Search Dental Tribune

Dental News

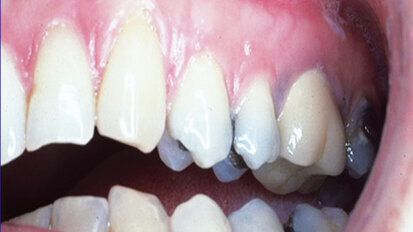
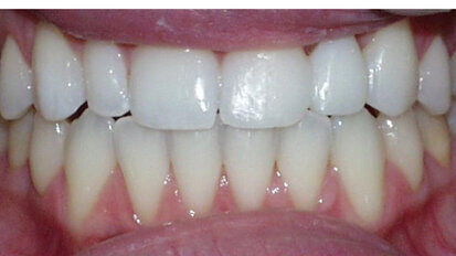
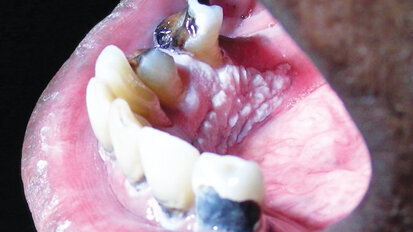
Complete reconstruction for a patient with chronic tooth decay

When oral health is neglected for extensive periods of time, dental conditions like tooth decay and periodontal disease can advance to a point that, prior ...

save

New medical devices regulation: EU reaches deal

ADDE considers the agreement on the EU medical device regulation a good compromise. With the new rules, the European level of safety in medicine and ...

save

Interview: “Increase the attractiveness for your customer”

For each newsletter, the ADDE conducts an exclusive interview with a leading representative of the European dental trade industry. For this issue, we spoke ...

save

September: Brexit and new Market Survey

A warm welcome to the second Association of Dental Dealers in Europe (ADDE) newsletter exclusively for our members and affiliates. A great deal has happened...

save

List of Events: September – October

The upcoming two months are marked by a number of regionally important dental fairs in Europe, from which dental dealers will gain a broad impression of ...

save

Three-year clinical and radiographic outcomes of patients treated according to the All-on-4 concept in the daily practice: A prospective observational study on implants and prosthesis survival rates and complications

Objective: All-on-4 treatment concept is widely applied for complete-arch rehabilitations. Nevertheless, minor technical and biological complications can ...

save
advertisement

Accelerated generation of human induced pluripotent stem cells from human oral mucosa using episomal plasmid vectors and maternal transcription factor Glis1

Objective: Induced pluripotent stem cells (iPSCs) possess high pluripotency and differentiation potential and may constitute a possible source of autologous...

save

Treatment coordinator: The bridge to case acceptance

You might think that in fi nancially challenging times the last thing you need is a new member of staff. For a practice to thrive and prosper in a difficult...

save

“Find it, fix it, and leave it alone”

This three-part principle, though originating in the field of osteopathy, can find great application in modern endodontics, where we deal with routine root ...

save

Bone block graft to treat an apicomarginal defect simultaneously with apical surgery of the maxillary incisors: A case report with three-year follow-up

Objective: The objective of this article is to describe the successful management of an apicomarginal defect of a maxillary lateral incisor with a bone ...

save

Fibre posts and tooth reinforcement: Evidence in the literature

'Traditional thinking that a post is only placed to retain a core and serves no other purpose may no longer be valid.'[1] The preservation of dentine ...

save

Composition of platelet-rich plasma gel: A Western blot analysis

Objective: Platelet-rich plasma (PRP) gel is an autogenous blood-derived material that may be used as a regenerative agent of oral structures. The ...

save
advertisement

Spontaneous bone regeneration after removal of cysts: One-year follow-up of 336 consecutive cases

Objectives: The objective of this study was to assess spontaneous bone healing after enucleation of large jaw cysts without using any grafting material.

save

Knowledge about risk factors associated with periodontal disease among patients referred to a specialist periodontal clinic

Objective: The patient’s awareness and knowledge of periodontal disease is a key factor for successful periodontal treatment. The objective of this ...

save

Use of mineral trioxide aggregate in endodontic retro-filling

Mineral trioxide aggregate (MTA) is an endodontic sealer that emerged on the market in 1998. Through proven scientific results it has became the true ...

save

Between BOPT and BTA: A case report on shaping the gingival contour around tooth-supported restorations by means of provisional resin crowns

Shaping the soft-tissue contour around implants with provisional resin crowns after implant placement has become a frequently used technique in implant ...

save
advertisement

Eleven tips for success in your dental clinic—Part I: SWOT analysis and loyal patients

During this journey towards business growth and educational development with this new series on tips for success in your dental clinic, I am going to ...

save

What do our teeth betray about us?—Part II

In the first part of this article series, I described the significance of individual teeth in terms of emotional and health status, considering specifically...

save

Conservative smile design for the general dentist

This article discusses the advantages of short-term anterior tooth alignment using the Inman Aligner system, particularly for general dentists. The article ...

save

Value chains being transformed by new digital dental technologies

The definition of ‘value chain’ depicts the stages of production as an ordered series of activities. These activities create values, consume ...

save
advertisement

A minimally invasive approach according to biomechanical principles of teeth

Traditionally, the practice of dentistry has been a reparative model. We have waited for disease to express itself, and then repaired it. What if we could ...

save

Digital possibilities for making implant prosthetics

In contemporary dental medicine, computers and implants are closely linked. By dealing with this topic, the question arises whether one can speak about a(n)...

save
advertisement

LM periodontal instruments now sharpen-free

PARGAS, Finland: In order to offer clinicians the convenience of minimised maintenance of dental instruments, Finnish instrument manufacturer LM-Dental has ...

save

CAD/CAM Technology: a review

CAD/CAM technology and materials are currently used in a number of clinical applications, including the fabrication of indirect restorations. CAD/CAM gives ...

save

Nature-inspired method may advance biocompatibility of implants

WAKŌ, Japan: Mimicking the adhesive properties of mussels, which are able to form a tight bond with smooth surfaces, scientists from the RIKEN research ...

save

Nano-hybrid ORMOCER for the bulk-fill technique in the posterior region

Direct composites in posterior teeth are a part of the standard therapy spectrum in modern dentistry. The excellent performance of this form of restoration ...

save
advertisement

Modification of tooth neck dentin with a diode laser for desensitisation

Cervical dentin hypersensitivity is a common phenomenon and affects an increasing number of young adults. Today, more than 30% of the adult population in ...

save

3D Printing Healthcare Market is Expected to Grow by 18% Annually Until 2020

One of the faster growing markets to adopt 3D printing technology is the healthcare industry, which has been rapidly developing new medical applications at ...

save

The TwinLight approach to peri- implantitis

As the number of dental implants being placed increases, reported cases of peri-implantitis are becoming more frequent. The available data suggest that one ...

save

The importance of brand and own reputation—from real daily life to the web

We usually associate the term ‘brand’ with a product that has a unique, consistent and well-recognised character (i.e. Coca-Cola, BMW). These ...

save
advertisement
advertisement