paradigm among a lot of surgeons saying ‘We place the implants where the bone is’. In such cases, we do not want to do the final prosthetic work because it will always be a compromise.
Every step in implant surgery has to be planned and executed exquisitely with the final prosthetic solution in mind. It is the only way to a predictable and good result for the patient.
Isn’t that what it is all about?
Editorial note: This article was published in cone beam – international magazine of cone beam dentistry No. 03/2015.
VIENNA, Austria: Swiss dental provider Cendres+Métaux is presenting its hybrid abutment range at the 2018 European Association for Osseointegration (EAO) ...
Dentists today are living during exciting times when advancements in materials, techniques and diagnostics allow us to predictably improve the quality of ...
The world today wants an aesthetic, youthful appearance as well as good oral health. The 'dreaded recession,' showing exposed roots of a tooth, immediately ...
In prosthodontics, assessing the individual needs and expectations of every patient is a crucial factor for successful treatment. In the production of fixed...
Aesthetic medicine is increasingly taking on a global connotation of harmony and balance, defined certainly by historically evolved and shared canons, but ...
The use of porcelain veneers to improve and restore the shape, shade and visual position of anterior teeth is a common technique in aesthetic dentistry. The...
NEW YORK, US: For many consumers, clear aligner therapy is dentistry the way it should be—aesthetic, convenient and a good fit for busy daily work or ...
Porcelain-fused to metal crowns have been commonly used since their introduction in the 1960s.1 The presence of a metallic substructure confers certain ...
In addition to many other specialties, the field of prosthodontics will be addressed in 3Shape’s upcoming 24-hour webinar marathon. Dr Jonathan Ng, who ...
The Dawson Academy, a provider of postgraduate dental education, has launched a new online campus and opened registration for its inaugural Fundamentals of ...
Live webinar
Tue. 12 May 2026
1:00 pm EST (New York)
Live webinar
Thu. 14 May 2026
12:00 pm EST (New York)
Live webinar
Thu. 14 May 2026
2:00 pm EST (New York)
Prof. Hani Ounsi DDS PhD FICD
Live webinar
Tue. 19 May 2026
11:00 am EST (New York)
Live webinar
Tue. 19 May 2026
1:00 pm EST (New York)
Prof. Dr. med. dent. Ivo Krejci
Live webinar
Wed. 20 May 2026
7:00 am EST (New York)
Dr. Graham Carmichael BDSc (Hons), DClinDent (Pros), FRACDS, Dr. Robert Gottlander DDS
Live webinar
Wed. 20 May 2026
9:00 am EST (New York)
To post a reply please login or register