Search Dental Tribune

Dental News

Oral biofilm: A concern for all dental professionals

The oral microbiome is an incredibly complex bacterial community. In total, it harbours over 700 bacterial taxa.[i] The oral microbiome with its ...

save

Danaher to offer its shareholders an Envista stock swap

WASHINGTON, U.S.: Danaher Corp. has announced an exchange offer through which its shareholders will have the opportunity to swap their Danaher stock for the...

save

Immediate implants and their benefits to be discussed in free webinar

In a free upcoming Straumann Group webinar on Monday, 2 December, host Dr Abid Faqir is tackling the subject of immediate implant placement. He has a broad ...

save

Interview: Prof. Phoebus Madianos next EuroPerio chairman

Prof. Phoebus Madianos is a professor of in the Department of Periodontics and Dean of the School of Dentistry at the National and Kapodistrian University ...

save

Labour promises free dental check-ups if elected

LONDON, UK: The UK general election is just weeks away, scheduled to be held on 12 December. In recognition of the oral health inequalities that exist ...

save

California company raises funds for smart lingual appliances

IRVINE, Calif., U.S.: Swift Health Systems raised $45 million in October for its lingual “Smartwire” appliance, INBRACE. The company seeks to address ...

save
advertisement

Dental school establishes novel opioid-free pain management guidelines

PITTSBURGH, U.S.: Doctors continue to routinely prescribe opioid pain relievers for dental procedures. However, current evidence suggests that alternative, ...

save

New HD Black Line Mirrors reduce glare and deliver superior visibility

CHICAGO, U.S.: Hu-Friedy, the global leader in dental instrument manufacturing and infection prevention solutions, today announced the international launch ...

save

Interview: “We need to stress the importance of prevention”

Dr Magda Mensi is a researcher at the University of Brescia in Italy with a special interest in non-surgical therapy of periodontal diseases. In preparation...

save

Journal celebrates centennial with article on how implants have influenced restorative dentistry

ALEXANDRIA, Va., U.S.: This year marks the centennial of the Journal of Dental Research (JDR). To celebrate this special occasion, the JDR is featuring a ...

save

2019 ADF conference and exhibition fast approaching

PARIS, France: The annual conference and exhibition of the French Dental Association (ADF) is one of the most important events on the European dental ...

save

NZDA calls on government to pass languishing water fluoridation bill

AUCKLAND, New Zealand: In a recent statement, the New Zealand Dental Association (NZDA) said it would like to see more cross-party support in parliament for...

save
advertisement

FDA grants first modified risk orders to smokeless tobacco products

WHITE OAK, Md., U.S.: For the first time, the U.S. Food and Drug Administration (FDA) has authorized the marketing of products through the modified risk ...

save

British Dental Association releases its 2019 manifesto

LONDON, UK: The British Dental Association (BDA) has launched its 2019 manifesto, just prior to the upcoming general election. In the document, the trade ...

save

The story of misaligned implants gets put straight in free webinar

The world of implantology is progressing at an exciting speed. However, as is the case with many new developments, complications along the way are ...

save

New world record: German dentist extracts world’s longest human tooth

OFFENBACH, Germany: Tooth extraction is part of the day-to-day business in a dental practice. However, last year, Dr Max Lukas was fairly stunned when he ...

save
advertisement

Finding an alternative to amalgam through glass hybrid technology

MADRID, Spain: The phase-down of amalgam is currently taking place, and many dental practitioners are still seeking a viable alternative. In this regard, ...

save

Interview: “The most challenging part has been getting people to believe that it is even possible”

Motivated by his desire to simplify the treatment process for patients, Dr Philip Tan has developed a full-arch implant-retained prosthesis for completely ...

save

ACTEON wordwide workshops 2019

Mon. 18. November 2019

Treatment of edentulism with Pro Arch BLX focus of free webinar

LONDON, UK: When it comes to implants, the Straumann Group has been one of the major dental brands leading the way. In a free upcoming Straumann Group ...

save
advertisement

Ohio startup uses telephones to streamline practice management

LEHI, Utah, U.S.: The front office of a dental practice can be compared to the oral cavity. In the same way that a healthy “gateway” leads to better ...

save

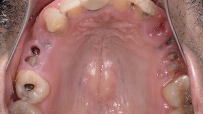
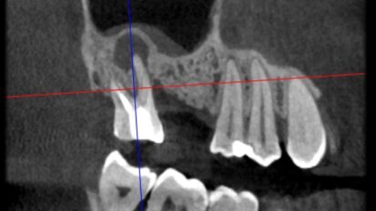
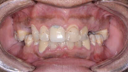
Atraumatic extraction of maxillary first premolar

A 70-year-old female patient visited our clinic owing to a fractured maxillary first molar. Tooth #24 had previously had a large composite restoration that ...

save
advertisement

First permanent molars function as health database dating back to before birth

HAMILTON, Canada: Teeth provide a permanent biological marker of metabolic stressors that disrupt mineralization in utero and in early childhood. A recent ...

save

Patients are ready to take teledentistry on board

MAASTRICHT, Netherlands: As a result of the digitalisation of our everyday lives, telemedicine is becoming an increasingly more interesting topic for both ...

save

Periodontics a step closer to gaining EU-wide recognition

MADRID, Spain: For several years now, the European Federation of Periodontology (EFP) has been campaigning for the practice of periodontics to be given ...

save

Enamel hypoplasia used to indicate gender equality

TÜBINGEN, Germany: Scandinavia is regarded as a role model with regard to gender equality. Now, historians at the University of Tübingen have investigated...

save
advertisement

Journal of Dental Research article focuses on evolution of esthetic dentistry

ALEXANDRIA, Va., U.S.: This year, the Journal of Dental Research (JDR) is celebrating its publishing centenary. To mark the milestone, the journal has been ...

save

New dental research centre set up in Singapore

SINGAPORE: Though it is a relatively wealthy nation, Singapore’s overall level of oral health leaves much to be desired. Nearly a third (31%) of the ...

save

Webinar examines immediate treatment protocols and their outcomes

LONDON, UK: When it comes to implants, good outcomes and high predictability are crucial. In a free upcoming Straumann Group webinar on Thursday, 21 ...

save

Henry Schein – EdgeOne Fire

Wed. 13. November 2019

EdgeOne Fire features EdgeEndo’s heat-treated FireWire NiTi and is designed to shape canals in a reverse-reciprocating motion.

save
advertisement
advertisement