Search Dental Tribune

Cleaning metal-free fixed dental restorations prior to bonding procedures

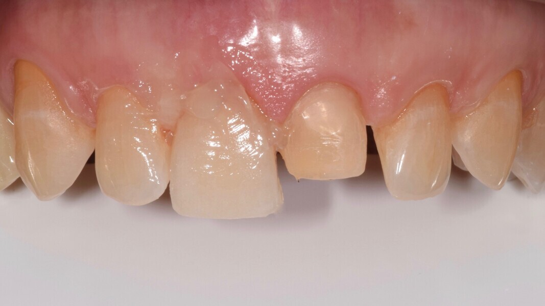
Cleaning of the dental hard-tissue bonding surfaces in a clinical situation where sandblasting was not recommended owing to the high risk of periodontal soft-tissue bleeding. (Image: Stefano Daniele)

Fri. 17. June 2022

save

During bonding procedures for metal-free fixed dental prostheses (FDPs), try-in with specific cement shade matching glycerine paste is necessary for choosing the correct shade of resin-based cement. During try-in, however, saliva and blood could contaminate the bonding surfaces of the ceramic and dental hard tissue. It is essential for the ceramic surface and dental hard-tissue surface to be free of bacterial biofilm and other contaminants before adhesive application. Bonding procedure and try-in procedure, both ensure efficient bonding and long-term reliability of the adhesive fixed prosthetic intervention.

Cleaning the ceramic bonding surface after try-in

Try-in of metal-free FDPs is a key procedure for evaluating the fit of the finishing line of the dental preparation and, for very thin veneers, for matching the resin-based cement to be used to bond the ceramic restorations to the dental hard tissue. Aesthetic features—value in particular—of thin veneers depend on different factors, and one of the most important is the choice of shade of the resin-based cement used under the thin ceramic. To make this procedure easier and repeatable, many manufacturers provide glycerine pastes of the same colours as those of the corresponding resin-based cements. This pre-bonding procedure of try-in of metal-free FDPs enables the selection of the most appropriate resin-based cement. Glycerine pastes are generally hydrophilic and can be rinsed from the ceramic bonding surface after try-in with an air–water spray, but some contaminants, such as saliva, blood and crevicular fluid, may remain on the surface, and this may affect the efficacy of the bond to the dental hard tissue.

“It is essential for the ceramic surface and dental hard-tissue surface to be free of bacterial biofilm and other contaminants”

Sandblasting contaminated surfaces of metal-free FDPs may be the best choice for removing contaminants from bonding surfaces, but it is important to consider that not all dentists have sandblasting devices in their offices. To this end, Kuraray Noritake Dental launched KATANA Cleaner, a specific detergent that is able to provide complete removal of contaminants from the bonding surfaces of metal-free FDPs after the try-in procedure. A perfectly clean ceramic bonding surface is important for obtaining effective micromechanical interlocking between glass-ceramic and cement, as well as for allowing the chemical bond reaction between a 10-MDP-based primer and the zirconia bonding surface.

Cleaning the dental hard-tissue bonding surface when sandblasting is not recommended

The dental hard-tissue bonding surface must be clean before bonding metal-free FDPs, and this procedure can be done by sandblasting with a soft powder such as erythritol. The focus of this procedure is not to create additive retention on the ceramic surface, but instead to remove the bacterial biofilm from the dental hard-tissue surface before bonding. Metal-free FDPs are designed to have supragingival finishing lines. Supragingival preparation is also important for permitting perfect isolation with a dental dam. In clinical practice, often the finishing line may be (partly) subgingival for specific reasons, for example in veneer preparation designed to close diastemas and cervical black triangles between anterior teeth. In those clinical cases, dental dam application may be difficult, and sandblasting dental hard tissue may pose too high a risk of periodontal tissue bleeding. Tissue bleeding near the cervical margin of the preparation before adhesive bonding procedures for metal-free FDPs may affect the seal between the restoration and preparation. These clinical situations indicate the use of cleaning agents rather than sandblasting to clean surfaces before bonding.

Limitations of conventional agents used to clean bonding surfaces

Most conventional cleaning agents are not effective cleaners of ceramic, including zirconia, surfaces of metal-free FDPs and dental hard-tissue surfaces when sandblasting is contra-indicated as described. The following is a short list of the limitations and adverse effects of the main detergents used in clinical practice before bonding procedures:

  • Ethanol: It is not a very effective contaminant remover and is not able to remove saliva and blood proteins fully. Often ethanol fixates proteins rather than removing them.
  • Sodium hypochlorite: It has good efficacy as a cleaner, including removal of saliva and blood proteins, but may have an adverse impact on bonding procedures owing to its oxidisation properties (free radicals released from a sodium hypochlorite reaction could result in interference with autopolymerisation and light polymerisation of resin monomers).1
  • Hydrogen peroxide: It does not have any contaminant removing properties and, to a greater extent than sodium hypochlorite, could result in interference with free-radical polymerisation of resin-based materials used for adhesive procedures.
  • Chlorhexidine: It does not have any adverse effect, but also has no capability of removing contaminants.

Clinical Case 1: Cleaning of KATANA Zirconia UTML fixed dental prostheses using KATANA Cleaner after try-in

KATANA Cleaner and its specific features

KATANA Cleaner is a specific detergent solution for cleaning the surfaces of all kinds of prostheses, either metal-based or metal-free, and for cleaning the surfaces of dental hard tissue. KATANA Cleaner is for both extra-oral and intra-oral use. The chemical composition of KATANA Cleaner includes 10-MDP and a 10-MDP-TEA salt in an aqueous solution. 10-MDP-TEA is an emulsifier and surfactant compound able to solubilise many substances not soluble in water and to increase the wetting capacity of those. These chemical features of 10-MDP-TEA allow easier removal of contaminants from surfaces using water spray in order to obtain a clean surface. KATANA Cleaner mainly targets proteins, such as in saliva and blood. The 10-MDP-TEA salt is amphiphilic. The non-polar part enters the contamination, forming micelles, which are easy to rinse off with an air–water spray.

KATANA Cleaner is a powerful, concentrated cleaner. It has a mild pH of 4.5; thus, no adverse etching of the dental hard tissue can occur. The presence of 10-MDP in the solution makes it compatible with all dental bonding agents. KATANA Cleaner is a purple-coloured solution, and this feature permits easy and accurate application to all surfaces to be cleaned.

Clinical Case 2: Tooth surface cleaning using KATANA Cleaner

Acknowledgements

Special thanks go to master dental technician Daniele Rondoni for the fabrication of the metal-free FDPs.

Editorial note:

Reference

  1. Lai SC, Mak YF, Cheung GS, Osorio R, Toledano M, Carvalho RM, Tay FR, Pashley DH. Reversal of compromised bonding to oxidized etched dentin. J Dent Res. 2001 Oct;80(10):1919–24. doi: 10.1177/00220345010800101101.
Tags:
To post a reply please login or register
advertisement
advertisement