Search Dental Tribune

3D printing’s place in today’s dental practice

Fig. 1: Model made from V-Print model fast (VOCO) just out of the rinse cycle. (All images: Susan McMahon)

Mon. 5. May 2025

save

The demand for 3D printing in dentistry has led to remarkable technological developments, making it a more accessible solution for dentists. According to a Research and Markets report, the market for 3D printing in dentistry is expected to grow by an average of 12.6% per year until 2035. 3D printing is an additive manufacturing process in which a model or dental appliance is fabricated by laying down successive layers of material until the finished product is formed. This allows dentists to create dental appliances for patients quicker, more accurately and often more cost-efficiently than with traditional manual methods.

There are 3D printers and materials manufactured specifically for use in dentistry. 3D printers produce highly accurate models, aligners, retainers, surgical guides and restorations, including complete dentures, crowns, bridges and provisional restorations. This is useful because precise and customised shapes are needed to match the dental structures of each individual patient.

In our practice, we first started using our 3D printer for models, occlusal guards and surgical guides. Now, we fabricate many restorations we had formerly sent to the laboratory. Shifting production of all-on-X prototypes, definitive ceramic crowns, and provisional crowns and bridges to our 3D printer has made our workflow much more efficient and saved us thousands in laboratory fees. Achieving comparable or superior fit and aesthetics to a laboratory-made restoration with an in-office-printed restoration is paramount. The following are some of the ways we are using 3D printing to streamline our procedures:

Models
Models are easily printed by uploading the STL file from an intra-oral scanner to the 3D printer’s software (Fig. 1). 

All-on-X prototypes
All-on-X prototypes or try-ins can be fabricated in the office on the day of implant surgery. These cases are planned and designed prior to the surgery appointment. After the implants have been placed, scan bodies are put on the implants and an intra-oral scan is done. The scan is sent to the awaiting laboratory. The digitally planned restoration is then overlayed on to the implant scan. A prototype fitted to the implants is created. The file for the all-on-X prototype is sent back to the dental office and uploaded to the printer and printed in about 45 minutes (Fig. 2). This prototype file can also then be used to print an all-on-X provisional restoration (Fig. 3).

Fig. 2: Printed all-on-X try-in made from V-Print Try-In (VOCO).

Fig. 2: Printed all-on-X try-in made from V-Print Try-In (VOCO).

3: Printed all-on-X provisional restoration made from Rodin Sculpture (a nano-hybrid ceramic; Pac-Dent) and glazed with OPTIGLAZE (GC America).

3: Printed all-on-X provisional restoration made from Rodin Sculpture (a nano-hybrid ceramic; Pac-Dent) and glazed with OPTIGLAZE (GC America).

Inlays, onlays and crowns
Ceramic-filled resins can be used to print definitive inlays, onlays and crowns. Much like the workflow in milling these restorations, the teeth are prepared, the tissue is retracted, the preparation is scanned, and the restoration is designed and then uploaded to the 3D printer for fabrication. Our SOL 3D printer (Ackuretta) can fabricate multiple units in just a few minutes, and excellent aesthetic features are achieved after rinsing, polymerising, polishing and glazing (Figs. 4 & 5).

 

Figs. 4a & b: Premolar restorations made from Rodin Sculpture. Printed, rinsed and polymerised premolar restoration (a). Premolar restoration after polishing (b).

Figs. 4a & b: Premolar restorations made from Rodin Sculpture. Printed, rinsed and polymerised premolar restoration (a). Premolar restoration after polishing (b).

Fig. 5: Premolar restoration after glazing (OPTIGLAZE).

Fig. 5: Premolar restoration after glazing (OPTIGLAZE).

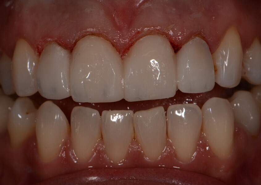
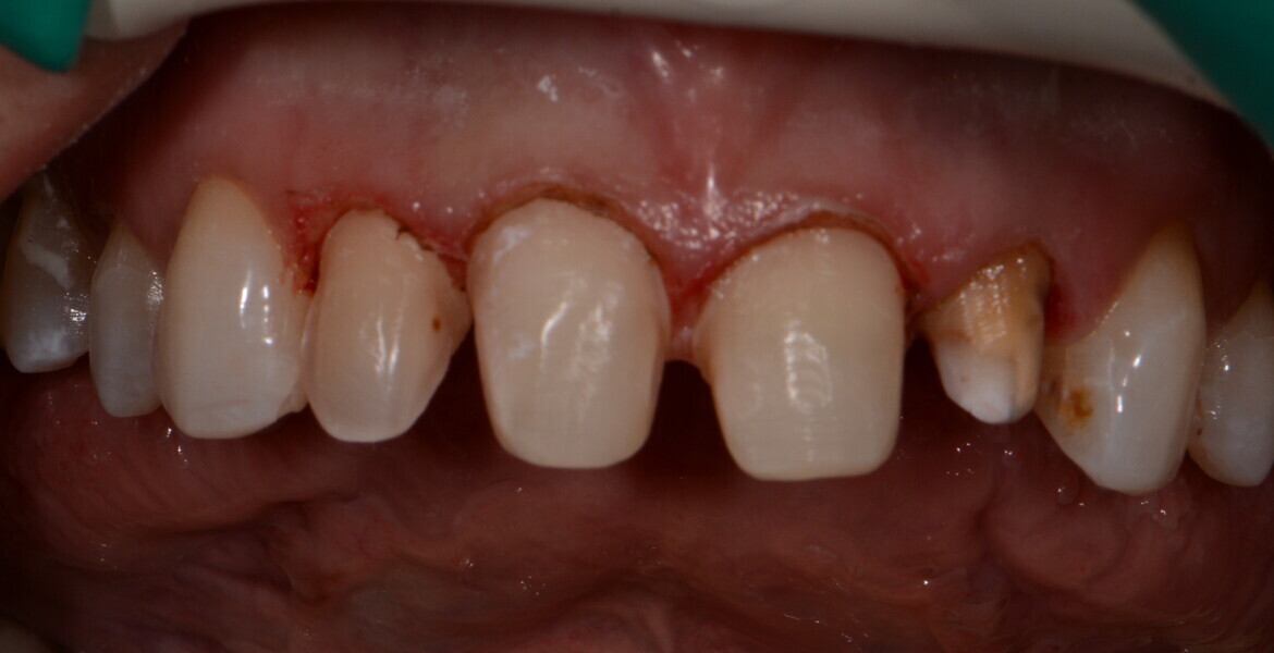
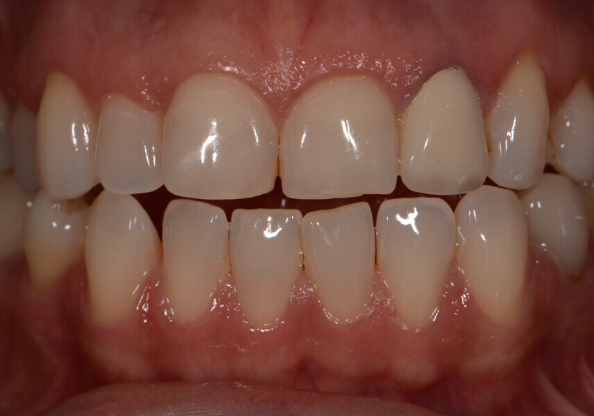
Provisional restorations
One of my favourites uses for my 3D printer is for provisional restorations. In demonstration of this use is a case diagnosed for veneers on teeth #12–21 and a crown on tooth #22 to replace the existing porcelain-fused-to-metal crown. After the smile design, the case was prepared, some gingival sculpting was done and the preparations were scanned. The provisional restorations were designed based on the pre-planned smile design and then printed, rinsed, polymerised and glazed in about 30 minutes. The provisional restorations offered a very strong, aesthetic and accurate prototype (Figs. 6–8).

Surgical guides
Surgical guides for implant placement can be produced very efficiently in the office (Figs. 9–11).

Occlusal guards
Occlusal guards are one of the first things we started printing regularly in our office. They are easy to design directly from intra-oral scans. We print both hard and soft guards, depending on the needs of the patient (Figs. 12 & 13).

Conclusion

3D printing is rapidly becoming the next step in the digital revolution. Both dental laboratories and practices have been quick to adopt this technology. With it, dentists, dental assistants and dental technicians can accurately and efficiently produce study models, smile design models, surgical guides, occlusal guards, aligners, custom trays, provisional restorations and definitive restorations. Dentists are implementing 3D-printing technologies in-house because of their efficient turnaround time and accessibility.

Editorial note:

This article originally appeared in Oral Health Magazine, and an edited version is provided here with permission from Newcom Media. It was also published in 3D printing–international magazine of dental printing technology Vol. 5, Issue 1/2025.

Topics:
Tags:
To post a reply please login or register
advertisement
advertisement