In aesthetically critical areas, the selection of the time of implant placement—immediate, early or late—can influence the outcome. In an upcoming webinar on 19 October, Dr Stephen Chen will describe current concepts in post-extraction healing. Prior to his online presentation, Chen, who is president of the International Team for Implantology, gave a brief preview of his topic.
Dr Chen, how does the time of implant placement influence the outcome in aesthetically critical areas? The challenge lies in managing resorption of the alveolar ridge once a tooth is extracted. This results in resorption of the alveolar process and soft-tissue changes. Each time point after extraction has its specific treatment challenges that need to be managed in the correct way.
Dr Stephen Chen is an associate professor at the University of Melbourne’s dental school and owns a private periodontics practice in Melbourne, Australia. (Image: Stephen Chen)
What are some risk factors for the development of aesthetic complications? For immediate implants, the main risk is soft-tissue recession caused by thin or missing facial bone, or malposition of the implant. For early implant placement, the risk is insufficient augmentation to reconstruct the contour of the ridge.
Will your webinar focus on single-tooth and/or multiple-tooth implants? The webinar will focus on single-tooth implant replacement in the anterior maxilla, where aesthetic outcomes are important. The clinician must not only decide on the best time to place the implant post-extraction, but must also deal with the hard- and soft-tissue regenerative procedures that are necessary to achieve a good outcome that meets the patient’s expectations.
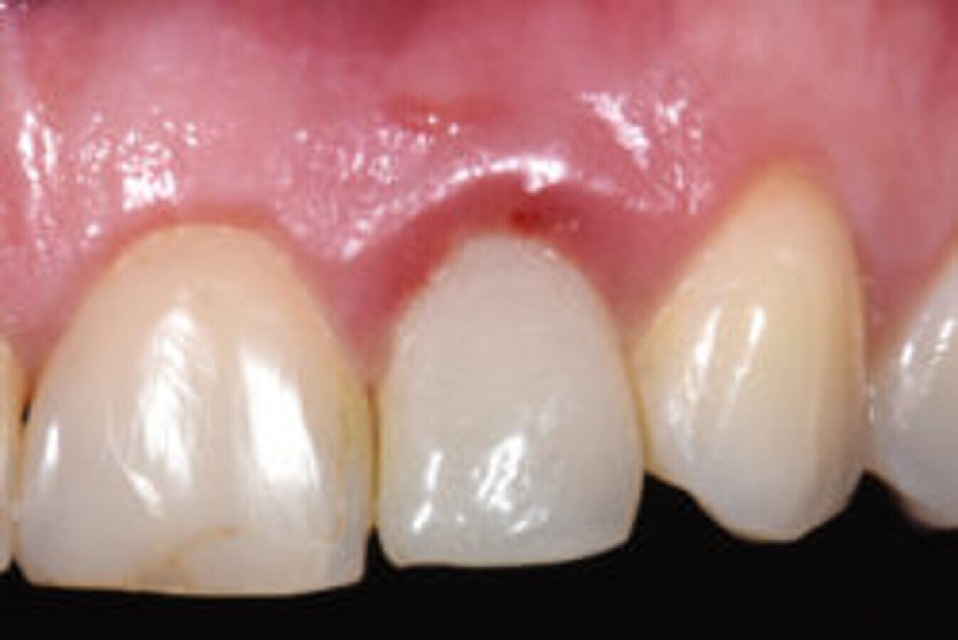
One week after immediate implant placement and immediate restoration with a provisional prosthesis. (Image: Stephen Chen)
Late implant placement is not convenient for patients, owing to the healing time of at least four to six months. However, what would be the clinical reasons for choosing this treatment option? Late placement may be considered if the patient is undecided on whether to have an implant placed, or to have a different tooth replacement option. Late placement may also be considered if the patient is young and still growing, or if there are medical contra-indications. When late placement is selected, a socket graft for ridge preservation procedure is strongly recommended so that there is sufficient bone for an implant when the patient is able to proceed at a later time.
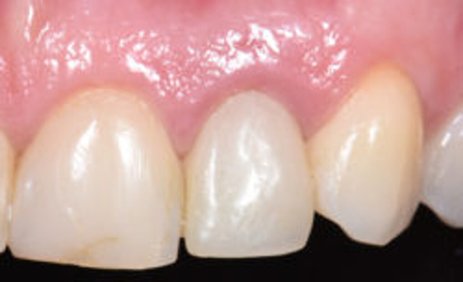
Definitive implant prosthesis three years after implant placement. (Image: Stephen Chen)
What are some of the typical indications for immediate and early implant placement? Immediate implant placement can be considered if the soft-tissue and bone phenotypes are thick and the facial socket is intact. If these conditions are met, flapless extraction and immediate implant placement can be considered. Under these conditions, an immediate provisional restoration can also be considered, provided the implant achieves sufficient initial stability.
Editorial note: The International Team for Implantology webinar, titled “Post-extraction implant placement: When immediate, when early and when late”, will be presented live on Monday, 19 October, at 12 p.m. CEST. Participants will have the opportunity to ask questions about the topic, as well as earn a continuing education credit by answering a questionnaire after the lecture. Registration on the Straumann Campusis free of charge.
On 16 September, Osstell will be holding its ISQ Online Symposium, presenting four scientific sessions and one panel discussion. One of the speakers at the ...
BORDEAUX, France: Tooth extraction is the most common procedure performed in oral surgery.1 For example, ten million third molars are removed each year in ...
As implant dentistry continues to evolve to meet our patient’s demands for aesthetic tooth replacements with minimal downtime or inconvenience, the ...
FORT WORTH, Texas, U.S.: Owing to the growing popularity of point-of-care 3D printing and the subsequent creation of 3D-printing laboratories, a recent ...
BERLIN, Germany: Some experts now believe that in order to obtain stable results in the medium and long term, the aesthetic zone should be treated in most ...
Implant placement in spaces that are narrow in the mesiodistal dimension poses challenges related to the surgical aspect of treatment. This is further ...
Various techniques and methods based either on grafting of the fresh extraction socket (ridge preservation) with different materials and delayed implant ...
When a patient presents to your dental practice with questionable and/or non-restorable teeth requiring full-mouth extractions, the greatest concern is ...
Today, about 65 % of Italian dentists are prac tising implantology. In Italy alone, over a million implants are placed every year. A survey commissioned by ...
Immediate implant placement is a well-recognised and successful treatment option after tooth extraction.[1, 2] Success rates for both immediate and ...
Education
Live webinar Thu. 23 April 2026 11:00 am EST (New York)
VIENNA, Austria: Beginning tomorrow, the International Osteology Symposium 2026 will bring together the global oral regeneration community at VIECON in ...
JINAN, China: 3D printing of lithium disilicate still faces challenges in achieving precise results. The material’s high transparency allows laser light ...
RIYADH, Saudi Arabia: While many artificial intelligence (AI) systems for dental diagnosis demonstrate high accuracy, their real clinical value depends on ...
To post a reply please login or register