Figs. 1 (left): Midas 3D printer with 3D-printing resin Digital Press Stereolithography capsule. Fig. 2: 3D-printed restorations upon removal from the Midas printer. (All images: SprintRay, Drs Steven Shao and Gregori M. Kurtzman)
In today’s busy life, patients may have trouble coordinating their work and home schedules when treatment requires multiple appointments. Typically, when restoration of teeth is related to failing amalgam or composite restorations or the presence of caries, this will require more extensive treatment than just placing another direct restoration and will typically require two appointments. The first appointment involves preparation of the tooth to remove the existing restorative material and caries, impression taking and placement of a provisional restoration. The second appointment is scheduled after laboratory fabrication of the restoration to insert it intra-orally.
3D printing with its advances in printable resin materials and hardware allows the practitioner to create indirect restorations in-office in a single appointment. 3D-printing resins now incorporate higher amounts of ceramic particles to improve the materials’ wear and durability. Two of these new resins are Ceramic Crown and Crown HT (both SprintRay), and they have received market clearance from the US Food and Drug Administration. Ceramic Crown contains more than 50% ceramic particles and is well suited for various restorations, providing natural aesthetics, and is available in Shades A1, A2, B1 and Bleach. When a more aesthetic resin is desired in those patients with bruxism, Crown HT may be selected. This resin contains more than 62% ceramic particles, provides good aesthetics with its high translucency and is currently available in Shades A1, A2 and B1.
Such highly filled resins have posed some problems in their use with traditional 3D-printing technologies owing to their high viscosity. Advances in 3D-printing hardware have allowed higher-quality restorations to be printed with the new resins in shorter fabrication times. With its patented Digital Press Stereolithography and patent-pending Resin Capsule System, the Midas 3D-printing system (SprintRay) overcomes the challenges of printing highly filled viscous materials (Fig. 1). It utilises a unique vacuum-sealed resin capsule that simplifies the workflow, allowing printing of even multiple units in just minutes from a single capsule (Fig. 2) and thus shortening fabrication time and enhancing single-appointment restorative treatment. Most Midas prints are completed under 10 minutes, and the printer has the ability to have up to three capsules printing simultaneously with no time penalty. Both Ceramic Crown and Crown HT are available for Midas in capsule format.
Fig. 3: Pre-op periapical radiograph demonstrating recurrent caries on the distal aspect of the maxillary right first molar.
Fig. 4: Clinical view of the occlusal surface of the maxillary right first molar showing the composite present.
Case report: Inlay
A 46-year-old female patient presented for a recall hygiene appointment, and bitewing radiographs were taken. Proximal caries was noted on the distal aspect of the maxillary right first molar radiographically. A periapical radiograph was taken to further evaluate the tooth, and distal recurrent caries was confirmed (Fig. 3). Clinically, a chipped composite restoration on the tooth with clinical signs of composite wear on the mesial–occlusal and occlusal–palatal aspects was noted, as was distal secondary caries (Fig. 4). Removal of the failing composite and of the recurrent caries and replacement with a 3D-printed ceramic resin inlay in one appointment was recommended. The patient accepted treatment, and time in the schedule allowed treatment to be done that day.
Local anaesthetic was administered as infiltration into the buccal vestibule. A preoperative intra-oral scan was performed with a Medit i900 scanner to aid in virtual planning of the restoration and the resulting scan imported into the Medit ClinicCAD software (Fig. 5). The old composite and recurrent distal caries were removed from the tooth utilising carbide burs in a high-speed handpiece. Caries detector dye (Caries Finder, Danville Materials) was used to ensure complete caries removal. The preparation for the inlay was completed with diamond burs (Fig. 6).
The prepared tooth and adjacent dentition were then scanned with the Medit i900 and the scan imported into the planning software (Fig. 7). The restoration was then designed in the software to mimic the shape of the tooth prior to tooth preparation (Fig. 8). The Medit ClinicCAD settings were a cement gap of 100 μm, occlusal clearance of 200 μm, interproximal clearance of 100 μm and minimum thickness of 0.6 mm. The virtual model was removed, leaving the virtual inlay in preparation for printing set-up (Figs. 9 & 10). Supports were added to the virtual inlay and the design placed on to the virtual build platform (Fig. 11) to proceed with 3D printing on a Midas printer.
Fig. 5: Pre-op intra-oral scan in Medit ClinicCAD.
Fig. 6: After tooth preparation to remove the old composite restorations and caries.
Fig. 7: Intra-oral scan of the prepared tooth in Medit ClinicCAD.
Fig. 8: Virtual design of the planned restoration in Medit ClinicCAD.
Fig. 9: Virtual restoration without the virtual model in the planning software.
Figs. 10a–d: Virtual inlay from the occlusal view (a), intaglio view (b), palatal view (c) and buccal view (d).
Figs. 11a & b: Virtual design of the inlay with supports added (a) and on the build platform (b).
The restoration was then 3D-printed using Ceramic Crown (Fig. 12). Upon completion of printing, the restoration and its supports were removed from the build platform, and processing was completed. The restoration was shaken for 6 seconds in a Martini shaker-type container, air-dried, sprayed with 91% isopropyl alcohol, and wiped with lint-free paper towel and a micro-brush. All the supports except one were removed from the restoration to allow something to hold on to during the finishing and glazing process (Fig. 13). The inlay was then submerged in a bowl of isopropyl alcohol, and a brush was utilised to remove any surface residue. The restoration was then dried with air and placed into a NanoCure (SprintRay) to complete the processing phase of fabrication.
Fig. 12: 3D-printed inlay on the build platform after printing on Midas.
Surface characterisation was done with the Nu:le Coat resin staining and glazing system (YAMAKIN), and the restoration was polymerised with a Bluephase PowerCure (Ivoclar) for 5 seconds and then in a NanoCure for 1 minute. The restoration was then pre-polished with an OptraGloss Spiral Wheel (Ivoclar) in a slow-speed handpiece. This was followed by polishing with Universal Polishing Paste (Ivoclar) using a goat hair brush in a slow-speed handpiece. Final polishing was then performed with a clean cotton buffing wheel on high speed (Fig. 14). The remaining support was removed and the area polished. The total time from the start of printing to the restorations being ready to insert intra-orally was ~16 minutes.
The completed inlay was taken to the operatory and tried in to verify marginal and interproximal fit (Fig. 15). The restoration was removed, and the intaglio surface was sandblasted in the laboratory with 50 μm aluminium oxide particles for 8 seconds to prepare the surface for bonding. The restoration was then wiped with a cotton swab dipped in alcohol and with a micro-brush and then dried thoroughly.
Adhese Universal bonding agent (Ivoclar) was applied to the intaglio surface of the restoration with a micro-brush and allowed to sit for 20 seconds. The restoration was then air-thinned and not light-polymerised at this time. Etching gel was applied to the tooth and allowed to sit for 30 seconds before being rinsed off, and the preparation was air-dried. Additional Adhese Universal was applied to the tooth with a micro-brush and scrubbed into the tooth surface for 20 seconds and then air-thinned so that an immobile layer was achieved. This was then followed by light polymerisation for 5 seconds using the Bluephase PowerCure on Turbo mode (2,000 mW/cm2; Fig. 16). Variolink Esthetic DC dual-polymerising resin cement (Ivoclar) was applied to the restoration’s intaglio surface, and the restoration was seated intra-orally. Excess cement marginally was tack polymerised for 1 second and then removed.
The restoration was then light-polymerised from the occlusal, buccal and palatal aspects for 5 seconds on each surface. Glycerine was applied to the margins, and the restoration was again polymerised for 5 seconds per surface. The margins were finished and polished intra-orally, completing the restoration (Fig. 17). A periapical radiograph was taken to verify marginal fit interproximally and the absence of residual resin cement (Fig. 18).
The patient was seen at a subsequent appointment for another treatment one month after insertion of the inlay. No signs of wear or marginal staining were noted, and the patient reported comfortable function and had not experienced any sensitivity since the restoration was placed.
Fig. 13: 3D-printed inlay after removal of most of the supports, ready for finishing.
Fig. 14: Characterisation and glazing with Nu:le Coat.
Fig. 15: Try-in of the inlay to verify fit marginally and proximally
Fig. 16: Tooth surface after acid etching and application of bonding agent.
Fig. 17: After luting of the inlay to the prepared tooth and finishing of the margins.
Fig. 18: Periapical radiograph of the luted inlay, demonstrating good marginal adaption interproximally.
Case report: Multiple partial-coverage restorations
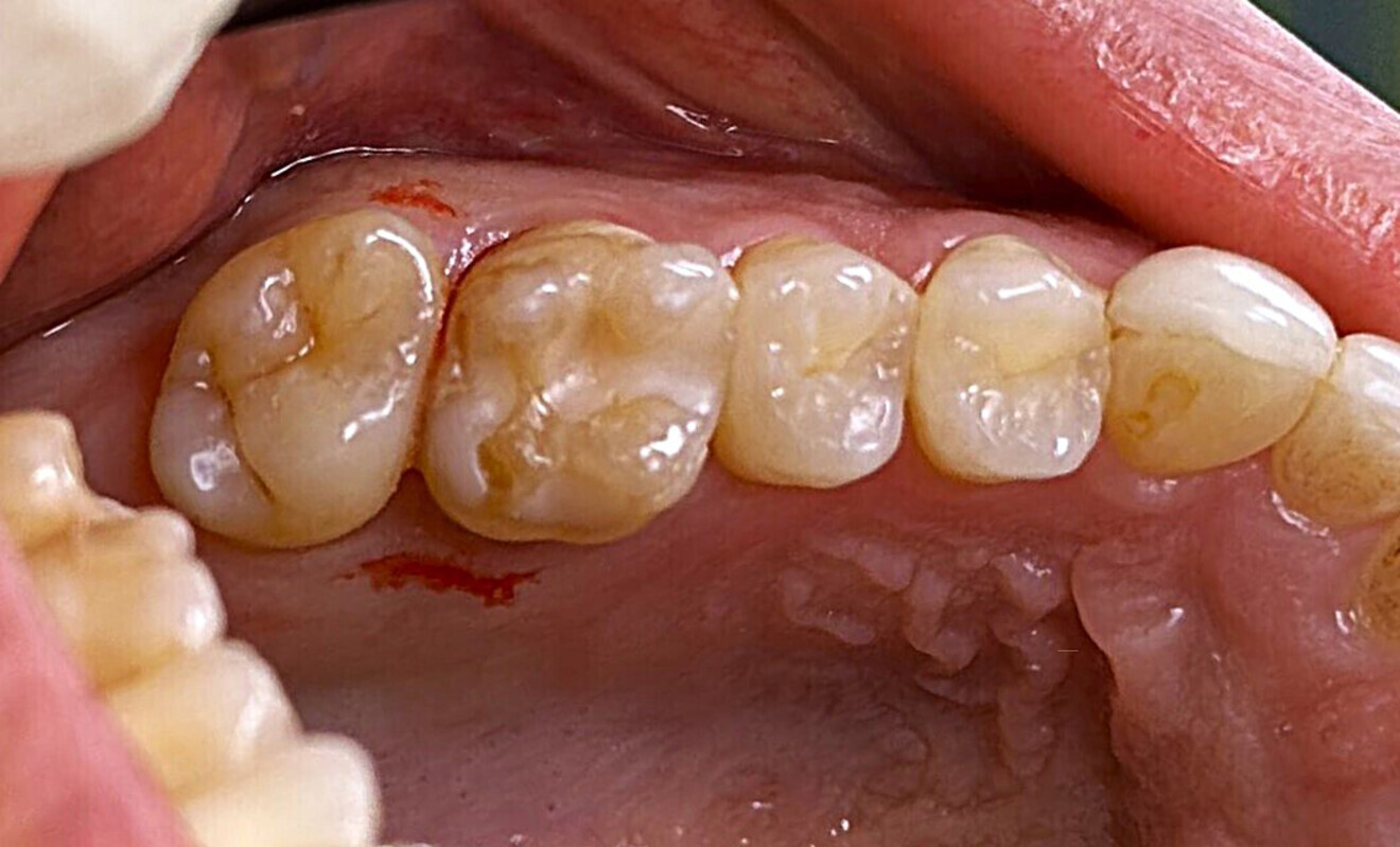
A 23-year-old female patient presented with cold sensitivity of the teeth in the maxillary right posterior sextant. Examination noted old composite fillings in the molars and premolars and recurrent caries on each tooth (Fig. 19). A bitewing radiograph was taken to evaluate the extent of the recurrent caries and the dimensions of the composite restorations (Fig. 20). Owing to the dimensions of the restorations and caries, inlay and onlay restorations were suggested to restore the teeth and preserve tooth structure as an alternative to complete crowns. The patient’s questions were answered, and she agreed to the proposed treatment. She was informed that the treatment could be completed in a single appointment utilising 3D printing for restoration fabrication. Time in the schedule permitted treatment to be performed during that same appointment. Our intent is to provide conservative restoration with superior accuracy and definition compared with milling, as well as better predictability and mechanical properties compared with direct resin composite restorations.
The patient was anesthetised with local anaesthetic. A preoperative scan of the arch was performed with a Medit i900 scanner to aid in the virtual design of the planned restorations (Fig. 21). The old composite was removed along with the caries with a high-speed handpiece and appropriate burs. Caries detector dye (Caries Finder) was used to ensure complete caries removal. The preparations were refined by performing occlusal reduction of 1.5 mm, and it was confirmed that the margins of the onlays did not extend into functional occlusal contact areas when the patient occluded (Fig. 22).
The prepared sextant and opposing dentition as well as the occluded arches were scanned with the Medit i900 and the scans imported into Medit ClinicCAD. The restorations were designed in the software with a cement gap of 0.1 mm and a minimum thickness of 0.6 mm to contours matching the preoperative treatment scan (Fig. 23). The virtual restorations were removed from the virtual models in preparation for 3D printing on the Midas printer (Fig. 24). Supports were added to the virtual onlays and the designs prepared for 3D printing.
Fig. 19: Clinical view of the old composite restorations with recurrent caries on the molars and premolars.
Fig. 20: Bitewing radiograph of the existing composite restorations.
Fig. 21: Pre-op scan of the maxillary right posterior sextant.
Fig. 22: Teeth in the maxillary right posterior sextant after removal of the old composite restorations and caries.
Fig. 23: Virtual design of the restorations in preparation for 3D printing.
Figs. 24a–l: Virtual restorations from the occlusal view (a–d), buccal view (e–h) and intaglio view (i–l).
Printing was performed on Midas using Crown HT. The printing time was ~9 minutes for the restorations utilising one capsule for all four restorations. After printing, the restorations were removed from the printer, and washing and polymerisation were completed in ~4 minutes. The restorations were shaken for 6 seconds in a Martini shaker-type container, air-dried, sprayed with 91% isopropyl alcohol and wiped with lint-free paper towel and a micro-brush. The supports were removed from the restorations with a diamond bur in a high-speed handpiece. The restorations were finished to polish the areas where the supports had been present (Fig. 25). The total time from the start of printing to the restorations being ready to insert intra-orally was ~16 minutes.
The restorations were taken back to the operatory and tried in to verify fit and seating on the teeth. Once this had been verified, the cementation protocol followed the same procedure detailed in the first case. The completed 3D-printed onlays restored the teeth to natural contours and aesthetics (Fig. 26). A radiograph was taken to confirm marginal adaptation of the luted restorations and elimination of any residual resin cement at the margins (Fig. 27).
Fig. 25: Restorations after finishing.
Fig. 26: Restorations luted to the prepared teeth after finishing and polishing.
Fig. 27: Periapical radiograph of the restorations after luting.
Conclusion
3D printing in-office allows the practitioner to treat teeth requiring an inlay or onlay, as the case examples presented have demonstrated, or a crown in a single appointment, eliminating the need for the patient to wear a provisional restoration while waiting on the laboratory to fabricate the restoration and return it to the practice for insertion. Additionally, this is more convenient for the patient, as it eliminates the need for a second appointment. Midas and the highly filled ceramic resins used in this 3D-printing unit provide aesthetic definitive restorations in a single appointment and in a short printing time. The new high-resolution and high-fidelity printing system allows for a much better marginal adaptation, accuracy and occlusal anatomy compared with other CAD/CAM options. Advancements in accuracy, efficiency, predictability and material science further enhance the quality of same-visit dentistry, expanding treatment possibilities for patients.
Dentistry has undergone a remarkable transformation with the advent of 3D-printing technology. Gone are the days when patients had to endure multiple visits...
LOS ANGELES, U.S.: SprintRay, a 3D printer manufacturer that focuses on digital dentistry, announced last week that it has commenced a partnership with the ...
This is not just another article about 3D printing. It is a practical, clinically grounded reflection on how the Midas 3D printer (SprintRay) has overcome ...
3D printing has revolutionised modern dentistry, offering a cost-effective, versatile and efficient alternative to traditional fabrication methods. However,...
LOS ANGELES, U.S.: Technological advancements in dentistry are like a motor force that drives innovation and growth. This is true for digital dentistry. ...
LOS ANGELES, US: SprintRay has announced the launch of the Pro S dental 3D printer product line in combination with RayWare Cloud and new SprintRay resins....
LOS ANGELES, US: As 3D printing in dentistry evolves to become industry standard, the need for access to more materials is critical. In a step that ...
At this year’s International Dental Show (IDS), SprintRay is showcasing its latest development, Midas—a groundbreaking product revolutionising chairside...
Education
Live webinar Fri. 19 June 2026 9:00 am EST (New York)
To post a reply please login or register